anvladd Опубликовано 22 марта, 2016 Поделиться Опубликовано 22 марта, 2016 Да оно понятно Ссылка на комментарий
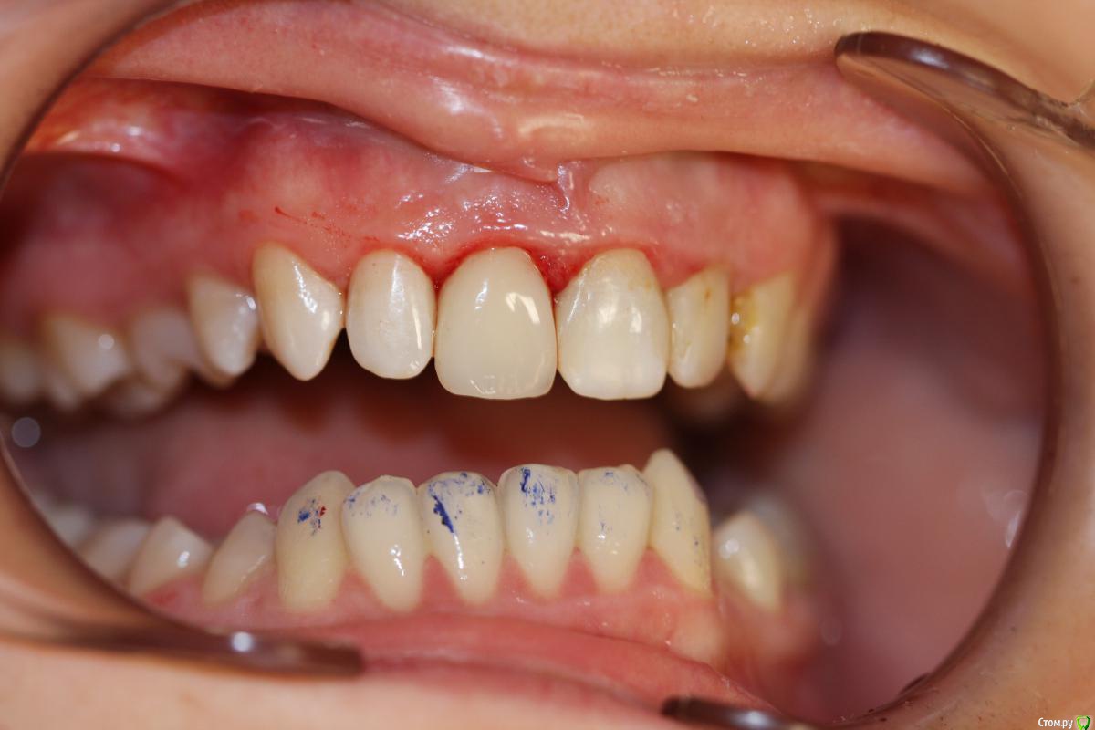
skeettrap Опубликовано 23 марта, 2016 Автор Поделиться Опубликовано 23 марта, 2016 Зуб ушёл ниже десны. Это сто проц. удаление, имплант и коронка. По мне так пациент переплатил. К импланту всё равно придёт. Спор.. из серии: Доедет, ли колесо до Санкт Петербурга??? По показаниям .. здесь ортопедия.Из мнений хирурга-имплантолога и ортопеда разделю мнение Юрия (земляки все-же), и уважения к нему больше (исходя из выставленных работ), а останусь со своим. Ссылка на комментарий
skeettrap Опубликовано 23 марта, 2016 Автор Поделиться Опубликовано 23 марта, 2016 (изменено) Да .Можно и лучше - согласен (покажите фото). Вывалится - посмотрим. Показания - кто показал? Показания вещь относительная и постоянно меняющаяся.Фотографии хреновые - учусь.Богатых отправлю к Александру Бабурову за суперэстетикой(спасибо за курс в Воронеже).Это вариант - не более того.Вызову пациентку, сделаю соседние(пломбами) - фото выложу. Изменено 23 марта, 2016 пользователем skeettrap Ссылка на комментарий
dok1 Опубликовано 23 марта, 2016 Поделиться Опубликовано 23 марта, 2016 Полегче-полегче. Проигравшего не съедают☺ Ссылка на комментарий
skeettrap Опубликовано 23 марта, 2016 Автор Поделиться Опубликовано 23 марта, 2016 (изменено) Проигравший здесь Вы и Ваше мнение мне не интересно. Изменено 23 марта, 2016 пользователем skeettrap 2 Ссылка на комментарий
dok1 Опубликовано 23 марта, 2016 Поделиться Опубликовано 23 марта, 2016 Вот те раз. Тада прячусь Ссылка на комментарий
skeettrap Опубликовано 23 марта, 2016 Автор Поделиться Опубликовано 23 марта, 2016 Да уж будьте добры. Я так понимаю сюда люди заходят , в основном , научиться новому и поделиться своим (возможно, не совсем впечатляющим ) опытом. Вам походу поделиться нечем, а сообщений под 1000, даже больше. Ссылка на комментарий
dok1 Опубликовано 23 марта, 2016 Поделиться Опубликовано 23 марта, 2016 Да нет. Коллега, вы не правы. Не было цели ни спорить,ни, тем более, навязывать. В ваших словах прослеживается юность, горячность. Я просто прошёл в профессиональном развитии эту ступень. Не хотел испортить вам настроение. Ссылка на комментарий
skeettrap Опубликовано 23 марта, 2016 Автор Поделиться Опубликовано 23 марта, 2016 (изменено) Спасибо за юность. Моему сыну 22. Изменено 23 марта, 2016 пользователем skeettrap Ссылка на комментарий
dok1 Опубликовано 23 марта, 2016 Поделиться Опубликовано 23 марта, 2016 Значит темперамент высоковат. Ссылка на комментарий
Doc Опубликовано 23 марта, 2016 Поделиться Опубликовано 23 марта, 2016 Проигравший здесь Вы и Ваше мнение мне не интересно. Зря Вы начинаете грубить на ровном месте. Это интернет и пора привыкнуть к тому, что отзывы будут не на 100 процентов положительные, тем более в таком, достаточно компромиссном случае. Радлинский бросился бы Вас обнимать и целовать за эту работу, а любой ортопед выразил бы сомнения в долгосрочной перспективе (что и происходит). И это нормально. А если грубить коллегам за высказанное мнение, то не стоит даже начинать вывешивать работы, кроме стресса ничего не получите. 2 Ссылка на комментарий
skeettrap Опубликовано 23 марта, 2016 Автор Поделиться Опубликовано 23 марта, 2016 (изменено) Сори. Больше не буду. Кстати, я и ортопед с 12-летним стажем Изменено 23 марта, 2016 пользователем skeettrap Ссылка на комментарий
dok1 Опубликовано 23 марта, 2016 Поделиться Опубликовано 23 марта, 2016 Doc. Это обмен мнениями. Не переживайте. Не собираюсь агрессивно парировать. Так-то и сам раньше промышлял подобными работами. Просто затянула ортопедия, а, в последствии, и хирургия. С опытом приходит способность убеждать людей уходить от спорных в долгосрочной перспективе работ. Только это и было мотивом участия в дискуссии. SKEETTRAP. Для вас. Сообщений моих много. А работ своих я не выкладываю по причине отсутствия тщеславия. Всё всем доказал давно. И реставрацию сделаю. И синуслифтинг, и имплантацию, и с ССТ справлюсь. Не обижайтесь. Умейте слышать и адекватно переносить критику. Тем более, что не было сказано о качестве работы, а выражены сомнения о долговечности. Но не более того. 1 Ссылка на комментарий
skeettrap Опубликовано 23 марта, 2016 Автор Поделиться Опубликовано 23 марта, 2016 Зуб ушёл ниже десны. Это сто проц. удаление, имплант и коронка. По мне так пациент переплатил. К импланту всё равно придёт.Хороши сомнения.Я говорю о том, что я это иногда делаю и это работает. Если у Вас опыт такой, что в течениеН-го времени Вы СВОИ(!) работы подобного рода заменили на имплантаты в 100% случаев, то Вы действительно отличный имплантолог, но здесь раздел ТЕРАПИЯ. Ссылка на комментарий
dok1 Опубликовано 23 марта, 2016 Поделиться Опубликовано 23 марта, 2016 Нет. Я такого не говорил. Ходят наверное где-то. А раздел терапия - это же не отдельное королевство. Заходите в ортопедию и хирургию. Там интересно. И, кстати, подобные случаи обсуждаются. И осложнения на их фоне. Там снимки с пониженным уровнем кости кто-то выкладывал. И именно из-за глубоко погруженных конструкций. Есть кейсы с хирургическим удлиннением коронковой части. Ортодонтические экструзии. Да много чего. Забегайте Ссылка на комментарий
Мартовский Опубликовано 24 марта, 2016 Поделиться Опубликовано 24 марта, 2016 Зря Вы начинаете грубить на ровном месте. Это интернет и пора привыкнуть к тому, что отзывы будут не на 100 процентов положительные, тем более в таком, достаточно компромиссном случае. Радлинский бросился бы Вас обнимать и целовать за эту работу, а любой ортопед выразил бы сомнения в долгосрочной перспективе (что и происходит). И это нормально. А если грубить коллегам за высказанное мнение, то не стоит даже начинать вывешивать работы, кроме стресса ничего не получите. Не надо наговаривать на Сергея Владимировича Он бы такое штифтование уж точно не одобрил... Ссылка на комментарий
Карен Аванесов Опубликовано 24 марта, 2016 Поделиться Опубликовано 24 марта, 2016 Без штифта вообще сделал бы, только на композите? Ссылка на комментарий
dok1 Опубликовано 24 марта, 2016 Поделиться Опубликовано 24 марта, 2016 Жжёте, коллеги.☺ Ссылка на комментарий
Doc Опубликовано 24 марта, 2016 Поделиться Опубликовано 24 марта, 2016 Не надо наговаривать на Сергея Владимировича Он бы такое штифтование уж точно не одобрил...Мы с Сергеем Владимировичем при полном несовпадении некоторых взглядов все равно дружим уже лет десять и друг на друга никогда какашками не кидались. Так что я со всем к нему уважением. )) Ссылка на комментарий
annda Опубликовано 24 марта, 2016 Поделиться Опубликовано 24 марта, 2016 Было время- делал такие бюджетные конструкции...доктор-денег особо нет, сделайте что-нибудь, а потом ломается и доктор бесплатно переделывай( если еще удачно сломается)..... и предупреждали ведь и придется все -равно шкк и коронку делать!А деньги отдать не дешевле,и пусть дальше идёт? Ссылка на комментарий
skeettrap Опубликовано 24 марта, 2016 Автор Поделиться Опубликовано 24 марта, 2016 (изменено) Без штифта вообще сделал бы, только на композите?+100. И делал коллеге- доктору из Москвы.Кроме шуток. В свое время учились по его публикациям в журнале "Квинтзссенция"(вторая половина 90-ых).Крутой. Что говорить - поднял отрасль. Изменено 24 марта, 2016 пользователем skeettrap Ссылка на комментарий
Л Ю С Я Опубликовано 24 марта, 2016 Поделиться Опубликовано 24 марта, 2016 Тоже видела работы без штифта в дент- арте 90 годов. Только начала тогда работать . Побаивалась как- то, все равно анкер клеила. Зато коллега, ярый фанат Сергея Владимировича, делал и такие конструкции, и полную резекцию дентина депульпированный зубов, и мостов мерелиндских понаделал всяких. По поводу темы: бюджетная временная конструкция. Бывают ситуации всякие. Хотя видно, что доктор старался и неплохо владеет техникой прямой реставрации. Если мне попадаются мои пациенты с такими работами 5-10 летней давности выжившие, особенно если у пациента проблемы с гигиеной,хочется спрятать глаза, не нравиться категорически,чувствуешь себя идиоткой. 1 Ссылка на комментарий
skeettrap Опубликовано 24 марта, 2016 Автор Поделиться Опубликовано 24 марта, 2016 Да уж. Если у пациента плохая гигиена, то врач почти всегда, почему-то, СЕБЯ идиотом чувствует. 2 Ссылка на комментарий
dok1 Опубликовано 25 марта, 2016 Поделиться Опубликовано 25 марта, 2016 Это как посмотреть. Консультация и ведение дневника наше всё. Считаю неверным испытывать дискомфорт при недостаточной гигиене пациента. Лучше сразу это обозначить и плясать исходя из этих условий. Ссылка на комментарий
Kolchanov Опубликовано 25 марта, 2016 Поделиться Опубликовано 25 марта, 2016 У меня есть фильм Радлинского по фронту. Рекомендует ставить штифт. Сам в фильме ленту клеит. Ссылка на комментарий
Рекомендуемые сообщения
Для публикации сообщений создайте учётную запись или авторизуйтесь
Вы должны быть пользователем, чтобы оставить комментарий
Создать аккаунт
Зарегистрируйте новый аккаунт в нашем сообществе. Это очень просто!
Регистрация нового пользователяВойти
Уже есть аккаунт? Войти в систему.
Войти