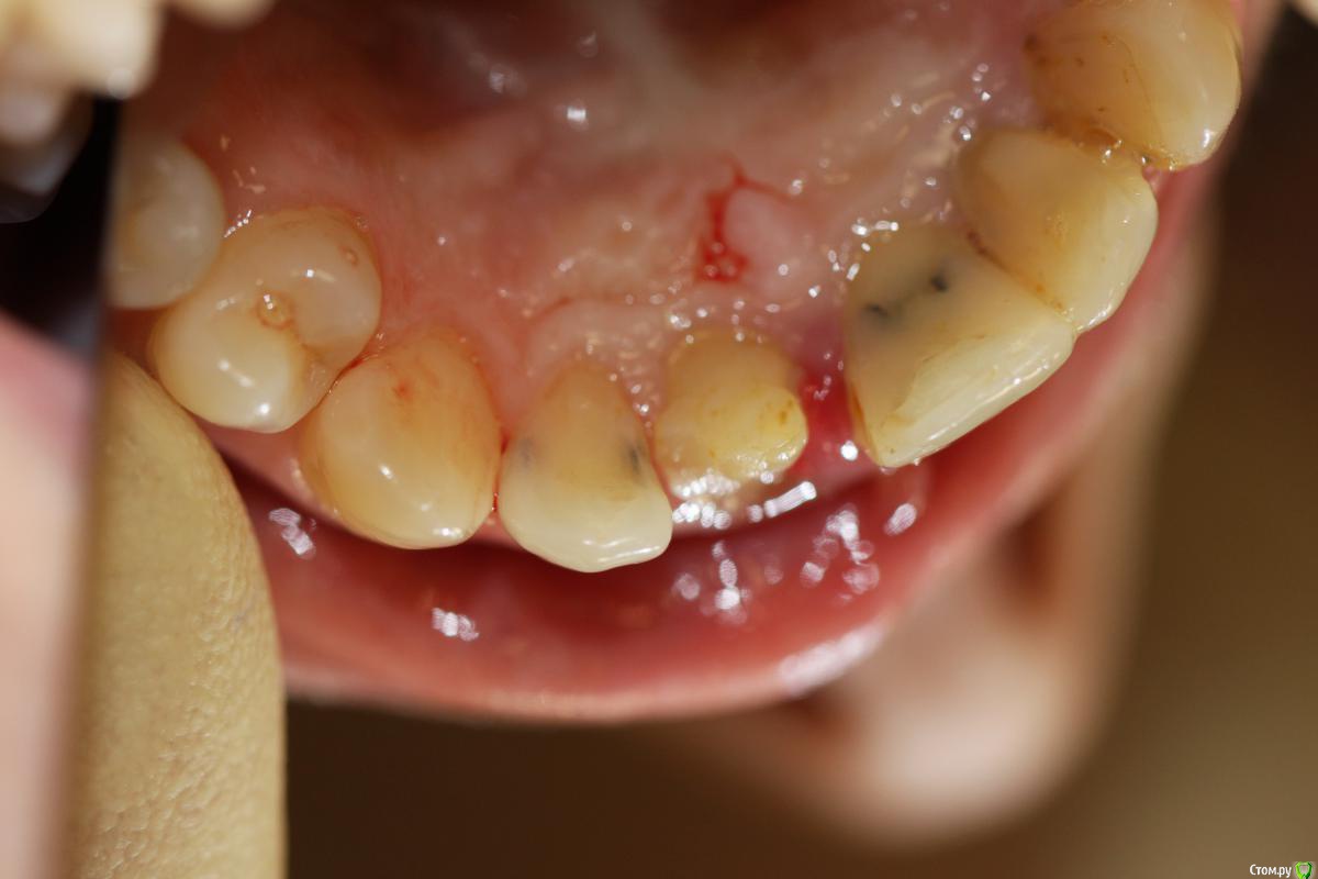
skeettrap Опубликовано 19 марта, 2016 Поделиться Опубликовано 19 марта, 2016 Работа из категории - для души. Попутно сделан кариес у 12 с медиальной стенки , 21 - только подполирована медиальная стенка. 3 Ссылка на комментарий
molchanoff Опубликовано 19 марта, 2016 Поделиться Опубликовано 19 марта, 2016 на долго ли? 2 Ссылка на комментарий
skeettrap Опубликовано 19 марта, 2016 Автор Поделиться Опубликовано 19 марта, 2016 Первый раз такое сделал лет 10 назад - все стоят. А надежнее обточить и поставить коронку? Я мог-бы поставить вкладку и коронку, но так гораздо дешевле и эстетичней. 3 Ссылка на комментарий
pils Опубликовано 19 марта, 2016 Поделиться Опубликовано 19 марта, 2016 Эстетичнее? Вы уверены за себя и не уверены в способностях техника? В долгосрочной перспективе тоже композит лучше будет? 2 Ссылка на комментарий
Мартовский Опубликовано 19 марта, 2016 Поделиться Опубликовано 19 марта, 2016 С таким феррулом быстро сломает. Если уж идти на прямую реставрацию, то штифт надо гораздо толще брать, и пояс прочности нужен более выраженный. Про "дешевле" согласен, про "эстетичнее" промолчу 7 Ссылка на комментарий
horreodor Опубликовано 19 марта, 2016 Поделиться Опубликовано 19 марта, 2016 не плохо получилось... да и стоять я думаю нормально будет, если пиво не открывать зубами... Ссылка на комментарий
krokomot Опубликовано 19 марта, 2016 Поделиться Опубликовано 19 марта, 2016 Для бюджета, очень даже не плохо, учитывая общую ситуацию во рту. В посте не хватает кадрирования фотографий ( выровнять, обрезать), ну конечно рентгеновского снимка. Ссылка на комментарий
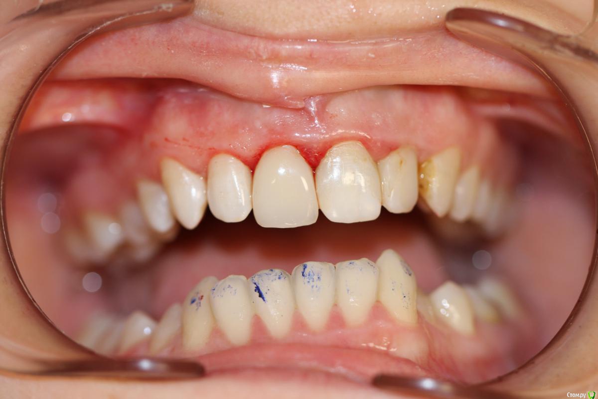
skeettrap Опубликовано 20 марта, 2016 Автор Поделиться Опубликовано 20 марта, 2016 Для бюджета, очень даже не плохо, учитывая общую ситуацию во рту. В посте не хватает кадрирования фотографий ( выровнять, обрезать), ну конечно рентгеновского снимка.Спасибо за отзыв. Фотограф я начинающий. Буду стараться.По поводу сломаться - скорее сломает 21,22 (мертвые), если не появится больше. Этот остался в яблоке.Про эстетику: 21,22 с серым оттенком, 12 - А2 .МК будет выделяться. Емах понятно лучше на 11,21,22 с соответствующей подготовкой,но ей это не потянуть.А так , по-моему, хорошее решение с возможностью улучшения в любой момент. Ссылка на комментарий
St. Опубликовано 20 марта, 2016 Поделиться Опубликовано 20 марта, 2016 Зуб красивый получился, главное чтоб не сломала. Ссылка на комментарий
skeettrap Опубликовано 20 марта, 2016 Автор Поделиться Опубликовано 20 марта, 2016 Спасибо, а сломает - ВКВ + коронка. Ссылка на комментарий
Петр Бриньковский Опубликовано 20 марта, 2016 Поделиться Опубликовано 20 марта, 2016 Спасибо, а сломает - ВКВ + коронка.Было время- делал такие бюджетные конструкции...доктор-денег особо нет, сделайте что-нибудь, а потом ломается и доктор бесплатно переделывай( если еще удачно сломается)..... и предупреждали ведь и придется все -равно шкк и коронку делать! 3 Ссылка на комментарий
Доктор Дмитрий Опубликовано 20 марта, 2016 Поделиться Опубликовано 20 марта, 2016 Сомнительная работа с точки зрения функции, зубы разные по форме и по цвету немного тоже. Ссылка на комментарий
Доктор Дмитрий Опубликовано 20 марта, 2016 Поделиться Опубликовано 20 марта, 2016 Было время- делал такие бюджетные конструкции...доктор-денег особо нет, сделайте что-нибудь, а потом ломается и доктор бесплатно переделывай( если еще удачно сломается)..... и предупреждали ведь и придется все -равно шкк и коронку делать!А штифт из канала достать, то еще удовольствие Ссылка на комментарий
skeettrap Опубликовано 20 марта, 2016 Автор Поделиться Опубликовано 20 марта, 2016 А штифт из канала достать, то еще удовольствие Вааще не проблема. Кстати, я не встречал переломов СВШ(стаж 20 лет). Бывало доставал расфиксированные частично, когда доктора пытались фиксировать на текучий.Сомнительная работа с точки зрения функции, зубы разные по форме и по цвету немного тоже.Если придет - сфоткаю когда влагу наберут соседние. По форме - не стал скруглять медиальный край, как у 21, лучше добавить у 21(мне так кажется). Ссылка на комментарий
St. Опубликовано 20 марта, 2016 Поделиться Опубликовано 20 марта, 2016 Кстати, я не встречал переломов СВШ(стаж 20 лет). Ещё как бывают) 3 Ссылка на комментарий
dok1 Опубликовано 20 марта, 2016 Поделиться Опубликовано 20 марта, 2016 Зуб ушёл ниже десны. Это сто проц. удаление, имплант и коронка. По мне так пациент переплатил. К импланту всё равно придёт. Ссылка на комментарий
krokomot Опубликовано 20 марта, 2016 Поделиться Опубликовано 20 марта, 2016 Зуб ушёл ниже десны. Это сто проц. удаление, имплант и коронка. По мне так пациент переплатил. К импланту всё равно придёт.Что ж вы все зубы что ушли под десну удаляете? Или вы про удлинение клинической коронки забыли или экструзию? 1 Ссылка на комментарий
dok1 Опубликовано 21 марта, 2016 Поделиться Опубликовано 21 марта, 2016 Можно и так. Но не реставрация точно. Если только пациент настоял после того как всё выслушал. Ссылка на комментарий
anvladd Опубликовано 21 марта, 2016 Поделиться Опубликовано 21 марта, 2016 зубы разные по форме и по цвету немного тоже.Форма норм а цвет разный потому что пересохли зубы за время реставрации,через пару дней одинаково будет. Ссылка на комментарий
доквика Опубликовано 22 марта, 2016 Поделиться Опубликовано 22 марта, 2016 Первый раз такое сделал лет 10 назад - все стоят. А надежнее обточить и поставить коронку? Я мог-бы поставить вкладку и коронку, но так гораздо дешевле и эстетичней.У Вас хорошо получилось, каким материалом восстанавливали? Только не поняла, почему сразу кламп не надели?удобнее было бы, имхо. Ссылка на комментарий
Карен Аванесов Опубликовано 22 марта, 2016 Поделиться Опубликовано 22 марта, 2016 а теперь покажите реккол через 10 лет всем кто раскритиковал на зло))) 1 Ссылка на комментарий
skeettrap Опубликовано 22 марта, 2016 Автор Поделиться Опубликовано 22 марта, 2016 У Вас хорошо получилось, каким материалом восстанавливали? Только не поняла, почему сразу кламп не надели?удобнее было бы, имхо.Спасибо. Материал Filtek Supreme. Без клампа удобнее восстанавливать контактные и небную стенки, а с ним удобнее пришейку. Ссылка на комментарий
skeettrap Опубликовано 22 марта, 2016 Автор Поделиться Опубликовано 22 марта, 2016 а теперь покажите реккол через 10 лет всем кто раскритиковал на зло))) Ссылка на комментарий
anvladd Опубликовано 22 марта, 2016 Поделиться Опубликовано 22 марта, 2016 а теперь покажите реккол через 10 лет всем кто раскритиковал на зло)))через 10 и увидим) Ссылка на комментарий
Сева северный Опубликовано 22 марта, 2016 Поделиться Опубликовано 22 марта, 2016 через 10 и увидим)Спор.. из серии: Доедет, ли колесо до Санкт Петербурга??? По показаниям .. здесь ортопедия. Ссылка на комментарий
Рекомендуемые сообщения
Для публикации сообщений создайте учётную запись или авторизуйтесь
Вы должны быть пользователем, чтобы оставить комментарий
Создать аккаунт
Зарегистрируйте новый аккаунт в нашем сообществе. Это очень просто!
Регистрация нового пользователяВойти
Уже есть аккаунт? Войти в систему.
Войти