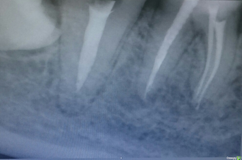
55dantist Опубликовано 21 ноября, 2015 Поделиться Опубликовано 21 ноября, 2015 Пациентка обратилась с острым периодонтитом. Обработка канала протейперами, гипохлор, вода,хлоргексидин. Апекслокатор показал верхушку. Запаковались латеральной конденсацией. А на снимке такая картина ((( Вопрос: Апекслокатор врет? Или на самом деле клиническая верхушка здесь? Кто-нибудь видит продолжение канала?П.с.: КЛКТ не предлагать( нет его по близости)П.п.с:пациентку отпустили с таким пломбированием, через три дня ничего не беспокоит. Ссылка на комментарий
DR.P Опубликовано 21 ноября, 2015 Поделиться Опубликовано 21 ноября, 2015 Скорее всего в этом месте было латеральное ответвление, вот апекс и пищал. Какой силлер? И почему вода? Ссылка на комментарий
55dantist Опубликовано 21 ноября, 2015 Автор Поделиться Опубликовано 21 ноября, 2015 силер seal apex, а вода за неимением лимонки и эдта( из соображений, что нельзя сразу после гипохлора хлоргексидином мыть).так все же ,критично такое "недопломбирование"?( Ссылка на комментарий
DOCTORARSEN Опубликовано 21 ноября, 2015 Поделиться Опубликовано 21 ноября, 2015 (изменено) силер seal apex, а вода за неимением лимонки и эдта( из соображений, что нельзя сразу после гипохлора хлоргексидином мыть).так все же ,критично такое "недопломбирование"?(после гипохлорита моем перекисью водорода(перекись инактивирует гипохлорит), а потом хлоргексидином.А раствор лимонной кислоты можно приготовить самому. Изменено 21 ноября, 2015 пользователем DOCTORARSEN 4 4 Ссылка на комментарий
DmitrySH Опубликовано 21 ноября, 2015 Поделиться Опубликовано 21 ноября, 2015 Если нет уверенности в аплоке, то лучше лишний раз с файлами на снимок сходить. Тоже думаю что пищал на широкую латераль. 1 Ссылка на комментарий
DR.P Опубликовано 21 ноября, 2015 Поделиться Опубликовано 21 ноября, 2015 силер seal apex, а вода за неимением лимонки и эдта( из соображений, что нельзя сразу после гипохлора хлоргексидином мыть).так все же ,критично такое "недопломбирование"?(так вы и не сказали, что за вода? Физ раствор? 1 1 Ссылка на комментарий
55dantist Опубликовано 22 ноября, 2015 Автор Поделиться Опубликовано 22 ноября, 2015 так вы и не сказали, что за вода? Физ раствор?Дистилированная вода. Ссылка на комментарий
Sampson Опубликовано 22 ноября, 2015 Поделиться Опубликовано 22 ноября, 2015 сделайте кт. Ссылка на комментарий
55dantist Опубликовано 23 ноября, 2015 Автор Поделиться Опубликовано 23 ноября, 2015 с радостью бы сделали) да вот для этого нужно проехать 250 км . а по словам пациента: лучше удалю, чем в город поеду.увы и ах!!! Ссылка на комментарий
ger_berra Опубликовано 24 ноября, 2015 Поделиться Опубликовано 24 ноября, 2015 Всё там нормально. Только перекисью не мойте. 1 Ссылка на комментарий
DOCTORARSEN Опубликовано 25 ноября, 2015 Поделиться Опубликовано 25 ноября, 2015 Всё там нормально. Только перекисью не мойте.а что вам не нравится в перекиси? Ссылка на комментарий
Bratok Опубликовано 26 ноября, 2015 Поделиться Опубликовано 26 ноября, 2015 а что вам не нравится в перекиси?Не феншуйно и не кашерно )))) Ссылка на комментарий
DOCTORARSEN Опубликовано 26 ноября, 2015 Поделиться Опубликовано 26 ноября, 2015 (изменено) Не феншуйно и не кашерно ))))а по мне лучше чем дистилированная вода которая не всегда стерильная Изменено 26 ноября, 2015 пользователем DOCTORARSEN Ссылка на комментарий
55dantist Опубликовано 26 ноября, 2015 Автор Поделиться Опубликовано 26 ноября, 2015 Всё там нормально. Только перекисью не мойте.А чем посоветуете промывать после гипохлорита? Ссылка на комментарий
Kolchanov Опубликовано 26 ноября, 2015 Поделиться Опубликовано 26 ноября, 2015 Мою перекисью 4 года, после гипохлорита и перед хлоргексидином. Все зашибись! 3 1 Ссылка на комментарий
ger_berra Опубликовано 26 ноября, 2015 Поделиться Опубликовано 26 ноября, 2015 Мою перекисью 4 года, после гипохлорита и перед хлоргексидином. Все зашибись.Как считаете,зачем газы в канале? Ссылка на комментарий
Kolchanov Опубликовано 26 ноября, 2015 Поделиться Опубликовано 26 ноября, 2015 Это не страшно. При промывке гипохлоритом, в результате контакта последнего с органикой, постоянно образуется газ. Что теперь, гипохлоритом не мыть? В конце-концов у нас есть Соломонов с его рекомендацией мыть таки перекисью иногда Ссылка на комментарий
DOCTORARSEN Опубликовано 27 ноября, 2015 Поделиться Опубликовано 27 ноября, 2015 Как считаете,зачем газы в канале?лично я после гипохлорита отсасываю без фанатизма пылесосом его у устьев корневых каналов, потом мою перекисью. И это ИМХО дает мне именно инактивацию гипохлорита, а не вымывание его из корневого канала(что может быть не полностью). При таком подходе газов образуется в малом количестве. А еще перекись какой-никакой антисептик, что не скажешь о дистилированной воде (которая не всегда стерильная) Ссылка на комментарий
Kolchanov Опубликовано 27 ноября, 2015 Поделиться Опубликовано 27 ноября, 2015 Вообще, интересно было бы услышать, что именно такого злого может сделать перекись. Пока никто толком и не сказал А вот реакция гипохлорита с лимонкой и ЭДТА тоже с образованием газа идет, но как-то вот никого не смущает. Ссылка на комментарий
DOCTORARSEN Опубликовано 27 ноября, 2015 Поделиться Опубликовано 27 ноября, 2015 Вообще, интересно было бы услышать, что именно такого злого может сделать перекись. Пока никто толком и не сказал А вот реакция гипохлорита с лимонкой и ЭДТА тоже с образованием газа идет, но как-то вот никого не смущает. ИМХО просто у людей с универа остался тот осадок, когда нем преподаватели говорили, что не надо корневой канал мыть перекисью. Так как перекись слаб гипохлорита и от него может быть эмфизема. Хотя в истории зафиксированы случаи эмфиземы и от гипохлорита. Ссылка на комментарий
ger_berra Опубликовано 30 ноября, 2015 Поделиться Опубликовано 30 ноября, 2015 перекись какой-никакой антисептикТак лучше какой какой эффективной лимонкой или ЭДТА после помыть?ЭДТА тоже газует сразу после хлорки.Между ними водой помыть на эндочаке.А то от газов,которые за апекс улетают,пациенту больно бывает. Ссылка на комментарий
ger_berra Опубликовано 30 ноября, 2015 Поделиться Опубликовано 30 ноября, 2015 И еще про хлорку.Она весьма недолго в канале активна,т.к. при контакте с белками быстро вступает с ними в химическую реакцию и распадается.Поэтому хлорку надо часто обновлять при ирригации. Ссылка на комментарий
dima3M Опубликовано 1 декабря, 2015 Поделиться Опубликовано 1 декабря, 2015 Одновременно работая с Rypex и Моритой заметил, что в таких случаях Райпекс врет чаще (при широких каналах).Рентген и бумажный штифт с "кровяной пробой" помогают точнее локализовать апекс.( и в случве конфликта, тьфу тьфу тьфу...не снимок ли будет критерием оценки результата?) Ссылка на комментарий
DmitrySH Опубликовано 1 декабря, 2015 Поделиться Опубликовано 1 декабря, 2015 У Мориты хорошие аплоки. Бывает приверают, но достаточно редко.За последние 6 лет - только 2 раза Морита меня обманула и сильно вылетел за пределы. А "кровяная проба" это уже фейл, это значит что констрикцию изнасиловали. Ну или пульпу не убрали полностью. 1 Ссылка на комментарий
Рекомендуемые сообщения
Для публикации сообщений создайте учётную запись или авторизуйтесь
Вы должны быть пользователем, чтобы оставить комментарий
Создать аккаунт
Зарегистрируйте новый аккаунт в нашем сообществе. Это очень просто!
Регистрация нового пользователяВойти
Уже есть аккаунт? Войти в систему.
Войти