Каплан Опубликовано 30 января, 2017 Автор Поделиться Опубликовано 30 января, 2017 1 сегмент. 2 ретрита и 2 пульпита. 1 стекловолоконная вкладка полупрямая, 1 свш+композит, 1 композитный билдап (привет любителям больших пломб от 6го зуба) и 1 культевая вкладка кхс. 3 имакса и 1 литая коронка. 2 сегмент - просто 2 ретрита. в 6 заступенил мб2 (еще без скопа), и в скоп обошел свою же ступеньку культевая вкладка и в 7 просто композитный билдап. мк с круговой+ цельнолитая. Первый преп в скоп, но как назло - турбинкой. повышай сдох. 2 Ссылка на комментарий
Каплан Опубликовано 26 марта, 2017 Автор Поделиться Опубликовано 26 марта, 2017 Давно что-то ничего не публиковал тут... Так что простите за спам )) все выполнено одним цветом GC Essentia Universal. 3 Ссылка на комментарий
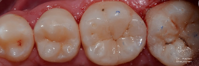
Каплан Опубликовано 26 марта, 2017 Автор Поделиться Опубликовано 26 марта, 2017 Скрытый 2 класс. Легче всего найти если подсветить контакт - как правило там есть трещинка. 4 Ссылка на комментарий
Каплан Опубликовано 26 марта, 2017 Автор Поделиться Опубликовано 26 марта, 2017 2 часа от вкола. Не идеально. валики надо чуть дисками подправить. оставили коррекцию на след. визит, когда будем лечить 5 и 7. 2 Ссылка на комментарий
Kolchanov Опубликовано 26 марта, 2017 Поделиться Опубликовано 26 марта, 2017 Каплан, как считаешь, вот эти дохленькие мостики дентина, что-то значат в плане упрочнения конструкции или это так, дань моде фейсбучной? 1 Ссылка на комментарий
Каплан Опубликовано 26 марта, 2017 Автор Поделиться Опубликовано 26 марта, 2017 Кость, реальных исследований на эту тему я не видел. Даже если не укрепляет-экономит время на постэндо. Мне этого достаточно Ссылка на комментарий
shishok Опубликовано 26 марта, 2017 Поделиться Опубликовано 26 марта, 2017 Каплан,Вы новый платок уже опробовали? Ссылка на комментарий
Каплан Опубликовано 26 марта, 2017 Автор Поделиться Опубликовано 26 марта, 2017 Каплан,Вы новый платок уже опробовали?черный? пару кейсов. пока не понял. мыть чуть сложнее. Ссылка на комментарий
Паращук Роман Опубликовано 26 марта, 2017 Поделиться Опубликовано 26 марта, 2017 Кость, реальных исследований на эту тему я не видел.Даже если не укрепляет-экономит время на постэндо. Мне этого достаточно мезиально матрица мягко не айс.... Ссылка на комментарий
Каплан Опубликовано 26 марта, 2017 Автор Поделиться Опубликовано 26 марта, 2017 мезиально матрица мягко не айс....Не айс, там камень оставался. Я думал мягкий налет и слижется матрицей. Не слищало. Переставили конечно же. Фотку оставил, потому что просто показывает тем, кто без увеличения работает, на сколько оно важно. Хотя бы на фотках. Ссылка на комментарий
Паращук Роман Опубликовано 27 марта, 2017 Поделиться Опубликовано 27 марта, 2017 Не айс, там камень оставался. Я думал мягкий налет и слижется матрицей.Не слищало.Переставили конечно же.Фотку оставил, потому что просто показывает тем, кто без увеличения работает, на сколько оно важно. Хотя бы на фотках.таки да. когда без увеличения работаешь думаешь что все матрицы у тебя стоят идеально и там сухо как в Сахаре. С увеличением можно минут по сорок адаптировать видя что то тут не прижато,то там сочиться.))) Ссылка на комментарий
Каплан Опубликовано 27 апреля, 2017 Автор Поделиться Опубликовано 27 апреля, 2017 Давно что-то ничего не публиковал тут... Так что простите за спам )) все выполнено одним цветом GC Essentia Universal. Сегодняшний контроль 5 Ссылка на комментарий
Каплан Опубликовано 17 мая, 2017 Автор Поделиться Опубликовано 17 мая, 2017 когда полечили коллегу после курса Массирони http://imagizer.imageshack.us/v2/xq90/924/2ZGM9x.jpghttp://imagizer.imageshack.us/v2/xq90/924/6bAeNK.jpghttp://imagizer.imageshack.us/v2/xq90/923/PeKMj8.jpghttp://imagizer.imageshack.us/v2/xq90/924/WTLRcn.jpghttp://imagizer.imageshack.us/v2/xq90/922/3zf07u.jpghttp://imagizer.imageshack.us/v2/xq90/922/q8feFJ.jpghttp://imagizer.imageshack.us/v2/xq90/922/gddrbm.jpghttp://imagizer.imageshack.us/v2/xq90/923/J7oTIu.jpghttp://imagizer.imageshack.us/v2/xq90/922/PdonFk.jpghttp://imagizer.imageshack.us/v2/xq90/922/CcxsoT.jpghttp://imagizer.imageshack.us/v2/xq90/922/JWF5pG.jpghttp://imagizer.imageshack.us/v2/xq90/924/dCuvBJ.jpg 11 Ссылка на комментарий
Kolchanov Опубликовано 17 мая, 2017 Поделиться Опубликовано 17 мая, 2017 Неужели Его лечил? Ого! Он поди все в зеркало контролировал, куда какой бугор ложить подсказывал 1 Ссылка на комментарий
Каплан Опубликовано 17 мая, 2017 Автор Поделиться Опубликовано 17 мая, 2017 Неужели Его лечил? Ого! Он поди все в зеркало контролировал, куда какой бугор ложить подсказывал его)) не в зеркало, но в фотки адаптации матрицы смотрел )) 1 Ссылка на комментарий
ger_berra Опубликовано 17 мая, 2017 Поделиться Опубликовано 17 мая, 2017 когда полечили коллегу после курса Массирони Уважаемый пациент," Пипка" в борозде не мешает? Притёрлась? Ссылка на комментарий
ger_berra Опубликовано 18 мая, 2017 Поделиться Опубликовано 18 мая, 2017 Сегодня полепила по-каплановски Удовлетворена весьма.А то всё "дадонтия" 1 Ссылка на комментарий
Каплан Опубликовано 30 мая, 2017 Автор Поделиться Опубликовано 30 мая, 2017 Фрагмент реабилитации. Композитные виниры, мокап длительного ношения. кому как нравится. Факт - работа временная. (пациентка получила скидку на керамику равную стоимости этих композитов при условии что воспользуется скидкой за 6 месяцев). Надо еще немного полирнуть и по форме чуть пройтись. 4 Ссылка на комментарий
ger_berra Опубликовано 30 мая, 2017 Поделиться Опубликовано 30 мая, 2017 Фрагмент реабилитации. Композитные виниры, мокап длительного ношения. кому как нравится. Факт - работа временная. (пациентка получила скидку на керамику равную стоимости этих композитов при условии что воспользуется скидкой за 6 месяцев). Надо еще немного полирнуть и по форме чуть пройтись.Как временные очень даже круто! У меня серьёзные проблемы с реставрациями на фронте. Ссылка на комментарий
Каплан Опубликовано 30 мая, 2017 Автор Поделиться Опубликовано 30 мая, 2017 Как временные очень даже круто! У меня серьёзные проблемы с реставрациями на фронте.у меня тоже ))) Ссылка на комментарий
ger_berra Опубликовано 30 мая, 2017 Поделиться Опубликовано 30 мая, 2017 у меня тоже )))Да ладно! Чё скромничаешь Ссылка на комментарий
Каплан Опубликовано 4 июля, 2017 Автор Поделиться Опубликовано 4 июля, 2017 http://imagizer.imageshack.us/v2/xq90/922/M64PS8.jpghttp://imagizer.imageshack.us/v2/xq90/924/DqQxjS.jpghttp://imagizer.imageshack.us/v2/xq90/924/u6A6Q9.jpghttp://imagizer.imageshack.us/v2/xq90/923/mM7xdx.jpghttp://imagizer.imageshack.us/v2/xq90/923/KEgkpx.jpghttp://imagizer.imageshack.us/v2/xq90/923/eFE122.jpghttp://imagizer.imageshack.us/v2/xq90/924/Hgs916.jpghttp://imagizer.imageshack.us/v2/xq90/922/IfJfY9.jpghttp://imagizer.imageshack.us/v2/xq90/922/Cg9eQq.jpghttp://imagizer.imageshack.us/v2/xq90/924/F2VQZx.jpg 5 Ссылка на комментарий
vse32 Опубликовано 4 июля, 2017 Поделиться Опубликовано 4 июля, 2017 3 и 4 фото местами поменялись, но все равно и как всегда СУПЕР! Ссылка на комментарий
Каплан Опубликовано 5 июля, 2017 Автор Поделиться Опубликовано 5 июля, 2017 http://imagizer.imageshack.us/v2/xq90/924/tKfSh1.jpghttp://imagizer.imageshack.us/v2/xq90/923/flwqk7.jpghttp://imagizer.imageshack.us/v2/xq90/924/OL9K4Z.jpghttp://imagizer.imageshack.us/v2/xq90/924/mb3oIt.jpghttp://imagizer.imageshack.us/v2/xq90/923/7739mY.jpghttp://imagizer.imageshack.us/v2/xq90/922/Y3TcAt.jpghttp://imagizer.imageshack.us/v2/xq90/923/gHfVRZ.jpg 8 Ссылка на комментарий
Каплан Опубликовано 7 июля, 2017 Автор Поделиться Опубликовано 7 июля, 2017 К вопросу о тайминге. 9-23 изоляция 2 сегмента10-21 финиш.10-29 изолячия 3 сегмента (8 минут на анестезию и изоляцию, прибраться на столе)11-23 финиш. не идеально. пациентка немного опоздала, и я тоже когда записывал не расчитал с объемом, а учитывая ограниченность количества визитов - пришлось немного ускоритьсяhttp://imagizer.imageshack.us/v2/xq90/922/gYYnMJ.jpghttp://imagizer.imageshack.us/v2/xq90/922/tXpY0a.jpghttp://imagizer.imageshack.us/v2/xq90/924/Xfnyef.jpghttp://imagizer.imageshack.us/v2/xq90/924/zJYz8x.jpghttp://imagizer.imageshack.us/v2/xq90/922/a4NHMT.jpghttp://imagizer.imageshack.us/v2/xq90/923/9EZS9h.jpghttp://imagizer.imageshack.us/v2/xq90/924/NKJLXt.jpg 4 Ссылка на комментарий
Рекомендуемые сообщения
Для публикации сообщений создайте учётную запись или авторизуйтесь
Вы должны быть пользователем, чтобы оставить комментарий
Создать аккаунт
Зарегистрируйте новый аккаунт в нашем сообществе. Это очень просто!
Регистрация нового пользователяВойти
Уже есть аккаунт? Войти в систему.
Войти