dr.Dre Опубликовано 27 апреля, 2016 Поделиться Опубликовано 27 апреля, 2016 Добрый день коллеги,26 зуб коффердам,много хлорки,на неделю Пульпосептин,гуттаперча + акросил.Между 26,27 ясенный карман.Какой прогноз данного зуба,и что делать с 27,1 степень подвижности. Ссылка на комментарий
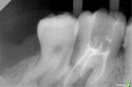
Ирина Игоревна Опубликовано 27 апреля, 2016 Поделиться Опубликовано 27 апреля, 2016 Мне кажется, или на втором снимке похоже на перелом апикальной части корня? Ссылка на комментарий
Fred Опубликовано 27 апреля, 2016 Поделиться Опубликовано 27 апреля, 2016 А МБ2? Ссылка на комментарий
dr.Dre Опубликовано 27 апреля, 2016 Автор Поделиться Опубликовано 27 апреля, 2016 А МБ2?не нашёл Ссылка на комментарий
dr.Dre Опубликовано 27 апреля, 2016 Автор Поделиться Опубликовано 27 апреля, 2016 Мне кажется, или на втором снимке похоже на перелом апикальной части корня?Сам только что увидел Ссылка на комментарий
Л Ю С Я Опубликовано 27 апреля, 2016 Поделиться Опубликовано 27 апреля, 2016 Проверьте 7 на витальность Ссылка на комментарий
St. Опубликовано 27 апреля, 2016 Поделиться Опубликовано 27 апреля, 2016 Ирина Игоревна сказал(а) 27 Апр 2016 - 16:18: Мне кажется, или на втором снимке похоже на перелом апикальной части корня? Сам только что увидел Не обязательно. Это может накладываться уровень кости межпроксимально. 2 Ссылка на комментарий
dantist_movani Опубликовано 27 апреля, 2016 Поделиться Опубликовано 27 апреля, 2016 Перелом 2.6. Попробуй Кт на всякий случай. Ссылка на комментарий
Fred Опубликовано 27 апреля, 2016 Поделиться Опубликовано 27 апреля, 2016 не нашёл Тогда прогноз очень плохой. Хуже, чем если бы вообще не трогали зуб Ссылка на комментарий
Ker Опубликовано 28 апреля, 2016 Поделиться Опубликовано 28 апреля, 2016 Карман откуда взялся? Какой изначальный диагноз? Ссылка на комментарий
___49___ Опубликовано 28 апреля, 2016 Поделиться Опубликовано 28 апреля, 2016 (изменено) По снимкам вижу деструктивные изменения кости начиная от дистальной стенки 6ого проходящие между неб. и дист.щеч. корнем (что похоже на перелом, но его нет скорее всего) в область трифуркации и далее до апексов.. ... как не печально, прогноз - неблагоприятный. это все касаемо 6ки. Изменено 28 апреля, 2016 пользователем ___49___ 1 Ссылка на комментарий
dr.Dre Опубликовано 28 апреля, 2016 Автор Поделиться Опубликовано 28 апреля, 2016 (изменено) Карман откуда взялся? Какой изначальный диагноз?Асимптоматичный апикальный периодонтит.Карман я думаю взялся,из за убыли кости Изменено 28 апреля, 2016 пользователем dr.Dre Ссылка на комментарий
St. Опубликовано 29 апреля, 2016 Поделиться Опубликовано 29 апреля, 2016 Карман я думаю взялся,из за убыли кости Убыль кости -это не причина, а следствие процесса. Нужно искать причину. Ссылка на комментарий
dantist_movani Опубликовано 5 мая, 2016 Поделиться Опубликовано 5 мая, 2016 Зубочистка. Сначала уйдет 6, следом и 7 Ссылка на комментарий
inSight Опубликовано 7 мая, 2016 Поделиться Опубликовано 7 мая, 2016 При определении длины аплок не орал об апексе? При сушке , кровило? При мех обработке "заклиниваний" (как будет то в ступеньку уперлись) не было ? если же нет : допустим и перелом, тогда при латералке с 0,2 чудом второй штифт пошел к апексу ( мягкая капризная гуттаперча). Что то тут не то. А даже и перелом. То похвально что запломбировал. Продлил жизнь зубу на год =) Ссылка на комментарий
inSight Опубликовано 7 мая, 2016 Поделиться Опубликовано 7 мая, 2016 Забыл добавить, вышел бы силлер в латераль перелома . но где же латераль "пафа"силлера? Ссылка на комментарий
Beznika Опубликовано 10 мая, 2016 Поделиться Опубликовано 10 мая, 2016 хирургия. корень отломанный вытащить. да и всё думаю )) ну и канал там 4ый есть всяко Ссылка на комментарий
Audutor Опубликовано 10 мая, 2016 Поделиться Опубликовано 10 мая, 2016 Типичная ситуация, открыть тему с кучей знаков ???? Отписаться и исчезнуть..) Ссылка на комментарий
Рекомендуемые сообщения
Для публикации сообщений создайте учётную запись или авторизуйтесь
Вы должны быть пользователем, чтобы оставить комментарий
Создать аккаунт
Зарегистрируйте новый аккаунт в нашем сообществе. Это очень просто!
Регистрация нового пользователяВойти
Уже есть аккаунт? Войти в систему.
Войти