St. Опубликовано 19 февраля, 2018 Поделиться Опубликовано 19 февраля, 2018 Пациент 32лет, жалобы на боль в обл. 36-37 которую почувствовал вчера, ассиметрия лица. До этого не беспокоил никак, ни на температурные раздражители, ни на сладкое, ни на накусывание. В истории семейная предрасположенность к парадонтиту, соматически здоров.Пломбы на 36 37 нормальные, контакт есть, нависающих краев нет.Витальность не проверяли сегодня Пока хирург дал отток через карман и назначил антибиотики.Как вести дальше, какие шансы спасти 36? Ссылка на комментарий
Kiev_Dentist Опубликовано 20 февраля, 2018 Поделиться Опубликовано 20 февраля, 2018 Никак не вести. 100% удаление. Ссылка на комментарий
red_butler Опубликовано 20 февраля, 2018 Поделиться Опубликовано 20 февраля, 2018 + 1 к удалению Ссылка на комментарий
vse32 Опубликовано 20 февраля, 2018 Поделиться Опубликовано 20 февраля, 2018 А меня больше интересует причина такого состояния. И мне кажется, что карман не первичен. Вероятно все началось периодонтитом, долгим и бессимптомным. В таком случае можно было бы попробовать эндо лечение.Но оговорюсь. Эксперимент бы проводила на родственнике - человеке перед которым нет финансовых и юридических обязательств.А так да, самое эффективное и предсказуемое лечение - удаление.Если же первичен пародонтит - то только удаление. Вот бы кто аргументированно доказал первопричину. Ссылка на комментарий
Ico Опубликовано 20 февраля, 2018 Поделиться Опубликовано 20 февраля, 2018 Я бы эндо сделал.3.7 на витальность проверить. Ссылка на комментарий
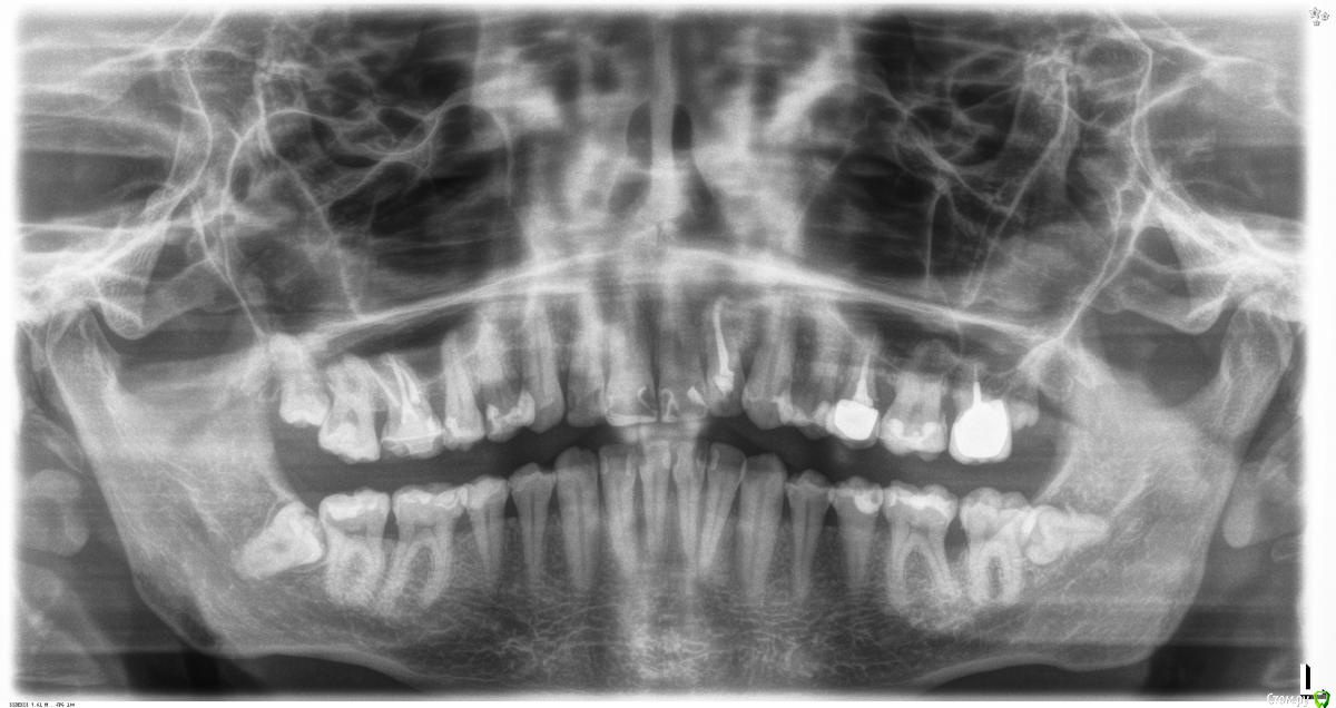
St. Опубликовано 20 февраля, 2018 Автор Поделиться Опубликовано 20 февраля, 2018 Как прийдёт проверю.Кстати, подвижность 36 1 степени, 37 неподвижен.Вот панорама годичной давности. Карман был, но явно не такой. Ссылка на комментарий
vse32 Опубликовано 20 февраля, 2018 Поделиться Опубликовано 20 февраля, 2018 Вот панорама годичной давности. Карман был, но явно не такой. Не. Тогда без всяких эндо. Просто удалять. Ссылка на комментарий
St. Опубликовано 20 февраля, 2018 Автор Поделиться Опубликовано 20 февраля, 2018 Да, человек знакомый, практически родственник, так что экспериментировать могу Ссылка на комментарий
St. Опубликовано 20 февраля, 2018 Автор Поделиться Опубликовано 20 февраля, 2018 Не. Тогда без всяких эндо. Просто удалять. Спасибо, печалька конечно Ссылка на комментарий
Ico Опубликовано 20 февраля, 2018 Поделиться Опубликовано 20 февраля, 2018 Да, человек знакомый, практически родственник, так что экспериментировать могуТем более попробовал бы эндо сделать.Свой в случае неудачи на Вас в суд не подаст))),а так удалить всегда успеете.Неужели вы видите 100% показания для удаления? Ссылка на комментарий
red_butler Опубликовано 20 февраля, 2018 Поделиться Опубликовано 20 февраля, 2018 Тем более попробовал бы эндо сделать.Свой в случае неудачи на Вас в суд не подаст))),а так удалить всегда успеете.Неужели вы видите 100% показания для удаления?Свои да наши как раз чаще судятся ((( Ссылка на комментарий
vse32 Опубликовано 20 февраля, 2018 Поделиться Опубликовано 20 февраля, 2018 Тем более попробовал бы эндо сделать.Свой в случае неудачи на Вас в суд не подаст))),а так удалить всегда успеете.Неужели вы видите 100% показания для удаления? Если у врача есть желание для подобных бесплатных экспериментов - а почему бы и нет. Опять же нам потом результаты покажете.Будет положительный результат - бонус в виде нового опыта и спасенный зуб. Опять же может кости немного отрастет, для имплантата, тоже плюс.Будет отрицательный результат. По цокаем языками и с умным видом скажем, что предупреждали. Как то так. Ссылка на комментарий
kramer Опубликовано 20 февраля, 2018 Поделиться Опубликовано 20 февраля, 2018 Может есть окклюзионная помеха? Ссылка на комментарий
St. Опубликовано 20 февраля, 2018 Автор Поделиться Опубликовано 20 февраля, 2018 Вроде бы с окклюзией все более менее, за исключением периодически растущих восьмерок.Кстати, а не могли ли они спроврцировать?Просто остальные карманы плюс минус на том же уровне последние 5 лет( сколько наблюдаю), а с этим обидно. До этого чистились регулярно, а это год не появлялся, но на чистки ходил регулярно.И вот те на подарочек! Ссылка на комментарий
St. Опубликовано 20 февраля, 2018 Автор Поделиться Опубликовано 20 февраля, 2018 Желание то для экспериментов есть, но бесплатными они никак не получается, я на % работаю в частной, соответственно максимум могу отминусовать свой процент, дешевле руководство не разрешит((Если б можно было бесплатно точно бы пробовала!Поэтому и вопрос - стоит ли оно того или отпустить к хирургу. Но я же понимаю что с имплантами там тоже все непросто будет в плане кости и ещё не понятно удалять ли 8 сейчас, потом или не трогать? Ссылка на комментарий
Ico Опубликовано 20 февраля, 2018 Поделиться Опубликовано 20 февраля, 2018 Если б можно было бесплатно точно бы пробовала! Вот он корень всех проблем остается вариант сделать платно)) 98% даю что все у Вас получится.Через кальций с хорошей времяшкой,по прикусу подровнять и наблюдать. Ссылка на комментарий
Ximera Опубликовано 21 февраля, 2018 Поделиться Опубликовано 21 февраля, 2018 Я бы тоже проверила окклюзию (супраконтакты, при боковых движениях тоже), т.к. справа ситуация с пародонтом стабильная, а слева костные карманы, причем и сверху тоже.. Ну и восьмерки, конечно( Ссылка на комментарий
Паращук Роман Опубликовано 21 февраля, 2018 Поделиться Опубликовано 21 февраля, 2018 Если свой,то попробовать эндо через временное вложение и вывести с оклюзии. Через пол-года контрольное кт. Без позитивной динамики переходить к хирургическим этапам. Ссылка на комментарий
Паращук Роман Опубликовано 21 февраля, 2018 Поделиться Опубликовано 21 февраля, 2018 + 1 к удалениюКак быть с мезиальным корнем 7ки? Ссылка на комментарий
red_butler Опубликовано 21 февраля, 2018 Поделиться Опубликовано 21 февраля, 2018 Как быть с мезиальным корнем 7ки?про седьмой и восьмой, я скромно умолчал. Надо очно смотреть. но прогноз седьмого - плохой Ссылка на комментарий
Рекомендуемые сообщения
Для публикации сообщений создайте учётную запись или авторизуйтесь
Вы должны быть пользователем, чтобы оставить комментарий
Создать аккаунт
Зарегистрируйте новый аккаунт в нашем сообществе. Это очень просто!
Регистрация нового пользователяВойти
Уже есть аккаунт? Войти в систему.
Войти