Перейти к содержанию
Стоматология для всех

Весна2009

Рекомендуемые сообщения

Здравствуйте!

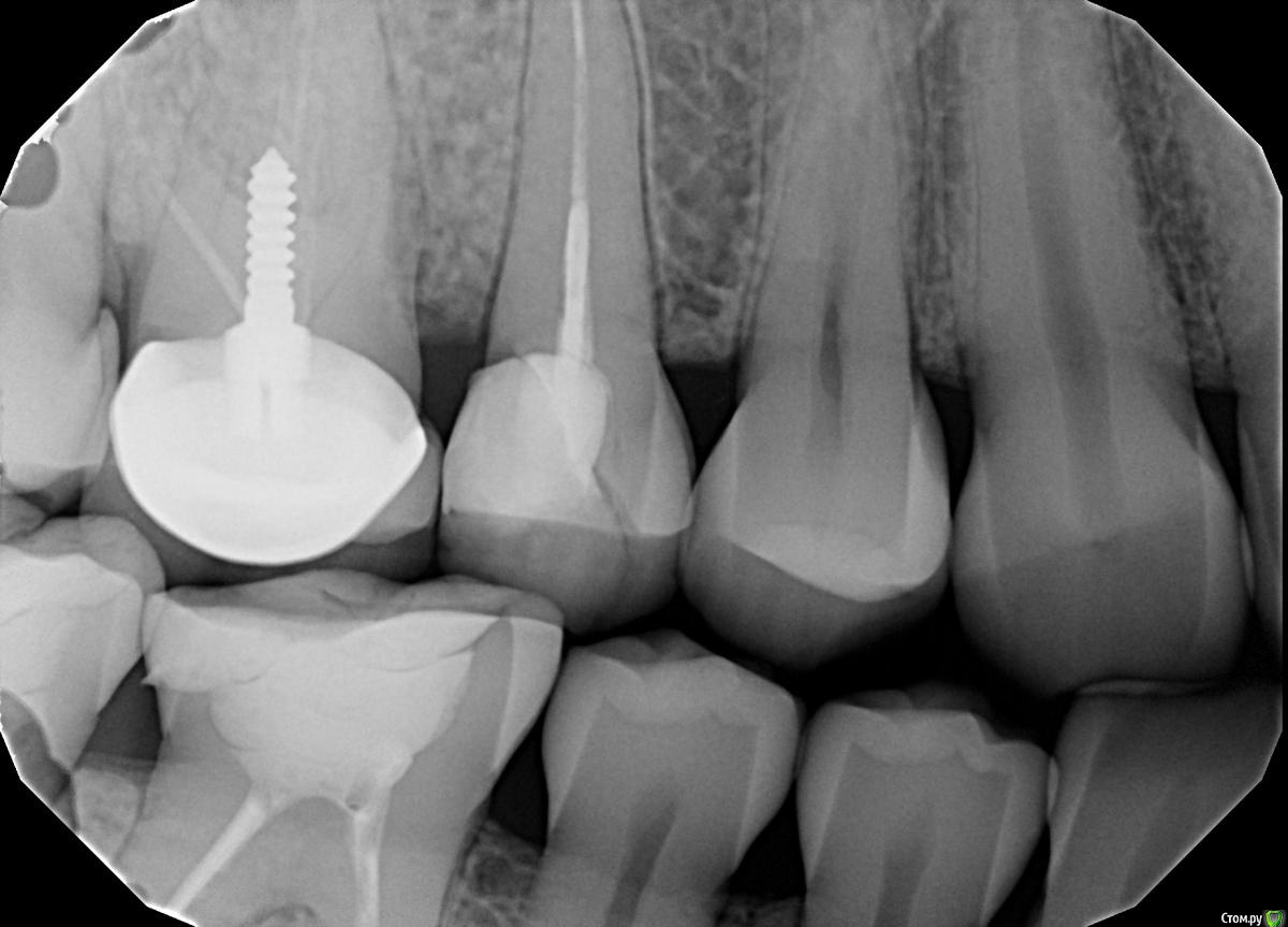
Сломался 15 верхний справа.

Сломанную часть удалили. 

Как мне сказали шансов спасти почти нет.

Я в большой печали... Очень хочу спасти его. 

Посоветуйте, что делать?

 

Всем спасибо.

post-6232-0-65126600-1478030675_thumb.jpg

post-6232-0-07351300-1478030696_thumb.jpg

post-6232-0-53251200-1478030957_thumb.jpg

Изменено пользователем Весна2009
Ссылка на комментарий

зуб думаю в принципе спасабельный только придется с десной повозиться и затем запротезировать, в 1.6 надо каналы перелечить

  • Поддерживаю 1
Ссылка на комментарий

зуб думаю в принципе спасабельный только придется с десной повозиться и затем запротезировать, в 1.6 надо каналы перелечить

Спасибо большое за ответ! Показывала снимок (по интернету) одному врачу, к которому планировала идти спасать зуб, он сказал, шансов спасти почти нет... Искать другого врача?

По поводу 1.6? Это рядом с ним который под коронкой? Надо перелечивать каналы? В обще, у меня это уже второй зуб, который сломался. Первый зуб сломался как раз соседняя шестерка. В 2010 году. Вот теперь пятый. Как жалею, что во время никто не убедил покрыть коронкой эту пятерку (ведь в зоне улыбки уже). 

Изменено пользователем Весна2009
Ссылка на комментарий

Если говорить о надежности,  зуб очень надежным не будет. Но если повозиться с десной и запротезировать, то сколько-то лет он может послужить. 

  • Поддерживаю 2
Ссылка на комментарий

Если говорить о надежности,  зуб очень надежным не будет. Но если повозиться с десной и запротезировать, то сколько-то лет он может послужить. 

Спасибо за ответ. Подскажите, что значит "повозиться с десной"? По времени сколько может занять это лечение? И конечно, где найти врача, который бы взялся за это?

Ссылка на комментарий

Спасибо за ответ. Подскажите, что значит "повозиться с десной"? По времени сколько может занять это лечение? И конечно, где найти врача, который бы взялся за это?

повозиться с десной значит придать такую форму десневого края что бы можно было восстановить зуб от границы скола в данном случае лишнее нужно будет убрать восстановить край и потом на верх керамическая накладка, найти врача в зависимости от того региона где вы проживаете, либо стучитесь в личку врачам на форуме либо воспользуйтесь темой для поиска врача с названием ищу врача в городе N

Ссылка на комментарий

повозиться с десной значит придать такую форму десневого края что бы можно было восстановить зуб от границы скола в данном случае лишнее нужно будет убрать восстановить край и потом на верх керамическая накладка, найти врача в зависимости от того региона где вы проживаете, либо стучитесь в личку врачам на форуме либо воспользуйтесь темой для поиска врача с названием ищу врача в городе N

Город Владимир, но там один врач уже сказал, что спасти видимо не удастся...

Еще одного ответа жду. Остальные, по-моему, еще хуже...

Остается - Город Москва. Район ЮВАО, ВАО, Центр.

Ссылка на комментарий

я б удалил,спасая такой зуб ухудшаете условия для имплантации.

А имплантация может быть в день удаления? Как ее называют, экспресс кажется?

Ссылка на комментарий

 

 

имплантация может быть в день удаления?

да

 

 

И что мне делать?

искать ортопеда и с ним решать возможно ли сохранить и какие нюансы  

Ссылка на комментарий

Удаление с одномоментной имплантацией. Остальное от лукавого.

Я в шоке, если честно!((

Можно ли делать перелет 4 часа + 10 часов (за океан) после такой имплантации? Если да, то через какое время?

И ведь у меня уже части зуба нет... (если делать одномоментную с удалением)*? Или все равно возможна одномоментная в моем случае?

Изменено пользователем Весна2009
Ссылка на комментарий

Если пройдёт всё идеально - не заметите вообще, что что-то было. Сохраняя этот зуб, вы сильно рискуете потерей кости даже рядом с соседними зубами.

Ссылка на комментарий

Если пройдёт всё идеально - не заметите вообще, что что-то было. Сохраняя этот зуб, вы сильно рискуете потерей кости даже рядом с соседними зубами.

Почему будет потеря кости у других зубов? 6-ка рядом уже под коронкой, 7-а на подходе нерв депульпировать... То есть, даже я вроди осознаю, что все плохо,да... Но лишнее объяснение не помешает.

Ссылка на комментарий

Хирургически снижая уровень десны вокруг причинного зуба для "правильной" постановки коронки запустится процесс снижения уровня десны вокруг рядом стоящих зубов. Потеря высоты десны - оголение корней - проблемы в ближайшем обозримом будущем.

Ссылка на комментарий

Не волнуйтесь, обратитесь к стоматологу, имплантироваться не обязательно, но это один из методов лучше пусть примет решение лечащий доктор, по поводу резобции кости, она возможна, но не обязательно, естественный зуб в приоритете, но нужно оценить возможные риски и прогноз зуба и возможность его восстановления.

  • Поддерживаю 1
Ссылка на комментарий

Внесу свои пять копеек. Зуб спасти можно, но без всяких резаний десны нёбно, уж лучше имплантация. Зуб спасается следующим образом - в два соседних устанавливается нитиноловая дуга, и производится экструзия премоляра. При ОДНОМ условии - отсутствие других трещин. Естественно, специалист должен быть профессионалом своего дела, чтобы выполнить такую работу. Если такого специалиста нет - то лучше имплантация.  

По зубу номер шесть - перелечивание и протезирование. Если Вас эта история может чему-то научить, так только тому, что надо предотвратить перелом других зубов, которые пролечены схожим образом. Всего хорошего, ищите доктора ! 

Ссылка на комментарий

Внесу свои пять копеек. Зуб спасти можно, но без всяких резаний десны нёбно, уж лучше имплантация. Зуб спасается следующим образом - в два соседних устанавливается нитиноловая дуга, и производится экструзия премоляра. При ОДНОМ условии - отсутствие других трещин. Естественно, специалист должен быть профессионалом своего дела, чтобы выполнить такую работу. Если такого специалиста нет - то лучше имплантация.  

 

По зубу номер шесть - перелечивание и протезирование. Если Вас эта история может чему-то научить, так только тому, что надо предотвратить перелом других зубов, которые пролечены схожим образом. Всего хорошего, ищите доктора ! 

Ваши пять копеек, на миллион тянут! Маэстро, но где, же мне найти такого врача???

 

По этому 15 и номер шесть меня жизнь научила только тому, что надо все свои пломбы коронками покрывать, а не ждать, когда зубы разваливаться начнут. 15 зуб - это уже второй мой переломанный зуб!!! Первый был, как раз,  соседняя шестерка! Коронку тогда на него одели, даже ничего не перелечивали, там целая история была тоже. Не могла накусывать месяц этой коронкой, боль сильная. В одном месте сказали перфорация, надо удалять. Вот я в шоке была! С горем попалам, чего-то мне там подпиливали несколько врачей, вот пока  6 лет она у меня стоит. Жевала, пока 15 не сломался...(( А в обще, жую последние 22 года только правой стороной. Слева внизу нет зуба. 

Изменено пользователем Весна2009
Ссылка на комментарий

Ваши пять копеек, на миллион тянут! Маэстро, но где, же мне найти такого врача???

 

По этому 15 и номер шесть меня жизнь научила только тому, что надо все свои пломбы коронками покрывать, а не ждать, когда зубы разваливаться начнут. 15 зуб - это уже второй мой переломанный зуб!!! Первый был, как раз,  соседняя шестерка! Коронку тогда на него одели, даже ничего не перелечивали, там целая история была тоже. Не могла накусывать месяц этой коронкой, боль сильная. В одном месте сказали перфорация, надо удалять. Вот я в шоке была! С горем попалам, чего-то мне там подпиливали несколько врачей, вот пока  6 лет она у меня стоит. Жевала, пока 15 не сломался...(( А в обще, жую последние 22 года только правой стороной. Слева внизу нет зуба. 

 

 

Печально, это я часто слышу от своих пациентов. Но все поправимо) Немного терпения, много денег - и проблемы решены :) Если серьезно- все действительно не так плохо, не опускайте руки. Просто очень тщательно выберите Врача по рекомендации, походите на консультации. 

Ссылка на комментарий

Для публикации сообщений создайте учётную запись или авторизуйтесь

Вы должны быть пользователем, чтобы оставить комментарий

Создать аккаунт

Зарегистрируйте новый аккаунт в нашем сообществе. Это очень просто!

Регистрация нового пользователя

Войти

Уже есть аккаунт? Войти в систему.

Войти
×
×
  • Создать...
Вверх