dok1 Опубликовано 9 декабря, 2016 Поделиться Опубликовано 9 декабря, 2016 Это коллеги нервную систему вам массируют 1 Ссылка на комментарий
dok1 Опубликовано 9 декабря, 2016 Поделиться Опубликовано 9 декабря, 2016 Но то же плюс 1 Ссылка на комментарий
Ponchik Опубликовано 9 декабря, 2016 Автор Поделиться Опубликовано 9 декабря, 2016 Я тоже +1, но метод Саммерса это же не совсем полноценный синуслифтинг(мне так хочется верить). Лоскут мобилизовать не надо, не сделаешь его перенатяжения. Не рвешь сосуд в стенке (как у данной пациентки). Не делаешь криво окно, не рвешь там мембрану. Я конечно могу поставить винт не в правильное положение(я могу), и тогда придется мучиться ортопеду(он это не любит и после одного такого раза уволит нафиг). А вот причин пойти на открытый не вижу. Кроме одной - забуду поменять программу и на 500 оборотов в минуту запульну винт в пазуху. Если же порву мембрану, просто верну лоскут на место или таки закручу. Баграт (и не только) на имплантолог.рф пишет что может все и вырастет(мембрана и чуть кость).Если бы я аугментировал, то надо очень хорошо представлять, что в пазухе твориться. Чувствовать ее на ощупь (а для этого много отслаивать при открытом, видеть ее изнутри много раз и просто по хабитусу пациента понимать ее форму). И то до конца не будешь уверен как там материал распределился.Что я пропустил? Какие подводные камни? Ссылка на комментарий
Nazim_NV86 Опубликовано 9 декабря, 2016 Поделиться Опубликовано 9 декабря, 2016 Нинзя-синус делайте Я часто так делаю. Откинув лоскут, делаете отверстие 3-4мм в диаметре и оттуда отслоите шнейдеровну над имплантом. Закрутились, проверили своими глазами, положили немного графта на окно и ушились. Надёжно. Ссылка на комментарий
Ponchik Опубликовано 9 декабря, 2016 Автор Поделиться Опубликовано 9 декабря, 2016 Нинзя-синус Это точно после десятков открытых.Я думаю сравнение с терапией будет уместным. Перед первым ниндзя-доступом в скоп, было десятиление сумоист (иногда камикадзе) доступа. Потом годы самурай-доступа. Ссылка на комментарий
Nazim_NV86 Опубликовано 9 декабря, 2016 Поделиться Опубликовано 9 декабря, 2016 (изменено) Самурай доступ форева для одиночек. Изменено 9 декабря, 2016 пользователем Nazim_NV86 1 Ссылка на комментарий
Тимур86 Опубликовано 9 декабря, 2016 Поделиться Опубликовано 9 декабря, 2016 Нинзя-синус делайте Я часто так делаю. Откинув лоскут, делаете отверстие 3-4мм в диаметре и оттуда отслоите шнейдеровну над имплантом. Закрутились, проверили своими глазами, положили немного графта на окно и ушились. Надёжно.не понял,и закрытый и открытый одновременно делаете? Ссылка на комментарий
gum Опубликовано 12 декабря, 2016 Поделиться Опубликовано 12 декабря, 2016 А как вы познаете пазуху без вмешательства в нее? И не уволит ли вас ваш ортопед, если имплантат выйдет вместе с коронкой (цена работы вырастет и "напряжение" пациента усилится) 1 Ссылка на комментарий
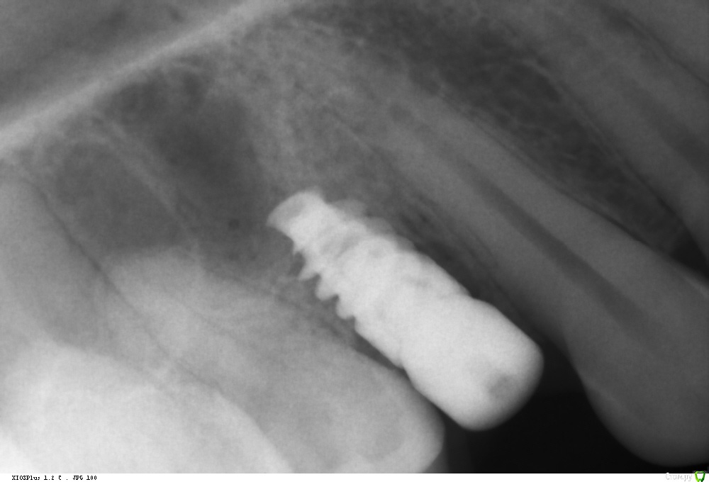
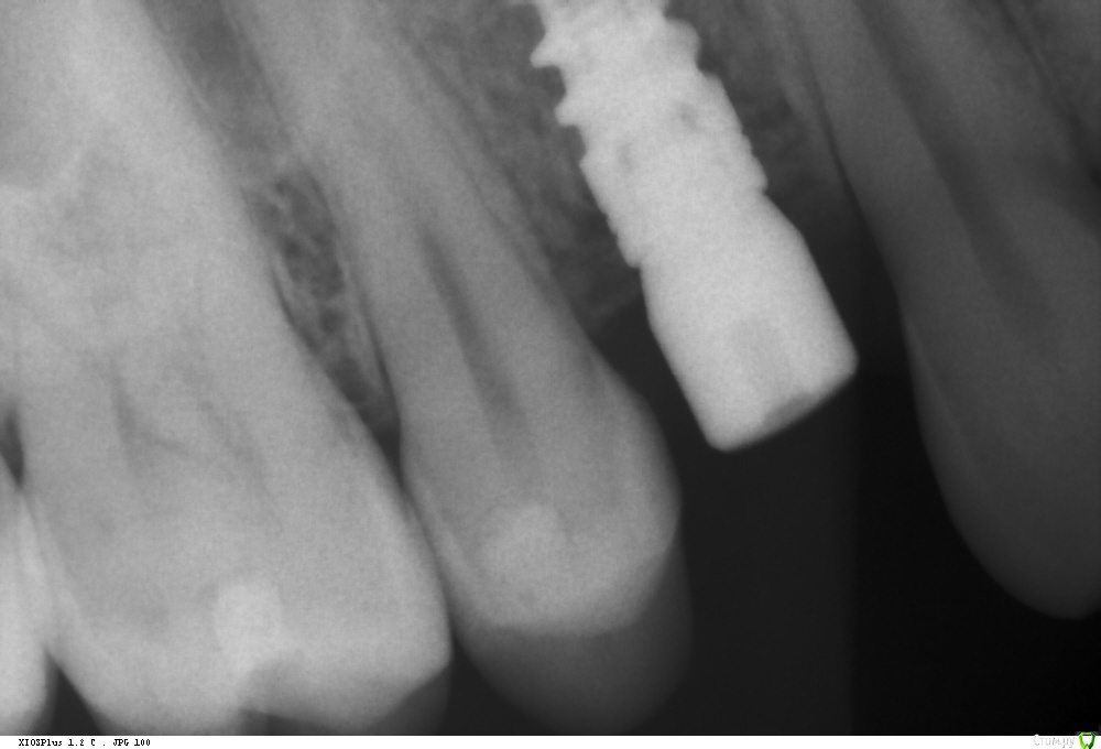
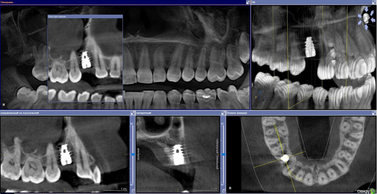
Ponchik Опубликовано 1 августа, 2017 Автор Поделиться Опубликовано 1 августа, 2017 Так и не состоялся тот случай, но сразу же пришла другая пациентка с подобной проблемой. (Проблема в докторе не делающем синус-лифтинга)Планирование Что получилось сразу Формирователь через 3 месяца Ставил AB SPI 4.2 - 8 Фрезой до 6мм, далее вогнутым остеотомом. Изменений в звуке не заметил. Достучал до ограничителя и все.Что в пазухе проблемы увидел, только потом на КТ после имплантации.Всё.Кидайте тапками.P.S.Это был первый имплант на верхней челюсти. Ссылка на комментарий
kamranchick Опубликовано 1 августа, 2017 Поделиться Опубликовано 1 августа, 2017 Так и не состоялся тот случай, но сразу же пришла другая пациентка с подобной проблемой. (Проблема в докторе не делающем синус-лифтинга)Планированиедо.jpg Что получилось сразупосле.jpg Формирователь через 3 месяца 3ме.jpg3мес.jpg Ставил AB SPI 4.2 - 8 Фрезой до 6мм, далее вогнутым остеотомом. Изменений в звуке не заметил. Достучал до ограничителя и все.Что в пазухе проблемы увидел, только потом на КТ после имплантации.Всё.Кидайте тапками.P.S.Это был первый имплант на верхней челюсти.если жалоб нет то все ок Ссылка на комментарий
Bobon Опубликовано 1 августа, 2017 Поделиться Опубликовано 1 августа, 2017 у меня полгода назад почти так же получилось, пациентка на предыдущей недели была все нормально Ссылка на комментарий
Ponchik Опубликовано 1 августа, 2017 Автор Поделиться Опубликовано 1 августа, 2017 Тоже полгода пока прошло. Жалоб нет. Пока. Ссылка на комментарий
kamranchick Опубликовано 1 августа, 2017 Поделиться Опубликовано 1 августа, 2017 Тоже полгода пока прошло. Жалоб нет. Пока.да все нормально будет. Ссылка на комментарий
Рекомендуемые сообщения
Для публикации сообщений создайте учётную запись или авторизуйтесь
Вы должны быть пользователем, чтобы оставить комментарий
Создать аккаунт
Зарегистрируйте новый аккаунт в нашем сообществе. Это очень просто!
Регистрация нового пользователяВойти
Уже есть аккаунт? Войти в систему.
Войти