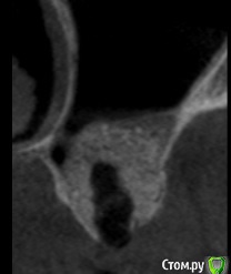
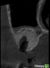
Andre_ Опубликовано 14 июня, 2018 Поделиться Опубликовано 14 июня, 2018 ... в чём дело, сразу не поймёшь.Добрый всем день. Выполнен открытый синус - лифтинг с Bio-Oss, исходно в области альвеолярного отростка высота своей кости 2-3 мм, через 6 месяцев - имплантация без особенностей, ложе умеренно кровило. Гранулы на сверле были, но встали имплантаты с торком порядка 20 Н/см2. Раскрытие спустя 3 мес., имплантаты на фдм выкручены рукой. Ложа откюретированы, заполнены коллагеном и ушиты, спустя 5 суток жалобы на боли - искомая область абсцедирует. Разрез, гной и крупицы, стенки и дно ложа винтов при зондировании инструментом таки твёрдые. Назначены а\б повторно, и загружены фото с контрольной КТ. Где, по- вашему, допустио ошибку и какую? И каков прогноз на переустановку? Столкнулся с такой проблемой впервые и немного дезориентировался. Ссылка на комментарий
Евгений Ходыкин Опубликовано 14 июня, 2018 Поделиться Опубликовано 14 июня, 2018 Судя по срезам исходной кости у Вас кортикалка ток была. Графтить со смесью ауто надо было... 2 Ссылка на комментарий
red_butler Опубликовано 14 июня, 2018 Поделиться Опубликовано 14 июня, 2018 Графтить со смесью ауто надо было... +1 Ссылка на комментарий
Дмитрий Л. Опубликовано 14 июня, 2018 Поделиться Опубликовано 14 июня, 2018 (изменено) http://forum.stom.ru/topic/35752-implantatciia-posle-konservatcii-lunki-bio-ossom/page-2 1. Биоосс чистый? Без ауто?Из практики известно, что механическая нагрузка (компрессионная нагрузка) в зоне имплантации материалов Geistlich Bio-Oss® возможна не ранее, чем через 6 месяцев. 2. 6 месяцев оказалось недостаточно... 3. Вы сразу ФДМ поставили? Торк 20 это граничный такой показатель... минимальный для трансгингивального заживления. 4. Зачем коллагеновые губки нужны были? Ошибки как таковой и нету. Просто совокупность неблагоприятных факторов и соблюдение минимальных сроков/показателей привело к такому результату. Плотные стенки и дно это хорошо. Я думаю через 3-4 месяца повторно имплантировать можно, место есть. Изменено 14 июня, 2018 пользователем Дмитрий Л. Ссылка на комментарий
Евгений Ходыкин Опубликовано 14 июня, 2018 Поделиться Опубликовано 14 июня, 2018 Хотя у меня есть подобный кейс, где даже смесь с ауто не спасла. С двух попыток болты «выходили»... Ссылка на комментарий
егорджан Опубликовано 14 июня, 2018 Поделиться Опубликовано 14 июня, 2018 Графтить со смесью ауто надо было... ну или хотя б с i-A-prf... Ссылка на комментарий
red_butler Опубликовано 14 июня, 2018 Поделиться Опубликовано 14 июня, 2018 Хотя у меня есть подобный кейс, где даже смесь с ауто не спасла. С двух попыток болты «выходили»... аналогично, челюсть два раза просто выплюнула импланты, пришлось делать консоль, но у моей пациентки не помню уж какая но соматика была Ссылка на комментарий
егорджан Опубликовано 14 июня, 2018 Поделиться Опубликовано 14 июня, 2018 может и зубчик рядом подговнил как то Ссылка на комментарий
Тимур86 Опубликовано 14 июня, 2018 Поделиться Опубликовано 14 июня, 2018 Что за винты?не рано через 3 месяца открылись? Ссылка на комментарий
колесников Опубликовано 14 июня, 2018 Поделиться Опубликовано 14 июня, 2018 Большой объём биоса. Ильгам советует в таких случаях биос по стенкам,по центру ауто. Я же советую ,сразу в аугментат не ставить,даже спустя 6-8 мес. Ссылка на комментарий
АнтонТЛТ Опубликовано 14 июня, 2018 Поделиться Опубликовано 14 июня, 2018 Есть снимок после имплантации или перед фдм?Что за имплантаты?С ауто или без, с клинической точки зрения разницы особой нет. 3 Ссылка на комментарий
krokomot Опубликовано 14 июня, 2018 Поделиться Опубликовано 14 июня, 2018 Думаю причина в изначально слабом торке, большом объеме аугментата и малых сроках нагрузки, делаю только чистый биоосс, подкладываю прф под шнейдерову, но не всегда. Ссылка на комментарий
Дмитрий Л. Опубликовано 15 июня, 2018 Поделиться Опубликовано 15 июня, 2018 АнтонТЛТСогласитесь, что с ауто процессы ремоделирования и остеогенеза прошли бы быстрее. Соответственно и интеграция прошла бы лучше. Или вы другое имели в виду?Думаю причина в изначально слабом торке, большом объеме аугментата и малых сроках нагрузки, делаю только чистый биоосс, подкладываю прф под шнейдерову, но не всегда.А сколько ждёте с чистым биооссом? Ссылка на комментарий
АнтонТЛТ Опубликовано 15 июня, 2018 Поделиться Опубликовано 15 июня, 2018 Думаю что кость между гранул проростает с такой же скоростью, что и при интеграции имплантата. Делаю чистым ксено (Cerabone) одномоментно с имплантацией и при высоте отростка 0,5-1 мм. Раскрываю через 4-6мес. Никогда проблем не было. В данной ситуации, возможно имплантаты не были заглублены и просто раскачались пищевым комком. Ссылка на комментарий
krokomot Опубликовано 15 июня, 2018 Поделиться Опубликовано 15 июня, 2018 АнтонТЛТСогласитесь, что с ауто процессы ремоделирования и остеогенеза прошли бы быстрее. Соответственно и интеграция прошла бы лучше. Или вы другое имели в виду?А сколько ждёте с чистым биооссом?все аугментации веду с 6 мес ожиданием. толщина кортикалки не имеет значние. В 1 мм ставлю Ссылка на комментарий
Andre_ Опубликовано 15 июня, 2018 Автор Поделиться Опубликовано 15 июня, 2018 Снова здравствуйте. Пару дней гнойного отделяемого с гранулами материала, антибиотик делает своё дело, рана сейчас без свободного гноя, отправлена допивать а/б и заживать. Коллагеновые конусы инфицировались ? Или откуда - то гематома нагноилась ? Не очень понятно. Отвечаю : Байос чистый. Фото в день имплантации утерялось. Винты, конечно, были ушиты. Нобель Параллел. Возможности изокрестальной установки не исключаю, но биотип толстый, слабо представляю давление пищевого комка. В раздумиях по дальнейшей тактике - сроки и чего ожидать. Ссылка на комментарий
krokomot Опубликовано 15 июня, 2018 Поделиться Опубликовано 15 июня, 2018 Скажите, бы ли ли следы интеграции на имплантатах?, если сразу 2 нобеля на фдм самоудалились, есть явно проблеммы с регенерацией, скорее всего есть еще какая-то внутренняя системная патология. Ссылка на комментарий
Andre_ Опубликовано 15 июня, 2018 Автор Поделиться Опубликовано 15 июня, 2018 Совершенно верно, я забыл упомянуть в первом сообщении : на витках ничего не было, ни гранул, ни кости. Это, конечно, удивило. Какую, например, патологию можно подозревать? Ссылка на комментарий
krokomot Опубликовано 15 июня, 2018 Поделиться Опубликовано 15 июня, 2018 Например курит или принимает антидепресанты. Ссылка на комментарий
Andre_ Опубликовано 15 июня, 2018 Автор Поделиться Опубликовано 15 июня, 2018 Например курит или принимает антидепресанты.Я довольно дотошный в плане анамнеза, такого не помню - создаёт впечатление практически здоровой. Если не врёт. Ссылка на комментарий
Евгений Ходыкин Опубликовано 16 июня, 2018 Поделиться Опубликовано 16 июня, 2018 Я довольно дотошный в плане анамнеза, такого не помню - создаёт впечатление практически здоровой. Если не врёт.«Everybody lies...», как говорил хромой Ссылка на комментарий
Andre_ Опубликовано 17 июня, 2018 Автор Поделиться Опубликовано 17 июня, 2018 «Everybody lies...», как говорил хромой Так - то оно так, но где искать причину проблем. В Вашем случае, как удалось добиться - таки фиксации винтов ? Ссылка на комментарий
TIGER Опубликовано 20 июня, 2018 Поделиться Опубликовано 20 июня, 2018 ... в чём дело, сразу не поймёшь.Добрый всем день. Выполнен открытый синус - лифтинг с Bio-Oss, исходно в области альвеолярного отростка высота своей кости 2-3 мм, через 6 месяцев - имплантация без особенностей, ложе умеренно кровило. Гранулы на сверле были, но встали имплантаты с торком порядка 20 Н/см2. Раскрытие спустя 3 мес., имплантаты на фдм выкручены рукой. Ложа откюретированы, заполнены коллагеном и ушиты, спустя 5 суток жалобы на боли - искомая область абсцедирует. Разрез, гной и крупицы, стенки и дно ложа винтов при зондировании инструментом таки твёрдые. Назначены а\б повторно, и загружены фото с контрольной КТ. Где, по- вашему, допустио ошибку и какую? И каков прогноз на переустановку? Столкнулся с такой проблемой впервые и немного дезориентировался. sav1.jpg sav2.jpg sav3.jpgСверлили под импланты по полному протоколу? Ссылка на комментарий
Andre_ Опубликовано 20 июня, 2018 Автор Поделиться Опубликовано 20 июня, 2018 Сверлили под импланты по полному протоколуНасколько помню, не модифицировал никак. Ссылка на комментарий
TIGER Опубликовано 21 июня, 2018 Поделиться Опубликовано 21 июня, 2018 Насколько помню, не модифицировал никак.Тогда предположу,что отсутсвие торка и гравитация сделали своё дело....в таких случаях после пилотного сразу винтить надо Ссылка на комментарий
Рекомендуемые сообщения
Для публикации сообщений создайте учётную запись или авторизуйтесь
Вы должны быть пользователем, чтобы оставить комментарий
Создать аккаунт
Зарегистрируйте новый аккаунт в нашем сообществе. Это очень просто!
Регистрация нового пользователяВойти
Уже есть аккаунт? Войти в систему.
Войти