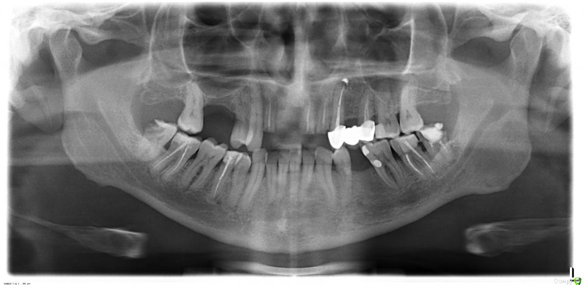
DDD137 Опубликовано 12 декабря, 2015 Поделиться Опубликовано 12 декабря, 2015 По совету лечащего врача поставил мост из 4 зубов (врач сказал, что импланты простоят меньше, мост надёжней). Простоял 4 года, вылетел. Доктор сказал что так и должно быть и будет еще хуже и чаще. Сейчас хочу обратиться в другую клинику. Вопрос:Какие есть варианты практичного и долговременного протезирования в моем случае? Где, у кого и с каким бюджетом это лучше сделать в Москве?С расценками знаком, пожелание - практичность и долговечность насколько возможно. Заранее благодарен. Д.К. Ссылка на комментарий
kozloff Опубликовано 12 декабря, 2015 Поделиться Опубликовано 12 декабря, 2015 Какие есть варианты практичного и долговременного протезирования в моем случае? Имплантация. Корни 12, 21, 22 на удаление Где, у кого и с каким бюджетом это лучше сделать в Москве? http://forum.stom.ru/topic/9249-posovetujte-ortopeda-v-gorode-n/page-28 Сейчас хочу обратиться в другую клинику. Хорошее решение 1 Ссылка на комментарий
DDD137 Опубликовано 13 декабря, 2015 Автор Поделиться Опубликовано 13 декабря, 2015 Большое Вам спасибо за ответ. Предложили переделать мост, но уже на вкладках. ( В другой клинике).Не знаю насколько это может быть долговременным и практичным решением. Чем на Ваш взгляд 4 импланта с удалением 3 корней лучше? Или м.б. вариант моста на вкладках с имплантом 11? Мне 48 лет. Еще раз ОГРОМНОЕ СПАСИБО за Ваше мнение Ссылка на комментарий
chervoncevdaniil Опубликовано 13 декабря, 2015 Поделиться Опубликовано 13 декабря, 2015 Так же в руках через годик принесете мост на вкладках,там нет достаточного количества твердых тканей,чтобы конструкция долго функционировала.Долговременный результат-имплантация(при условии грамотного хирурга и ортопеда) 2 Ссылка на комментарий
Рекомендуемые сообщения
Для публикации сообщений создайте учётную запись или авторизуйтесь
Вы должны быть пользователем, чтобы оставить комментарий
Создать аккаунт
Зарегистрируйте новый аккаунт в нашем сообществе. Это очень просто!
Регистрация нового пользователяВойти
Уже есть аккаунт? Войти в систему.
Войти