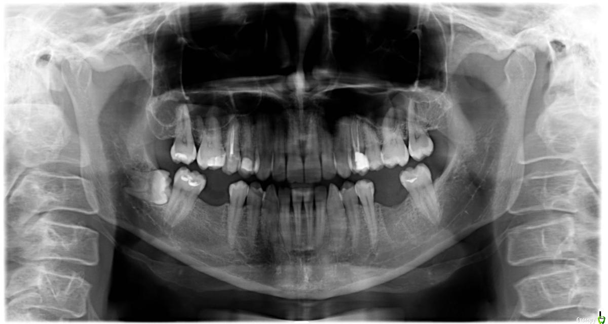
kamranchick Опубликовано 5 апреля, 2015 Поделиться Опубликовано 5 апреля, 2015 добрый день.Можно ли ортодонтически вытащить 8ой зуб на место 7, а 7ой на место 6гоИ будет ли потеря чувствительности после ретракции? судя по снимку травма будет значительная Ссылка на комментарий
Фарид Расулыч Опубликовано 5 апреля, 2015 Поделиться Опубликовано 5 апреля, 2015 а какая цель идти столь долгим и тернистым путем? 5 Ссылка на комментарий
Kolchanov Опубликовано 5 апреля, 2015 Поделиться Опубликовано 5 апреля, 2015 Я проще задачу ставил - http://forum.stom.ru/topic/26439-podvinut-8ye-na-mesto-7kh/Но ортодонты даже за это браться не хотят. Наклонить могут, подвинуть - фиг. 1 Ссылка на комментарий
Bier Опубликовано 5 апреля, 2015 Поделиться Опубликовано 5 апреля, 2015 Нельзя 3 Ссылка на комментарий
m.d.n Опубликовано 5 апреля, 2015 Поделиться Опубликовано 5 апреля, 2015 Это невозможно. Ссылка на комментарий
krokomot Опубликовано 5 апреля, 2015 Поделиться Опубликовано 5 апреля, 2015 Ортодонтия нужна, но насчет восьмерки как-то сомнительно. слева зачем двигать семерку, если нужен либо протез либо имплант. Мой ортодонт берется за восьмерки, но насчет этой нужно спросить. Ссылка на комментарий
Чертков Александр Опубликовано 6 апреля, 2015 Поделиться Опубликовано 6 апреля, 2015 а какая цель идти столь долгим и тернистым путем? В чем проблема удалить 8ой зуб? Ссылка на комментарий
Magomed Опубликовано 6 апреля, 2015 Поделиться Опубликовано 6 апреля, 2015 Нельзяпочему? я думаю если задаст.целью то можно. А что не стоит это точно. Ссылка на комментарий
Jurai Опубликовано 6 апреля, 2015 Поделиться Опубликовано 6 апреля, 2015 Зачем? Экономия на имплантатах за счет ортодонтии? Сомнительная экономия) Ссылка на комментарий
Bier Опубликовано 6 апреля, 2015 Поделиться Опубликовано 6 апреля, 2015 почему? я думаю если задаст.целью то можно. А что не стоит это точно.подъедет полунаклоненный зуб с резорбированными корнями, через 3 года )) 6 Ссылка на комментарий
Фарид Расулыч Опубликовано 6 апреля, 2015 Поделиться Опубликовано 6 апреля, 2015 В чем проблема удалить 8ой зуб? Саш, вообще никаких проблем) Ссылка на комментарий
kamranchick Опубликовано 7 апреля, 2015 Автор Поделиться Опубликовано 7 апреля, 2015 Боюсь не справлюсь с таким удалением. скажу вам честно Ссылка на комментарий
Фарид Расулыч Опубликовано 7 апреля, 2015 Поделиться Опубликовано 7 апреля, 2015 Глаза боятся руки делают, начинать когда то надо. Сделайте КТ, запаситесь борами подлиннее и карты вам в руки. Удачи!) 2 Ссылка на комментарий
kladoffka Опубликовано 7 апреля, 2015 Поделиться Опубликовано 7 апреля, 2015 Глаза боятся руки делают, начинать когда то надо. согласен, все когда то начинали так же. я вот такие зубы в госке без КТ начинал удалять тьфу-тьфу, парестезии ни у кого не было) да и сейчас нет-нет, да удаляю такие. Главное доступ сделайте получше. Меня вот предыдущий хирург называл микрохирургом - я вечно маленькие разрезы делал, в следствии чего было не очень удобно и и долго. Теперь Разрезы побольше, времени все меньше занимает. 1 Ссылка на комментарий
kamranchick Опубликовано 7 апреля, 2015 Автор Поделиться Опубликовано 7 апреля, 2015 Сам работаю в поликлиннике, кроме долот элеваторов и щипцов ничего нет.Думаю попробую взять портативную машинку и вот такой план будетРезекция костного участка, распил коронки, потом с помощью долота разделить корни, помоему их там 3 и вытащить с помощью элеваторов.Какие будут комментарии? Ссылка на комментарий
Фарид Расулыч Опубликовано 7 апреля, 2015 Поделиться Опубликовано 7 апреля, 2015 Ну долотить то уж не надо) можно так же распилить. Прямой наконечник использую. Есть книжка, квалифицированное удаление третих моляров. Сам не читал но говорят нормальная. 1 Ссылка на комментарий
kamranchick Опубликовано 7 апреля, 2015 Автор Поделиться Опубликовано 7 апреля, 2015 Ну долотить то уж не надо) можно так же распилить. Прямой наконечник использую.Есть книжка, квалифицированное удаление третих моляров. Сам не читал но говорят нормальная.Есть у меня, там как раз и написано что корни разделить с помощью ударом долота) Казасаки автор, если мы про этот учебник говорим. Ссылка на комментарий
Фарид Расулыч Опубликовано 7 апреля, 2015 Поделиться Опубликовано 7 апреля, 2015 (изменено) Вам не кажется это через чур варварским?) не расчитав силу можно и челюсть разделить)) Изменено 7 апреля, 2015 пользователем Фарид Расулыч Ссылка на комментарий
kamranchick Опубликовано 7 апреля, 2015 Автор Поделиться Опубликовано 7 апреля, 2015 в учебнике написано в какой то главе,что при использовании турбины мможно получить эмфизему, и отходить пациент долго будет от такого удаления))) Ссылка на комментарий
kladoffka Опубликовано 7 апреля, 2015 Поделиться Опубликовано 7 апреля, 2015 А долотом можете компрессию нерва сделать и если парестезия останется на всю жизнь, то эмфизема пройдет за неделю. Плюс ударами неплохо по внчс отдаёт 4 Ссылка на комментарий
Kev Опубликовано 7 апреля, 2015 Поделиться Опубликовано 7 апреля, 2015 Помню как удаляли такие зубы портативной бормашиной с прямым наконечником, тупыми борами и одним прямым элеватором в члх будучи интерном, сейчас страшно вспомнить. Распилить зуб было непозволительной роскошью. И самое главное все удаляли минут за 30-40=)) 2 Ссылка на комментарий
kladoffka Опубликовано 7 апреля, 2015 Поделиться Опубликовано 7 апреля, 2015 Помню как удаляли такие зубы портативной бормашиной с прямым наконечником, тупыми борами и одним прямым элеватором в члх будучи интерном, сейчас страшно вспомнить. Распилить зуб было непозволительной роскошью. И самое главное все удаляли минут за 30-40=))А мы в члх до сих пор так удаляем) 2 Ссылка на комментарий
Чертков Александр Опубликовано 7 апреля, 2015 Поделиться Опубликовано 7 апреля, 2015 Саш, вообще никаких проблем)Фарид, я лишь добавил к твоему вопросу......тоже не вижу проблемы. Экстракция 8го и далее по плану... 1 Ссылка на комментарий
Alexey Doc Опубликовано 7 апреля, 2015 Поделиться Опубликовано 7 апреля, 2015 А мы в члх до сих пор так удаляем) скажу больше! в ЧЛХ еще долго такие зубы будут удалять прямым элеватором и долотом и всего за 30-40 минут)) 1 Ссылка на комментарий
Малик Опубликовано 7 апреля, 2015 Поделиться Опубликовано 7 апреля, 2015 Коль уж заговорили про турбинку и эмфиземы... Кто секционирует зуб турбинкой и как часто это осложнялось эмфиземой? 1 Ссылка на комментарий
Рекомендуемые сообщения
Для публикации сообщений создайте учётную запись или авторизуйтесь
Вы должны быть пользователем, чтобы оставить комментарий
Создать аккаунт
Зарегистрируйте новый аккаунт в нашем сообществе. Это очень просто!
Регистрация нового пользователяВойти
Уже есть аккаунт? Войти в систему.
Войти