anvladd Опубликовано 20 марта, 2018 Поделиться Опубликовано 20 марта, 2018 Коллеги чем может грозить вот это? Технический косяк?Пилил много по прикусу,мост сел норм,щелей между десной и коронками нет. Импланты ASTRA Ссылка на комментарий
Freelancer1981 Опубликовано 20 марта, 2018 Поделиться Опубликовано 20 марта, 2018 Цементная фиксация или винтовая? Ссылка на комментарий
anvladd Опубликовано 20 марта, 2018 Автор Поделиться Опубликовано 20 марта, 2018 Винтовая,забыл написать. На модели кстати тоже было завышение Ссылка на комментарий
anvladd Опубликовано 20 марта, 2018 Автор Поделиться Опубликовано 20 марта, 2018 (изменено) Может при фиксации как то этот узел разъединиться и дать завышение ?(хотя на модели было завышение и во рту так же),с небольшим усилием крутил. Хочу разобраться,реально загнался Изменено 20 марта, 2018 пользователем anvladd Ссылка на комментарий
AndyAndy Опубликовано 20 марта, 2018 Поделиться Опубликовано 20 марта, 2018 Давайте разбираться. Вы сами вклеивали или вам прислали уже вклеенную работу на основания? Если сами, то вклеивали на модели или во рту? Думаю сложно было пропустить такой недосад вне полости рта, странно что не заметили. Ссылка на комментарий
anvladd Опубликовано 20 марта, 2018 Автор Поделиться Опубликовано 20 марта, 2018 (изменено) Прислали вклееную, сам в шоке что пропустил,первый раз такое,выводы сделал, думаете переделать сразу или.... ? Изменено 20 марта, 2018 пользователем anvladd Ссылка на комментарий
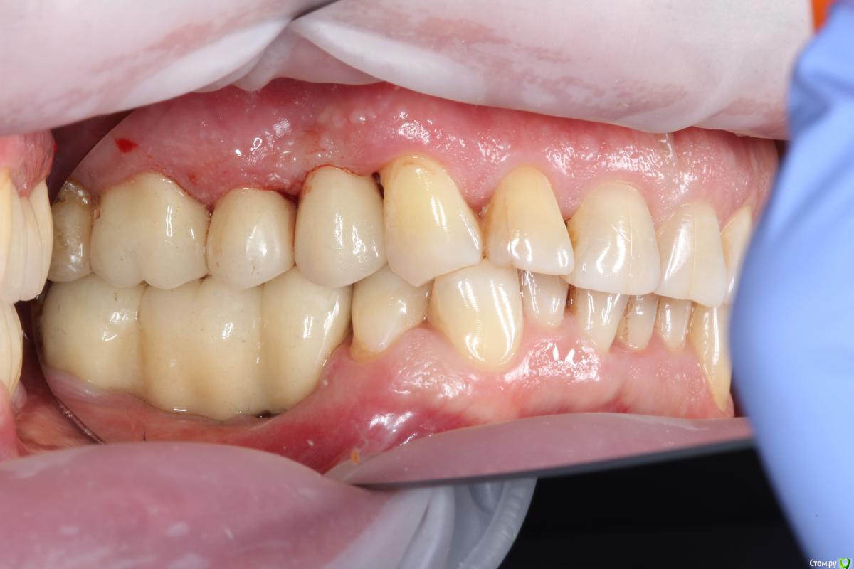
anvladd Опубликовано 20 марта, 2018 Автор Поделиться Опубликовано 20 марта, 2018 Вот так во рту Ссылка на комментарий
makinos Опубликовано 20 марта, 2018 Поделиться Опубликовано 20 марта, 2018 Если работу недавно сдали, значит модель в клинике еще. Откручивайте и в лабу, пусть все расклеивают). Добавят керамики, которую вы спилили и вклеют по-людски. Там на 35 тоже не все гладко, по-моему. Так оставлять- не вариант. 3 Ссылка на комментарий
anvladd Опубликовано 20 марта, 2018 Автор Поделиться Опубликовано 20 марта, 2018 И все же не могло соединение при закручивании разойтись ? Ссылка на комментарий
makinos Опубликовано 21 марта, 2018 Поделиться Опубликовано 21 марта, 2018 Могло. Но маловероятно. У вас же на модели завышало до фиксации. Ссылка на комментарий
RuStom Опубликовано 21 марта, 2018 Поделиться Опубликовано 21 марта, 2018 а что за титановые основания?такое впечатление, что там просто шестигранник без конуса? Ссылка на комментарий
BadMojo Опубликовано 21 марта, 2018 Поделиться Опубликовано 21 марта, 2018 У меня первая мысль - контактный пункт м\у коронкой на импланте и 38 слишком плотный и не дает досадить мост. Ссылка на комментарий
RuStom Опубликовано 21 марта, 2018 Поделиться Опубликовано 21 марта, 2018 У меня первая мысль - контактный пункт м\у коронкой на импланте и 38 слишком плотный и не дает досадить мост.по идее, если так, то пациент должен чувствовать дикий дискомфорт при затяжке винтов, сильное давление на соседний зуб... Ссылка на комментарий
Паращук Роман Опубликовано 21 марта, 2018 Поделиться Опубликовано 21 марта, 2018 Пустили гаву в лабе при склейке или каркас не садился,срезали по краю и законопатили композитом. Эта зона будет сбором налета с вытекающими. Я бы переделал. 3 Ссылка на комментарий
anvladd Опубликовано 21 марта, 2018 Автор Поделиться Опубликовано 21 марта, 2018 Пустили гаву в лабе при склейке или каркас не садился,срезали по краю и законопатили композитом. Эта зона будет сбором налета с вытекающими. Я бы переделал. походу так и есть,ну немог я пропустить такие щели. Ссылка на комментарий
anvladd Опубликовано 21 марта, 2018 Автор Поделиться Опубликовано 21 марта, 2018 Мой косяк в том что я начал подгонять надо было обратно отправить в лабу,выводы сделаны,всем спасибо! Ссылка на комментарий
RuStom Опубликовано 21 марта, 2018 Поделиться Опубликовано 21 марта, 2018 и про титановые основания спросите. просто интересно даже.вот снимок коронки на Астре с оригинальным абатментом. там видно, что вокруг "ножки" винта практически нет саободного пространства. все заполнено конусом и шестигранником.http://forum.stom.ru/uploads/monthly_12_2017/post-16178-0-06922300-1514347921_thumb.jpg на Вашем снимке же очень много пространства вокруг винта... Ссылка на комментарий
Борис80 Опубликовано 23 марта, 2018 Поделиться Опубликовано 23 марта, 2018 кость не мешает абатменту и коронке? Ссылка на комментарий
chervoncevdaniil Опубликовано 24 марта, 2018 Поделиться Опубликовано 24 марта, 2018 кость не мешает абатменту и коронке?Как достоверно определить,что мешает при посадке коронки,кость или десна? Ссылка на комментарий
Борис80 Опубликовано 24 марта, 2018 Поделиться Опубликовано 24 марта, 2018 Как достоверно определить,что мешает при посадке коронки,кость или десна?снимок? ну или если десна, больно но можно просаживать, если кость -не посадишь Ссылка на комментарий
anvladd Опубликовано 4 апреля, 2018 Автор Поделиться Опубликовано 4 апреля, 2018 Сегодня снял мост,снял слепки заново и отправил на переделку. Как и писали выше на одном законопатили композитом,на другом щель. Ссылка на комментарий
zubovnet Опубликовано 5 апреля, 2018 Поделиться Опубликовано 5 апреля, 2018 Сегодня снял мост,снял слепки заново и отправил на переделку. Как и писали выше на одном законопатили композитом,на другом щель.И ведь техник четко понимал, что косячит. Но передал Вам такую работу в надежде на "прокатит- не заметит" 1 Ссылка на комментарий
chervoncevdaniil Опубликовано 5 апреля, 2018 Поделиться Опубликовано 5 апреля, 2018 И ведь техник четко понимал, что косячит. Но передал Вам такую работу в надежде на "прокатит- не заметит"У него практически получилось 1 Ссылка на комментарий
AndyAndy Опубликовано 5 апреля, 2018 Поделиться Опубликовано 5 апреля, 2018 У него практически получилосьТехник не догадывался, что придётся столкнуться с коллективным разумом нашего сообщества)) 1 Ссылка на комментарий
Паращук Роман Опубликовано 6 апреля, 2018 Поделиться Опубликовано 6 апреля, 2018 Техник не догадывался, что придётся столкнуться с коллективным разумом нашего сообщества))А признал косяк или морозится? Ссылка на комментарий
Рекомендуемые сообщения
Для публикации сообщений создайте учётную запись или авторизуйтесь
Вы должны быть пользователем, чтобы оставить комментарий
Создать аккаунт
Зарегистрируйте новый аккаунт в нашем сообществе. Это очень просто!
Регистрация нового пользователяВойти
Уже есть аккаунт? Войти в систему.
Войти