Axel_R Опубликовано 4 сентября, 2018 Поделиться Опубликовано 4 сентября, 2018 Я пациент. Откололась стенка 6-го зуба сверху. Сейчас этот зуб болит когда кусаю твердую еду, сам по себе не болит. Делаю повторное лечение каналов этого зуба под микроскопом в крутой клинике за космические деньги. В конце первого сеанса доктор сообщил, что в каналах старый материал (резорцин), которому уже лет 15-20, оказался очень твердым и убрать его из каналов очень и очень сложно. Доктор сообщает:Если явного воспаления нет, то можно спокойно оставить старый материал в каналах. Он очень плотный и может еще служить. «если упиреться рогом» есть риск, что во время высверливания инструмент может отклониться и сделать дырку в корне зуба (перфорацию), и это будет хуже, чем если оставить старый материал на месте. И мол с позиции «не навредить», то рекомендуют старый материал оставить в каналах. Моя позиция:Как пациент я считаю, что сама эта процедура повторного лечения и состоит в очистке каналов и полной замене старого материала на новый. И пусть доктор делает свою работу до конца, я ведь за нее плачу немалые деньги. А если оставить старый, то я не совсем понимаю в чем состоит такая дорогая работа…. Оставлять старый материал в каналах (пусть и плотный) — разве это нормальная мировая практика в современной эндодонтии, в 21 веке?? Я не в курсе...Ну и само собой гарантий на повтороное эндо не дают. Я собираюсь вежливо настаивать, чтобы старый материал убрали из каналов полностью.Делаю это процедуру один раз и еще раз проходить через все это не собираюсь. Надо сказать я немного мнительный, и возникают мрачные мысли, что вот если сейчас промолчу «в тряпочку», и старый материал в каналах оставят, то больше рисков в будущем иметь повторные проблемы с этим зубом и придется лечить еще раз и платить соответственно. И это в лучшем случае, а в худшем вообще удалять . И от этого страшно Хочу понять для себя стоит ли мне продолжать настаивать на убирании/высверливании старого материала из каналов полностью или соглашаться с доктором оставить старый плотный материал как мне предлагают?И кто вообще должен принимать решение в этом случае: я или доктор, или оба?На сегодня с доктором полное взаимопонимание, доктор производит хорошее впечатление. Очень хочется услышать мнения грамотных эндодонтов с опытом в таких ситуациях ? У кого-то есть инфа как ведет себя зуб со старым материалом спустя два-три десятка лет (если таки соглашусь оставить)? P.S. Собственно, вопрос где правильно будет поставить запятую во фразе «Оставлять нельзя высверливать». P.P.S. Прицельного снимка этого зуба у меня пока нет, мне кажется в моем случае он не особо нужен. 2 Ссылка на комментарий
red_butler Опубликовано 5 сентября, 2018 Поделиться Опубликовано 5 сентября, 2018 P.P.S. Прицельного снимка этого зуба у меня пока нет, мне кажется в моем случае он не особо нужен. http://forum.stom.ru/topic/20613-sovety-patcientam-obiazatelno-k-prochteniiu/ Ссылка на комментарий
St. Опубликовано 5 сентября, 2018 Поделиться Опубликовано 5 сентября, 2018 Все очень и очень индивидуально. Сделайте снимок того что смогли распломбировать на данный момент Ссылка на комментарий
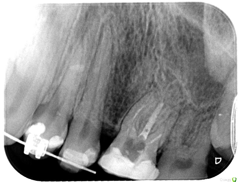
Axel_R Опубликовано 6 сентября, 2018 Автор Поделиться Опубликовано 6 сентября, 2018 Вот снимки на сегодня, зуб 26. Что скажете? Настаивать на высверливании старого материала из каналов или можно его спокойно оставить без негативных последствий? На зубе потом будет коронка. 1 1 Ссылка на комментарий
Axel_R Опубликовано 12 сентября, 2018 Автор Поделиться Опубликовано 12 сентября, 2018 Апдейт: Прошли 3 канала из 4, включая широкий небный. В оставшемся тонком канале говорят старый материал очень плотный и не поддается. На КТ и на снимках воспаления в районе верхушек тонких накалов не наблюдают и в других местах его тоже не видят. Форсировать не хотят, опасаются таки сделать перфорацию в тонком изогнутом канале. Поэтому доктор принял решение его оставить как есть и пломбировать пройденные. Ну Ок, им виднее. Но дело в том что зуб все еще болит когда кусаю что-то твердое! И никто не может назвать причину боли. Всегда думал сначала определяют в чем причина и устраняют эту причину, а уже потом пломбируют (ну как с кариесом). Я конечно мало в этом понимаю, но мне кажется если сейчас «замуровать» все вместе с источником боли, то ведь потом до этого источника уже будет не добраться (если он внутри канала или корня). А вдруг болеть будет еще неограниченно долго? Ведь не для этого я это лечение начинал…Я понимаю, что на повторное эндо нет гарантии и согласился с этим в документе, но как-то боязно... Вопрос: Правильное ли это решение? Соглашаться ли мне на пломбировку всех каналов когда зуб все еще болит? Ну или не соглашаться на завершение повторного эндо пока не устранят когда кусаю твердое? Какие будет мнения?Сама по себе пломбировка может устранить боль? Пока хожу с временной пломбой.На фото зуб в конце лечения с инструментами. Ссылка на комментарий
Бендер Опубликовано 21 декабря, 2018 Поделиться Опубликовано 21 декабря, 2018 Ну и? Ссылка на комментарий
Рекомендуемые сообщения
Для публикации сообщений создайте учётную запись или авторизуйтесь
Вы должны быть пользователем, чтобы оставить комментарий
Создать аккаунт
Зарегистрируйте новый аккаунт в нашем сообществе. Это очень просто!
Регистрация нового пользователяВойти
Уже есть аккаунт? Войти в систему.
Войти