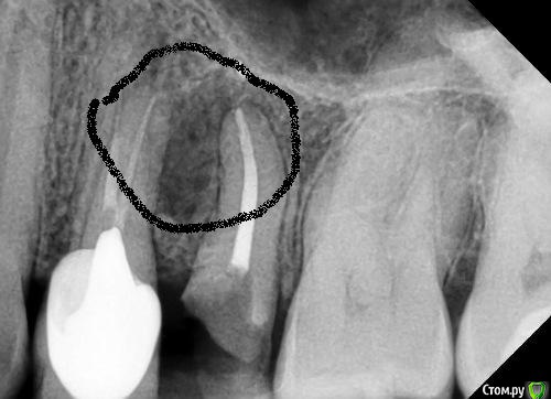
red_butler Опубликовано 22 декабря, 2017 Поделиться Опубликовано 22 декабря, 2017 25 зуб. имхо, причинный 2.4 3 Ссылка на комментарий
vse32 Опубликовано 22 декабря, 2017 Поделиться Опубликовано 22 декабря, 2017 имхо, причинный 2.4 Смотрите внимательнее контур кисты. Он же как нимб вокруг 25. Ссылка на комментарий
red_butler Опубликовано 22 декабря, 2017 Поделиться Опубликовано 22 декабря, 2017 Смотрите внимательнее контур кисты. Он же как нимб вокруг 25. У 2.5 сохранена периодонтальная щель, у 2.4 нет Ссылка на комментарий
vse32 Опубликовано 22 декабря, 2017 Поделиться Опубликовано 22 декабря, 2017 У 2.5 сохранена периодонтальная щель, у 2.4 нет Если не затруднит, нарисуйте как видите контур кисты.Если проблемный 24, то там может и эндодонтии хватит. Каналы не "айс". Ссылка на комментарий
vse32 Опубликовано 22 декабря, 2017 Поделиться Опубликовано 22 декабря, 2017 свищ, кстати примерно тут. Ссылка на комментарий
red_butler Опубликовано 22 декабря, 2017 Поделиться Опубликовано 22 декабря, 2017 Если не затруднит, нарисуйте как видите контур кисты.Если проблемный 24, то там может и эндодонтии хватит. Каналы не "айс". 2 Ссылка на комментарий
shishok Опубликовано 22 декабря, 2017 Поделиться Опубликовано 22 декабря, 2017 свищ, кстати примерно тут. А с гуттой снимок не делали? Ссылка на комментарий
vse32 Опубликовано 22 декабря, 2017 Поделиться Опубликовано 22 декабря, 2017 А свища не было. Закрылся, но ориентиры еще оставались. Ссылка на комментарий
parallax Опубликовано 22 декабря, 2017 Поделиться Опубликовано 22 декабря, 2017 А разве у кист бывают свищи? Ссылка на комментарий
vse32 Опубликовано 22 декабря, 2017 Поделиться Опубликовано 22 декабря, 2017 Приблизительно в 20% случаев при хроническом апикальном периодонтите и в 10% случаев при наличии радикулярных кист на вестибулярной поверхности альвеолярного отростка открывается свищ. Ссылка на комментарий
Гарриевич Опубликовано 22 декабря, 2017 Автор Поделиться Опубликовано 22 декабря, 2017 Почему так уверен в этом?Статистика. Биоплёнка на наружной поверзности корня бывает редко, а грязная нута с силером первые подозреваемые Хирург подтвердила чистоту наружной поверхности корня Ссылка на комментарий
Marika Опубликовано 22 декабря, 2017 Поделиться Опубликовано 22 декабря, 2017 Да. Пациент приедет через полгода на кт. Тоже выложу сюда.Спасибо, интересно понаблюдать за верхушкой. Ссылка на комментарий
Marika Опубликовано 22 декабря, 2017 Поделиться Опубликовано 22 декабря, 2017 имхо, причинный 2.4 Тоже так думаю. Надо кт. Ссылка на комментарий
vse32 Опубликовано 22 декабря, 2017 Поделиться Опубликовано 22 декабря, 2017 Боюсь что на ретрит 24 уговорить будет сложнее. Оно же не болит, а тут столько денег. Посмотрим. Назначен на январь.Маленькая характеристика пациента - мужчина, 34 года. Отсутствуют все моляры на нч. Не спротезирован. Ссылка на комментарий
Гарриевич Опубликовано 22 декабря, 2017 Автор Поделиться Опубликовано 22 декабря, 2017 я Бы сделал кт и оба перебрал 1 Ссылка на комментарий
Marika Опубликовано 22 декабря, 2017 Поделиться Опубликовано 22 декабря, 2017 Если на кт пойдет,там легче будет. Посмотрите сами , да и ему наглядно. Ссылка на комментарий
Marika Опубликовано 22 декабря, 2017 Поделиться Опубликовано 22 декабря, 2017 Статистика. Биоплёнка на наружной поверзности корня бывает редко, а грязная нута с силером первые подозреваемые Хирург подтвердила чистоту наружной поверхности корняЯ может быть не поняла, а хирург должен был биопленку в микроскоп увидеть? Ссылка на комментарий
Гарриевич Опубликовано 22 декабря, 2017 Автор Поделиться Опубликовано 22 декабря, 2017 Ее можно и без увидеть, я серьезно. Зубной налет это тоже биопленка)Верхушка корня была без видимых патологий Ссылка на комментарий
Marika Опубликовано 22 декабря, 2017 Поделиться Опубликовано 22 декабря, 2017 То есть, корень зуба,находясь в гнойном процессе, был идеально чист? ! Ссылка на комментарий
Гарриевич Опубликовано 22 декабря, 2017 Автор Поделиться Опубликовано 22 декабря, 2017 Идеально не скажу, но хирурга не смутило состояние Ссылка на комментарий
Marika Опубликовано 22 декабря, 2017 Поделиться Опубликовано 22 декабря, 2017 (изменено) Я имела в виду, что ориентировались на внешний вид( резорбция) и наличие или отсутствие биопленки не самый важный фактор? Изменено 22 декабря, 2017 пользователем Marika Ссылка на комментарий
Гарриевич Опубликовано 22 декабря, 2017 Автор Поделиться Опубликовано 22 декабря, 2017 Я имела в виду, что ориентировались на внешний вид( резорбция) и наличие или отсутствие биопленки не самый важный фактор?после окрашивания никаких следов налета на корне не былорезорбции тоже не было, из апекса ничего не торчало) Ссылка на комментарий
Marika Опубликовано 23 декабря, 2017 Поделиться Опубликовано 23 декабря, 2017 Спасибо), ждем кт. 1 Ссылка на комментарий
Гарриевич Опубликовано 2 октября, 2018 Автор Поделиться Опубликовано 2 октября, 2018 пришло время отчета 5 Ссылка на комментарий
DmitrySH Опубликовано 3 октября, 2018 Поделиться Опубликовано 3 октября, 2018 Закономерный результат достойной работы! 2 Ссылка на комментарий
Рекомендуемые сообщения
Для публикации сообщений создайте учётную запись или авторизуйтесь
Вы должны быть пользователем, чтобы оставить комментарий
Создать аккаунт
Зарегистрируйте новый аккаунт в нашем сообществе. Это очень просто!
Регистрация нового пользователяВойти
Уже есть аккаунт? Войти в систему.
Войти