Перейти к содержанию
Стоматология для всех

Совет по лечению: глубокий прикус+ВНЧС


Smileis

Рекомендуемые сообщения

Здравствуйте, уважаемые форумчане! Нуждаюсь в консультации специалистов по плану лечения + рекомендации по выбору доктора 

 

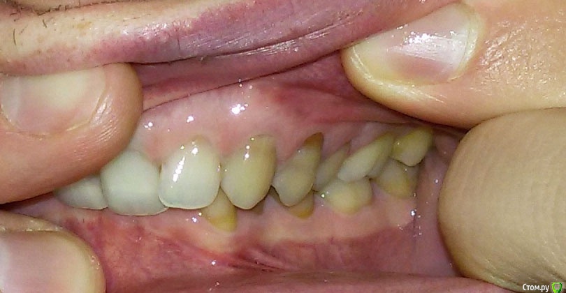
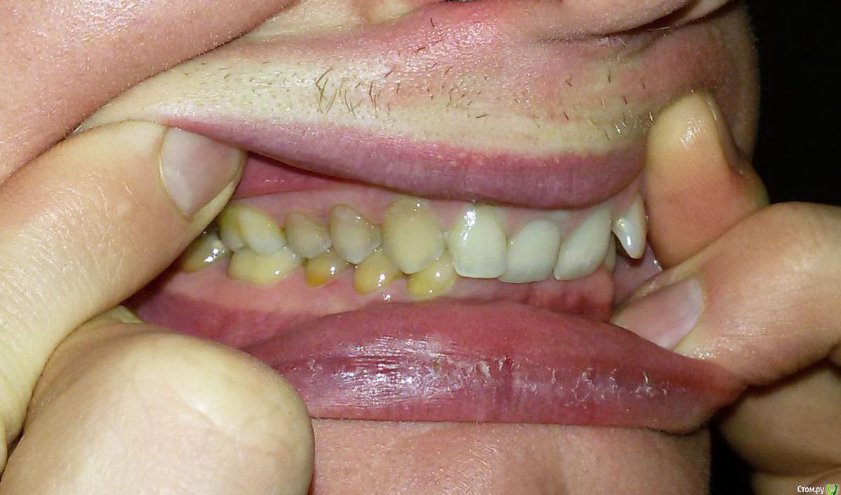
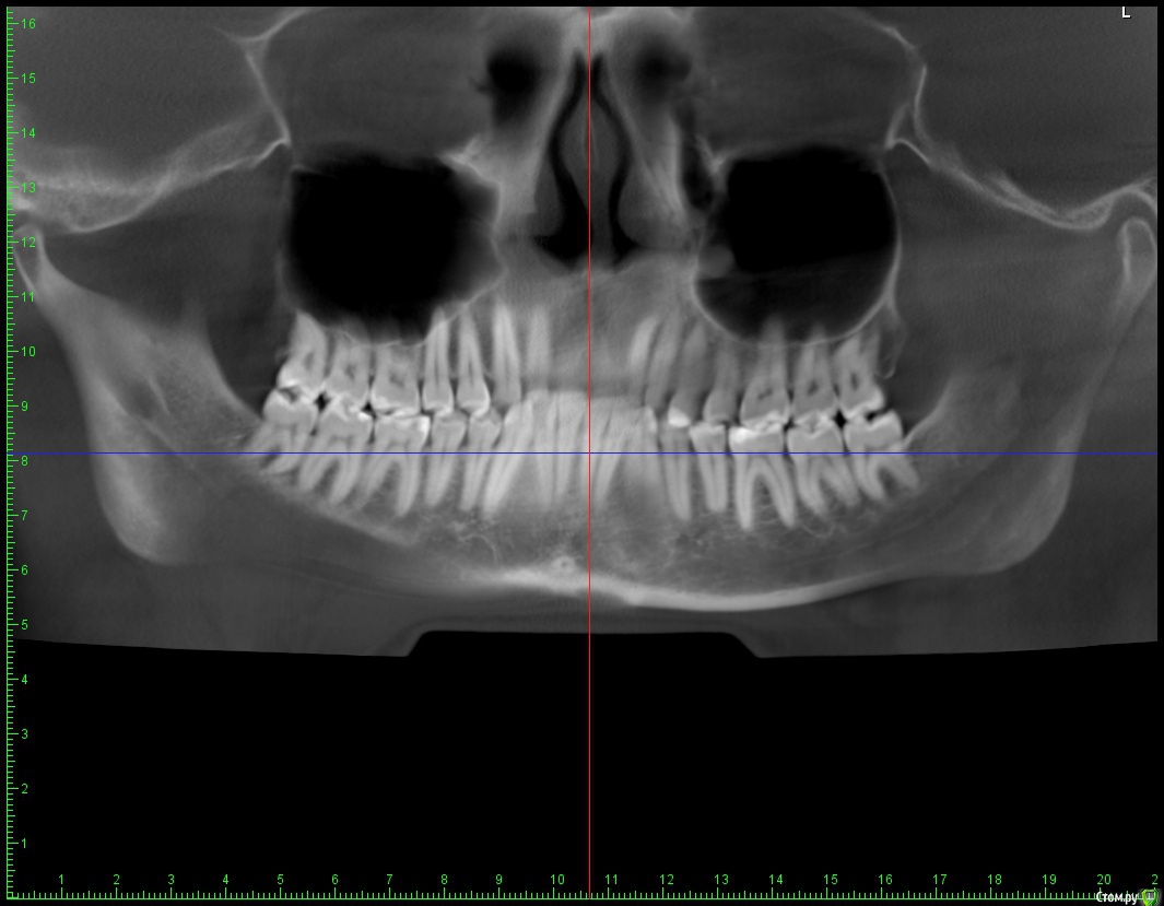
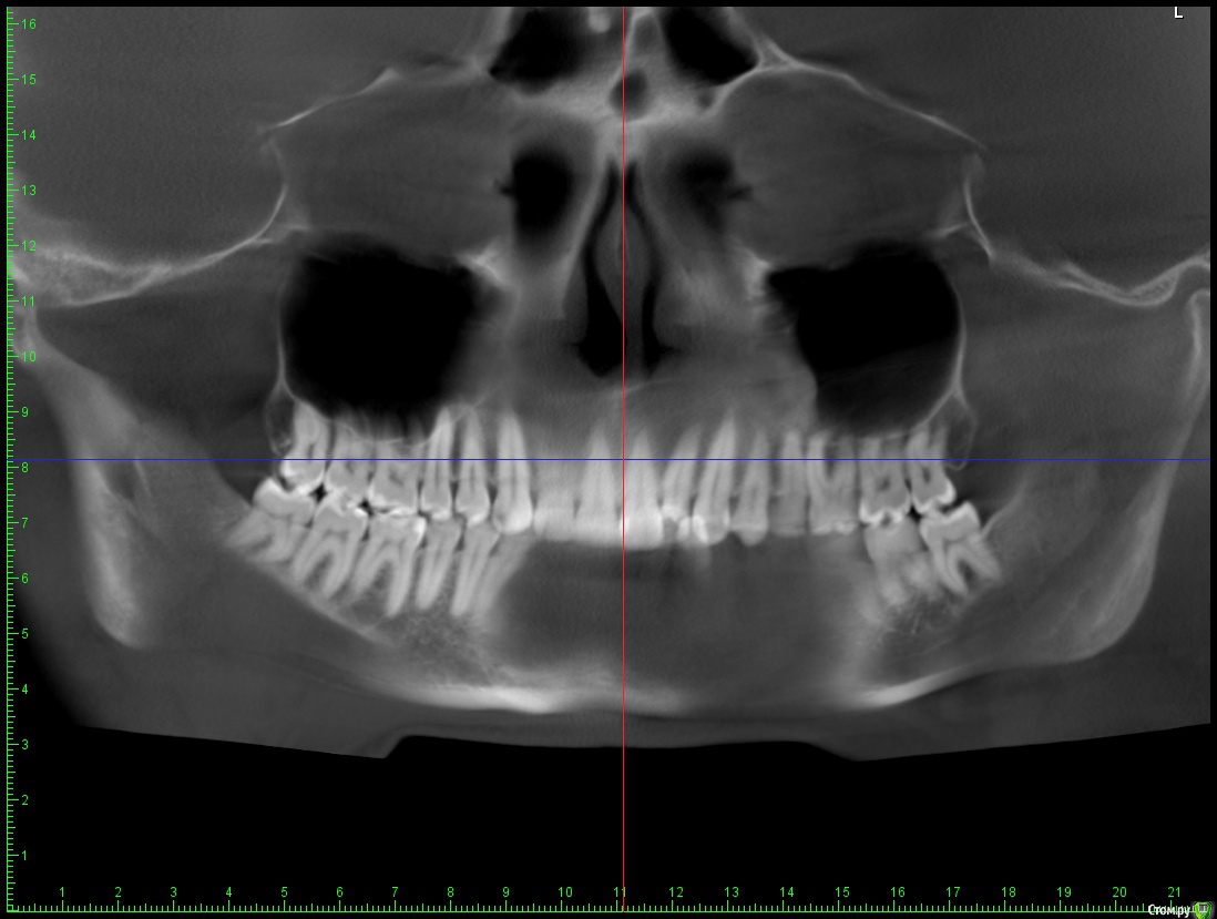
Беспокоит: Возраст 30 лет.  с 15 лет щелчки в суставе, полгода назад появилась периодическая боль - в области сустава, напряжение в жевательных мышцах, в шее  (с шеей вообще давние проблемы - не знаю, что первопричина болей), боли в затылке, голове. Глубокий прикус. Решил прикус исправлять в надежде, что боли уменьшатся.  На снимках видно, что челюсть нижняя заблокирована в заднем положении, мешают верхние резцы, головка сустава смещена
 
Где был: Наши местные ортодонты в Туле суставом не занимаются, единственное предложение - лечение брекетами. По их словам нижняя челюсть сама немного выдвенется когда исправим загнутые внутрь резцы вч, а выдвигать аппаратом Гербста не имеет смысла в моем возрасте - все вернется назад. Один ортодонт правда предложил тяги - но их результативность под вопросом
Был в Москве в институте на вучетича - там предложили брекеты+гербста. 
Теперь я в сомнениях, поскольку про целесообразрость Гербста разное говорят, а в Москве заметно дороже выходит лечение. Оправдано ли это будет.
 
Почитал информацию в сети - замешательство еще больше, т.к. при ВНЧС есть сплит терапия, декомпрессия капами перед лечением на брекетах... 
Правильно ли я понимаю, что просто лечение на брекетах может быть недостаточным и потребуется потом перелечивание/долечивание?
 
Нуждаюсь в ваших советах и рекомендации грамотных специалистов в Москве/Области (ярославское направление и вообще северн.часть)
 
Все мои исследования есть на гугл диске    - там и снимки, и фото, так же результаты КТ и МРТ в электронном виде. 
Часть из этого прикрепляю сюда. Ниже - заключение МРТ
Частичное переднее смещение суставного диска ВНЧС справа в положении с закрытым ртом, полная репозиция диска в положении с открытым ртом. Частичное переднее смещение наружного отдела суставного диска ВНЧС слева в положении с закрытым ртом (за счёт внутренней ротации диска), полная репозиция диска в положении с открытым ртом. Остеоартроз ВНЧС справа 1 ст.
 
Благодарю за помощь и советы!
С уважением,
Илья
 
 
post-49999-0-34163800-1481637257_thumb.jpg post-49999-0-63761600-1481637258_thumb.jpg
post-49999-0-76404600-1481637259_thumb.jpg post-49999-0-99018600-1481637260_thumb.jpg  post-49999-0-20944200-1481637262_thumb.jpgpost-49999-0-98336600-1481637323_thumb.jpg
post-49999-0-33508800-1481637350_thumb.jpg post-49999-0-11981900-1481637352_thumb.jpg  post-49999-0-35293400-1481637353_thumb.jpg
post-49999-0-46938800-1481638182_thumb.jpg post-49999-0-98350700-1481638182_thumb.jpg post-49999-0-32806300-1481638183_thumb.jpg 
Изменено пользователем Smileis
Ссылка на комментарий

Для публикации сообщений создайте учётную запись или авторизуйтесь

Вы должны быть пользователем, чтобы оставить комментарий

Создать аккаунт

Зарегистрируйте новый аккаунт в нашем сообществе. Это очень просто!

Регистрация нового пользователя

Войти

Уже есть аккаунт? Войти в систему.

Войти
×
×
  • Создать...
Вверх