Л Ю С Я Опубликовано 10 декабря, 2015 Поделиться Опубликовано 10 декабря, 2015 А какой уровень поддержки у вас, с ЛОРом. Какую терапию он проводит?Своего Лора нет, к сожалению. Ну, что они там делают? Как правило антибиотики, десенсебилизирующее, противовоспалительное, пункцию пазухи, промывание. Раза три общалась с ЛОРом, говорят если одонтогенный содержимое пазухи особенно вонючее, зеленое Ссылка на комментарий
Сева северный Опубликовано 10 декабря, 2015 Поделиться Опубликовано 10 декабря, 2015 .Получается, это все ЛОры с амбулаторного приема? Ссылка на комментарий
Л Ю С Я Опубликовано 11 декабря, 2015 Поделиться Опубликовано 11 декабря, 2015 .Получается, это все ЛОры с амбулаторного приема?Не знаю. Но некоторые пациенты и в стационаре побывали. А в чем разница? Ссылка на комментарий
Л Ю С Я Опубликовано 5 декабря, 2016 Поделиться Опубликовано 5 декабря, 2016 Полечили гаиморит без ЛОР. Срок наблюдения 6 месяцев. Теперь на очереди 2.7 5 Ссылка на комментарий
red_butler Опубликовано 5 декабря, 2016 Поделиться Опубликовано 5 декабря, 2016 Полечили гаиморит без ЛОР. Срок наблюдения 6 месяцев. Теперь на очереди 2.7 Класс Ссылка на комментарий
Л Ю С Я Опубликовано 5 декабря, 2016 Поделиться Опубликовано 5 декабря, 2016 КлассДа, очень показательно. Хотя пациентка сначала не верила в успех, поэтому от лечения 2.7 отказалась. 10 лет мучений, не знаю ,почему лор не заподозрил одонтогенный. Пришла начитавшись Интернета про причины гайморита. Видимо не зря читала))) Ссылка на комментарий
Ico Опубликовано 5 декабря, 2016 Поделиться Опубликовано 5 декабря, 2016 Полечили гаиморит без ЛОР. Срок наблюдения 6 месяцев. Теперь на очереди 2.7 Отличный результат! Ссылка на комментарий
Л Ю С Я Опубликовано 5 декабря, 2016 Поделиться Опубликовано 5 декабря, 2016 Отличный результат! Спасибо. Немало соплей вышло из канала))) Ссылка на комментарий
Ico Опубликовано 5 декабря, 2016 Поделиться Опубликовано 5 декабря, 2016 Спасибо. Немало соплей вышло из канала)))ЛЮСЯ а протокол!?!) На каком уровне была обработка,раскрыты ли апексы,до какого номера расширялись,на кальции вели? Ссылка на комментарий
Л Ю С Я Опубликовано 5 декабря, 2016 Поделиться Опубликовано 5 декабря, 2016 Все стандартно, растворы хлорка, эдта,апексы пал-50, бук-40-45, от рд -0.5, кальций был 2 раза, петенси получено везде,первый раз во время обработки случайно вышла за апекс небного, как полилось.. ((((Минут 30 сопли. Симптомы ушли. Задышала. Через 2 недели как то влажно, ещё кальций, через 2 недели постоянная обтурация : пал- сквирт, бук- волна. Перед обтурацией ХГБ. Пациентка от коронки категорически отказывалась, сделали композитный оверлей. Сейчас собираемся перебирать 2.7, потом все равно заставлю коронки сделать. Кстати, заметила, если эндо сделано удачно, в пазухе достаточно быстро все восстанавливается 1 Ссылка на комментарий
Ico Опубликовано 5 декабря, 2016 Поделиться Опубликовано 5 декабря, 2016 Все стандартно, растворы хлорка, эдта,апексы пал-50, бук-40-45, от рд -0.5, кальций был 2 раза, петенси получено везде,первый раз во время обработки случайно вышла за апекс небного, как полилось.. ((((Минут 30 сопли. Симптомы ушли. Задышала. Через 2 недели как то влажно, ещё кальций, через 2 недели постоянная обтурация : пал- сквирт, бук- волна. Перед обтурацией ХГБ. Пациентка от коронки категорически отказывалась, сделали композитный оверлей. Сейчас собираемся перебирать 2.7, потом все равно заставлю коронки сделать. Кстати, заметила, если эндо сделано удачно, в пазухе достаточно быстро все восстанавливаетсяСпасибо! Ссылка на комментарий
ger_berra Опубликовано 5 декабря, 2016 Поделиться Опубликовано 5 декабря, 2016 Внимательно почитайте нашу дискуссию.....там изложен... мой случай, с описанием... и КТНе хочу повторяться.. если коротко, при лечении зубов с воспалением...прилежащих к гайморовой пазухенеобходимо учитывать , Характер воспаления( Первичное или хроническое) Топографию (положения корней зубов).. Степень вовлеченности в воспаление, пазухи ( Локальное увеличение слизистой или полное ) Сопутствующие а именно риногенные проблемы гайморовой пазухи ( Анатомия, микробиология и т.д.)Учитывая все ниже сказанное, процент удачного эндолечения ... будет ниже.чем в других участках, а неудачи могут привести к серьезным осложнениям, в синусе. Я редко захожу на форум и не все темы читаю.Но этот пост меня зацепил своей безрассудностью на фоне множества контраргументов.Характер воспаления в синусе ( первичное или хроническое ) Абсурд.Какая разница ? В первую очередь нужно определить- причина зуб или нет. Это раз.Топография. Правильно Люся сказала,что если стоматогенный синусит имеет место быть,значит надо с зубом решать проблемы.Если периодонтит лечибельный,то лечим по протоколу. Это два.Степень вовлеченности пазухи.Тут вообще трэш,господа! Для кого-то до сих пор секрет,что чем больше еды в канале для флоры,тем больше радиолюценция? Касаемо верхнечелюстного синуса: от одного необработанного МБ2 канала бактериальные токсины дают такой мощный иммунный ответ,что вся пазуха закрыта эксудатом! А если в процессе инструментации проткнуть файлом "незначительную гранулёму",то это на КЛКТ даёт так называемый "уровень жидкости",то есть просветление ,имеющее четкие горизонтальные границы в корональной и саггитальной плоскости.Это три.Сопутствующие риногенные проблемы стоматолог обязан дифференцировать и ,если мопед не его,то отправлять к ЛОРикам. Это четыре.Учитывая все ниже сказанное, процент удачного эндолечения ... Работайте с грамотными эндодонтистами и не спешите всё удалять,имплантирвать,резать и футболить к ЛОРам. 3 Ссылка на комментарий
vse32 Опубликовано 5 декабря, 2016 Поделиться Опубликовано 5 декабря, 2016 Класс!+1 Ссылка на комментарий
Гарриевич Опубликовано 5 декабря, 2016 Поделиться Опубликовано 5 декабря, 2016 Отлично)ЛЮСЯ, сколько по времени суммарно ушло на зуб? Ссылка на комментарий
Сева северный Опубликовано 5 декабря, 2016 Поделиться Опубликовано 5 декабря, 2016 (изменено) Отлично ... определяющим в вашем случае является клиника. Рентгенологически .. как мне видется, пазуха все еще вовлечена. Изменено 5 декабря, 2016 пользователем Сева северный Ссылка на комментарий
Сева северный Опубликовано 5 декабря, 2016 Поделиться Опубликовано 5 декабря, 2016 Я редко захожу на форум и не все темы читаю.Но этот пост меня зацепил своей безрассудностью на фоне множества контраргументов.Характер воспаления в синусе ( первичное или хроническое ) Абсурд.Какая разница ? В первую очередь нужно определить- причина зуб или нет. Это раз.Топография. Правильно Люся сказала,что если стоматогенный синусит имеет место быть,значит надо с зубом решать проблемы.Если периодонтит лечибельный,то лечим по протоколу. Это два.Степень вовлеченности пазухи.Тут вообще трэш,господа! Для кого-то до сих пор секрет,что чем больше еды в канале для флоры,тем больше радиолюценция? Касаемо верхнечелюстного синуса: от одного необработанного МБ2 канала бактериальные токсины дают такой мощный иммунный ответ,что вся пазуха закрыта эксудатом! А если в процессе инструментации проткнуть файлом "незначительную гранулёму",то это на КЛКТ даёт так называемый "уровень жидкости",то есть просветление ,имеющее четкие горизонтальные границы в корональной и саггитальной плоскости.Это три.Сопутствующие риногенные проблемы стоматолог обязан дифференцировать и ,если мопед не его,то отправлять к ЛОРикам. Это четыре.Учитывая все ниже сказанное, процент удачного эндолечения ... Работайте с грамотными эндодонтистами и не спешите всё удалять,имплантирвать,резать и футболить к ЛОРам.))))))) Ссылка на комментарий
ger_berra Опубликовано 6 декабря, 2016 Поделиться Опубликовано 6 декабря, 2016 )))))))Ответить нечего ? да?)))))))) Ссылка на комментарий
ger_berra Опубликовано 6 декабря, 2016 Поделиться Опубликовано 6 декабря, 2016 Отлично ... определяющим в вашем случае является клиника. Рентгенологически .. как мне видется, пазуха все еще вовлечена.Да до куя чего видится,когда не знаешь)Если долго смотреть в унитаз,то можно увидеть рубль.Но в попытке обогатиться ,можно этот рубль не найти) (с) Дмитрий Рогацкин 1 Ссылка на комментарий
Л Ю С Я Опубликовано 6 декабря, 2016 Поделиться Опубликовано 6 декабря, 2016 Да до куя чего видится,когда не знаешь)Если долго смотреть в унитаз,то можно увидеть рубль.Но в попытке обогатиться ,можно этот рубль не найти) (с) Дмитрий РогацкинАхаха, жестко. Но согласна абсолютно со всем выше сказанным gerr_berra Ссылка на комментарий
Л Ю С Я Опубликовано 6 декабря, 2016 Поделиться Опубликовано 6 декабря, 2016 Отлично)ЛЮСЯ, сколько по времени суммарно ушло на зуб?От начала инструментальной обработки до фиксации композитной накладки примерно1,5 месяцев Ссылка на комментарий
Сева северный Опубликовано 6 декабря, 2016 Поделиться Опубликовано 6 декабря, 2016 Ответить нечего ? да?)))))))) Да до куя чего видится,когда не знаешь)Если долго смотреть в унитаз,то можно увидеть рубль.Но в попытке обогатиться ,можно этот рубль не найти) (с) Дмитрий РогацкинОтвечать на провокациии.... Зачем? Классический метод . Байку рассказала,, на авторитета сослалась. Ссылка на комментарий
ger_berra Опубликовано 6 декабря, 2016 Поделиться Опубликовано 6 декабря, 2016 Отвечать на провокациии.... Зачем? Классический метод . Байку рассказала,, на авторитета сослалась.Начнём с того,что я не байки рассказываю,а привожу конкретные научно и клинически подтвержденные данные.А закончим моими пожеланиями Вам,как специалисту, к непрерывному обучению и анализу своей врачебной деятельности. Ссылка на комментарий
Л Ю С Я Опубликовано 6 декабря, 2016 Поделиться Опубликовано 6 декабря, 2016 Рентгенологически .. как мне видется, пазуха все еще вовлечена.Где? Ссылка на комментарий
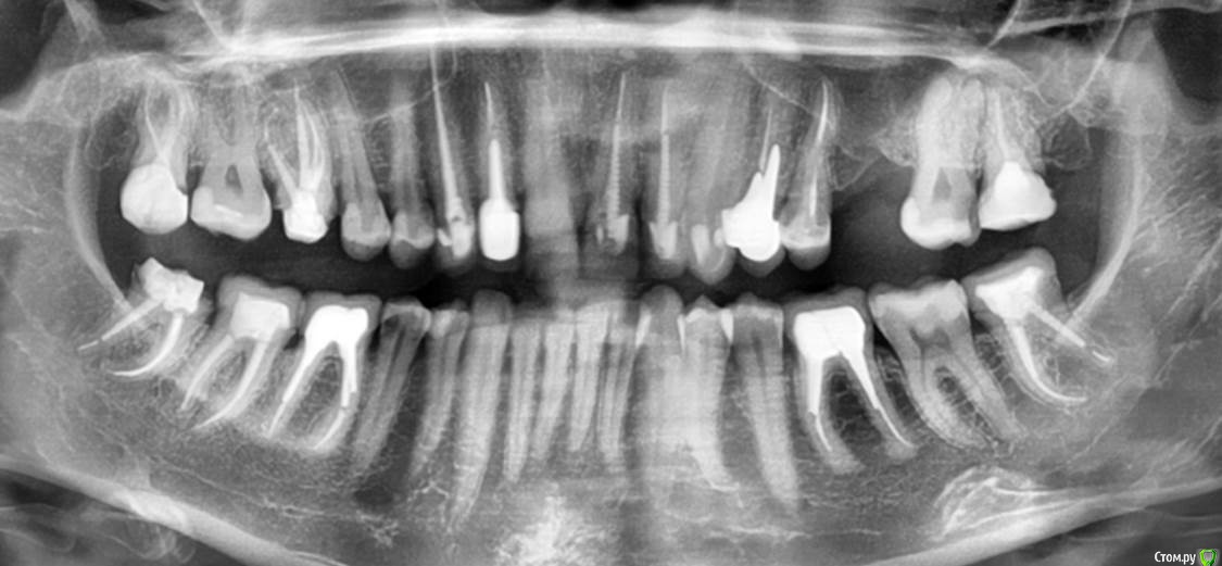
Сева северный Опубликовано 6 декабря, 2016 Поделиться Опубликовано 6 декабря, 2016 Начнём с того,что я не байки рассказываю,а привожу конкретные научно и клинически подтвержденные данные.А закончим моими пожеланиями Вам,как специалисту, к непрерывному обучению и анализу своей врачебной деятельности.Ну как же... а про про унитаз...Как то не красиво. Что касается обучения и образования можете не волноваться. Это происходит регулярно. Благодаря этому, а также опыту полученному в различных дисциплинах стоматологии я имею возможность иметь свое мнение, а также возможность его отстаивать. Многолетний ..не всегда положительный опыт, позволяет делать мне долгосрочные прогнозы. И , что не немаловажно, я могу подтвердить свои слова , доказательной базой. Например панорамным снимком с эндодонтическим лечением 10 летней давности. Ссылка на комментарий
Сева северный Опубликовано 6 декабря, 2016 Поделиться Опубликовано 6 декабря, 2016 Степень вовлеченности пазухи.Тут вообще трэш,господа Степень вовлеченности пазухи.Тут вообще трэш,господа! ... Под вовлеченностью , я понимаю ответ пазухи на воспаление исходящее от зуба располагающегося ... в непосредственной близости к ней..или интимно входящего неё. Для сравнения два моих случая, где зубы находились в непосредственной близости к синусу, но его реакция, была разной. Кстати.... воспаление .... ушло благодаря, проведенному эндолечению. Ссылка на комментарий
Рекомендуемые сообщения
Для публикации сообщений создайте учётную запись или авторизуйтесь
Вы должны быть пользователем, чтобы оставить комментарий
Создать аккаунт
Зарегистрируйте новый аккаунт в нашем сообществе. Это очень просто!
Регистрация нового пользователяВойти
Уже есть аккаунт? Войти в систему.
Войти