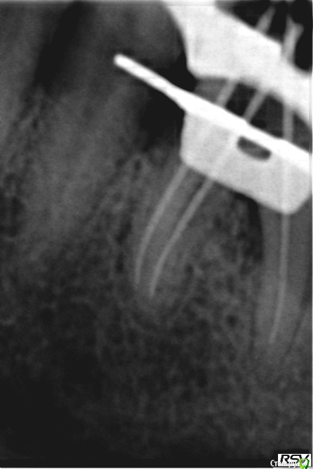
Ирина Игоревна Опубликовано 10 марта, 2015 Поделиться Опубликовано 10 марта, 2015 В сентябре в клинику обратилась пациентка,поставлен диагноз хр. пульпит.Протокол лечения: коффердам,обработка каналов ProFile 15.04,20,04,25.04,25.06,35.04,40.04. Упор не доходя 1мм 40.02. Медикаментозная обработка 3%р-ом гипохлорита натрия, после каждого инструмента замена раствора. Финишная мойка гипохлоритом натрия с активацией УЗ,дистиллированная вода,40%р-р лимонной кислоты с активацией УЗ,дистиллированная вода,спирт.Обтурация методом латеральной компакции,силлер АН+.В это же посещение постоянная реставрация "Филтек 550". Жалоб сразу после лечения не предъявляла.Спустя пол года обратилась вновь с жалобой на припухлость десны.Сделала снимок и в легком шоке.В чем может быть причина такой резорбции?недопломбировка?может недомыла,хотя мою всегда на совесть.Или же проблема в пародонте.Перкуссия отрицательна.Слизистая гиперемирована,отечна.Пока отпустила с каласептом Ссылка на комментарий
Dmitriy84 Опубликовано 10 марта, 2015 Поделиться Опубликовано 10 марта, 2015 Тут можно всякое предполагать, но зуб на вылет имхо.Вы со своим протоколом в любом случае сделали всё, что смогли. Ссылка на комментарий
Ирина Игоревна Опубликовано 10 марта, 2015 Автор Поделиться Опубликовано 10 марта, 2015 Пока попробую провести на каласепте,потянуть время так сказать,подумать как подготовить пациента Ссылка на комментарий
Гарриевич Опубликовано 10 марта, 2015 Поделиться Опубликовано 10 марта, 2015 скорее всего трещинц пропустили, или зуб треснул после лечениябугры перекрыввли? 3 Ссылка на комментарий
Ирина Игоревна Опубликовано 10 марта, 2015 Автор Поделиться Опубликовано 10 марта, 2015 да,у депульпированных зубов всегда все бугры перекрываю.Рекомендовала ортопедическое лечение,но пациентка тогда не была готова.Видимо,к лучшему Ссылка на комментарий
faity Опубликовано 10 марта, 2015 Поделиться Опубликовано 10 марта, 2015 пароинфекцию исключили в первый визит? что там с гигиеной? Ссылка на комментарий
kriokov Опубликовано 10 марта, 2015 Поделиться Опубликовано 10 марта, 2015 скорее всего трещинц пропустили А пародонтит не может такую картинку дать? Карман вроде был до эндодонтии 2 Ссылка на комментарий
SDC Опубликовано 10 марта, 2015 Поделиться Опубликовано 10 марта, 2015 (изменено) Снимки в разных проекциях, размытые, нет многих объективных данных, 550 - в общем случай не для серьезного обсуждения, а для погадать Изменено 10 марта, 2015 пользователем SDC 2 Ссылка на комментарий
Гарриевич Опубликовано 10 марта, 2015 Поделиться Опубликовано 10 марта, 2015 А пародонтит не может такую картинку дать? Карман вроде был до эндодонтии Оптг бы глянуть и снимки до лечения 2 Ссылка на комментарий
Dmitriy84 Опубликовано 10 марта, 2015 Поделиться Опубликовано 10 марта, 2015 Пока попробую провести на каласепте,потянуть время так сказать,подумать как подготовить пациента Если есть информированное согласие на эндо, то не надо думать.Если его нет, объясните ситуацию и предложите типа скидку на имла или пластику. Не тяните время, больше переживаний. Ссылка на комментарий
molchanoff Опубликовано 11 марта, 2015 Поделиться Опубликовано 11 марта, 2015 судя по фото контакты отсутствуют, вот и причина. Ссылка на комментарий
Ирина Игоревна Опубликовано 11 марта, 2015 Автор Поделиться Опубликовано 11 марта, 2015 судя по фото контакты отсутствуют, вот и причина.То есть если восстановить контакты,есть надежда что зуб будет жить? Ссылка на комментарий
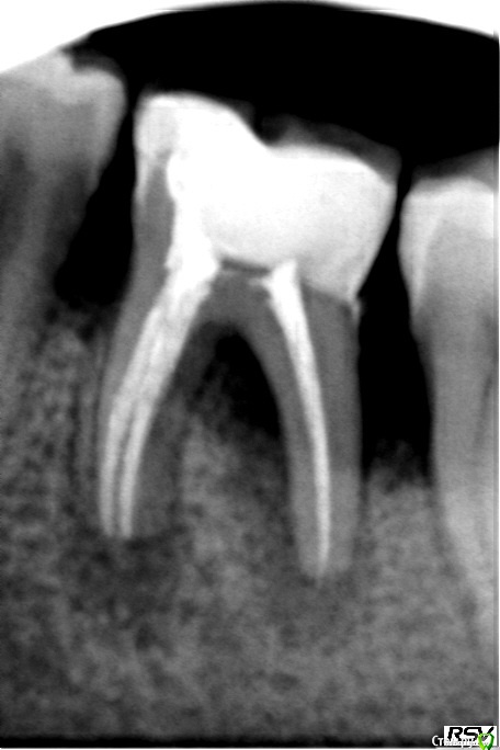
Ирина Игоревна Опубликовано 11 марта, 2015 Автор Поделиться Опубликовано 11 марта, 2015 Оптг бы глянуть и снимки до леченияДо лечения снимок к сожалению не делали,вечером могу скинуть снимок с инструментами в 1посещение Ссылка на комментарий
Паращук Роман Опубликовано 11 марта, 2015 Поделиться Опубликовано 11 марта, 2015 Имхо разная проекция,контраст + наложение клампа дали визуальную разницу. Ссылка на комментарий
Ирина Игоревна Опубликовано 11 марта, 2015 Автор Поделиться Опубликовано 11 марта, 2015 с мастер штифтами в 1 посещение,дистальный потом доработала Ссылка на комментарий
Гарриевич Опубликовано 11 марта, 2015 Поделиться Опубликовано 11 марта, 2015 Имхо разная проекция,контраст + наложение клампа дали визуальную разницу. похоже на то Ссылка на комментарий
molchanoff Опубликовано 11 марта, 2015 Поделиться Опубликовано 11 марта, 2015 То есть если восстановить контакты,есть надежда что зуб будет жить?наверно уже нет.Зуб живет в связке с парадонтом.Нет фундамента. Ссылка на комментарий
megaguru Опубликовано 11 марта, 2015 Поделиться Опубликовано 11 марта, 2015 Почему "ПРОВАЛ"?имхо Вы сделали все что могли. Изначально зуб был уже одной ногой у хирурга в кабинете. Наверняка фрактура. Коронка и контакты продлили бы агонию не надолго. Ссылка на комментарий
DR.P Опубликовано 16 марта, 2015 Поделиться Опубликовано 16 марта, 2015 отсутствие контактов дало резорбцию перегородок, соответственно дальше пошла перегрузка зоны бифуркации - ушла и она. Меня еще интересует антагонист - не импантат случайно? Ссылка на комментарий
Ирина Игоревна Опубликовано 17 марта, 2015 Автор Поделиться Опубликовано 17 марта, 2015 нет,антагонист интактный зуб.Пациентка приходила,жалоб никаких нет,свищ закрылся.Еще раз всё обработала и закрыли на постоянку под наблюдение. Периодически жалуется на кровоточивость десен,впервые возникшую в подростковом возрасте.В планах проф гигиена Ссылка на комментарий
DR.P Опубликовано 17 марта, 2015 Поделиться Опубликовано 17 марта, 2015 Йодгликоль творит чудеса Ссылка на комментарий
faity Опубликовано 17 марта, 2015 Поделиться Опубликовано 17 марта, 2015 нет,антагонист интактный зуб.Пациентка приходила,жалоб никаких нет,свищ закрылся.Еще раз всё обработала и закрыли на постоянку под наблюдение. Периодически жалуется на кровоточивость десен,впервые возникшую в подростковом возрасте.В планах проф гигиенаЮвенильный пародонтит хуже всего. Посоветуйтесь со Смоляниновой, может присоветует чего Ссылка на комментарий
Ирина Игоревна Опубликовано 18 марта, 2015 Автор Поделиться Опубликовано 18 марта, 2015 Пациентке на данный момент 36лет Ссылка на комментарий
Ирина Игоревна Опубликовано 18 марта, 2015 Автор Поделиться Опубликовано 18 марта, 2015 Ювенильный пародонтит хуже всего. Посоветуйтесь со Смоляниновой, может присоветует чегоПростите,а как найти Смолянинову? Ссылка на комментарий
faity Опубликовано 19 марта, 2015 Поделиться Опубликовано 19 марта, 2015 (изменено) Простите,а как найти Смолянинову?ник на форуме- Ст@ся Изменено 19 марта, 2015 пользователем faity Ссылка на комментарий
Рекомендуемые сообщения
Для публикации сообщений создайте учётную запись или авторизуйтесь
Вы должны быть пользователем, чтобы оставить комментарий
Создать аккаунт
Зарегистрируйте новый аккаунт в нашем сообществе. Это очень просто!
Регистрация нового пользователяВойти
Уже есть аккаунт? Войти в систему.
Войти