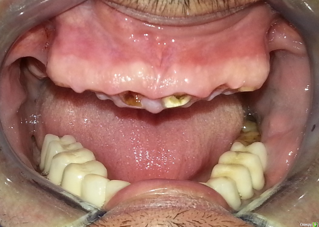
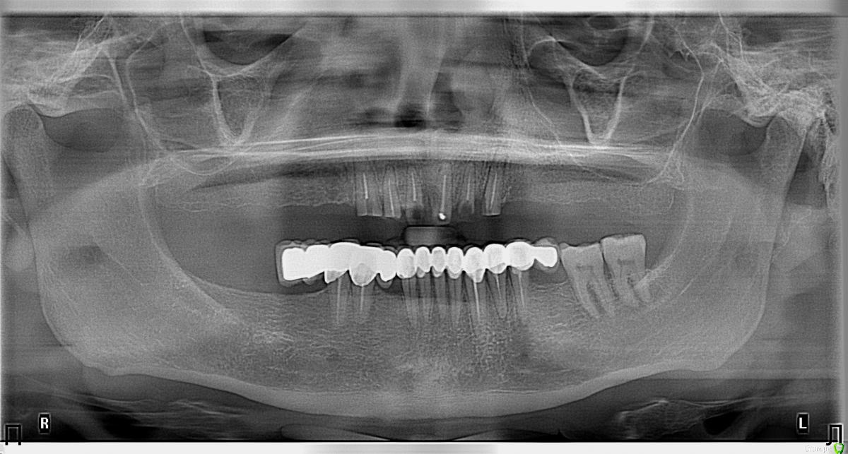
Nitrino1 Опубликовано 6 февраля, 2017 Поделиться Опубликовано 6 февраля, 2017 (изменено) Здравия желаю коллеги) Нужен совет опытных коллег, так как сам еще мало имею опыта в таких работах) Из анамнеза, был фронт мк, сначала расцементировка с одной стороны, и далее сломались зубы как видно на фотках. Хочет сохранить фронт своими зубами. Я посмотрел, как мне показалось реально вырулить если создать феррул в 2 мм. А после клыков уже имплантами восстаналивать. На данный момент перелечиваю 13й, попытался создать феррул в 2мм, на фотке можете увидеть. Как вы считаете, иду к успеху или к провалу? Что посоветуете?Вопросы:1. Беспокоит ситуация с 23им зубом, точнее с его апроксималкой (смотри ОПТГ), как поступить? Есть шанс сохранить зуб?2. Если получится сделать мост с 13-го зуба по 23-й зуб, тогда как поступить? Сделать вкладки , далее мк. А потом уже переходить к имплантам? Просто до завершения лечения на имплантах, пройдет 4-5 месяцев, за это время он не выбьет фронт нижними зубами? В Розинштиле написано что при восстановлении всей челюсти, лучше начать с фронта, создать эстетику на планируемую высоту а далее уже задние зубы под эту высоту...Буду рад любым дельным советам и рекомендациям)П.С. удалить сразу, самый простой способ)) П.П.С Последняя фотка, это после удлинения 13зуба) тоже буду рад замечаниям Изменено 6 февраля, 2017 пользователем Nitrino1 Ссылка на комментарий
M@estro Опубликовано 6 февраля, 2017 Поделиться Опубликовано 6 февраля, 2017 1) полируется корень - и всё служит. 2) ( лучше, конечно, металлопластмассу) , но если нет - то пластик на фуджи. А уж потом все бубны. Двойка "на выход" (2.2) , и единица похоже (1.1) 3) сдалайте грамотное удлиннение, откинув лоскут ( это к хирургу). Вам надо -то 1 миллиметр высоты всего добавить. Сильно корни под вкладки не распахивайте. По два имплантата с каждой стороны 4-6 , два мостика на них, и на фронт - и пусть жуёт. Придёт фронт - удалить всё - и запротезируете на имплантатах 1.3-1.1-2.3 . Как-то так ! 2 Ссылка на комментарий
StomV Опубликовано 7 февраля, 2017 Поделиться Опубликовано 7 февраля, 2017 1) полируется корень - и всё служит. 2) ( лучше, конечно, металлопластмассу) , но если нет - то пластик на фуджи. А уж потом все бубны. Двойка "на выход" (2.2) , и единица похоже (1.1) 3) сдалайте грамотное удлиннение, откинув лоскут ( это к хирургу). Вам надо -то 1 миллиметр высоты всего добавить. Сильно корни под вкладки не распахивайте. По два имплантата с каждой стороны 4-6 , два мостика на них, и на фронт - и пусть жуёт. Придёт фронт - удалить всё - и запротезируете на имплантатах 1.3-1.1-2.3 . Как-то так ! Один в один теже мысли возникли в голове. 1 Ссылка на комментарий
chervoncevdaniil Опубликовано 7 февраля, 2017 Поделиться Опубликовано 7 февраля, 2017 1) полируется корень - и всё служит. 2) ( лучше, конечно, металлопластмассу) , но если нет - то пластик на фуджи. А уж потом все бубны. Двойка "на выход" (2.2) , и единица похоже (1.1) 3) сдалайте грамотное удлиннение, откинув лоскут ( это к хирургу). Вам надо -то 1 миллиметр высоты всего добавить. Сильно корни под вкладки не распахивайте. По два имплантата с каждой стороны 4-6 , два мостика на них, и на фронт - и пусть жуёт. Придёт фронт - удалить всё - и запротезируете на имплантатах 1.3-1.1-2.3 . Как-то так ! А какую предложить пациенту временную конструкцию на период интеграции имплантов 13-11-23,если у него уже стоят импланты с коронками в боковых сегментах? Ссылка на комментарий
voff Опубликовано 7 февраля, 2017 Поделиться Опубликовано 7 февраля, 2017 (изменено) 1.1., 2.1 удалить, сделать вкладки, времяшки, взять предоплату (чтобы фронт не выломал , а дальше мечта имплантологаДаниил, мне кажется условия такие, что фронт одномоментно безпроблемно будет Изменено 7 февраля, 2017 пользователем voff 1 Ссылка на комментарий
chervoncevdaniil Опубликовано 7 февраля, 2017 Поделиться Опубликовано 7 февраля, 2017 Nitrino1 А вы 13 удлиняли каким образом?По фото как будто вы просто коагулятором десну срезали,вы с костью не работали? Ссылка на комментарий
Доктор Добрых Дел Опубликовано 7 февраля, 2017 Поделиться Опубликовано 7 февраля, 2017 +1 за нормальное удлинение клинических коронок с резекцией кости. Если тупо отрезать десну никакие феррулы не появятся, должна быть сохранена биологическая ширина в 3мм. Ссылка на комментарий
Доктор Добрых Дел Опубликовано 7 февраля, 2017 Поделиться Опубликовано 7 февраля, 2017 А вообще учитывая необходимость в тотальном протезировании на в/ч не проще это все удалить и поставить в 12,22 ещё два имплантата и сделать по нормальному 1 Ссылка на комментарий
Nitrino1 Опубликовано 7 февраля, 2017 Автор Поделиться Опубликовано 7 февраля, 2017 (изменено) M@estroТо есть, вы рекомендуете сделать хирургическое удлинение, потом вкладки и на них временные коронки. Потом уже имплантация - коронки на импланты и потом коронки на фронт постоянные? правильно? Изменено 7 февраля, 2017 пользователем Nitrino1 Ссылка на комментарий
Nitrino1 Опубликовано 7 февраля, 2017 Автор Поделиться Опубликовано 7 февраля, 2017 (изменено) chervoncevdaniilНет) Сначала бором прошелся по кругу, создал феррул 2 мм, потом коагулировал) Не правильный подход да? Где можно прочитать про правильное хирургическое удлинение и его тактику? Изменено 7 февраля, 2017 пользователем Nitrino1 Ссылка на комментарий
Nitrino1 Опубликовано 7 февраля, 2017 Автор Поделиться Опубликовано 7 февраля, 2017 (изменено) Доктор Добрых ДелКак правильно сделать удлинение чтоб создать феррул? Можете дать ссыль или источник для чтива? Изменено 7 февраля, 2017 пользователем Nitrino1 Ссылка на комментарий
Петренкуся Опубликовано 7 февраля, 2017 Поделиться Опубликовано 7 февраля, 2017 Вопрос по пломбированию каналов: они недопломбированы или на Орто не просматриваются? По поводу сохранности остатков: можно вкладки и хирургическое удлинение, затем единый временный Мк мост, мет- пласт разнесёт за время остеоинтеграции. А вообще я бы на в/ч все удалила и имплантация Ссылка на комментарий
Dman Опубликовано 7 февраля, 2017 Поделиться Опубликовано 7 февраля, 2017 Убираете 12,11,22. Крутите 6-4-2-2-4-6 на время интеграции на своих корнях мост. Потом удаляете оставшиеся корни и протезируете импланты. Со всеми остальными вариантами вас ждет куча проблем. Ссылка на комментарий
Доктор Добрых Дел Опубликовано 7 февраля, 2017 Поделиться Опубликовано 7 февраля, 2017 Поищите на форуме Ст@ся выкладывала видео - очень информативно. Ссылка на комментарий
chervoncevdaniil Опубликовано 7 февраля, 2017 Поделиться Опубликовано 7 февраля, 2017 (изменено) chervoncevdaniilНет) Сначала бором прошелся по кругу, создал феррул 2 мм, потом коагулировал) Не правильный подход да? Где можно прочитать про правильное хирургическое удлинение и его тактику?Это не хирургическое удлинение,может феррул вы конечно и получите таким образом,но ценой жесткого нарушения биологической ширины со всеми вытекающими последствиями.Есть курс Марии Приямпольской или,как вам советовали,Анастасия Смолякову(она кстати тут на форуме есть),а где толково почитать не могу вам сказать Изменено 7 февраля, 2017 пользователем chervoncevdaniil Ссылка на комментарий
Nitrino1 Опубликовано 8 февраля, 2017 Автор Поделиться Опубликовано 8 февраля, 2017 Поищите на форуме Ст@ся выкладывала видео - очень информативно.нашел ее, написал))буду ждать ответа))спасибо)) Ссылка на комментарий
Nitrino1 Опубликовано 8 февраля, 2017 Автор Поделиться Опубликовано 8 февраля, 2017 Это не хирургическое удлинение,может феррул вы конечно и получите таким образом,но ценой жесткого нарушения биологической ширины со всеми вытекающими последствиями.Есть курс Марии Приямпольской или,как вам советовали,Анастасия Смолякову(она кстати тут на форуме есть),а где толково почитать не могу вам сказатьда, я понял)) я тоже про биоширину задумался))я написал Анастасии Смоляковой))жду ответа))ща сам поищу про хир удлинение может что то найду))спасибо за содействие)) Ссылка на комментарий
Большой Зеленый Опубликовано 8 февраля, 2017 Поделиться Опубликовано 8 февраля, 2017 Отличные условия для имплантации. Зубы на выход и вместо них 6 винтов.Все предсказуемо А все эти "танцы с бубном" только усложняют лечение ,отодвигают сроки реабилитации и результат "бабушка надвое сказала"Совсем недавно была такая же пациентка http://s012.radikal.ru/i320/1702/68/e62812bf82a3.jpg 7 Ссылка на комментарий
chervoncevdaniil Опубликовано 8 февраля, 2017 Поделиться Опубликовано 8 февраля, 2017 Какая тут конструкция будет? Ссылка на комментарий
Большой Зеленый Опубликовано 8 февраля, 2017 Поделиться Опубликовано 8 февраля, 2017 Какая тут конструкция будет?Если вопрос мне ,то здесь будет подкова.Но тема не моя .Попрошу не отвлекаться. Что получится покажу в отдельной теме. Ссылка на комментарий
Nitrino1 Опубликовано 8 февраля, 2017 Автор Поделиться Опубликовано 8 февраля, 2017 Отличные условия для имплантации. Зубы на выход и вместо них 6 винтов.Все предсказуемо А все эти "танцы с бубном" только усложняют лечение ,отодвигают сроки реабилитации и результат "бабушка надвое сказала"Совсем недавно была такая же пациентка http://s012.radikal.ru/i320/1702/68/e62812bf82a3.jpgКонечно сразу удалить было бы легче, но Пациент хочет хотя бы фронт иметь свой хотя бы на несколько лет. И я не если что честно не увидел факторов против этого? ну да корни на уровне десны, но если правильно сделать удлинение почему бы нет? Весь вопрос на данный момент, как сделать правильное удлинение в данном случае? Пац перешел на перелечку другого зуба, десна которую я коагулировал вернулась на место) Короче налажал Ссылка на комментарий
Большой Зеленый Опубликовано 9 февраля, 2017 Поделиться Опубликовано 9 февраля, 2017 https://www.youtube.com/watch?v=jQyZwlTVLv8 Ссылка на комментарий
Dman Опубликовано 9 февраля, 2017 Поделиться Опубликовано 9 февраля, 2017 Конечно сразу удалить было бы легче, но Пациент хочет хотя бы фронт иметь свой хотя бы на несколько лет. И я не если что честно не увидел факторов против этого? ну да корни на уровне десны, но если правильно сделать удлинение почему бы нет? Весь вопрос на данный момент, как сделать правильное удлинение в данном случае? Пац перешел на перелечку другого зуба, десна которую я коагулировал вернулась на место) Короче налажал вы сейчас сделаете работу, через 2-4 года это все отвалится, нужно будет протезировать фронт - удаление нескольких корней и? Установка имплантов с немедленной нагрузкой? И сколько денег вы сейчас возьмете за повторную эндодонтию/вкладки/коронки? + сейчас на удлиннении будете спиливать кость - какая высота улыбки? Не будет ли это потом осложнять протезирование на имплантах? Посмотрите на 5 лет вперед, он ведь к вам придет.. 3 Ссылка на комментарий
chervoncevdaniil Опубликовано 9 февраля, 2017 Поделиться Опубликовано 9 февраля, 2017 вы сейчас сделаете работу, через 2-4 года это все отвалится, нужно будет протезировать фронт - удаление нескольких корней и? Установка имплантов с немедленной нагрузкой? И сколько денег вы сейчас возьмете за повторную эндодонтию/вкладки/коронки? + сейчас на удлиннении будете спиливать кость - какая высота улыбки? Не будет ли это потом осложнять протезирование на имплантах? Посмотрите на 5 лет вперед, он ведь к вам придет..Либо не придет и всем знакомым скажет чтобы не приходили,вопрос сколько такая конструкция отслужит.Коллеги,сколько лет службы вы закладываете,когда делаете работу и если вдруг будут проблемы,то через сколько лет это может произойти,чтобы вам было не стыдно смотреть в глаза пациенту,когда будете переделывать? 1 Ссылка на комментарий
Большой Зеленый Опубликовано 9 февраля, 2017 Поделиться Опубликовано 9 февраля, 2017 Он не вспомнит что Вы пытались спасти безнадежные зубы .Это быстро забывается. Зато всем расскажет что доктор говнодел . 4 Ссылка на комментарий
Рекомендуемые сообщения
Для публикации сообщений создайте учётную запись или авторизуйтесь
Вы должны быть пользователем, чтобы оставить комментарий
Создать аккаунт
Зарегистрируйте новый аккаунт в нашем сообществе. Это очень просто!
Регистрация нового пользователяВойти
Уже есть аккаунт? Войти в систему.
Войти