St. Опубликовано 18 июля, 2015 Поделиться Опубликовано 18 июля, 2015 Пациент слегка удивил. Пришел продолжать лечение. Типа у него там лекарство оставляли, ...на год!.. И надо закончить зубы. Открыла, в 5 оказалась гутта , которую долго выковыривала из средней трети, где каналы сходятся. Вроде в итоге убрала. В моляре остатки метапекса или что-то подобное (желтая паста какая-то). Лечился у нас.Пацу ничего не сказала, посчитала только пломбировку. Вот сижу и думаю, надо ли было что-то рассказывать? 4 Ссылка на комментарий
Fred Опубликовано 18 июля, 2015 Поделиться Опубликовано 18 июля, 2015 Устья глубже отжимайте, не оставляйте гутту в контакте с полостью пульпы - это гарантированный провал, как только реставрация даст "течку". Ссылка на комментарий
St. Опубликовано 18 июля, 2015 Автор Поделиться Опубликовано 18 июля, 2015 Спасибо за совет. Учту) Только там на оба коронки будут. И скорее всего с "армированием" анкерами , так что их уже ничего не спасет Кстати чем вы отжигаете? Какая альтернатива термоплагеру(нет его) и ультразвуку. Обычным нагретым инструментом глубоко не выходит. Ссылка на комментарий
Audutor Опубликовано 18 июля, 2015 Поделиться Опубликовано 18 июля, 2015 Ставьте стекловолокно, зачем эти железки в зубах на сегодняшний день... Я загоняю гутту отрезаю ультразвуком устье, потом использую гуттаконденсор, и трамбую плагером, так оно глубже и качественней выходит, особенно если анатомия канала нестандартна, овал итдЕсть термообтуратор, термоплагер помер впрочем вертикалке еще учиться предстоит... Ссылка на комментарий
ромашечка Опубликовано 19 июля, 2015 Поделиться Опубликовано 19 июля, 2015 (изменено) Устья глубже отжимайте, не оставляйте гутту в контакте с полостью пульпы - это гарантированный провал, как только реставрация даст "течку".Мож ете объяснить . Не понимаю. Отжать глубоко - и залить композитом?? Так больше шансов , что не даст течку- так как углубление? Кстати чем вы отжигаете? Какая альтернатива термоплагеру(нет его) и ультразвуку. Обычным нагретым инструментом глубоко не выходит. У меня есть плагеры ручные - на ручке по типу зонда, разных размеров. Нагреваю на зажигалке и отжигаю. Иногда тонким штопфером. Теоритически можно зонд подпилить, что б площадка была горизонтальная как у плагера. Изменено 19 июля, 2015 пользователем ромашечка Ссылка на комментарий
St. Опубликовано 19 июля, 2015 Автор Поделиться Опубликовано 19 июля, 2015 Мож ете объяснить . Не понимаю. Отжать глубоко - и залить композитом?? Так больше шансов , что не даст течку- так как углубление? Да, залить композитом. Больше шансов, потому что композит приклеен к дентину и изолирует гутту от внешней среды при разгерметизации. Ссылка на комментарий
St. Опубликовано 19 июля, 2015 Автор Поделиться Опубликовано 19 июля, 2015 Ставьте стекловолокно, зачем эти железки в зубах на сегодняшний день... По-моему там показания к вкладкам.Но я ортопедией не занимаюсь. Ссылка на комментарий
ромашечка Опубликовано 19 июля, 2015 Поделиться Опубликовано 19 июля, 2015 (изменено) потому что композит приклеен к дентину А если не глубоко отжать, а просто на уровне устья- разве не то же самое - композит приклеен к дентину? Вроде какая-то связь есть с уровнем десны? не могу вспомнить контакте с полостью пульпы- я вот это не поняла. Изменено 19 июля, 2015 пользователем ромашечка Ссылка на комментарий
sydnik Опубликовано 19 июля, 2015 Поделиться Опубликовано 19 июля, 2015 Устья глубже отжимайте, не оставляйте гутту в контакте с полостью пульпы - это гарантированный провал, как только реставрация даст "течку". Объясните пожалуйста . 1 Ссылка на комментарий
Гарриевич Опубликовано 20 июля, 2015 Поделиться Опубликовано 20 июля, 2015 Фред имеет в виду, что после обтурации устьевая часть каналов на 2 мм должна быть лишена гутты и заизолированна (композит, цемент, амальгама) Ссылка на комментарий
sydnik Опубликовано 20 июля, 2015 Поделиться Опубликовано 20 июля, 2015 Фред имеет в виду, что после обтурации устьевая часть каналов на 2 мм должна быть лишена гутты и заизолированна (композит, цемент, амальгама) а где можно почитать об этом?может исследования какие? Ссылка на комментарий
Гарриевич Опубликовано 20 июля, 2015 Поделиться Опубликовано 20 июля, 2015 исследования бесспорно есть, но у меня их в наличии неттут можно просто логически поразмыслитьадзезия к дентину у композита приличная, у гутты не приличнаяи модули жесткости, упругости у гутты не годится для коронковой части зуба, в том числе и полости зуба 5 Ссылка на комментарий
ромашечка Опубликовано 20 июля, 2015 Поделиться Опубликовано 20 июля, 2015 Можно наверное посчитать и так. Если устье диаметром допустим 1 мм и глубиной 2мм- площадь адгезии с дентином стенок 6.28 мм квадратных. Ссылка на комментарий
St. Опубликовано 24 июля, 2015 Автор Поделиться Опубликовано 24 июля, 2015 Пациентке установлен мк мост 3 года назад. За это время пару раз слетал. Клеили обратно. Как и почему так - не спрашивайте, не знаю.Обратилась с болью при накусывании и небольшой припухлостью щеки. Мост было решено не трогать. После кальция симптоматика ушла полностью. На снимках до и в процессе резорбцию не видела. (Как же я хочу визиограф!!!!!! ну или пленку другую в крайнем случае)Неприятный сюрприз по финалу паковки((Рассказала о всех вариантах в будущем. Доступ закрыла композитом. Через 6 мес вызову на контроль. 1 Ссылка на комментарий
NinaK Опубликовано 24 июля, 2015 Поделиться Опубликовано 24 июля, 2015 Пациентке установлен мк мост 3 года назад. За это время пару раз слетал. Клеили обратно. Как и почему так - не спрашивайте, не знаю.Обратилась с болью при накусывании и небольшой припухлостью щеки. Мост было решено не трогать. После кальция симптоматика ушла полностью. На снимках до и в процессе резорбцию не видела. (Как же я хочу визиограф!!!!!! ну или пленку другую в крайнем случае)Неприятный сюрприз по финалу паковки((Рассказала о всех вариантах в будущем. Доступ закрыла композитом. Через 6 мес вызову на контроль.Я б мост сняла. Ибо если слетает- есть проблемы. Ну и сюрприз, ИМХО, незначительный Ссылка на комментарий
St. Опубликовано 24 июля, 2015 Автор Поделиться Опубликовано 24 июля, 2015 Я б мост сняла. Ибо если слетает- есть проблемы. Я б тоже сняла, но есть причины от меня не зависящие.. Ссылка на комментарий
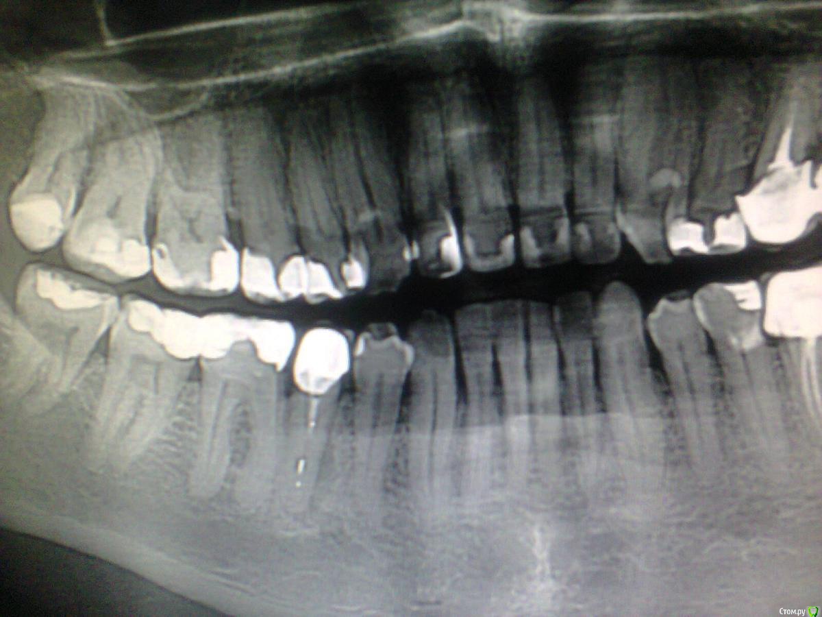
St. Опубликовано 27 июля, 2015 Автор Поделиться Опубликовано 27 июля, 2015 Как думаете, в 45 трещина или латераль? А то слишком форма разряжения подозрительная...Зуб лечился давно, не беспокоит. Обнаружили на орто. Ссылка на комментарий
Bratok Опубликовано 27 июля, 2015 Поделиться Опубликовано 27 июля, 2015 Как думаете, в 45 трещина или латераль? А то слишком форма разряжения подозрительная...Зуб лечился давно, не беспокоит. Обнаружили на орто.Обычно очаги такой локализации наводят на мысль о трещине, может стоит сделать кт? Ссылка на комментарий
NinaK Опубликовано 28 июля, 2015 Поделиться Опубликовано 28 июля, 2015 Обычно очаги такой локализации наводят на мысль о трещине, может стоит сделать кт?Ну и плюс оптика, ибо трещины, к сожалению, не всегда видны даже на КТ... Ссылка на комментарий
Bratok Опубликовано 28 июля, 2015 Поделиться Опубликовано 28 июля, 2015 (изменено) Ну и плюс оптика, ибо трещины, к сожалению, не всегда видны даже на КТ...Оптика так же не панацея Изменено 28 июля, 2015 пользователем Bratok Ссылка на комментарий
St. Опубликовано 28 июля, 2015 Автор Поделиться Опубликовано 28 июля, 2015 На кт отправлен сразу же.Посмотрим. Просто форма разряжения.... Думаю, что пациенту перед вмешательством рассказывать, и к чему готовить, поэтому интересно мнение со стороны.Видимо готовить к худшему Ссылка на комментарий
NinaK Опубликовано 28 июля, 2015 Поделиться Опубликовано 28 июля, 2015 Оптика так же не панацеяЧто же тогда панацея? Именно для диагностики трещин? Ссылка на комментарий
Гарриевич Опубликовано 28 июля, 2015 Поделиться Опубликовано 28 июля, 2015 Ну и плюс оптика, ибо трещины, к сожалению, не всегда видны даже на КТ...на КТ трещины не будет видноесли конечно она размером не с боинг 1 Ссылка на комментарий
Гарриевич Опубликовано 28 июля, 2015 Поделиться Опубликовано 28 июля, 2015 На кт отправлен сразу же.Посмотрим. Просто форма разряжения.... Думаю, что пациенту перед вмешательством рассказывать, и к чему готовить, поэтому интересно мнение со стороны.Видимо готовить к худшему прицел не делали? Ссылка на комментарий
Donny Опубликовано 29 июля, 2015 Поделиться Опубликовано 29 июля, 2015 Возможно все таки латераль учитывая качество пломбирования, кт не помешает в целом, а в конкретном зубе только вскрытие покажет. Ссылка на комментарий
Рекомендуемые сообщения
Для публикации сообщений создайте учётную запись или авторизуйтесь
Вы должны быть пользователем, чтобы оставить комментарий
Создать аккаунт
Зарегистрируйте новый аккаунт в нашем сообществе. Это очень просто!
Регистрация нового пользователяВойти
Уже есть аккаунт? Войти в систему.
Войти