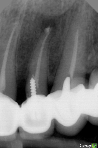
dr.Dre Опубликовано 16 января, 2017 Поделиться Опубликовано 16 января, 2017 Добрый день уважаемые коллеги,пациентка 40 лет ,вверх полностю дуга керамики ,до своего доктора кто ето сделал возвращаться не хочет , в наличии есть микроскоп ,реально ли сделать не снимая дуги. Ссылка на комментарий
DrNice Опубликовано 16 января, 2017 Поделиться Опубликовано 16 января, 2017 Добрый день уважаемые коллеги,пациентка 40 лет ,вверх полностю дуга керамики ,до своего доктора кто ето сделал возвращаться не хочет , в наличии есть микроскоп ,реально ли сделать не снимая дуги.Задавались недавно мои терапевты таким вопросом, пришли к выводу что основная проблема - металический каркас, который будет давать погрешность на апексе. КТ есть? Хотелось бы увидеть положение анкера. Ссылка на комментарий
DrNice Опубликовано 16 января, 2017 Поделиться Опубликовано 16 января, 2017 Я бы рассматривал вариант сепарации, лечение с адекватным доступом и новую коронку. Ссылка на комментарий
Pan Опубликовано 16 января, 2017 Поделиться Опубликовано 16 января, 2017 (изменено) в чем заключаются жалобы ? симптоматика есть? У вас есть неплохой шанс сделать ещё хуже. Изменено 16 января, 2017 пользователем Pan Ссылка на комментарий
vse32 Опубликовано 16 января, 2017 Поделиться Опубликовано 16 января, 2017 Сложно, но реально. Если от коронки только стенки оставить. Аплок ведет себя нормально если изолировать каркас фумкой. Вопрос в положении анкера. КТ было бы здорово увидеть.А по факту делала такое пару раз.1. На временной полной дуге - снимать побоялась, что сломается при снимании, а ортопед одномоментную времянку прямо на анкер посадил. Не просек. 2. Раз на реальных коронках, но подлежащих снятию. Готовила под новое протезирование. То есть раздолбанная коронка потом снялась. Ссылка на комментарий
dr.Dre Опубликовано 16 января, 2017 Автор Поделиться Опубликовано 16 января, 2017 в чем заключаются жалобы ? симптоматика есть? У вас есть неплохой шанс сделать ещё хуже. на десне был свищ,боли как при гранулёматозном периодонтите Ссылка на комментарий
dr.Dre Опубликовано 16 января, 2017 Автор Поделиться Опубликовано 16 января, 2017 Сложно, но реально. Если от коронки только стенки оставить. Аплок ведет себя нормально если изолировать каркас фумкой. Вопрос в положении анкера. КТ было бы здорово увидеть.А по факту делала такое пару раз.1. На временной полной дуге - снимать побоялась, что сломается при снимании, а ортопед одномоментную времянку прямо на анкер посадил. Не просек. 2. Раз на реальных коронках, но подлежащих снятию. Готовила под новое протезирование. То есть раздолбанная коронка потом снялась.А резекцию как думаете? Ссылка на комментарий
dr.Dre Опубликовано 16 января, 2017 Автор Поделиться Опубликовано 16 января, 2017 Я бы рассматривал вариант сепарации, лечение с адекватным доступом и новую коронку.новую коронку как когда ето дуга Ссылка на комментарий
Kolchanov Опубликовано 16 января, 2017 Поделиться Опубликовано 16 января, 2017 Там легко может быть перфа от штифта, а если и нет, то запросто трещина может образоваться при вытаскивании. Добавьте сюда уже имеющийся там кариес, отсутствие культи под коронкой после лечения, возможные сколы керамики, гипохлорит во рту пациента (у вас не рвало пациентов в коффере? у меня было) и определитесь, так ли вы хотите помочь этому человеку.. 2 Ссылка на комментарий
dr.Dre Опубликовано 16 января, 2017 Автор Поделиться Опубликовано 16 января, 2017 Там легко может быть перфа от штифта, а если и нет, то запросто трещина может образоваться при вытаскивании. Добавьте сюда уже имеющийся там кариес, отсутствие культи под коронкой после лечения, возможные сколы керамики, гипохлорит во рту пациента (у вас не рвало пациентов в коффере? у меня было) и определитесь, так ли вы хотите помочь этому человеку..а если направить на резекцию? Ссылка на комментарий
vse32 Опубликовано 16 января, 2017 Поделиться Опубликовано 16 января, 2017 а если направить на резекцию?Не нравится мне вариант с резекцией. Замуровывать всю эту дрянь. И опять же вопрос с положением анкера открыт. Ссылка на комментарий
krokomot Опубликовано 16 января, 2017 Поделиться Опубликовано 16 января, 2017 покажите панораму, может там и не только в этом зубе проблема, заодно можно оценить целесообразност дуги Ссылка на комментарий
Stomart Опубликовано 16 января, 2017 Поделиться Опубликовано 16 января, 2017 А что с антагонистами? Если тоже мк, то могут пойти сколы и вас еще обвинят в порче моста. Подумайте стоит ли овчинка выделки. Ссылка на комментарий
DrNice Опубликовано 16 января, 2017 Поделиться Опубликовано 16 января, 2017 новую коронку как когда ето дуга Сепарация этой коронки от дуги, реэндо, моделировка культевой части, коронка. Это как один из вариантов, если все пойдет хорошо. Если все пойдет плохо, опять таки сепарация. Но для начала КТ, надо понимать положение анкера. Ссылка на комментарий
Ico Опубликовано 16 января, 2017 Поделиться Опубликовано 16 января, 2017 а если направить на резекцию?Если хирург/терапевт владеет необходимыми навыками и хорошо оснащен,то вполне это выход.Через коронку намного больше шансов потерять зуб. Ссылка на комментарий
Kolchanov Опубликовано 16 января, 2017 Поделиться Опубликовано 16 января, 2017 Если надо сделать, чтобы не болело, те пять лет, которые он гнить там будет, то можно и резекцию. А потом можно и дугу эту снять и другу дугу сделать. Но уже без этого зуба. 1 Ссылка на комментарий
Pan Опубликовано 16 января, 2017 Поделиться Опубликовано 16 января, 2017 а можно снимок с гуттой в свищевом канале. Ссылка на комментарий
Doctor1981 Опубликовано 17 января, 2017 Поделиться Опубликовано 17 января, 2017 Если хирург/терапевт владеет необходимыми навыками и хорошо оснащен,то вполне это выход.Через коронку намного больше шансов потерять зуб.А смысл делать резекцию без перелечивания канала? Ссылка на комментарий
Doctor1981 Опубликовано 17 января, 2017 Поделиться Опубликовано 17 января, 2017 покажите панораму, может там и не только в этом зубе проблема, заодно можно оценить целесообразност дуги+1.Судя по качеству эндолечения соседних зубов наверняка есть проблемы с другими.Будет легче мотивировать пациента на снятие всей кострукции Ссылка на комментарий
4ebstom Опубликовано 17 января, 2017 Поделиться Опубликовано 17 января, 2017 Я бы не стал лезть туда-выгода сомнительная,проблем можно схлопотать запросто Ссылка на комментарий
Ico Опубликовано 17 января, 2017 Поделиться Опубликовано 17 января, 2017 (изменено) А смысл делать резекцию без перелечивания канала?Есть много монографий и качественно оформленных клинических случаев у известных докторов,с хорошими результатами.Главное это делать не топором,с хорошим гемостазом,паковкой и препарированием среденей трети УЗ спец насадками.К тому же зачем делать апико если сумел грамотно перелечить?Перелечил - наблюдай,не помогло - реж))) Изменено 17 января, 2017 пользователем Ico Ссылка на комментарий
dr.Dre Опубликовано 18 января, 2017 Автор Поделиться Опубликовано 18 января, 2017 Уважаемые коллеги всем спасибо за советы Ссылка на комментарий
Рекомендуемые сообщения
Для публикации сообщений создайте учётную запись или авторизуйтесь
Вы должны быть пользователем, чтобы оставить комментарий
Создать аккаунт
Зарегистрируйте новый аккаунт в нашем сообществе. Это очень просто!
Регистрация нового пользователяВойти
Уже есть аккаунт? Войти в систему.
Войти