mann Опубликовано 4 июня, 2017 Поделиться Опубликовано 4 июня, 2017 Коллеги,кто пользуется такой штукой? Расскажите пожалуйста, очень необходим данный девайс? Какие плюсы и минусы? Какая мощность нужна?( коагуляция десны, добраться до имплантата при уст-ке формирователя. Читал,что еще им делают ретракцию при снятии оттисков...). При работе с ним какие расходники надо покупать? Ссылка на комментарий
kladoffka Опубликовано 4 июня, 2017 Поделиться Опубликовано 4 июня, 2017 Имхо, бестолковая вещь. Заживление хуже, чем после скальпеля. 4 Ссылка на комментарий
red_butler Опубликовано 4 июня, 2017 Поделиться Опубликовано 4 июня, 2017 Главное верить, ну и любить 4 Ссылка на комментарий
AlexanderGudkov Опубликовано 5 июня, 2017 Поделиться Опубликовано 5 июня, 2017 Ой ладно вам) пользуюсь в 2 клиниках 2 разными диодными лазерамиДля уздечек просто мастхэв девайсИпланты открывать не надо имиДесну коагулировать отличная вещь. Мощность 2-3 вата хватает для любой процедуры По расхдникамДля Sirolaser продаются волокна и одноразовые носики по 100 штук в пакете. 1 волокна хватает операций на 50 наверноеДля Dr.smile продаются типсы (волокно уже с носиком) хватает на поменьше, но стоит вроде дешевле 2 Ссылка на комментарий
Bier Опубликовано 5 июня, 2017 Поделиться Опубликовано 5 июня, 2017 я оперирую 2 уздечки в год. Мне нужен лазер за кучу денег? Ссылка на комментарий
АнтонТЛТ Опубликовано 5 июня, 2017 Поделиться Опубликовано 5 июня, 2017 Еще можно хир.удлинение делать)) Ссылка на комментарий
Bier Опубликовано 5 июня, 2017 Поделиться Опубликовано 5 июня, 2017 у меня коагулятор есть для тонких работ. стоит в разы дешевле Ссылка на комментарий
Большой Зеленый Опубликовано 6 июня, 2017 Поделиться Опубликовано 6 июня, 2017 У меня есть.Удобная штука ,но неоправданно дорог. Ссылка на комментарий
bullbull Опубликовано 6 июня, 2017 Поделиться Опубликовано 6 июня, 2017 Работаю несколько лет с Пикассо. Учитывая, что в клинике несколько ортодонтов, уздечки чаще, чем 2 в год. Результат - супер.Капюшоны и прочие фибромы - тоже неплохо. Частота - раз в месяц.Имлантаты иногда открываю им, но чаще всего скальпелем удобнее.Декантоминация карманов при парадонтите, мукозите, других воспалениях слизистой совместно с промыванием и метрогилом дает неплохой результат (вопрос, что именно при этом работает)Хотя, на пациентов производит впечатление.Есть ещё терапевтические программы.Моё мнение: не является предметом первой необходимости, но почему бы и нет. Ссылка на комментарий
AlexanderGudkov Опубликовано 6 июня, 2017 Поделиться Опубликовано 6 июня, 2017 я оперирую 2 уздечки в год. Мне нужен лазер за кучу денег?У меня 2 уздечки в неделю) Ссылка на комментарий
Bier Опубликовано 6 июня, 2017 Поделиться Опубликовано 6 июня, 2017 У меня 2 уздечки в неделю)почем?Убежден, что большая часть из них без показаний. 2 Ссылка на комментарий
AlexanderGudkov Опубликовано 6 июня, 2017 Поделиться Опубликовано 6 июня, 2017 (изменено) почем?Убежден, что большая часть из них без показаний.90% языки В наших роддомах почему-то никому не подрезаютВсе по показаниям)) Губы часто отказываю Кстати, еще 1 частая манипуляция: обнажение коронок ретенированных зубов. Не кровит, удобно сразу приклеться к ней Изменено 6 июня, 2017 пользователем AlexanderGudkov Ссылка на комментарий
Bier Опубликовано 6 июня, 2017 Поделиться Опубликовано 6 июня, 2017 в роддомах неправильно резать. Некоторые дети потом из роддомов поступают в стационары с кровотечением.У вас что детский прием? Ссылка на комментарий
AlexanderGudkov Опубликовано 6 июня, 2017 Поделиться Опубликовано 6 июня, 2017 в роддомах неправильно резать. Некоторые дети потом из роддомов поступают в стационары с кровотечением.У вас что детский прием?Взрослый, но и детей довольно многоИногда приносят грудничков с нарушением сосания, у которых уздечка - прозрачный тяж. Я всегда думал, что такие в роддоме убирают, тк я их ножницами подрезаю без анестезии и вообще не кровит Ссылка на комментарий
Sergiosse Опубликовано 7 июня, 2017 Поделиться Опубликовано 7 июня, 2017 Есть такой,поначалу побаловался. Просто пустить пыль в глаза. Ссылка на комментарий
Bier Опубликовано 8 июня, 2017 Поделиться Опубликовано 8 июня, 2017 Взрослый, но и детей довольно многоИногда приносят грудничков с нарушением сосания, у которых уздечка - прозрачный тяж. Я всегда думал, что такие в роддоме убирают, тк я их ножницами подрезаю без анестезии и вообще не кровиту 99 из 100. А у одного там довольно крупный сосуд, который при вытягивании языка ишемизируется, а потом начинается. Ссылка на комментарий
AlexanderGudkov Опубликовано 9 июня, 2017 Поделиться Опубликовано 9 июня, 2017 у 99 из 100. А у одного там довольно крупный сосуд, который при вытягивании языка ишемизируется, а потом начинается.И тут спасает лазер))) Ссылка на комментарий
DrNice Опубликовано 11 июня, 2017 Поделиться Опубликовано 11 июня, 2017 Пользуюсь уже больше года, для тонких работ шикарная вещь, заживление супер. Но я все равно сторонник скальпеля )) Ссылка на комментарий
Тимур86 Опубликовано 28 июня, 2017 Поделиться Опубликовано 28 июня, 2017 Fonalaser пользует кто-нибудь?какие ощущения? Ссылка на комментарий
Kayano Опубликовано 7 декабря, 2023 Поделиться Опубликовано 7 декабря, 2023 Добрый день. Есть высокочастотный коагулятор десны. Есть мысли вместо него купить лазер. В основном для мягких тканей нужен. Купив лазер, я увижу разницу ? Ссылка на комментарий
Мартовский Опубликовано 7 декабря, 2023 Поделиться Опубликовано 7 декабря, 2023 13 часов назад, Kayano сказал: Добрый день. Есть высокочастотный коагулятор десны. Есть мысли вместо него купить лазер. В основном для мягких тканей нужен. Купив лазер, я увижу разницу ? Если купите Сургитрон, это радиоволновый нож, то забудете и про скальпель и про лазер. 1 Ссылка на комментарий
annda Опубликовано 21 декабря, 2023 Поделиться Опубликовано 21 декабря, 2023 Есть диодный смайл итальянский, но пользую больше как терапевтическое пособие. Волшебная штука, я вам скажу, сама не ожидала.. Но в хирургии на него перейти как раз не могу, скальпель привычнее Ссылка на комментарий
Bier Опубликовано 28 января, 2024 Поделиться Опубликовано 28 января, 2024 в целом бесполезная штука Ссылка на комментарий
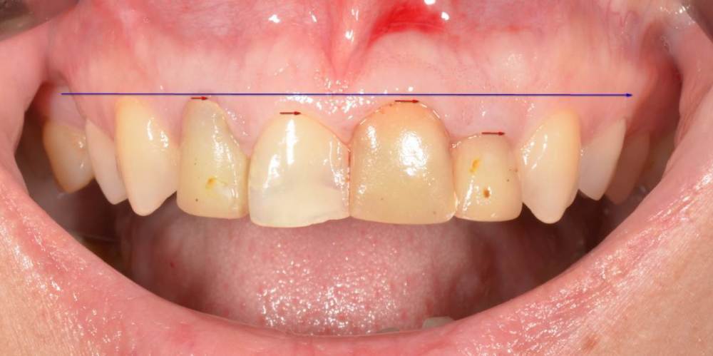
Большой Зеленый Опубликовано 29 января, 2024 Поделиться Опубликовано 29 января, 2024 Ссылка на комментарий
Большой Зеленый Опубликовано 29 января, 2024 Поделиться Опубликовано 29 января, 2024 Ссылка на комментарий
Рекомендуемые сообщения
Для публикации сообщений создайте учётную запись или авторизуйтесь
Вы должны быть пользователем, чтобы оставить комментарий
Создать аккаунт
Зарегистрируйте новый аккаунт в нашем сообществе. Это очень просто!
Регистрация нового пользователяВойти
Уже есть аккаунт? Войти в систему.
Войти