Larnary Опубликовано 9 декабря, 2016 Поделиться Опубликовано 9 декабря, 2016 А тут все просто. Чем больше человек заморачивается,подозревает,сомневается,тем сложнее у него идет лечение.Врач чувствует недоверие к нему.Ваша подруга доверилась врачу и ходит довольная результатом. 1 Ссылка на комментарий
Весна2009 Опубликовано 9 декабря, 2016 Автор Поделиться Опубликовано 9 декабря, 2016 А тут все просто. Чем больше человек заморачивается,подозревает,сомневается,тем сложнее у него идет лечение.Врач чувствует недоверие к нему.Ваша подруга доверилась врачу и ходит довольная результатом.Спасибо за отзыв.Я думаю, что просто у подруги организм железный, а я дохлая. Я тоже всегда доверяю врачу, потому, что методом тыка не люблю. Хотя, были и такие походы, которые в перспективе плохо закончились. Пример 16 зуб. Изначально протезировалась в случайном месте и черти,что получила. Ссылка на комментарий
IvanK Опубликовано 11 декабря, 2016 Поделиться Опубликовано 11 декабря, 2016 Давайте по делу?) Ссылка на комментарий
Весна2009 Опубликовано 30 января, 2017 Автор Поделиться Опубликовано 30 января, 2017 И снова здравствуйте!Уважаемые доктора! Кто был в теме или присоединится вновь, пожалуйста, можно выдвинуть какую-то версию.16 зуб залечили каналы, поставили постоянную пломбу. 5 января это было. Но до сего дня зуб болит. Может это не сам зуб, а десна? Ночью не болит, по-крайней мере, не чувствую. Как только просыпаюсь, начинает по-баливать, сначала не сильно, дальше, сильнее. Боль терпимая, но очень надоело. Иногда сильно болит. Редко почти не болит. 15 удалили. Поставили имплант. Хирург посчитал, что можно, про боли в 16 ему было известно.Что и по какой причине может болеть в перелеченном зубе?Всем спасибо Ссылка на комментарий
Весна2009 Опубликовано 30 января, 2017 Автор Поделиться Опубликовано 30 января, 2017 Добавлю. Температура где-то неделю 37.2. сегодня уже 37.6. простуды, насморка и прочее нет. Ссылка на комментарий
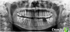
Весна2009 Опубликовано 30 января, 2017 Автор Поделиться Опубликовано 30 января, 2017 Снимок Ссылка на комментарий
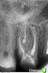
Весна2009 Опубликовано 30 января, 2017 Автор Поделиться Опубликовано 30 января, 2017 В день установки импланта Ссылка на комментарий
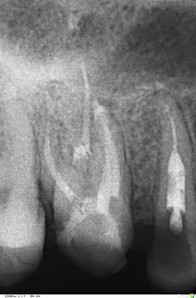
Весна2009 Опубликовано 30 января, 2017 Автор Поделиться Опубликовано 30 января, 2017 Размер пришлось уменьшить,н е загружалось, качество стало хуже Ссылка на комментарий
anvladd Опубликовано 31 января, 2017 Поделиться Опубликовано 31 января, 2017 (изменено) Как с носом, не гайморит ли ? 3 d бы глянуть, хотя бы этот сегмент. Изменено 31 января, 2017 пользователем anvladd Ссылка на комментарий
red_butler Опубликовано 31 января, 2017 Поделиться Опубликовано 31 января, 2017 В день установки импланта перезалейте через файлообменник Ссылка на комментарий
Весна2009 Опубликовано 31 января, 2017 Автор Поделиться Опубликовано 31 января, 2017 Вы тоже думаете, что имплант в гайморовой? Ссылка на комментарий
Весна2009 Опубликовано 31 января, 2017 Автор Поделиться Опубликовано 31 января, 2017 (изменено) http://s1.radikale.ru/uploads/2017/1/31/7d2d24c59e27de2de33677ab6475dad5-full.jpg http://s1.radikale.ru/uploads/2017/1/31/0cdd32751f158de955ad2a3d9ace2810-full.jpg http://s1.radikale.ru/uploads/2017/1/31/1f8cb5b134a47f7ffb376e14dd038406-full.jpg Изменено 31 января, 2017 пользователем Весна2009 Ссылка на комментарий
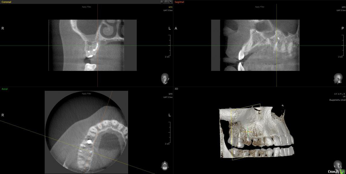
Весна2009 Опубликовано 31 января, 2017 Автор Поделиться Опубликовано 31 января, 2017 КТhttps://yadi.sk/d/ETucH2JNzeF9X Ссылка на комментарий
wladdX Опубликовано 2 февраля, 2017 Поделиться Опубликовано 2 февраля, 2017 Несколько скриншотов на скорую руку. Ссылка на комментарий
Весна2009 Опубликовано 2 февраля, 2017 Автор Поделиться Опубликовано 2 февраля, 2017 Несколько скриншотов на скорую руку.Огромное Вам спасибо! Может быть, есть желающие прокомментировать снимки? Заранее спасибо Ссылка на комментарий
Рекомендуемые сообщения
Для публикации сообщений создайте учётную запись или авторизуйтесь
Вы должны быть пользователем, чтобы оставить комментарий
Создать аккаунт
Зарегистрируйте новый аккаунт в нашем сообществе. Это очень просто!
Регистрация нового пользователяВойти
Уже есть аккаунт? Войти в систему.
Войти