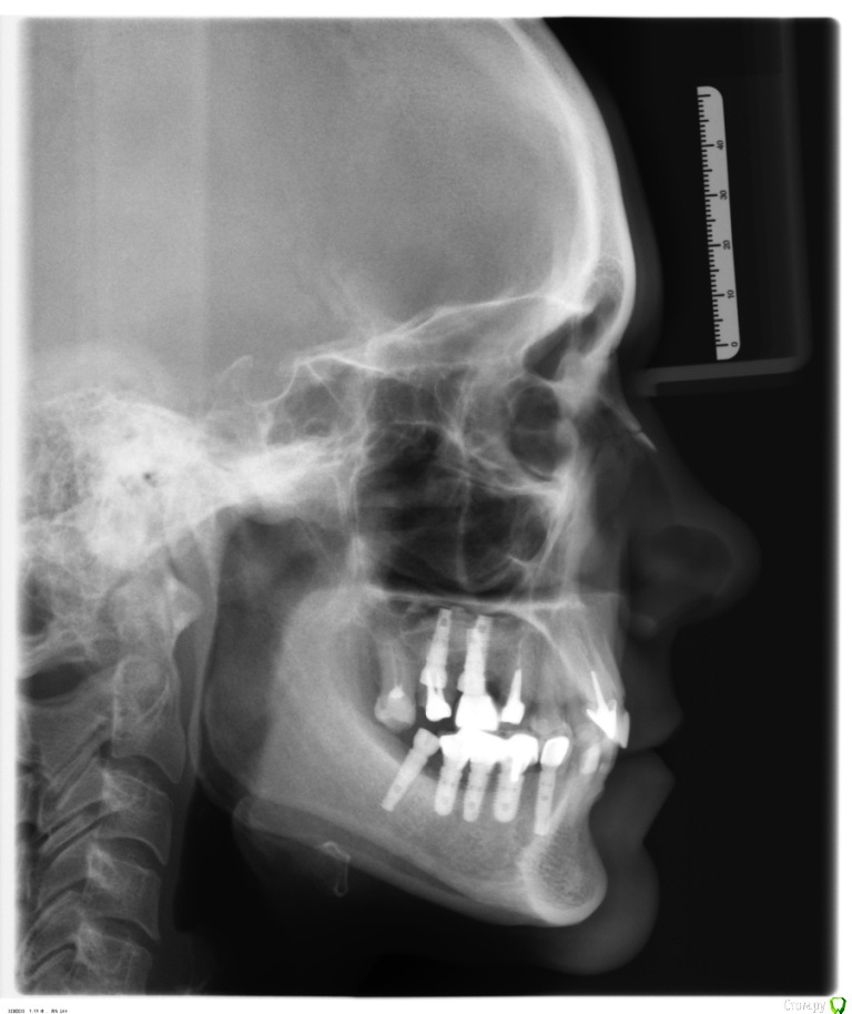
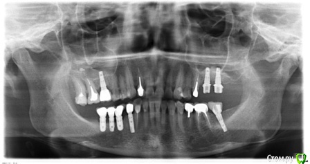
Cheremukha Опубликовано 15 апреля, 2016 Поделиться Опубликовано 15 апреля, 2016 Здравствуйте уважаемые доктора! Буду очень признательна за консультацию и обозначение тактики лечения. Субъективные жалобы: периодически возникающий глухой стук слева при жевании, хруст справа при открывании рта. Жжение языка. Боль в области уха справа. Головные боли в затылке (ежедневные) и сдавливание в области основания черепа. Боли и хруст появились после удаления зубов и имплантации (5 имплантов) 2 года назад. Потом последовало не совсем удачное протезирование, которое как раз привело к появлению щелчков и жжению языка. Я сменила ортопеда. Новый доктор убрал 10 коронок на коренных зубах и поставил временные коронки с завышением прикуса. На них у меня возникли сильные боли в челюстях, ухе, голове, я не могла их выдержать и попросила их снять, что доктор и сделал. Уже месяц я хожу без коронок. Сейчас у меня отсутствуют: слева вверху и внизу концевые зубы начиная с 5-го и справа внизу концевые зубы начиная с 4-го. Стоят абатменты и вкладки, а коронок на них нет. МРТ (3-х месячной давности): Частичная вентральная дислокация диска правого ВНЧ сустава с полной репозицией. Артроз левого ВНЧ сустава 0-1ст. Малая частичная вентральная дислокация диска с полной репозицией при открывании рта и формированием частичной медиальной дислокации диска. МР-признаки функциональной перегрузки правой латеральной крыловидной мышцы. Делала боковую ТРГ, заключение не дали, снимок прилагаю. Так же прилагаю орто-снимок. Ортопед, у которого я была на консультации предлагает поставить временные коронки, которые он будет подтачивать под мое удобное положение челюсти, а потом запротезируют постоянными коронками. Скажите пожалуйста, достаточно ли в моем случае протезирования без ношения капы? Какая тактика лечения наиболее приемлема в моем случае? З.Ы. Еще сложность в том, что у меня стоят импланты Астра и Лико. Оказалось, что очень непросто найти в Москве ортопеда, работающего на обоих системах. Ссылка на комментарий
red_butler Опубликовано 15 апреля, 2016 Поделиться Опубликовано 15 апреля, 2016 http://forum.stom.ru/topic/31409-programma-samopomoschi-pri-disfunktcii-vnchs/ Ссылка на комментарий
Cheremukha Опубликовано 18 апреля, 2016 Автор Поделиться Опубликовано 18 апреля, 2016 http://forum.stom.ru/topic/31409-programma-samopomoschi-pri-disfunktcii-vnchs/Спасибо. Это все я прочитала и стараюсь выполнять. Мой вопрос касается тактики лечения и поиска ортопеда в Москве, знакомого с ВНЧС. Ссылка на комментарий
Рекомендуемые сообщения
Для публикации сообщений создайте учётную запись или авторизуйтесь
Вы должны быть пользователем, чтобы оставить комментарий
Создать аккаунт
Зарегистрируйте новый аккаунт в нашем сообществе. Это очень просто!
Регистрация нового пользователяВойти
Уже есть аккаунт? Войти в систему.
Войти