ZeNiT Опубликовано 30 декабря, 2018 Поделиться Опубликовано 30 декабря, 2018 Привет! Коллеги помогите с составлением плана лечения. Опыта с удалением таких кист нет. В будущем планируется имплантация. http://i.piccy.info/i9/42d81e6d0688034efe9a76e910cb2919/1546161955/216971/1291971/k_1110_sta.jpghttp://i.piccy.info/a3/2018-12-30-09-25/i9-12869509/551x551-r/i.gif http://i.piccy.info/i9/6b808c1dc825cf38577d9661f0199b36/1546161979/189129/1291971/k_1110_sta_2.jpghttp://i.piccy.info/a3/2018-12-30-09-26/i9-12869510/551x551-r/i.gif Ссылка на комментарий
Bier Опубликовано 30 декабря, 2018 Поделиться Опубликовано 30 декабря, 2018 делается в один этап с синуслифтиногом, имплантация опционально.Идете на латеральный доступ, и первое окно делаете очень высоко, маленькое. аккуратно разрываете шнайдерову, под ней будет киста. подцепляете ее хирургическим отсосом + пинцеты и аккуратно вытягиваете. Потом делаете окно в синус где обычно и по стандартному протоколу синуслифтинг. 11 Ссылка на комментарий
ZeNiT Опубликовано 31 декабря, 2018 Автор Поделиться Опубликовано 31 декабря, 2018 Думал, сделать окно, проколоть шприцом мембрану и кисту, оттянуть содержание, а потом вытаскивать через окно. Возможно я ошибаюсь Ссылка на комментарий
Irouil Опубликовано 2 января, 2019 Поделиться Опубликовано 2 января, 2019 Тогда а) точно придется изолировать мембраной б) рискуете создать широкий дефект в слизистой Предложенный выше метод технически много проще и не сильно травматичнее Ссылка на комментарий
ZeNiT Опубликовано 2 января, 2019 Автор Поделиться Опубликовано 2 января, 2019 делается в один этап с синуслифтиногом, имплантация опционально.Идете на латеральный доступ, и первое окно делаете очень высоко, маленькое. аккуратно разрываете шнайдерову, под ней будет киста. подцепляете ее хирургическим отсосом + пинцеты и аккуратно вытягиваете. Потом делаете окно в синус где обычно и по стандартному протоколу синуслифтинг.Возможно схематично изобразить технику или возможно есть видео в ютубе(или фото). Где выполнять окно? Как вытащить все содержимое с оболочкой ?? Ссылка на комментарий
Bier Опубликовано 2 января, 2019 Поделиться Опубликовано 2 января, 2019 "Croco eye" ищите на ютубе Ссылка на комментарий
колесников Опубликовано 2 января, 2019 Поделиться Опубликовано 2 января, 2019 Слюнотсом не вытянуть. Надо подцепить оболочку крючком Ссылка на комментарий
Nazim_NV86 Опубликовано 2 января, 2019 Поделиться Опубликовано 2 января, 2019 опционально. у меня эта опция в подарок идёт. Ссылка на комментарий
Bier Опубликовано 7 января, 2019 Поделиться Опубликовано 7 января, 2019 Слюнотсом не вытянуть. Надо подцепить оболочку крючкомне вытянуть конечно, но подцепить и удерживать можно. Ссылка на комментарий
ZeNiT Опубликовано 31 мая, 2019 Автор Поделиться Опубликовано 31 мая, 2019 Спасибо всем за советыПроцес пошел.... http://i.piccy.info/i9/d476e6af2bb52809f94ddf55560d9b50/1559336704/100791/1291971/KT1.jpghttp://i.piccy.info/a3/2019-05-31-21-05/i9-13207334/551x551-r/i.gif http://i.piccy.info/i9/4d1eda397bea1b32a12eeff6c23993a9/1559336727/105170/1291971/KT2.jpghttp://i.piccy.info/a3/2019-05-31-21-05/i9-13207337/551x551-r/i.gif http://i.piccy.info/i9/8d8247bcecb4d027f88daa36164a75b5/1559336747/104192/1291971/KT3_800.jpghttp://i.piccy.info/a3/2019-05-31-21-05/i9-13207338/653x653-r/i.gif http://i.piccy.info/i9/96fc5ebf4f6efd10f358e22e4a1ced96/1559336476/62162/1291971/IMG_20190502_094741_800.jpghttp://i.piccy.info/a3/2019-05-31-21-01/i9-13207323/450x800-r/i.gif http://i.piccy.info/i9/9e039a8abd15e625a12a6a66bffcd322/1559336559/65469/1291971/IMG_20190502_100342_800.jpghttp://i.piccy.info/a3/2019-05-31-21-02/i9-13207325/800x450-r/i.gif http://i.piccy.info/i9/5c7fc9c3a975032e480fcee05acee741/1559336578/60202/1291971/IMG_20190502_103106_800.jpghttp://i.piccy.info/a3/2019-05-31-21-02/i9-13207327/800x450-r/i.gif http://i.piccy.info/i9/ec4e9277ebd7c37222577d0ee914216d/1559336597/57133/1291971/IMG_20190502_104357_800.jpghttp://i.piccy.info/a3/2019-05-31-21-03/i9-13207328/800x450-r/i.gif http://i.piccy.info/i9/eebadcbf10a5851c2be9a36827491fed/1559336623/65707/1291971/IMG_20190502_104406_800.jpghttp://i.piccy.info/a3/2019-05-31-21-03/i9-13207330/800x450-r/i.gif http://i.piccy.info/i9/a7ef39b771b114eab37381baa5453278/1559336647/63563/1291971/IMG_20190502_120930_800.jpghttp://i.piccy.info/a3/2019-05-31-21-04/i9-13207331/800x450-r/i.gif http://i.piccy.info/i9/9043974ab916c7cd2988f6f155d970de/1559336668/45999/1291971/IMG_20190502_125821_800.jpghttp://i.piccy.info/a3/2019-05-31-21-04/i9-13207332/800x483-r/i.gif http://i.piccy.info/i9/f2e7a784562479ce8bfcfbc8040891f1/1559336686/61549/1291971/KT4_800.jpghttp://i.piccy.info/a3/2019-05-31-21-04/i9-13207333/653x653-r/i.gif 4 Ссылка на комментарий
___49___ Опубликовано 1 июня, 2019 Поделиться Опубликовано 1 июня, 2019 (изменено) Спасибо, что делитесь . Надеюсь к критике отнесетесь объективно...... Изменено 1 июня, 2019 пользователем ___49___ Ссылка на комментарий
dok1 Опубликовано 1 июня, 2019 Поделиться Опубликовано 1 июня, 2019 Спасибо всем за советыПроцес пошел.... http://i.piccy.info/i9/d476e6af2bb52809f94ddf55560d9b50/1559336704/100791/1291971/KT1.jpghttp://i.piccy.info/a3/2019-05-31-21-05/i9-13207334/551x551-r/i.gif http://i.piccy.info/i9/4d1eda397bea1b32a12eeff6c23993a9/1559336727/105170/1291971/KT2.jpghttp://i.piccy.info/a3/2019-05-31-21-05/i9-13207337/551x551-r/i.gif http://i.piccy.info/i9/8d8247bcecb4d027f88daa36164a75b5/1559336747/104192/1291971/KT3_800.jpghttp://i.piccy.info/a3/2019-05-31-21-05/i9-13207338/653x653-r/i.gif http://i.piccy.info/i9/96fc5ebf4f6efd10f358e22e4a1ced96/1559336476/62162/1291971/IMG_20190502_094741_800.jpghttp://i.piccy.info/a3/2019-05-31-21-01/i9-13207323/450x800-r/i.gif http://i.piccy.info/i9/9e039a8abd15e625a12a6a66bffcd322/1559336559/65469/1291971/IMG_20190502_100342_800.jpghttp://i.piccy.info/a3/2019-05-31-21-02/i9-13207325/800x450-r/i.gif http://i.piccy.info/i9/5c7fc9c3a975032e480fcee05acee741/1559336578/60202/1291971/IMG_20190502_103106_800.jpghttp://i.piccy.info/a3/2019-05-31-21-02/i9-13207327/800x450-r/i.gif http://i.piccy.info/i9/ec4e9277ebd7c37222577d0ee914216d/1559336597/57133/1291971/IMG_20190502_104357_800.jpghttp://i.piccy.info/a3/2019-05-31-21-03/i9-13207328/800x450-r/i.gif http://i.piccy.info/i9/eebadcbf10a5851c2be9a36827491fed/1559336623/65707/1291971/IMG_20190502_104406_800.jpghttp://i.piccy.info/a3/2019-05-31-21-03/i9-13207330/800x450-r/i.gif http://i.piccy.info/i9/a7ef39b771b114eab37381baa5453278/1559336647/63563/1291971/IMG_20190502_120930_800.jpghttp://i.piccy.info/a3/2019-05-31-21-04/i9-13207331/800x450-r/i.gif http://i.piccy.info/i9/9043974ab916c7cd2988f6f155d970de/1559336668/45999/1291971/IMG_20190502_125821_800.jpghttp://i.piccy.info/a3/2019-05-31-21-04/i9-13207332/800x483-r/i.gif http://i.piccy.info/i9/f2e7a784562479ce8bfcfbc8040891f1/1559336686/61549/1291971/KT4_800.jpghttp://i.piccy.info/a3/2019-05-31-21-04/i9-13207333/653x653-r/i.gifЧёт мне кажется - экстрим . Я бы сначала удалил образование. И импланты отсроченно. Ссылка на комментарий
ZeNiT Опубликовано 4 июня, 2019 Автор Поделиться Опубликовано 4 июня, 2019 (изменено) Спасибо, что делитесь . Надеюсь к критике отнесетесь объективно......1) Согласен, есть 1-1.5мм между верхушками корня и импланта.... перкусия зуба негативна... http://i.piccy.info/i9/dc3b255d37aef33b4d15aa276df4707c/1559628354/94283/1291971/kontakt_800.jpghttp://i.piccy.info/a3/2019-06-04-06-05/i9-13213612/653x653-r/i.gif 2) Импланты можно было поставить побольше 5x13.... 3) Что это?? Реакция на травму ?? На аугментацию или мембрану ?? Синусит ??? http://i.piccy.info/i9/92de855c1c9599e0df444d30a0b3034a/1559629051/63168/1291971/KT4_800.jpghttp://i.piccy.info/a3/2019-06-04-06-17/i9-13213627/653x653-r/i.gif p.s. будем работать над ошибками... Изменено 4 июня, 2019 пользователем ZeNiT Ссылка на комментарий
Bier Опубликовано 5 июня, 2019 Поделиться Опубликовано 5 июня, 2019 Виталий, спасибо за кейс! Но кадрируйте снимки. (обрезайте все лишнее) Ссылка на комментарий
Дмитрий М Опубликовано 5 июня, 2019 Поделиться Опубликовано 5 июня, 2019 (изменено) 3) Что это?? Реакция на травму ?? На аугментацию или мембрану ?? Синусит ???какой срок после операции?после ОСЛ гемосинус это норма кисту достали красиво опишите чем и как закрыли перфу? Спасибо, что делитесь . Надеюсь к критике отнесетесь объективно......ИМХО излишне много графта Изменено 5 июня, 2019 пользователем Дмитрий М Ссылка на комментарий
ZeNiT Опубликовано 13 июня, 2019 Автор Поделиться Опубликовано 13 июня, 2019 КТ через 3 недели после операции Ссылка на комментарий
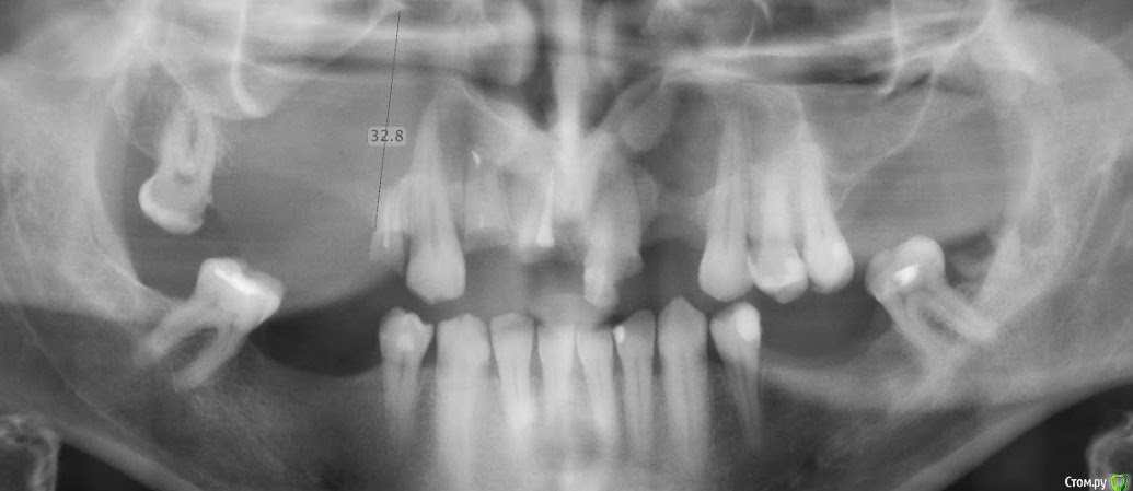
ZeNiT Опубликовано 6 декабря, 2019 Автор Поделиться Опубликовано 6 декабря, 2019 (изменено) Прошло 7 месяцев. Пациент вернулся из-за границы. Жалобы отсутствуют. Начали второй этап - раскрытие 7 имплантов. Вроде шло все нормально. Поставил на все формирователи.Все были си-бе-моль ) Но в области 25-27 решил провести пробу на откручивания при 35Н. (45 не решился, думал может маловато времени прошло) .25-26 все нормально. А вот 27 начал откручиваться. Прокрутил где-то на четверть и больше не пробовал. А как дальше, не знаю ????1) ждать у моря погоды2) удалять и через 3 месяца поставить 5х133) протезировать )4)рано открыл http://i.piccy.info/i9/5288f5fe96ac7b1528460125a86012ea/1575664472/79466/1291971/0000023571_Pavlo_Mykhaylovych_Poprivskyy_Panorama_20191129143128_800.jpghttp://i.piccy.info/a3/2019-12-06-20-34/i9-13540067/800x438-r/i.gif 26http://i.piccy.info/i9/49e16b4f30ab2f8bcee129e06debddaf/1575664515/78781/1291971/26_800.jpghttp://i.piccy.info/a3/2019-12-06-20-35/i9-13540069/653x653-r/i.gif 27http://i.piccy.info/i9/35398ce4188f20175a0f070d73467436/1575664534/76608/1291971/27_800.jpghttp://i.piccy.info/a3/2019-12-06-20-35/i9-13540070/653x653-r/i.gif 26-27http://i.piccy.info/i9/116e7662b790171a6da6197677277ab6/1575664556/78066/1291971/26_27_800.jpghttp://i.piccy.info/a3/2019-12-06-20-35/i9-13540073/653x653-r/i.gif Изменено 6 декабря, 2019 пользователем ZeNiT 1 Ссылка на комментарий
dok1 Опубликовано 7 декабря, 2019 Поделиться Опубликовано 7 декабря, 2019 Выкрутить. Кюретаж возможного мусора из лунки и переустановка 2 Ссылка на комментарий
ZeNiT Опубликовано 10 декабря, 2019 Автор Поделиться Опубликовано 10 декабря, 2019 (изменено) Переустановка сразу побольше... или ждать ??? подсыпать???? Изменено 10 декабря, 2019 пользователем ZeNiT Ссылка на комментарий
dok1 Опубликовано 11 декабря, 2019 Поделиться Опубликовано 11 декабря, 2019 Я б подождал пару месяцев минимум. Графт непросто так незахряс. Имплант на данный момент является раздражителем. Убрав его, вы дадите место сосудам Ссылка на комментарий
Dr.Dzygar.A Опубликовано 13 декабря, 2019 Поделиться Опубликовано 13 декабря, 2019 Привет! Коллеги помогите с составлением плана лечения. Опыта с удалением таких кист нет. В будущем планируется имплантация.Существует методика марсупиализации, заключается в снятии внутреннего давления кисты путём дренажа . После некоторого времени и уменьшения образования в размерах , производится классическое удаление ЛОРом или по Колдуэллу-Люку http://i.piccy.info/i9/42d81e6d0688034efe9a76e910cb2919/1546161955/216971/1291971/k_1110_sta.jpghttp://i.piccy.info/a3/2018-12-30-09-25/i9-12869509/551x551-r/i.gif http://i.piccy.info/i9/6b808c1dc825cf38577d9661f0199b36/1546161979/189129/1291971/k_1110_sta_2.jpghttp://i.piccy.info/a3/2018-12-30-09-26/i9-12869510/551x551-r/i.gif Ссылка на комментарий
red_butler Опубликовано 13 декабря, 2019 Поделиться Опубликовано 13 декабря, 2019 Существует методика марсупиализации, заключается в снятии внутреннего давления кисты путём дренажа . После некоторого времени и уменьшения образования в размерах , производится классическое удаление ЛОРом или по Колдуэллу-Люкуhttp://i.piccy.info/a3/2018-12-30-09-25/i9-12869509/551x551-r/i.gif http://i.piccy.info/a3/2018-12-30-09-26/i9-12869510/551x551-r/i.gif Вы тему читали? После того, что вы советуете, проводить синуслифтинг станет крайне сложно Ссылка на комментарий
32worldwide Опубликовано 31 мая, 2020 Поделиться Опубликовано 31 мая, 2020 Чтобы не создавать новую тему, спрошу здесь. Был пациент на хирургическом дежурстве с ассиметрией лица, выраженным отеком с правой стороны. Сделали ОРТО там огромная область радиолюценции. Зубы 1.3 и 2.3 витальные. 5.04 были удалены зубы 1.2 и 1.4, установлен дренаж. Из лунок зубов а так же из дефекты в слизистой активно выделялось содержимое кисты мутная вязкая соломенного цвета жидкость. 10.04 с целью дальнейшей декомпресии полости кисты, установил в нее дренаж из трубки, пришил его. Пациент за это время два раза был на осмотре, жалоб нет. Все симптоны прошли в течение недели. 25.05 сделали КЛКТ этой области, там огромная полость без костной ткани, ее просто вообще нет в области зубов 1.4-1.8 Я к сожалению не могу открыть его дома чтобы сделать скриншоты. Пациента сейчас не интересует восстановление отсутствующих зубов. Какая дальнейшая тактика лечения может быть? Нужно продолжать вести с дренажем и наблюдать или убрать дренаж? Или идти на экстирпацию кисты? П.С с очагом с другой стороны будем разбираться в будующем. Ссылка на комментарий
red_butler Опубликовано 1 июня, 2020 Поделиться Опубликовано 1 июня, 2020 32worldwide, вы хотите вести этого пациента амбулаторно? Ссылка на комментарий
Дмитрий Л. Опубликовано 1 июня, 2020 Поделиться Опубликовано 1 июня, 2020 32, вам лучше было бы создать свою тему, но как-то вопросы типа "убирать дренаж или нет" говорят о том что вы немного не понимаете что делать. Снимок неинформативный но я бы имел онконастороженность. Ссылка на комментарий
Рекомендуемые сообщения
Для публикации сообщений создайте учётную запись или авторизуйтесь
Вы должны быть пользователем, чтобы оставить комментарий
Создать аккаунт
Зарегистрируйте новый аккаунт в нашем сообществе. Это очень просто!
Регистрация нового пользователяВойти
Уже есть аккаунт? Войти в систему.
Войти