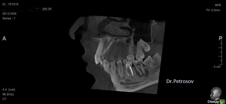
Dr.Feliks Опубликовано 11 февраля, 2015 Поделиться Опубликовано 11 февраля, 2015 Парнишка, мой сослуживец, пришел на плановый осмотр. В области зуба 3.7 увидал пародонтальный абсцесс у маргинального края десны. Со слов не беспокоит вообще, чувствует непонятный дискомфорт, но живет активной жизнью - не обращает внимание на мелочи)))Делаем КТ.На 3-м снимке результат лечения через 6 месяцев. Жду критики. Ссылка на комментарий
АнтонТЛТ Опубликовано 11 февраля, 2015 Поделиться Опубликовано 11 февраля, 2015 Может всё-таки контактный пункт нормальным сделать? 2 Ссылка на комментарий
SSTi Опубликовано 11 февраля, 2015 Поделиться Опубликовано 11 февраля, 2015 Опишите протокол инструментации/ирригации. Что чем до каких размеров на какую длину, чем и когда мыли и тд. 8 ждет)Конечно хорошо бы и прицельный увидеть пол года назад. Или кт сейчас. Результат хороший. 1 1 Ссылка на комментарий
shishok Опубликовано 11 февраля, 2015 Поделиться Опубликовано 11 февраля, 2015 Удаление 8го в планах есть? Ссылка на комментарий
Dr.Feliks Опубликовано 11 февраля, 2015 Автор Поделиться Опубликовано 11 февраля, 2015 Может всё-таки контактный пункт нормальным сделать?снимок сделан со старой реставрацией, не было времени на преэндо перед лечением, да и десна была не в самом лучшем виде. Потом полностью менял реставрацию. Как пациент появиться на контр.осмотр - контроль кт выложу Ссылка на комментарий
Dr.Feliks Опубликовано 11 февраля, 2015 Автор Поделиться Опубликовано 11 февраля, 2015 Удаление 8го в планах есть?да....но он лечиться по мере поступления денежных средств и появления желания. Повезло, что я его затащил на прием Ссылка на комментарий
Dr.Feliks Опубликовано 11 февраля, 2015 Автор Поделиться Опубликовано 11 февраля, 2015 Опишите протокол инструментации/ирригации. Что чем до каких размеров на какую длину, чем и когда мыли и тд.8 ждет)Конечно хорошо бы и прицельный увидеть пол года назад. Или кт сейчас. Результат хороший.работа проведена без микроскопа и другой оптики. Коффер, Вскрытие полости зуба, расширение устьев ProtyperSx, ковер ручками до 20 на рабочую длину, затем Protyper S1,S2, ProFile 35/06, 25/06, 35/04 не доходя 1 мм до рабочей длины. Оставшийся 1 мм ручками 35 К. Ирригация: хлорка, эдта, вода, хлоргексидин + УЗ. Временное пломбирование Calasept на 2 недели. Свищ закрылся. После весь протокол ирригации и обтурация вертикалкой под СИЦ (3-й снимок с СИЦ пломбой) Ссылка на комментарий
Dr.Feliks Опубликовано 16 февраля, 2015 Автор Поделиться Опубликовано 16 февраля, 2015 (изменено) Еще один интересный случай. Но перед тем, как описать его - снимок. Из клиники - жалобы на периодические ноющие боли в зубе. Объективно - зуб восстановлен пломбой на 2/3 площади коронки (девитальный, эндодонтия очень давно проводилась), в медиальных и дистальных поверхностях ниже уровня десневого края. Стенки тонкие, эмаль мягкая, хрупкая.Вопрос - стоит ли браться и как поступили бы Вы?Еще вопрос, коллеги, почему не могу создать еще темы для обсуждения? Приходится в этой теме размещать другой случай? Изменено 16 февраля, 2015 пользователем Dr.Feliks Ссылка на комментарий
St. Опубликовано 16 февраля, 2015 Поделиться Опубликовано 16 февраля, 2015 Насколько ниже уровня десны? Возможно ли технически удлинить коронку? Ссылка на комментарий
Olesov Опубликовано 16 февраля, 2015 Поделиться Опубликовано 16 февраля, 2015 прицельный бы снимок еще чтобы определить положение краев реставраций относительно кости Ссылка на комментарий
Гарриевич Опубликовано 16 февраля, 2015 Поделиться Опубликовано 16 февраля, 2015 мне теперь всюду мерещатся трещины зуб на что нить еще реагирует? 2 Ссылка на комментарий
Dr.Feliks Опубликовано 16 февраля, 2015 Автор Поделиться Опубликовано 16 февраля, 2015 Насколько ниже уровня десны? Возможно ли технически удлинить коронку?на 1-1.5 мм относительно маргинального края. технически восстановить зуб не проблема. Если имеет ввиду хирургическое удлинение клинической коронки, то нет необходимости - исходная клиническая коронка терпимой высоты. Ссылка на комментарий
Dr.Feliks Опубликовано 16 февраля, 2015 Автор Поделиться Опубликовано 16 февраля, 2015 прицельный бы снимок еще чтобы определить положение краев реставраций относительно костипостараюсь не забыть, завтра загружу Ссылка на комментарий
Dr.Feliks Опубликовано 16 февраля, 2015 Автор Поделиться Опубликовано 16 февраля, 2015 мне теперь всюду мерещатся трещины зуб на что нить еще реагирует?нет, в день приема вообще все нормально. Это из анамнеза, типа "периодически что то чувствую, как будто...может быть....". на самом деле все ровно, десна не отечна, крепитации или периостальной реакции (хронической) нет. Вообщем, меня смутил только внешний вид зуба (до КТ) Ссылка на комментарий
Dr.Feliks Опубликовано 17 февраля, 2015 Автор Поделиться Опубликовано 17 февраля, 2015 Как и обещал - снимок на этапе лечения зуба (до лечения только КТ - т.к. лечение было плановое). Ссылка на комментарий
Рекомендуемые сообщения
Для публикации сообщений создайте учётную запись или авторизуйтесь
Вы должны быть пользователем, чтобы оставить комментарий
Создать аккаунт
Зарегистрируйте новый аккаунт в нашем сообществе. Это очень просто!
Регистрация нового пользователяВойти
Уже есть аккаунт? Войти в систему.
Войти