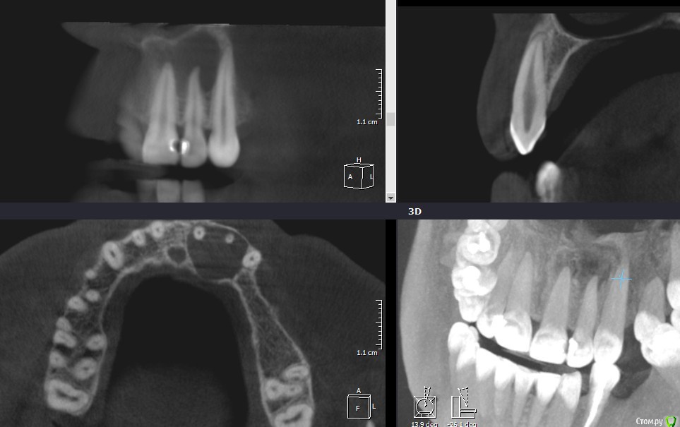
Рустам Опубликовано 17 января, 2016 Поделиться Опубликовано 17 января, 2016 Добрый вечер коллеги! Обратилась пациентка с жалобами на наличие свища в области 22 зуба. Сделали КТ, обширный очаг в области 21, 22. Как считаете, можно попытаться в данной ситуации обойтись консервативным лечением, без хирургии? Ссылка на комментарий
Evikrol Опубликовано 17 января, 2016 Поделиться Опубликовано 17 января, 2016 Послушаю. Ссылка на комментарий
Ico Опубликовано 17 января, 2016 Поделиться Опубликовано 17 января, 2016 Эндо с IRMом в апексе,потом вести на декомпрессии с самостоятельным промыванием в домашних условиях CHX 0,5%,через подшитый дренаж, не менее 6 месяцев.Промывать можно при помощи канюли от протравки.Главное,чтобы пациент был мотивирован,не каждый на это пойдет. 2 Ссылка на комментарий
Рустам Опубликовано 17 января, 2016 Автор Поделиться Опубликовано 17 января, 2016 Спасибо! Ссылка на комментарий
Рустам Опубликовано 17 января, 2016 Автор Поделиться Опубликовано 17 января, 2016 мта про рут в апексе я так понимаю тоже подойдет? Ссылка на комментарий
Ico Опубликовано 17 января, 2016 Поделиться Опубликовано 17 января, 2016 мта про рут в апексе я так понимаю тоже подойдет?IRM проще сконденсировать,быстро и на 100% застынет.МТА более капризен и нужны хорошие условия,где нет вне канальной инфекции.Но это мое мнение и есть результаты с IRMом. Ссылка на комментарий
DmitrySH Опубликовано 17 января, 2016 Поделиться Опубликовано 17 января, 2016 Вот честно не вижу заочной необходимости в МТА или IRM. Первичное эндо, констрикция сохранена. И декомпрессия уже самостоятельно наладилась.Я за эндо через кальций до периода стойкой ремиссии. Далее уже закрывать, апексфикация и декомпрессия уже входе лечения по мере необходимости 8 Ссылка на комментарий
Ico Опубликовано 17 января, 2016 Поделиться Опубликовано 17 января, 2016 Вот честно не вижу заочной необходимости в МТА или IRM. Первичное эндо, констрикция сохранена. И декомпрессия уже самостоятельно наладилась.Я за эндо через кальций до периода стойкой ремиссии. Далее уже закрывать, апексфикация и декомпрессия уже входе лечения по мере необходимостиЭхх недописал))) разумеется в случае неуспеха на кальции. :) 1 Ссылка на комментарий
Л Ю С Я Опубликовано 18 января, 2016 Поделиться Опубликовано 18 января, 2016 Вот честно не вижу заочной необходимости в МТА или IRM. Первичное эндо, констрикция сохранена. И декомпрессия уже самостоятельно наладилась.Я за эндо через кальций до периода стойкой ремиссии. Далее уже закрывать, апексфикация и декомпрессия уже входе лечения по мере необходимости+1, только выясните витальность 2.1. Судя по кт он уже дохлый. Но не факт Ссылка на комментарий
inSight Опубликовано 18 января, 2016 Поделиться Опубликовано 18 января, 2016 Не трогал бы 2.1, до момента хилинга 2.2, при отсутствии симптоматики в 2.1. Но это мое мнение и есть результаты с IRMом. Для чего он тут в данном зубе? Ссылка на комментарий
Ico Опубликовано 18 января, 2016 Поделиться Опубликовано 18 января, 2016 Не трогал бы 2.1, до момента хилинга 2.2, при отсутствии симптоматики в 2.1. Для чего он тут в данном зубе? Читайте выше,пост №8 Ссылка на комментарий
inSight Опубликовано 18 января, 2016 Поделиться Опубликовано 18 января, 2016 Поговорим о экономической точке зрения , если получили провал на кальции , вы применяете IRM для чего ? Вы уже получили провал от кальция , МО выжило после кальция,а может и произошла адаптация к нему , чего вы добиваетесь при IRM (Ваша цитата "нужны хорошие условия,где нет вне канальной инфекции"). О сроках кальция не упоминаем. "есть результаты с IRMом" - хорошо, а допускаете ли вы что клинический случай тот же? Или же у вас внеканальной инфекции просто уже не было в Вашем случае ? Разобраться не могу, в этом протоколе для бабосиков ? Ссылка на комментарий
Ico Опубликовано 18 января, 2016 Поделиться Опубликовано 18 января, 2016 Поговорим о экономической точке зрения , если получили провал на кальции , вы применяете IRM для чего ? Вы уже получили провал от кальция , МО выжило после кальция,а может и произошла адаптация к нему , чего вы добиваетесь при IRM (Ваша цитата "нужны хорошие условия,где нет вне канальной инфекции"). О сроках кальция не упоминаем. "есть результаты с IRMом" - хорошо, а допускаете ли вы что клинический случай тот же? Или же у вас внеканальной инфекции просто уже не было в Вашем случае ? Разобраться не могу, в этом протоколе для бабосиков ? Ок)) на терапии сложно "бабосиков" заработать))) тут нужен талант ,особенно на IRMе.Под провалом на кальции я понимаю,что недообработал апекс и постепенно увеличиваю его диаметр на 2-3 размера каждый раз до белой стружки,усложняю протокол ирригации и активации.Это занимает 2-3 посещения с интервалом 2 недели.Затем,когда из канала перестает литься,либо закрывается свищевой ход я оцениваю чем паковать и очень часто это апексы уже не 40 - 45 - 50 а 60 - 80 - 100 как правило после второго посещения я принимаю решение как вести пациента дальше,один из вариантов я описАл в посте номер 3.В данном кейсе DmitrySH правильно подметил,что констрикция сохранена и есть хороший шанс обработать и запаковать канал стандартно,получив хороший клинический результат.inSight,коллега обратите внимание,что это эстетически значимая зона,где после удаления будет очень дорого восстановить функцию и эстетику,а вырастить качественную кость может только эндодонтист. Ссылка на комментарий
Паращук Роман Опубликовано 18 января, 2016 Поделиться Опубликовано 18 января, 2016 Кальций-шмальций понятно,но зачем фистулу? 1 Ссылка на комментарий
Ico Опубликовано 18 января, 2016 Поделиться Опубликовано 18 января, 2016 Кальций-шмальций понятно,но зачем фистулу?Быстрее. Ссылка на комментарий
inSight Опубликовано 18 января, 2016 Поделиться Опубликовано 18 января, 2016 IcoСпасибо, за четко развернутый ответ. Ссылка на комментарий
Kolchanov Опубликовано 18 января, 2016 Поделиться Опубликовано 18 января, 2016 Быстрее. Быстрее чего? Паш, ты делай тогда, как в старых учебниках писали, по Partch I http://s017.radikal.ru/i442/1601/83/aa857476da34.jpg http://s020.radikal.ru/i716/1601/9c/703d1ebd1296.jpg 2 Ссылка на комментарий
Паращук Роман Опубликовано 18 января, 2016 Поделиться Опубликовано 18 января, 2016 Быстрее чего? Паш, ты делай тогда, как в старых учебниках писали, по Partch I Ппц Ссылка на комментарий
Ico Опубликовано 18 января, 2016 Поделиться Опубликовано 18 января, 2016 Быстрее чего? Паш, ты делай тогда, как в старых учебниках писали, по Partch I http://s017.radikal.ru/i442/1601/83/aa857476da34.jpg http://s020.radikal.ru/i716/1601/9c/703d1ebd1296.jpgНу ты загнул Мои обоснования будут такие,кальцием стимулировали процесс регенерации,фистулой ускорили ее процесс,а так ждать можно до посинения. Ссылка на комментарий
Ico Опубликовано 18 января, 2016 Поделиться Опубликовано 18 января, 2016 Я понял к чему все идет,поэтому вопрос!!Роман,Костя коллеги скажите,то что я написал относительно этого случая имеет право быть?Если нет,то обоснуйте почему."Ппц" - не ответ. Ссылка на комментарий
Kolchanov Опубликовано 18 января, 2016 Поделиться Опубликовано 18 января, 2016 Я просто не понял, почему сразу фистулу втыкать. У меня вообще есть сомнения, что она нужна когда-либо. Уж если есть предположение о том, что существует внеканальная инфекция, то, даже если ее и не было, она запросто может сесть через эту искусственный свищевой ход на торчащую верхушку корня. SDC участник где-то выкладывал фотку верхушки корня с камнями или черти-чем, после резекции зуба с длительно существовавшим свищем. Завтра найду и скину, если не забуду.ИМХО, если надо декомпрессию, то надо идти на резекцию с выскоблежом всего. Либо вот как сверху (там рисунок не правильный), только куском слизистой укрывают верхушку корня и тампонируют полость, пока не прирастет к оболочке кисты. Ссылка на комментарий
Ico Опубликовано 18 января, 2016 Поделиться Опубликовано 18 января, 2016 (изменено) Я просто не понял, почему сразу фистулу втыкать. Вы с Романом меня не так поняли,фистулу именно в этом случае,сделал бы с небной стороны,и только тогда,когда не помог кальций.Когда восстановится кость до размеров позволяющих сделать РВК без ксено и мембраны принимаю решение делать или нет РВК.Обычно жду год,если эффекта нет,то еще год,главное не пропустить регресс.Если все таки РВК,то по IRMу ее делать просто - срезал,покрасил,убедился что все норм,зашил. Изменено 18 января, 2016 пользователем Ico Ссылка на комментарий
Sampson Опубликовано 18 января, 2016 Поделиться Опубликовано 18 января, 2016 Пациенту объясняется что можно поставить мта и отправить к хирургам и они будут скаблить полость и закладывать кость.НО МОЖНО расширить верхушку вывести кальций(метапекс) внутрь зуба и менять его каждый месяц через 3 месяца сделать повторное кт. Рассказать что нет идеального и гарантированного варианта в этой ситуации. При первом лечении такого зуба после метапекса для лучшего оттока жидкости я (не всегда) делаю послабляющий разрез. Ссылка на комментарий
Паращук Роман Опубликовано 18 января, 2016 Поделиться Опубликовано 18 января, 2016 Я понял к чему все идет,поэтому вопрос!!Роман,Костя коллеги скажите,то что я написал относительно этого случая имеет право быть?Если нет,то обоснуйте почему."Ппц" - не ответ. ппц,то к рисунку Кости. По тактике: даже если бы результата с Са и не было,не понимаю зачем фистула? Почему не сделать прокол,промыть каким нибудь декасаном и аспирировать? Ну или хирургия. Ссылка на комментарий
Ico Опубликовано 18 января, 2016 Поделиться Опубликовано 18 января, 2016 ппц,то к рисунку Кости. По тактике: даже если бы результата с Са и не было,не понимаю зачем фистула? Почему не сделать прокол,промыть каким нибудь декасаном и аспирировать? Ну или хирургия.Ром,может и поможет,а если опять свищ,а если опять контоминация в полости и весь процесс по новой.Опять разрез,опять рубец.В данном кеисе с двух сторон нет кортикалки,поэтому такие дефекты очень долго могут заживать. Ссылка на комментарий
Рекомендуемые сообщения
Для публикации сообщений создайте учётную запись или авторизуйтесь
Вы должны быть пользователем, чтобы оставить комментарий
Создать аккаунт
Зарегистрируйте новый аккаунт в нашем сообществе. Это очень просто!
Регистрация нового пользователяВойти
Уже есть аккаунт? Войти в систему.
Войти