Большой Зеленый Опубликовано 29 января, 2024 Поделиться Опубликовано 29 января, 2024 1 Ссылка на комментарий
Bier Опубликовано 31 января, 2024 Поделиться Опубликовано 31 января, 2024 Зеленый, а кость ты не трогаешь что-ли? Ссылка на комментарий
Большой Зеленый Опубликовано 1 февраля, 2024 Поделиться Опубликовано 1 февраля, 2024 Иногда трогаю ,иногда не трогаю просто сроки сдвигаются . Любое проникновение в биологическую ширину отразится на результате. Если после зондирования карманов я понимаю что связку я не трону то протезирование раньше .Если же придется залезть в связку то 5 месяцев гулять. Если кроме реконтурирования мне нужно и можно удлинить апикальную часть ,то конечно я иду на полноценную хирургию с отслаиванием лоскута ,спиливанием кости ,швами.. сроки примерно те же. В кость лазером или коагулятором вообще то лезть опасно.. 1 1 Ссылка на комментарий
Bier Опубликовано 2 февраля, 2024 Поделиться Опубликовано 2 февраля, 2024 01.02.2024 в 03:46, Большой Зеленый сказал: Иногда трогаю ,иногда не трогаю просто сроки сдвигаются . Любое проникновение в биологическую ширину отразится на результате. Если после зондирования карманов я понимаю что связку я не трону то протезирование раньше .Если же придется залезть в связку то 5 месяцев гулять. Если кроме реконтурирования мне нужно и можно удлинить апикальную часть ,то конечно я иду на полноценную хирургию с отслаиванием лоскута ,спиливанием кости ,швами.. сроки примерно те же. В кость лазером или коагулятором вообще то лезть опасно.. так, а на верхних фотах там только десна что ли? Мне просто кажется там кость тоже надо пилить? Ссылка на комментарий
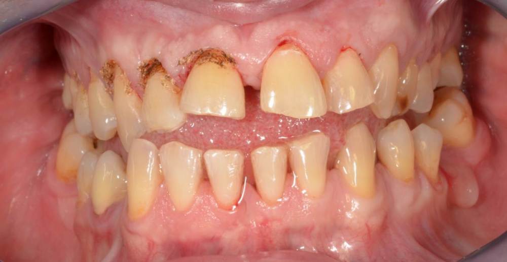
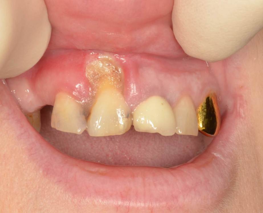
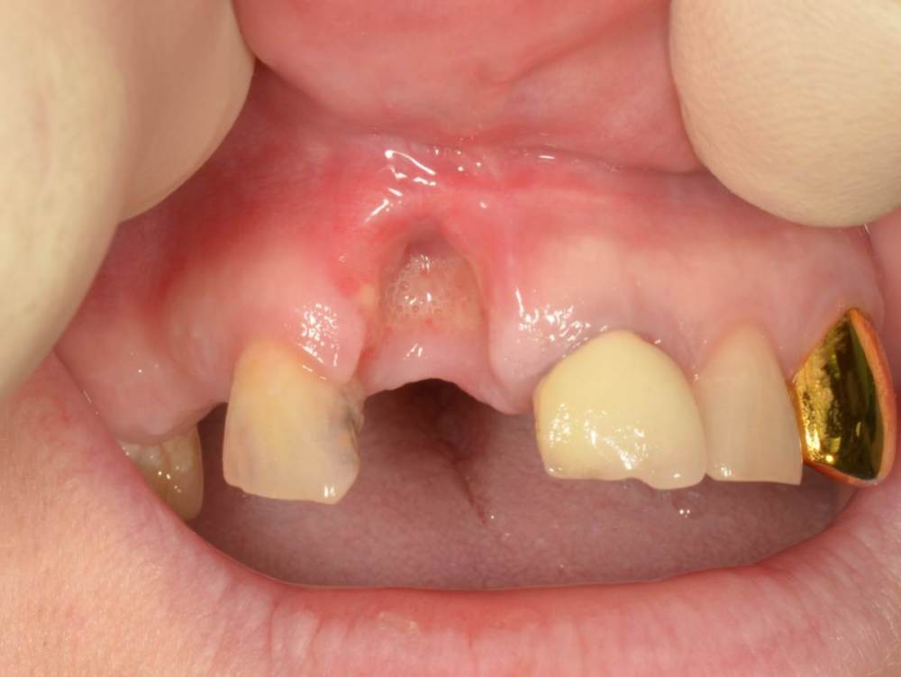
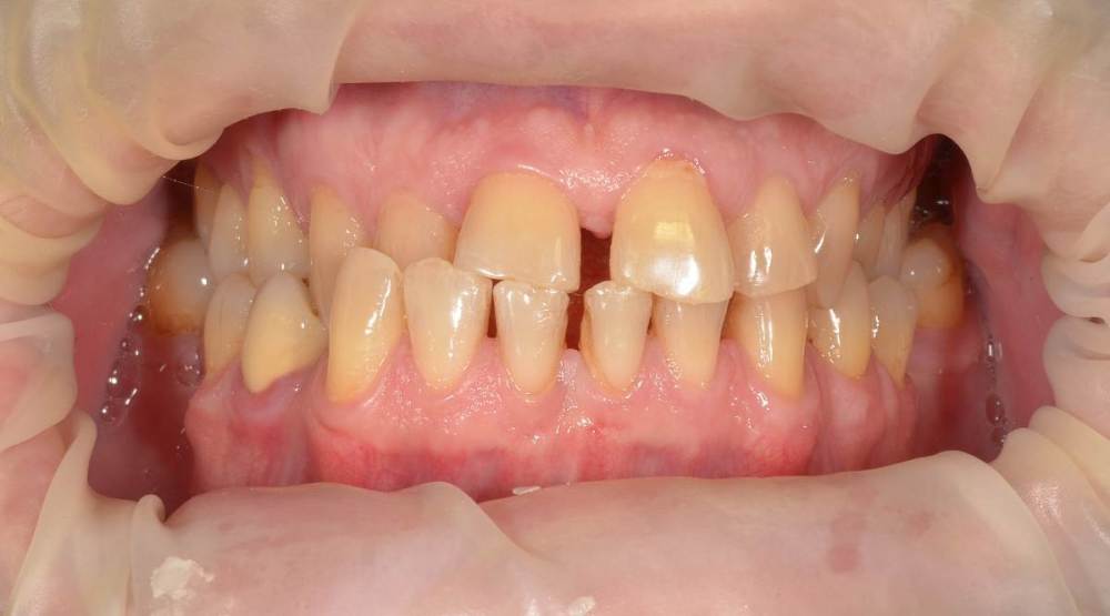
Большой Зеленый Опубликовано 3 февраля, 2024 Поделиться Опубликовано 3 февраля, 2024 Все что на фотках здесь, делалось только лазером Ссылка на комментарий
Bier Опубликовано 4 февраля, 2024 Поделиться Опубликовано 4 февраля, 2024 03.02.2024 в 04:40, Большой Зеленый сказал: Все что на фотках здесь, делалось только лазером и что там карманы по 6мм были? ты где-то до 3х мм срезаешь Ссылка на комментарий
Большой Зеленый Опубликовано 6 февраля, 2024 Поделиться Опубликовано 6 февраля, 2024 Срезай сколько хочешь, говорю же все дело в сроках формирования новой биологической ширины Ссылка на комментарий
Женька Опубликовано 6 февраля, 2024 Поделиться Опубликовано 6 февраля, 2024 @Большой Зеленый я всегда думал, что если просто отрезать десну, то БШ отсроится обратно, ну то есть кость сама не уйдёт и десна вернётся к прежним значениям. Получается не так? Ссылка на комментарий
Bier Опубликовано 6 февраля, 2024 Поделиться Опубликовано 6 февраля, 2024 9 часов назад, Женька сказал: @Большой Зеленый я всегда думал, что если просто отрезать десну, то БШ отсроится обратно, ну то есть кость сама не уйдёт и десна вернётся к прежним значениям. Получается не так? ну либо кость уйдет либо десна будет бесконечно пытаться отрасти назад, если там коронки, то будет воспаление вечное. Ссылка на комментарий
Женька Опубликовано 6 февраля, 2024 Поделиться Опубликовано 6 февраля, 2024 @Bier ну вот, мне не понятна тогда фраза "срезай сколько хочешь" Ссылка на комментарий
Большой Зеленый Опубликовано 7 февраля, 2024 Поделиться Опубликовано 7 февраля, 2024 @Женька Кость отскочит . Ссылка на комментарий
Женька Опубликовано 8 февраля, 2024 Поделиться Опубликовано 8 февраля, 2024 @Большой Зеленый предлагаете прям забить на это дело (резекция кости) при хир удлинении и резать столько сколько необходимо по эстетическим показаниям (ну и ЦЭС там чтобы открылась)? И такая вещь (кость отскочит) только при работе световым мечом лазером? Ссылка на комментарий
Большой Зеленый Опубликовано 9 февраля, 2024 Поделиться Опубликовано 9 февраля, 2024 Биологическая ширина все равно восстановится ,просто сроки разные. И скорее в апикальную сторону. Ссылка на комментарий
Fin Опубликовано 9 февраля, 2024 Поделиться Опубликовано 9 февраля, 2024 Странно. Всегда думал что если кость не убрать десна обратно отрастет. Не представляю почему она должна отскочить 1 Ссылка на комментарий
Raystom Опубликовано 10 февраля, 2024 Поделиться Опубликовано 10 февраля, 2024 @Fin а питание откуда брать будет? Ссылка на комментарий
Fin Опубликовано 14 февраля, 2024 Поделиться Опубликовано 14 февраля, 2024 10.02.2024 в 21:21, Raystom сказал: @Fin а питание откуда брать будет? Кость или слизистая? Ссылка на комментарий
Raystom Опубликовано 14 февраля, 2024 Поделиться Опубликовано 14 февраля, 2024 @Fin кость, а впоследствии и слизистая. Опять же ещё вдобавок и биопленка на поверхность добавится. Ссылка на комментарий
Fin Опубликовано 19 февраля, 2024 Поделиться Опубликовано 19 февраля, 2024 14.02.2024 в 12:38, Raystom сказал: @Fin кость, а впоследствии и слизистая. Опять же ещё вдобавок и биопленка на поверхность добавится. По мне если после удаления куска слизистой у вас кость не оголена, то питание останется от слизистой. Если после удаления слизистой у нас тонкий слой кости "наружу" торчит то согласен что произойдет ремоделировка. Но по мне это как то рискованно оставлять. Если толщина кости большая то вторичным заживлением подтянуться должна. 1 Ссылка на комментарий
Рекомендуемые сообщения
Для публикации сообщений создайте учётную запись или авторизуйтесь
Вы должны быть пользователем, чтобы оставить комментарий
Создать аккаунт
Зарегистрируйте новый аккаунт в нашем сообществе. Это очень просто!
Регистрация нового пользователяВойти
Уже есть аккаунт? Войти в систему.
Войти