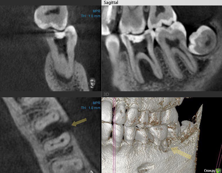
Сева северный Опубликовано 21 апреля, 2016 Поделиться Опубликовано 21 апреля, 2016 (изменено) .Хотелось бы выслушать мнение по зубу 4.6Пациент пришел по рекомендации, коллеги, из сторонней клиники. . Как бы вы поступили в данной ситуации? ( Скриншоты КТ, прилагаются) Изменено 21 апреля, 2016 пользователем Сева северный Ссылка на комментарий
Гарриевич Опубликовано 21 апреля, 2016 Поделиться Опубликовано 21 апреля, 2016 Паростатус?Симптомы? Ссылка на комментарий
Сева северный Опубликовано 21 апреля, 2016 Автор Поделиться Опубликовано 21 апреля, 2016 (изменено) Мужчина. Возраст: около 50,Жалобы. на болевые ощущения ..отсутствуют. Зуб ранее лечен, имеется старая пломба с нарушенным прилеганием, по границам- кариес. Пальпация, перкуссия безболезненна, в области бифуркации при надавливании, появляется жидкость, желтоватого цвета. При зондировании зонд погружается в межкорневое пространство примерно на 15 мм. Изменено 21 апреля, 2016 пользователем Сева северный Ссылка на комментарий
DmitrySH Опубликовано 21 апреля, 2016 Поделиться Опубликовано 21 апреля, 2016 http://forum.stom.ru/topic/21394-alaverdy/?p=432196сообщение 80 Есть рекол через 3 года, завтра выложу ( если не забуду взять снимок) 1 Ссылка на комментарий
Сева северный Опубликовано 21 апреля, 2016 Автор Поделиться Опубликовано 21 апреля, 2016 http://forum.stom.ru/topic/21394-alaverdy/?p=432196сообщение 80 Есть рекол через 3 года, завтра выложу ( если не забуду взять снимок)ОК ...будет интересно. посмотреть. Ссылка на комментарий
dr.davletbaev Опубликовано 21 апреля, 2016 Поделиться Опубликовано 21 апреля, 2016 Удалять Ссылка на комментарий
IvanK Опубликовано 22 апреля, 2016 Поделиться Опубликовано 22 апреля, 2016 если пациент готов "пошаманить" , почему бы и нет 2 Ссылка на комментарий
Гарриевич Опубликовано 22 апреля, 2016 Поделиться Опубликовано 22 апреля, 2016 Карман какой протяженности в ширину?Уже где то выкладывал на форуме, есть результат через 4 месяца, но подождём ещё Ссылка на комментарий
Сева северный Опубликовано 22 апреля, 2016 Автор Поделиться Опубликовано 22 апреля, 2016 если пациент готов "пошаманить" , почему бы и нет Пошаманить можно.........если человек хороший Ссылка на комментарий
Сева северный Опубликовано 22 апреля, 2016 Автор Поделиться Опубликовано 22 апреля, 2016 Карман какой протяженности в ширину? Ссылка на комментарий
Гарриевич Опубликовано 22 апреля, 2016 Поделиться Опубликовано 22 апреля, 2016 последний вопросзуб витален? Ссылка на комментарий
IvanK Опубликовано 22 апреля, 2016 Поделиться Опубликовано 22 апреля, 2016 Пошаманить можно.........если человек хороший а он хороший?) Вы уже ответили на Ваш вопрос)) Ссылка на комментарий
Сева северный Опубликовано 22 апреля, 2016 Автор Поделиться Опубликовано 22 апреля, 2016 последний вопросзуб витален?Нет. Ссылка на комментарий
Гарриевич Опубликовано 22 апреля, 2016 Поделиться Опубликовано 22 апреля, 2016 на трещину не похоже, я бы лечил как банальные периодонтит Ссылка на комментарий
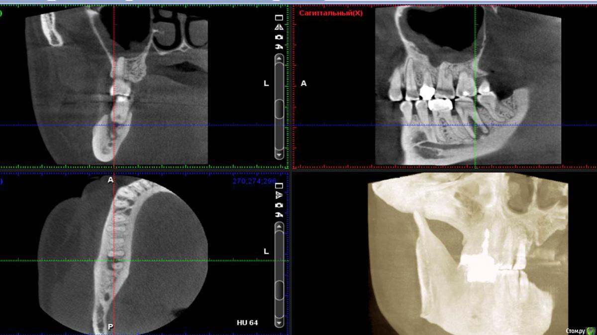
DmitrySH Опубликовано 22 апреля, 2016 Поделиться Опубликовано 22 апреля, 2016 http://forum.stom.ru/topic/21394-alaverdy/?p=548553как обещал, выложил снимок. Чуть-чуть обманул.. не 3 года, а 2.5 1 Ссылка на комментарий
ger_berra Опубликовано 23 апреля, 2016 Поделиться Опубликовано 23 апреля, 2016 Мужчина. Возраст: около 50,Жалобы. на болевые ощущения ..отсутствуют. Зуб ранее лечен, имеется старая пломба с нарушенным прилеганием, по границам- кариес. Пальпация, перкуссия безболезненна, в области бифуркации при надавливании, появляется жидкость, желтоватого цвета. При зондировании зонд погружается в межкорневое пространство примерно на 15 мм. 46? Может опечатка? не 47 ли? Ссылка на комментарий
DmitrySH Опубликовано 23 апреля, 2016 Поделиться Опубликовано 23 апреля, 2016 Да с 46 там вроде и обсуждать толком нечего Ссылка на комментарий
Сева северный Опубликовано 26 апреля, 2016 Автор Поделиться Опубликовано 26 апреля, 2016 Пошаманили .... через 3.5 месяца. Ссылка на комментарий
Сева северный Опубликовано 26 апреля, 2016 Автор Поделиться Опубликовано 26 апреля, 2016 Пошаманили .... через 3.5 месяца. Ссылка на комментарий
Гарриевич Опубликовано 27 апреля, 2016 Поделиться Опубликовано 27 апреля, 2016 Это надо в Вк запостить, для удаляторов) Ссылка на комментарий
Л Ю С Я Опубликовано 27 апреля, 2016 Поделиться Опубликовано 27 апреля, 2016 Пошаманили .... через 3.5 месяца.Зачем в 6 полезли? Ссылка на комментарий
Сева северный Опубликовано 27 апреля, 2016 Автор Поделиться Опубликовано 27 апреля, 2016 (изменено) Это надо в Вк запостить, для удаляторов)Да там такого много. Вопрос удаления. конечно рассматривался... Но для имплантации, потеря зоны костной перегородки в зоне бифуркации, достаточно критична. Поэтому.. приняли решение эндосанации . (повыращивать кость), а в случае успеха обойтись без нее. Как показывает практика, большие очаги, особенно если не ступала ((((нога стоматолога , с гипохлоридом, быстро... схлопываются. Изменено 27 апреля, 2016 пользователем Сева северный 2 Ссылка на комментарий
Сева северный Опубликовано 27 апреля, 2016 Автор Поделиться Опубликовано 27 апреля, 2016 Зачем в 6 полезли?Пульпит. Ссылка на комментарий
DmitrySH Опубликовано 27 апреля, 2016 Поделиться Опубликовано 27 апреля, 2016 Точно, при "девственных каналах" периодонтиты лечатся отлично. 2 Ссылка на комментарий
Саидчон Опубликовано 3 мая, 2016 Поделиться Опубликовано 3 мая, 2016 (изменено) Лучше начать с 47го. У меня был похожий пациент. Подвижный зуб был. Дал отток на 2 дня ( солевым р.ром). Закрыл жидкостю крезодент на неделю, но пациент пропал и пришел через месяц, все норм вроде болей нету, закрыл на 5 дн кальцием. Сделал снова рентген все норм, ни темных пятен ни запаха и подвижности нет. Запломбировал. Пациент довольный. Изменено 3 мая, 2016 пользователем Саидчон Ссылка на комментарий
Рекомендуемые сообщения
Для публикации сообщений создайте учётную запись или авторизуйтесь
Вы должны быть пользователем, чтобы оставить комментарий
Создать аккаунт
Зарегистрируйте новый аккаунт в нашем сообществе. Это очень просто!
Регистрация нового пользователяВойти
Уже есть аккаунт? Войти в систему.
Войти