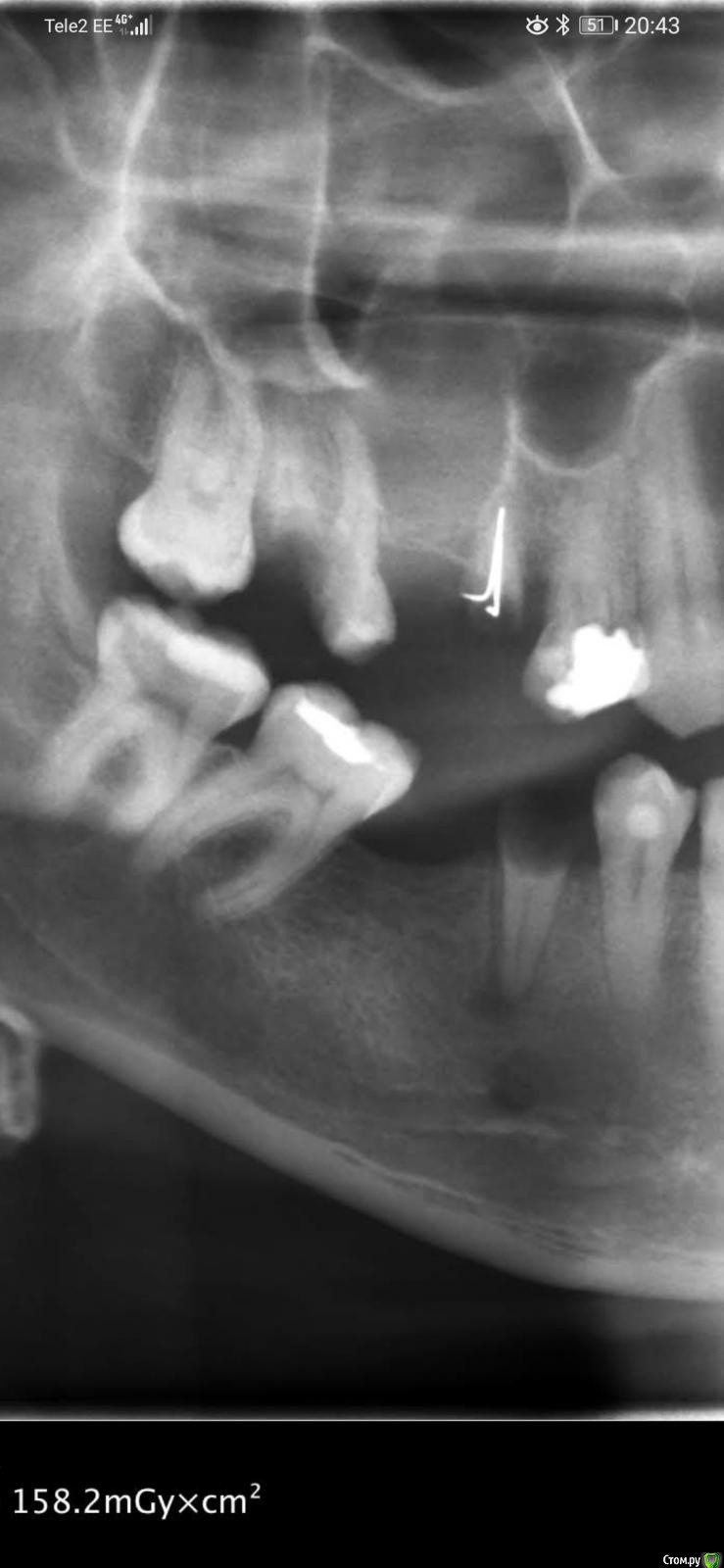
32worldwide Опубликовано 1 июня, 2020 Поделиться Опубликовано 1 июня, 2020 (изменено) Мне кажется сдесь одонтогенная киста. На телефоне есть ещё один его снимок 2010 года. Да, спрашиваю потому что не знаю что делать с ним дальше.. Могу отправить в центр ЧЛХ. Состояние пациента отличное, отака и жалоб нет после дренировпния и удаления двух корней. Поэтому встаёт вопрос а надо ли что то делать или может нужно понаблюдать 6 месяцев и сделать повторно КЛКТ?32, вам лучше было бы создать свою тему, но как-то вопросы типа "убирать дренаж или нет" говорят о том что вы немного не понимаете что делать. Снимок неинформативный но я бы имел онконастороженность.Мне кажется сдесь одонтогенная киста. На телефоне есть ещё один его снимок 2010 года. Да я спрашиваю потому что не знаю что делать с ним дальше.. Могу отправить в центр ЧЛХ. Состояние пациента отличное, отака и жалоб нет после дренировпния и удаления двух корней. Поэтому встаёт вопрос а надо ли что то делать или может нужно понаблюдать 6 месяцев и сделать повторно КЛКТ? Изменено 1 июня, 2020 пользователем 32worldwide Ссылка на комментарий
32worldwide Опубликовано 1 июня, 2020 Поделиться Опубликовано 1 июня, 2020 32worldwide, вы хотите вести этого пациента амбулаторно?Вот не знаю, отправлять его в отделение ЧЛХ или амбулаторно вести дальше. Вы что посоветуете? Ссылка на комментарий
АнтонТЛТ Опубликовано 1 июня, 2020 Поделиться Опубликовано 1 июня, 2020 Щеки может надуть? Ссылка на комментарий
32worldwide Опубликовано 2 июня, 2020 Поделиться Опубликовано 2 июня, 2020 Щеки может надуть?Может, после удаления корней и с разрезом ороантралтного сообщения не было. Проверял и со стороны рта и со стороны носа) 1 Ссылка на комментарий
32worldwide Опубликовано 2 июня, 2020 Поделиться Опубликовано 2 июня, 2020 Вот скрины с 3Д. Там видна тень от дренирующей трубки. Вопрос такой же кто как порекомендует вести пациента дальше. И есть отправить на ЧЛХ то что там будут делать(интересно просто)? Ссылка на комментарий
АнтонТЛТ Опубликовано 2 июня, 2020 Поделиться Опубликовано 2 июня, 2020 Если отделяемого нет, то трубку можно убрать. Далее можно вести на йодоформных турундах либо просто полоскания после еды, чтобы еда туда не забивалась. Вы убрали причину (если это была одонтогенная киста), то дальше само должно заживать. Кт через 3-4 месяца для оценки динамики. Ссылка на комментарий
Irouil Опубликовано 3 июня, 2020 Поделиться Опубликовано 3 июня, 2020 (изменено) Получается дефекта стенки пазухи нет? Изменено 3 июня, 2020 пользователем Irouil Ссылка на комментарий
32worldwide Опубликовано 5 июня, 2020 Поделиться Опубликовано 5 июня, 2020 Получается дефекта стенки пазухи нет?Получается что нет. Ссылка на комментарий
32worldwide Опубликовано 5 июня, 2020 Поделиться Опубликовано 5 июня, 2020 Если отделяемого нет, то трубку можно убрать. Далее можно вести на йодоформных турундах либо просто полоскания после еды, чтобы еда туда не забивалась. Вы убрали причину (если это была одонтогенная киста), то дальше само должно заживать. Кт через 3-4 месяца для оценки динамики.Может стоит сдедать биопсию? Как вы считаете есть ли с этом кейсе что то указывающее на окнологию? По моему нет, интересно мнение коллег. Почему именно 4 месяца, обычно первый контроль заживления очага через пол года.. Ссылка на комментарий
АнтонТЛТ Опубликовано 5 июня, 2020 Поделиться Опубликовано 5 июня, 2020 Вы же зуб удаляли, у Вас больше информации. Если что-то смущает сделайте биопсию). По снимку больше на одонтогенный очаг похоже.Через 3-4 месяца уже будут видны первые изменения. Ссылка на комментарий
Irouil Опубликовано 5 июня, 2020 Поделиться Опубликовано 5 июня, 2020 Я не уверен, что тут уже что-то вырастет. Вестибулярной стенки нет, протяжённость медио-дистально большая. Если с острой стадией покончили возможно имеет смысл идти на вылущивание и потом планировать реконструкцию Ссылка на комментарий
32worldwide Опубликовано 15 июня, 2020 Поделиться Опубликовано 15 июня, 2020 Спасибо. Вы же зуб удаляли, у Вас больше информации. Если что-то смущает сделайте биопсию). По снимку больше на одонтогенный очаг похоже.Через 3-4 месяца уже будут видны первые изменения.Спасибо.Я не уверен, что тут уже что-то вырастет. Вестибулярной стенки нет, протяжённость медио-дистально большая.Если с острой стадией покончили возможно имеет смысл идти на вылущивание и потом планировать реконструкцию Ссылка на комментарий
Рекомендуемые сообщения
Для публикации сообщений создайте учётную запись или авторизуйтесь
Вы должны быть пользователем, чтобы оставить комментарий
Создать аккаунт
Зарегистрируйте новый аккаунт в нашем сообществе. Это очень просто!
Регистрация нового пользователяВойти
Уже есть аккаунт? Войти в систему.
Войти