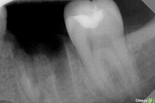
dr.Dre Опубликовано 2 февраля, 2017 Поделиться Опубликовано 2 февраля, 2017 Добрый день уважаемые коллеги ,не могу никак удалить медиальный корень,как быть ?Как вы поступаете в таких ситуациях? Ссылка на комментарий
chervoncevdaniil Опубликовано 2 февраля, 2017 Поделиться Опубликовано 2 февраля, 2017 (изменено) Добрый день уважаемые коллеги ,не могу никак удалить медиальный корень,как быть ?Как вы поступаете в таких ситуациях?Ну у вас решений может быть два,либо самому усердно пытаться корень достать,вооружившись тоненькими элеваторами и терпением,либо отправить пациента более опытному хирургу.P.S Оставить как есть-не вариант Изменено 2 февраля, 2017 пользователем chervoncevdaniil Ссылка на комментарий
Strider Опубликовано 2 февраля, 2017 Поделиться Опубликовано 2 февраля, 2017 Можно тонким бором попробовать вокруг корня аккуратно убрать кость и пробовать его достать тонким элеватором как уже написали выше.У некоторых фирм в каталогах есть даже инструменты для подобных ситуаций: Можно в таком случае попробовать использовать конечно крючки для парадонтологии. Раньше они были более массивные чем сейчас, с пластиковыми ручками , но тут нужно аккуратно - можно отломать кончик инструмента при агрессивной работе.Ну и крайний вариант - отслоится и убирать вестибулярно понемногу кость пока не достанем. 1 Ссылка на комментарий
Доктор Добрых Дел Опубликовано 2 февраля, 2017 Поделиться Опубликовано 2 февраля, 2017 Лучше всего в данном случае распилить корень вдоль в мезио-зистальном направлении расклинить прямым элеватором и вынуть по частям. 4 Ссылка на комментарий
art700 Опубликовано 2 февраля, 2017 Поделиться Опубликовано 2 февраля, 2017 Оптика, корневой элеватор Ссылка на комментарий
Stomart Опубликовано 2 февраля, 2017 Поделиться Опубликовано 2 февраля, 2017 Уберите межкорневую перегородку. Ссылка на комментарий
алекс 100 Опубликовано 2 февраля, 2017 Поделиться Опубликовано 2 февраля, 2017 Если перегородка не нужна-элеватор "на себя".Хотя по снимку странно что возникла сложность с удалением. 1 Ссылка на комментарий
Bier Опубликовано 2 февраля, 2017 Поделиться Опубликовано 2 февраля, 2017 бор на турбину SS-White FG700SL 2 Ссылка на комментарий
колесников Опубликовано 2 февраля, 2017 Поделиться Опубликовано 2 февраля, 2017 Ослабить бором (фреза линдемана на турбину 18мм) со стороны перегородки и вывихнуть используя двусторонний угловой элеватор (средний,не помню размер,их всего 3). 1 Ссылка на комментарий
Игорь Пеликан Опубликовано 2 февраля, 2017 Поделиться Опубликовано 2 февраля, 2017 Трепаном высверлить,если терпения мало) Ссылка на комментарий
krokomot Опубликовано 2 февраля, 2017 Поделиться Опубликовано 2 февраля, 2017 очень в этих случаях помогает фреза лидермана на турбину длинная и тонкая, но думаю проблемы у вас возникли из-зп плохой визуализации. добейтесь того чтобы вы видели корень и тогда все получится на ощупь не вариант. 1 Ссылка на комментарий
voff Опубликовано 3 февраля, 2017 Поделиться Опубликовано 3 февраля, 2017 Тонкой гладилкой обкорчевать со всех сторон. Попробовать закрутить самый большой Н-файл, укорочённый вдвое. Если не получится, на пополам и по частям. Главное посушить и терпение. 1 Ссылка на комментарий
Doctor1981 Опубликовано 3 февраля, 2017 Поделиться Опубликовано 3 февраля, 2017 Лучше всего в данном случае распилить корень вдоль в мезио-зистальном направлении расклинить прямым элеватором и вынуть по частям.+1 Ссылка на комментарий
Doctor1981 Опубликовано 3 февраля, 2017 Поделиться Опубликовано 3 февраля, 2017 Только почему советуете распиливать турбинным наконечником.Есть риск ожога кости и как следствие не нужные боли после удаления.Линдеман есть и для углового наконечника.Прекрасно и им корень распиливается.Да и стараться надо удалять без повреждения кости 1 Ссылка на комментарий
Strider Опубликовано 3 февраля, 2017 Поделиться Опубликовано 3 февраля, 2017 (изменено) Только почему советуете распиливать турбинным наконечником.Есть риск ожога кости и как следствие не нужные боли после удаления.Линдеман есть и для углового наконечника.Прекрасно и им корень распиливается.Да и стараться надо удалять без повреждения кости Турбина+вода+не пилить без остановки и не будет ожога. Ну если анкилоз зуба, без повреждения никак разве только есть пьезо Лучше всего в данном случае распилить корень вдоль в мезио-зистальном направлении расклинить прямым элеватором и вынуть по частям.А мы не нарвемся в таком случае на то, что обломаем корень и оставим еще меньшую его часть? В ранее пролеченном зубе я б не рискнул так делать. Изменено 3 февраля, 2017 пользователем Strider 1 Ссылка на комментарий
Shargik Опубликовано 3 февраля, 2017 Поделиться Опубликовано 3 февраля, 2017 Только почему советуете распиливать турбинным наконечником.Есть риск ожога кости и как следствие не нужные боли после удаления.Линдеман есть и для углового наконечника.Прекрасно и им корень распиливается.Да и стараться надо удалять без повреждения кости Пилить кость нежелательно, а корень перегреется или нет по барабану.. Ссылка на комментарий
Доктор Добрых Дел Опубликовано 3 февраля, 2017 Поделиться Опубликовано 3 февраля, 2017 Трепаном высверлить,если терпения мало)Если терпения мало можно щипцы наложить прямо на альвеолярный отросток. 1 1 Ссылка на комментарий
Доктор Добрых Дел Опубликовано 3 февраля, 2017 Поделиться Опубликовано 3 февраля, 2017 А мы не нарвемся в таком случае на то, что обломаем корень и оставим еще меньшую его часть? В ранее пролеченном зубе я б не рискнул так делать.Сломать можно и ранее не пролеченый, это не имеет значения принципиального. Здесь главное стараться пилить по центру корня и пропилить как можно ближе к апексу чтоб получились равные фрагменты. Если пилить под наклоном, то отпилите маленький фрагмент (чаще всего язычный) и продолжите ковыряться с основным корнем. До апекса скорее всего не досверлитесь, но это позволит Вам легко удалить корень. Рисовал на телефоне так что в е очень схематично 2 Ссылка на комментарий
___49___ Опубликовано 3 февраля, 2017 Поделиться Опубликовано 3 февраля, 2017 Тоипкстартер - отпишись потом Ссылка на комментарий
dr.Dre Опубликовано 3 февраля, 2017 Автор Поделиться Опубликовано 3 февраля, 2017 Уважаемые коллеги всем спасибо за советы ,как уберу отпишусь Ссылка на комментарий
Doctor1981 Опубликовано 3 февраля, 2017 Поделиться Опубликовано 3 февраля, 2017 Турбина+вода+не пилить без остановки и не будет ожога. Ну если анкилоз зуба, без повреждения никак разве только есть пьезо А мы не нарвемся в таком случае на то, что обломаем корень и оставим еще меньшую его часть?В ранее пролеченном зубе я б не рискнул так делать.Момент ожога кости работая турбиной-штука не контролируемая,особенно на конце фрезы в глубине лунки.На обломанный корень не нарвётесь если распилите корень полностью на всё длину .Я вообще не понимаю откуда пошло желание работать турбинным наконечником по кости.Распилить фуркацию ещё ладно,но корень да который не плохо видно 1 3 Ссылка на комментарий
Bier Опубликовано 3 февраля, 2017 Поделиться Опубликовано 3 февраля, 2017 Момент ожога кости работая турбиной-штука не контролируемая,особенно на конце фрезы в глубине лунки.На обломанный корень не нарвётесь если распилите корень полностью на всё длину .Я вообще не понимаю откуда пошло желание работать турбинным наконечником по кости.Распилить фуркацию ещё ладно,но корень да который не плохо видно работаю турбиной всю свою практику. Можете конечно страдать там угловым, но я смысла в этом не вижу. Не нужно бояться спилить немного кости внутри лунки, важно сохранить костные стенки. 16 Ссылка на комментарий
krokomot Опубликовано 3 февраля, 2017 Поделиться Опубликовано 3 февраля, 2017 Абсолютно согласен, работать турбиной удобно и быстро, хороший спрей и будет вам отличное охлаждение, и любителям по три часа ковырять элеватором ломая стенки лунки подумайте что элеватором вы наносите не меньшую травму кости. И всегда лучше сепарировать корень и достать его периотомом чем выламывать его элеватором и уж тем более с наложением на альвеолярный отросток щипцов. Ссылка на комментарий
АнтонТЛТ Опубликовано 3 февраля, 2017 Поделиться Опубликовано 3 февраля, 2017 Турбиной по периметру корня пройтись и вытащить элеватором, делов на 5 мин 5 Ссылка на комментарий
колесников Опубликовано 3 февраля, 2017 Поделиться Опубликовано 3 февраля, 2017 (изменено) Распилив мезио -дистально корень,при вывихиванми можно повредить гребень вестибулярной или язычной стенки. Лучше распиливать щечноязычно. Изменено 3 февраля, 2017 пользователем колесников 1 Ссылка на комментарий
Рекомендуемые сообщения
Для публикации сообщений создайте учётную запись или авторизуйтесь
Вы должны быть пользователем, чтобы оставить комментарий
Создать аккаунт
Зарегистрируйте новый аккаунт в нашем сообществе. Это очень просто!
Регистрация нового пользователяВойти
Уже есть аккаунт? Войти в систему.
Войти