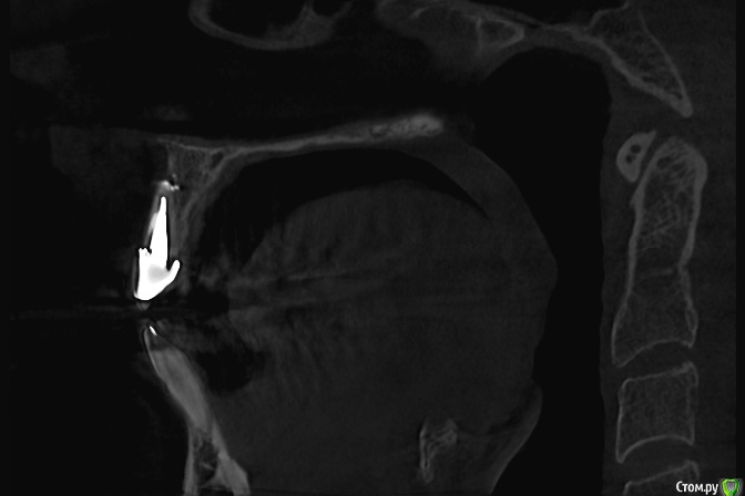
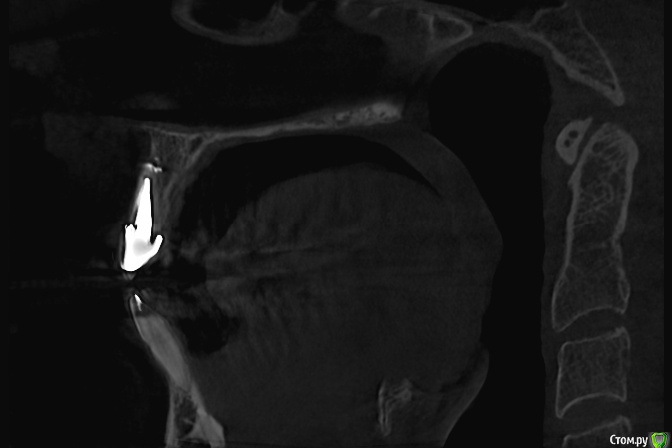
Zelenoglazka Опубликовано 13 мая, 2017 Автор Поделиться Опубликовано 13 мая, 2017 Здравствуйте! В общем продолжение следует...Терапевт, у которого лечила соседний с коронкой зуб, проконсультировался по КТ с их хирургом, оба решили, что кончик канала не запломбирован и требуется резекция с запечатыванием среза специальным цементом (практически дословно цитирую). Я спросила у терапевта про ретроградное пломбирование (хотя сама до конца не понимаю в чем оно заключается), что нет смысла, туда не подлезешь и вообще он не видели, чтобы так делали...Я решила сходить в другую клинику - там хирург, посмотрев внимательно КТ и рентген, сказал, что видит след пломбировоного материала в канале и что резекция мне не нужна и даже может быть опасна расколом корня. А затем увидел на КТ и показал мне признаки возможной трещины корня - вышедший сквозь стенку корня цемент, на которую устанавливается вкладка Ссылка на комментарий
Zelenoglazka Опубликовано 13 мая, 2017 Автор Поделиться Опубликовано 13 мая, 2017 Постаралась найти и сохранить срезы, которые он мне показывал Ссылка на комментарий
Zelenoglazka Опубликовано 13 мая, 2017 Автор Поделиться Опубликовано 13 мая, 2017 В общем очень жду комментариев последних файлов и советов что мне дальше делать и как докопаться до истины. На запрос в теме о поиске хирурга в моем городе ответов пока не получила, поэтому не знаю с кем еще очно проконсультироваться. А вообще у меня ощущение страшного сна о выпадении зубов на яву - параллельно возникают проблемы еще и с другими зубами, которыми тоже занимаюсь и, чем дальше, тем хуже 2,5 недели перепломбировали канал соседней 1-ки, неделю было ощущение онемения, затем начало периодически пульсировать, к вечеру пульсация нарастает, когда на этой неделе реставрировали коронковую часть, врач сказал, что уже не должно ничего чувствоваться, должно пройти. Но у меня так и не проходит как запломбирован канал рентгена на руках нет, но он есть на КТ. А еще сломалась под корень 4-ка, которая планировалась по коронку в ближайшее время Наверное, по этим зубам лучше создать отдельные темы? Ссылка на комментарий
Zelenoglazka Опубликовано 15 мая, 2017 Автор Поделиться Опубликовано 15 мая, 2017 Уважаемые доктора, очень жду Ваших комментариев в этой теме по последним представленным срезам КТ и в общем по ситуации с этим зубом. Надеюсь, что кто-нибудь сможет уделить время моей проблеме Ссылка на комментарий
Рекомендуемые сообщения
Для публикации сообщений создайте учётную запись или авторизуйтесь
Вы должны быть пользователем, чтобы оставить комментарий
Создать аккаунт
Зарегистрируйте новый аккаунт в нашем сообществе. Это очень просто!
Регистрация нового пользователяВойти
Уже есть аккаунт? Войти в систему.
Войти