Наталия Бруцкая Опубликовано 10 марта, 2016 Поделиться Опубликовано 10 марта, 2016 Подскажите, какие параметры (торк и скорость ) выставлять для профайлов. Ссылка на комментарий
sydnik Опубликовано 10 марта, 2016 Поделиться Опубликовано 10 марта, 2016 (изменено) на упаковке скорость указана Изменено 10 марта, 2016 пользователем sydnik 1 Ссылка на комментарий
катерина 81 Опубликовано 11 марта, 2016 Поделиться Опубликовано 11 марта, 2016 (изменено) а по какому принципу Вы их комбинируете? А кто нибудь пробовал работать с системой ProTaper NextПо разному.могу начать с мту,особенно если канал искривлен,пройти 1 0,15 номером,но потом все таки беру протейперы,привыкла я к ним Изменено 11 марта, 2016 пользователем катерина 81 Ссылка на комментарий
cor Опубликовано 12 марта, 2016 Поделиться Опубликовано 12 марта, 2016 (изменено) Эх, как я соскучился по К3 ! Как я их любил(люблю) только теперь у меня их нет. Там кто спрашивал по протоколу. Как это делал я, правда был молод, и имеются сомнения по поводу протокола. Думаю меня поправят достаточно оперативно, так что дождитесь, прежде чем на людях пробовать)) (пару работ скину, где до 30.04 и 30.06 в итоге на фул каналы были обработаны)Итак, опустим изоляцию, доступ,) и тд. Допустим моляр, допустим любой. Сразу скажу что размер, указанный выже всегда разный немного. МБ2 30.06 не очень мне нравиться, ну и не забываем, что руки ещё есть, что бы доработать апикальную треть. 1 Ориентировочное определение длинны - мм 16 -18 8кой(10кой) - не дошел. На эту динну работаем начиная с 30ки (04 ил 06 - по ситуации). моемся.2 Продвигаемся по аплоку на 1-2 мм - не дошли берём №25 той же конусности, или меньше, чем 30ка была.3 Опять меряем, примерно с таким же шагом, берём файл на размер меньше и идем дальше.4 Дошли до рабочей длинны, начинам работать на полную рабочую длину, в обратном порядке (размер файла растет) и мыть. 5. !!! Короче : Уменьшаем размер файла по мере увеличения рабочей длинны, затем обрабатываем на всю длину до нужного размера, но не более(обычно) 30.06. Далее апикальную треть ручками до куда вам религия подсказывает.!!! Готовлюсь морально к тапкам, которые в меня полетят)) Изменено 12 марта, 2016 пользователем cor 5 Ссылка на комментарий
horreodor Опубликовано 13 марта, 2016 Автор Поделиться Опубликовано 13 марта, 2016 Подскажите, а чем Вы распломбировываете каналы? мтушками можно? Ссылка на комментарий
cor Опубликовано 13 марта, 2016 Поделиться Опубликовано 13 марта, 2016 Смотря что распломбировывать. Профайлы, эндочак и ручные инструменты мой выбор. Конечно ситуации разные, и Д3 иногда беру, но редко. Ссылка на комментарий
St. Опубликовано 13 марта, 2016 Поделиться Опубликовано 13 марта, 2016 (изменено) Смотря что распломбировывать. Профайлы, эндочак и ручные инструменты+ гейтсы в устьевой трети А кто нибудь пробовал работать с системой ProTaper Next Пробовала на мастерклассе. По ощушению более гибкие чем протейперы, но из неприятного - затягиваются в канал и как бы стопорятся в канале и только потом срезают дентин. Представители фирмы рассказывали - что это нормально, и файлы не сломаются. Но вот как-то как у Станиславского "Не верю!")) Кстати, они позиционируются как стерильные,одноразовые и официально не подлежат стерелизации, неофициально - только холодная. Для себя решила, что работать ими можно, но не хотела бы. Изменено 13 марта, 2016 пользователем St. 1 Ссылка на комментарий
horreodor Опубликовано 18 марта, 2016 Автор Поделиться Опубликовано 18 марта, 2016 еще вопросик... сколько раз можно использовать мту и протейперы? Ссылка на комментарий
Петр Бриньковский Опубликовано 18 марта, 2016 Поделиться Опубликовано 18 марта, 2016 еще вопросик... сколько раз можно использовать мту и протейперы?8 каналов в среднем Ссылка на комментарий
леонидовна Опубликовано 10 апреля, 2016 Поделиться Опубликовано 10 апреля, 2016 еще вопросик... сколько раз можно использовать мту и протейперы?если каналы сложные - лучше перестраховаться, иногда 2-3 сложных и все ( Ссылка на комментарий
Ирина Игоревна Опубликовано 11 апреля, 2016 Поделиться Опубликовано 11 апреля, 2016 1-ну так в этом то и преимущество одного инструмента )! Экономия времени, меньше ошибок, в большинстве случаев нет необходимости создания ковровой дорожки и его "реципрокные движения"! да и потом в этой системе одной размерности бумажные штифты и гуттаперча мастер штифт, очень удобно! Время обработки сократилось, а качество увеличилось , принципиально другой уровень обработки кк, нужно просто попробовать) 2-ну во первых это блок из оргстекла ), а во вторых после каждых 3-х клюющих движений производится ирригация кк и ничего никуда не выталкивается)Преимущества работы одного инструмента перед 4 с одинаковым количеством движений не увидела. Ковровую дорожку по хорошему создавать нужно всегда. По поводу штифтов.. Не раз обсуждалось на форуме про метод пломбировки канала конусным штифтом. Про увеличение качества обработки тоже не совсем понятно, чем оно улучшилось? Блок из оргстекла на практике оборачивается инфицированными опилками зуба, выталкиваемыми за апекс. Ирригацией вы вымываете опилки из канала, а то что попало за апекс вы никак не вымоете Ссылка на комментарий
vse32 Опубликовано 12 июля, 2016 Поделиться Опубликовано 12 июля, 2016 Хочу вставить свои 5 копеек за Флексмастер от VDW. Почти как Профайлы, но мне флексмастер, почему- то, нравится больше. Ссылка на комментарий
Каплан Опубликовано 12 июля, 2016 Поделиться Опубликовано 12 июля, 2016 Потому что они активные. В отличие от профайлов могут нарезать ступеньки. 1 Ссылка на комментарий
Audutor Опубликовано 13 июля, 2016 Поделиться Опубликовано 13 июля, 2016 Protaper SX,S1,S2. Profile 0.4,0.6. Protaper Hand use.Финишировать всегда стараюсь Protaper Hand use F3 насухо, под контролем апекс локатора. Ссылка на комментарий
cor Опубликовано 14 июля, 2016 Поделиться Опубликовано 14 июля, 2016 Для меня F3 - слишком большое расширение устьевой и средней трети. Что бы я его засунул в канал - это исключение. Меня, как и остальных, интересует апикальная треть, а именно, как добиться адекватной ирригации в ней, родимой. Можно послушать Каплана, а можно взять эндоблок, и посмотреть (Каплан, блин, прав). Протейперы, в их классическом применении не дадут Вам возможности отмыть апикальную треть, не "убивая" анатомию канала. Но протэйперы быстро и эффективно работают в других отделах канала. А именно в устьевой и средней трети.Дальше можно подключить другие инструменты. Будь то профайлы, а может и К-3. Готовясь к "тапкам" опубликую ленивый протокол. Он работает только с опытом его использования, и пониманием, зачем)) По протоколу до протейпера F2, 30.06 профайл (35.04,40.04, 45.04 - по ситуации). Обязательно апикальный упор (калибровка гутты обязательна, только "2 конус). Ну и опыт в таких "экспериментах" заканчивался латералкой. Было здорово. Но попробуйте на удалёнках сначала, а то Мяуздрав предепреждает)) Ссылка на комментарий
St. Опубликовано 14 июля, 2016 Поделиться Опубликовано 14 июля, 2016 Готовясь к "тапкам" опубликую ленивый протокол. Он работает только с опытом его использования, и пониманием, зачем)) По-хорошему любой протокол будет работать, если понимаешь что и зачем делаешь) А так вполне логично, но я бы остановилась на протейперах С1 и С2, а дальше неагрессивно - или профайлы или К3 1 Ссылка на комментарий
cor Опубликовано 14 июля, 2016 Поделиться Опубликовано 14 июля, 2016 Бы? или пробовали?)) Ссылка на комментарий
St. Опубликовано 14 июля, 2016 Поделиться Опубликовано 14 июля, 2016 Протейперами работала пару лет в формате С1, С2, Ф1, дальше руками калибровать апикально.К3 и профайлами тоже работала по класической схеме.Совмещение первых и вторых по-моему логично в не сильно изогнутых каналах: первые быстро расширят устье и середину,практически не расширяя апикально, а вторые исключительно апикально и будут работать. Нагрузка на инструмент будет меньше, расширение достаточное, и по времени быстрее чем просто неагрессивными. Ссылка на комментарий
cor Опубликовано 14 июля, 2016 Поделиться Опубликовано 14 июля, 2016 Да все они агрессивные, по отношеню к тканям зуба. Кто то больше, кто то меньше. Я не про то. Я про то, что апикальную треть они обрабатывают плохо, либо нам надо взять такого размера инструмент, что грозит стрип-перфо(тут уже я перегибаю). Менее агрессивные - ручная сталь, и NT. Опять же, мы не можем расширить устьевую и среднюю часть, и болт положить на апикальную. Хотя есть и другое мнение(если внимательно послушать - https://youtu.be/GES0SpZPifk). Но когда надо обработать апик треть - протейперы нам не помошники. Блин, путаются мысли после 11 рабочих дней (всё пац-ы в голове)))Но ссылку глянте, там не только про МБ2)) Ссылка на комментарий
St. Опубликовано 14 июля, 2016 Поделиться Опубликовано 14 июля, 2016 Завтра гляну, спасибо) Щас уже как-то туго соображается, спать пора. Я не про то. Я про то, что апикальную треть они обрабатывают плохо, либо нам надо взять такого размера инструмент, что грозит стрип-перфо(тут уже я перегибаю Если Вы про протейперы, то так и есть. И даже не перегибаете)) пять же, мы не можем расширить устьевую и среднюю часть, и болт положить на апикальную. Но когда надо обработать апик треть - протейперы нам не помошники. Так и я о том же, что после протейперов надо допиливать, а там уже чем хотите, хоть профайлами, хоть к3, хоть ручками, хоть любыми другими файлами до приемлемого размера. Ссылка на комментарий
cor Опубликовано 14 июля, 2016 Поделиться Опубликовано 14 июля, 2016 Завтра гляну, спасибо) Щас уже как-то туго соображается, спать пора. Если Вы про протейперы, то так и есть. И даже не перегибаете)) Так и я о том же, что после протейперов надо допиливать, а там уже чем хотите, хоть профайлами, хоть к3, хоть ручками, хоть любыми другими файлами до приемлемого размера. По моему, мы с Вами про одно и то же говорим) Ссылка на комментарий
Audutor Опубликовано 14 июля, 2016 Поделиться Опубликовано 14 июля, 2016 (изменено) Для меня F3 - слишком большое расширение устьевой и средней трети. Что бы я его засунул в канал - это исключение. Меня, как и остальных, интересует апикальная треть, а именно, как добиться адекватной ирригации в ней, родимой. Можно послушать Каплана, а можно взять эндоблок, и посмотреть (Каплан, блин, прав). Протейперы, в их классическом применении не дадут Вам возможности отмыть апикальную треть, не "убивая" анатомию канала. Но протэйперы быстро и эффективно работают в других отделах канала. А именно в устьевой и средней трети.Дальше можно подключить другие инструменты. Будь то профайлы, а может и К-3. По протоколу до протейпера F2, 30.06 профайл (35.04,40.04, 45.04 - по ситуации). Обязательно апикальный упор (калибровка гутты обязательна, только "2 конус). Ну и опыт в таких "экспериментах" заканчивался латералкой. Было здорово. Но попробуйте на удалёнках сначала, а то Мяуздрав предепреждает)) Если мы говорим о геометрии инструмента, F3 протайпер единственный инструмент подобного размера с измененной геометрией в апикальной трети для лучшей ирригации, а имено 9% конусность в 3х апикальных миллиметрах, и 6% в остальной части, выходит он лучше прочих подходит для дезинфекции именно апикальной трети. Кстати вы в курсе что профайлы продаваемые именно в Европе на самом деле имеют геометрию и размеры отличные от официально заявленных? 30 размер к примеру это примерно 29 итдБыла даже гдето специальная статься наэту тему. В случаях сложной анатомии само собой я беру в руки, Pathfile и профайлы 4 конусности итд итп П.С Практически все лекции российских специалистов это перефразирование зарубежных коллег с задержкой в месяцы, года) Но видео посмотрю) П.П.С В любом случае 30-40 минут дезинфекции с активацией никто не отменял) П.П.П.С corВаша методика это crown down плюс примесь balanced force. Изменено 14 июля, 2016 пользователем Audutor Ссылка на комментарий
Audutor Опубликовано 14 июля, 2016 Поделиться Опубликовано 14 июля, 2016 (изменено) А вообще надо сказать что реципрок недооценен, в том контексте что может быть опилки и толкает. Но зато дает тонну времени для ирригацииhttps://www.facebook.com/zaher.altaqi/videos/vb.100000373036337/1005090786180013/?type=2&theaterКогда увидел впервые, был в легком шоке)А сейчас понимаю что за этим будущее)Видео специально показывают что даже без ирригации такое возможно..., само собой это не сложная анатомия итд итп. С другой это всетаки МБ2 Изменено 14 июля, 2016 пользователем Audutor Ссылка на комментарий
St. Опубликовано 15 июля, 2016 Поделиться Опубликовано 15 июля, 2016 По моему, мы с Вами про одно и то же говорим)Ага Ссылка на комментарий
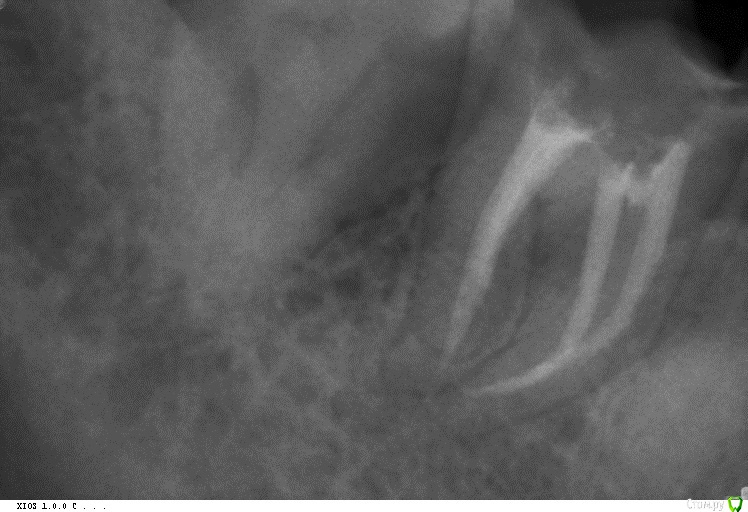
Kolchanov Опубликовано 15 июля, 2016 Поделиться Опубликовано 15 июля, 2016 Это очень жирный МВ2 и к тому же обработанный МВ1. Любой активный файл забурится туда так же. Ссылка на комментарий
Рекомендуемые сообщения
Для публикации сообщений создайте учётную запись или авторизуйтесь
Вы должны быть пользователем, чтобы оставить комментарий
Создать аккаунт
Зарегистрируйте новый аккаунт в нашем сообществе. Это очень просто!
Регистрация нового пользователяВойти
Уже есть аккаунт? Войти в систему.
Войти