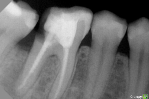
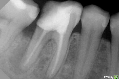
dr.Dre Опубликовано 30 ноября, 2016 Поделиться Опубликовано 30 ноября, 2016 Добрый вечер,уважаемые коллеги ,вот такая ситуация 46 зуб ноющая боль,анкер убрал еще хуже сделал 2 часа ушло,что скажете если мта закрыть какой прогноз данного зуба? Ссылка на комментарий
vse32 Опубликовано 30 ноября, 2016 Поделиться Опубликовано 30 ноября, 2016 Что Вы хотите закрывать МТА?Мне кажется, что трещина по бифуркации?В любом случае, на втором снимке после удаления штифта фатальная убыль тканей зуба в дистальной части. Протезирование, похоже там уже не вариант. Плюс киста.В общем, лечение титаном. Ссылка на комментарий
Kolchanov Опубликовано 30 ноября, 2016 Поделиться Опубликовано 30 ноября, 2016 Я правильно понял, что анкер убирался путем выпиливания его по кругу бором? 3 Ссылка на комментарий
Паращук Роман Опубликовано 30 ноября, 2016 Поделиться Опубликовано 30 ноября, 2016 Кто так строит!?(С). Имхо коллеге пора найти куратора и учится. Ссылка на комментарий
dr.Dre Опубликовано 30 ноября, 2016 Автор Поделиться Опубликовано 30 ноября, 2016 Я правильно понял, что анкер убирался путем выпиливания его по кругу бором? под микроскоп и ультразвуком Ссылка на комментарий
Kolchanov Опубликовано 30 ноября, 2016 Поделиться Опубликовано 30 ноября, 2016 (изменено) Из описания абсолютно не ясно где проблема. Видно только снижение плотности тканей зуба в области фуркации и дистального корня. Кстати, можно попробовать просто через окуляр микроскопа телефоном фотографировать. Мы когда учились, то на гистологии и патане удавалось препараты сфотографировать вполне сносно, а тогда телефончики были те еще. Изменено 30 ноября, 2016 пользователем Kolchanov Ссылка на комментарий
dr.Dre Опубликовано 30 ноября, 2016 Автор Поделиться Опубликовано 30 ноября, 2016 Из описания абсолютно не ясно где проблема. Видно только снижение плотности тканей зуба в области фуркации и дистального корня. Кстати, можно попробовать просто через окуляр микроскопа телефоном фотографировать. Мы когда учились, то на гистологии и патане удавалось препараты сфотографировать вполне сносно, а тогда телефончики были те еще.За совет с фото спасибо попробую,что б вы делали з данным зубом ? Ссылка на комментарий
Kolchanov Опубликовано 30 ноября, 2016 Поделиться Опубликовано 30 ноября, 2016 Не знаю. Я тоже делал перфорации, но там как-то более экономные они выходили, закрывал. Фото бы помогло дать совет. На рентгенограмме выглядит подготовленным к удалению. Ссылка на комментарий
dr.Dre Опубликовано 30 ноября, 2016 Автор Поделиться Опубликовано 30 ноября, 2016 Не знаю. Я тоже делал перфорации, но там как-то более экономные они выходили, закрывал. Фото бы помогло дать совет. На рентгенограмме выглядит подготовленным к удалению.Сделаю фото вам кину Ссылка на комментарий
Паращук Роман Опубликовано 30 ноября, 2016 Поделиться Опубликовано 30 ноября, 2016 под микроскоп и ультразвукомуз был чак с у-файлом или для снятия з/о. Ссылка на комментарий
dr.Dre Опубликовано 30 ноября, 2016 Автор Поделиться Опубликовано 30 ноября, 2016 уз был чак с у-файлом или для снятия з/о.парадонтальная тонкая Ссылка на комментарий
Паращук Роман Опубликовано 2 декабря, 2016 Поделиться Опубликовано 2 декабря, 2016 парадонтальная тонкаякупите насадки типа G8,G6,P3,E3. Удобно и анкера расшатывать и цемент в к/к убирать. Да и нависания дентина хорошо убирают. Если обходить анкер хороша ЕD4. У нее очень тонкий кончик,который еще можно заточить, уменьшив. Ну или у-файл,спредер с чаке.А так при неудобной форме и плохой визуализации,вы убили много дентина. Ссылка на комментарий
dr.Dre Опубликовано 2 декабря, 2016 Автор Поделиться Опубликовано 2 декабря, 2016 (изменено) купите насадки типа G8,G6,P3,E3. Удобно и анкера расшатывать и цемент в к/к убирать. Да и нависания дентина хорошо убирают. Если обходить анкер хороша ЕD4. У нее очень тонкий кончик,который еще можно заточить, уменьшив. Ну или у-файл,спредер с чаке.А так при неудобной форме и плохой визуализации,вы убили много дентина.Огромное спасибо за ответ.Еще вопрос какие U-файлы качественные посоветуете? Изменено 2 декабря, 2016 пользователем dr.Dre Ссылка на комментарий
Паращук Роман Опубликовано 2 декабря, 2016 Поделиться Опубликовано 2 декабря, 2016 Мани нормальные. Ссылка на комментарий
dr.Dre Опубликовано 2 декабря, 2016 Автор Поделиться Опубликовано 2 декабря, 2016 Мани нормальные.спасибо Ссылка на комментарий
Рекомендуемые сообщения
Для публикации сообщений создайте учётную запись или авторизуйтесь
Вы должны быть пользователем, чтобы оставить комментарий
Создать аккаунт
Зарегистрируйте новый аккаунт в нашем сообществе. Это очень просто!
Регистрация нового пользователяВойти
Уже есть аккаунт? Войти в систему.
Войти