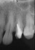
igorstom Опубликовано 13 августа, 2008 Поделиться Опубликовано 13 августа, 2008 Сегодня на приёме была пациентка по поводу замены на 24 зубе комбинированной коронки на металлокерамику. Десна в области проекции верхушки и окружающие ткани без особенностей. Подвижности патологической нет, перкуссия безболезненная. Снял "комбинашку" и увидел анкер, вокруг пломбы вторичный кариес. Принял решение удалить анкер и сделать ВКВ. Рентгеновский снимок обескуражил - перфорация? Скорее всего. Какие будут предложения? Удалять зуб не хотелось бы - моя знакомая, и при любом раскладе в суд подавать не будет. Прорутом не работал, да и нет его. Спасибо заранее за ответы. Чуть не забыл - зуб под коронкой простоял около 5-6 лет. Ни разу не беспокоил. Ссылка на комментарий
annda Опубликовано 13 августа, 2008 Поделиться Опубликовано 13 августа, 2008 Сегодня на приёме была пациентка по поводу замены на 24 зубе комбинированной коронки на металлокерамику. Десна в области проекции верхушки и окружающие ткани без особенностей. Подвижности патологической нет, перкуссия безболезненная. Снял "комбинашку" и увидел анкер, вокруг пломбы вторичный кариес. Принял решение удалить анкер и сделать ВКВ. Рентгеновский снимок обескуражил - перфорация? Скорее всего. Какие будут предложения? Удалять зуб не хотелось бы - моя знакомая, и при любом раскладе в суд подавать не будет. Прорутом не работал, да и нет его. Спасибо заранее за ответы. Чуть не забыл - зуб под коронкой простоял около 5-6 лет. Ни разу не беспокоил.Удалите анкер,если перфы нет,то перелечите каналы и далее по вашему плану.Если перфа,то удаление с имплантацией ,сразу или отсроченной,по обстановке(это стало моим планом,когда я освоила имплантацию).Не забудьте исключить трещину корня,если явной перфы не найдёте... Ссылка на комментарий
Sahan Опубликовано 13 августа, 2008 Поделиться Опубликовано 13 августа, 2008 Удалите анкер,если перфы нет,то перелечите каналы и далее по вашему плану.Если перфа,то удаление с имплантацией ,сразу или отсроченной,по обстановке(это стало моим планом,когда я освоила имплантацию).Не забудьте исключить трещину корня,если явной перфы не найдёте...+1 Ссылка на комментарий
Большой Зеленый Опубликовано 13 августа, 2008 Поделиться Опубликовано 13 августа, 2008 Да нету там никакой перфы ! Если бы была то были бы и изменения на снимке ,а там все ровно .Тем более 5 лет не беспокоил .И в каналах материал прослеживается. Если вы анкер добудете ,то честь вам и хвала .Только не забывайте главный принцип. НЕ НАВРЕДИ! Я возражу Аннде . Я против перелечивания . Ни к чему. Ссылка на комментарий
д-р Вит Опубликовано 13 августа, 2008 Поделиться Опубликовано 13 августа, 2008 Да нету там никакой перфы ! Если бы была то были бы и изменения на снимке ,а там все ровно .Тем более 5 лет не беспокоил .И в каналах материал прослеживается. Если вы анкер добудете ,то честь вам и хвала .Только не забывайте главный принцип. НЕ НАВРЕДИ! Я возражу Аннде . Я против перелечивания . Ни к чему.+1 Не будите лихо,пока оно тихо. Ссылка на комментарий
annda Опубликовано 13 августа, 2008 Поделиться Опубликовано 13 августа, 2008 (изменено) Да нету там никакой перфы ! Если бы была то были бы и изменения на снимке ,а там все ровно .Тем более 5 лет не беспокоил .И в каналах материал прослеживается. Если вы анкер добудете ,то честь вам и хвала .Только не забывайте главный принцип. НЕ НАВРЕДИ! Я возражу Аннде . Я против перелечивания . Ни к чему.Против так против.А я-за.Как готовить в ТАКИХ(или таком) каналах ложе под вкладку?Или вам нравится наступать на те грабли,которые ударили в лоб пациенту при наступлении на них предыдущего доктора?Или вы думаете,что он просто так,по дури своей, мимо кассы пролетел?Что останется от корневой пломбы после адекватной подготовки под адекватную вкладку?Какой зоопарк там сейчас пребывает в равновесии с организмом(не будете утверждать ,что сия конструкция обеспечивает коронарный герметизм,хотя там и апикального нет),не скажете?И как это равновесие изменится,когда вы воткнёте туда нормальную герметичную вкладку,вы в силах спрогнозировать?И если ,после перелечивания в случае обострения у вас есть варианты,то после фиксации вкладки у тёти точно не останется ни единого шанса,ну кроме как трескать антибиотики каждый квартал,или резать абсцессы,ну или ,как на манну небесную,расчитывать на свищ(иммунитету аминь).Чего вы все предпочитаете надеяться на лучшее,ничего для этого лучшего не сделав,ну скажите,а?Всегда надо уменьшать % положительных прогнозов для каждого конкретного человека при той тактике,которую вы выбираете и готовиться к худшему. ! Если бы была то были бы и изменения на снимке ,а там все ровно .Там всё ровно??? Мдя. Изменено 13 августа, 2008 пользователем annda Ссылка на комментарий
Bier Опубликовано 13 августа, 2008 Поделиться Опубликовано 13 августа, 2008 между прочим в месте возможной перфы есть изменения на снимке, я предлагаю удаление+ одномоментная имплантация с одномоментной нагрузкой временной коронкой. Ссылка на комментарий
Dr. Stom Опубликовано 13 августа, 2008 Поделиться Опубликовано 13 августа, 2008 яесли это хорошая знакомая расспишите ей всю картину адекватно. лучший вариант удаление и имплантант, если есть финансы.второй вариант удалить анкер, проверить несделали ли Вы при удалении трещины, есть ли перфо можно проверить апексом но думаю есть, т.к. на снимке изменения прослеживаються.закрыл бы перфо прорутом (триоксидент наш отечественный недорогой аналог) и каналы адекватно бы закрыл. потом все это востановил бы или СВШ и композит временно на 6 мес. чтобы посмотреть что дала терапия или ВКВ и времянка что лучше скорей склонюсь к ВКВ. недостатки. можно нераспломбировать, перфорнуть или трестнуть зуб при удалении анкера и тому подобному.можно оставить анкер облепить его компазитом и одеть коронку. но зуб может рвануть красивым периодонтитом))) выбирать Вам с пациентом Ссылка на комментарий
Korabahtoff Опубликовано 13 августа, 2008 Поделиться Опубликовано 13 августа, 2008 Сегодня на приёме была пациентка по поводу замены на 24 зубе комбинированной коронки на металлокерамику. Десна в области проекции верхушки и окружающие ткани без особенностей. Подвижности патологической нет, перкуссия безболезненная. Снял "комбинашку" и увидел анкер, вокруг пломбы вторичный кариес. Принял решение удалить анкер и сделать ВКВ. Рентгеновский снимок обескуражил - перфорация? Скорее всего. Какие будут предложения? Удалять зуб не хотелось бы - моя знакомая, и при любом раскладе в суд подавать не будет. Прорутом не работал, да и нет его. Спасибо заранее за ответы. Чуть не забыл - зуб под коронкой простоял около 5-6 лет. Ни разу не беспокоил. ИМХО, зуб не жилец уже... Ссылка на комментарий
Dr. Stom Опубликовано 13 августа, 2008 Поделиться Опубликовано 13 августа, 2008 (изменено) да почему не жилец?! смотря как подойти и кому его отдать лечить. он простоял 5 лет без каких либо проблем, а щас это увидели и говорят что нежилец. а еслиб его увидели 5 лет назат?! трудно тут судить Изменено 13 августа, 2008 пользователем Dr. Stom Ссылка на комментарий
Korabahtoff Опубликовано 13 августа, 2008 Поделиться Опубликовано 13 августа, 2008 да почему не жилец?! смотря как подойти и кому его отдать лечить. он простоял 5 лет без каких либо проблем, а щас это увидели и говорят что нежилец. а еслиб его увидели 5 лет назат?! трудно тут судить Ну, не знаю, честно говоря, я б его за голову щипцами вытащил..... Ссылка на комментарий
Большой Зеленый Опубликовано 14 августа, 2008 Поделиться Опубликовано 14 августа, 2008 Ну, не знаю, честно говоря, я б его за голову щипцами вытащил.....Ну нельзя так категорично. Стом правильно сказал .5 лет назад увидели бы такую картину -задумались бы .еще столько же простоит если не перфорнет когда анкер добывать будет..(если будет) Ссылка на комментарий
BerezovskijVM Опубликовано 14 августа, 2008 Поделиться Опубликовано 14 августа, 2008 Сегодня на приёме была пациентка по поводу замены на 24 зубе комбинированной коронки на металлокерамику. Десна в области проекции верхушки и окружающие ткани без особенностей. Подвижности патологической нет, перкуссия безболезненная. Снял "комбинашку" и увидел анкер, вокруг пломбы вторичный кариес. Принял решение удалить анкер и сделать ВКВ. Рентгеновский снимок обескуражил - перфорация? Скорее всего. Какие будут предложения? Удалять зуб не хотелось бы - моя знакомая, и при любом раскладе в суд подавать не будет. Прорутом не работал, да и нет его. Спасибо заранее за ответы. Чуть не забыл - зуб под коронкой простоял около 5-6 лет. Ни разу не беспокоил. перфорация + абзац с выниманием и распломбировкой+отсутствие ферула(это гляди по снимку,но предпологаю,что там всё под десной)=!00% удаление если не нравится,то обточить и подлатать что есть , сделать "временную МК" или любую разновидность и отпустить до первого ореха или шашлыка. Ссылка на комментарий
DENT37 Опубликовано 14 августа, 2008 Поделиться Опубликовано 14 августа, 2008 Немного изменить ангуляцию тубуса. Здесь явное укорочение зубов-так сделайте снимок чтобы понять форму корня. Ссылка на комментарий
Dr. Stom Опубликовано 14 августа, 2008 Поделиться Опубликовано 14 августа, 2008 перфорация + абзац с выниманием и распломбировкой+отсутствие ферула(это гляди по снимку,но предпологаю,что там всё под десной)=!00% удаление если не нравится,то обточить и подлатать что есть , сделать "временную МК" или любую разновидность и отпустить до первого ореха или шашлыка.удлинение клинической коронки и делай потом все что угодно тутт все может быть нормально, взависимости как подойти и чего пытаться добиться от данного зуба в данном его состоянии Ну нельзя так категорично. Стом правильно сказал .5 лет назад увидели бы такую картину -задумались бы .еще столько же простоит если не перфорнет когда анкер добывать будет..(если будет) Ссылка на комментарий
Зубодер Опубликовано 14 августа, 2008 Поделиться Опубликовано 14 августа, 2008 Там всё ровно??? Мдя.+1 я бы даже сказал что там довольно таки криво и думаю перф есть Ссылка на комментарий
BerezovskijVM Опубликовано 14 августа, 2008 Поделиться Опубликовано 14 августа, 2008 удлинение клинической коронки и делай потом все что угодно тутт все может быть нормально, взависимости как подойти и чего пытаться добиться от данного зуба в данном его состоянии ну впринципе да...удлиннение коронковой части,будет слегка смахивать на клык,но это не беда,бывает же в природе по два рвущих зуба у хищников,а то что корешок маловат станет,вообще не трудности,из прикуса вывести,чтоб не разматывало,хотя и тут плюс есть,легче удалить потом будет,возможно пальцами обойтись.всё верно,главное определиться,чего хочешь добиться от этого зуба. Ссылка на комментарий
Нск Опубликовано 14 августа, 2008 Поделиться Опубликовано 14 августа, 2008 Кривенько стоящий анкер ни есть повод к удалению, даже при наличии такой периодонтальной щели. Убрать анкер, пощупать стенку локатором, залить её прорутом, если пищит, СВШ буржуйский конусный, коронка. Ссылка на комментарий
Снежана Опубликовано 14 августа, 2008 Поделиться Опубликовано 14 августа, 2008 ну впринципе да...удлиннение коронковой части,будет слегка смахивать на клык,но это не беда,бывает же в природе по два рвущих зуба у хищников,а то что корешок маловат станет,вообще не трудности,из прикуса вывести,чтоб не разматывало,хотя и тут плюс есть,легче удалить потом будет,возможно пальцами обойтись.всё верно,главное определиться,чего хочешь добиться от этого зуба. + если не нравится,то обточить и подлатать что есть , сделать "временную МК" или любую разновидность и отпустить до первого ореха или шашлыка.согласна полностью Ссылка на комментарий
BerezovskijVM Опубликовано 14 августа, 2008 Поделиться Опубликовано 14 августа, 2008 Кривенько стоящий анкер ни есть повод к удалению, даже при наличии такой периодонтальной щели. Убрать анкер, пощупать стенку локатором, залить её прорутом, если пищит, СВШ буржуйский конусный, коронка. и в чём сакраментальный смысл? СВШ будет крепче имеющегося анкера? или это будет дешевле для пациента? какая логическая цепочка? Ссылка на комментарий
igorstom Опубликовано 14 августа, 2008 Автор Поделиться Опубликовано 14 августа, 2008 Спасибо, друзья!!! Всё внимательно прочитал, всем спасибо за советы (многие буду воплощать). Буду сохранять зуб - по голове всё одно не ударят. Подробности и фото представлю позже. Прорута нет, триоксидент буду искать (всё одно в жизни пригодится). Имплантация отпадает в силу материальных затруднений пациентки. Ссылка на комментарий
igorstom Опубликовано 15 августа, 2008 Автор Поделиться Опубликовано 15 августа, 2008 ВСЕМ ДОБРЫЙ ВЕЧЕР!!! Анкер удалил. Причём легко. Перфорация подтвердилась. Не кровоточит, разве что лёгкое-лёгкое выпотевание межтканевой жидкости. Объясните теперь пожалуйста, как работать прорутом или триоксидентом? В кратце, я пойму. Фото представляю ниже. Ссылка на комментарий
IgorD Опубликовано 15 августа, 2008 Поделиться Опубликовано 15 августа, 2008 Объясните теперь пожалуйста, как работать прорутом или триоксидентом? В кратце, я пойму.очистите и хорошо вымойте перфорацию, добейтесь остановки кровотечения, высушите, замешайте ПроРут\Триоксидент и вносите в полость аккуратно, потом слегка уплотните, сверху влажный ватный тампон, не мокрый а влажный, и временную пломбу - ждете сутки, потом делайте что хотите)..... Ссылка на комментарий
igorstom Опубликовано 15 августа, 2008 Автор Поделиться Опубликовано 15 августа, 2008 Еще одно фото, после удаления злополучного анкера. Фото пришлось сильно уменьшить, так как исчерпал лимит загрузок фотографий. Думал, что будет видно перфорацию. Однако не получилась цветопередача. Ссылка на комментарий
д-р Вит Опубликовано 15 августа, 2008 Поделиться Опубликовано 15 августа, 2008 очистите и хорошо вымойте перфорацию, добейтесь остановки кровотечения, высушите, замешайте ПроРут\Триоксидент и вносите в полость аккуратно, потом слегка уплотните, сверху влажный ватный тампон, не мокрый а влажный, и временную пломбу - ждете сутки, потом делайте что хотите).....Полностью согласен.Но перед прорутом турунду с крезофеном под вр.пломбу на 2-3 дня.(лучше перебздеть чем недобздеть.) Ссылка на комментарий
Рекомендуемые сообщения
Для публикации сообщений создайте учётную запись или авторизуйтесь
Вы должны быть пользователем, чтобы оставить комментарий
Создать аккаунт
Зарегистрируйте новый аккаунт в нашем сообществе. Это очень просто!
Регистрация нового пользователяВойти
Уже есть аккаунт? Войти в систему.
Войти