Джима Опубликовано 29 июня, 2016 Поделиться Опубликовано 29 июня, 2016 с шефом повеселили как обезболиваете? проблема в чём конкретно? в том, что воспалено место инфильтрации? делайте инфраорбитально. буквально две недели назад довелось в 5 лет удалять 6.1 с сильнейшим отёком. по-хорошему, в ЧЛО надо было, но возможности не было, а парень хороший. вкол сделала где-то между клыком и четвёркой, палец на подглазничное отверстие и иглой идём под палец, под пальцем надуваем депо, не больше кубика, ждём. я ждала минут 7-8, на всякий случай. Ссылка на комментарий
Джима Опубликовано 29 июня, 2016 Поделиться Опубликовано 29 июня, 2016 почему вкол так далеко - отёк обходила, по кругу. а так, колите, где западает альвеолярный отросток больше всего. где-то перед клыком. Ссылка на комментарий
Джима Опубликовано 29 июня, 2016 Поделиться Опубликовано 29 июня, 2016 вообще, если фронт не воспалён, то, чтоб не больно делать инфильтрацию, делают "ползучку", начиная от четвёрки. больше доза, и времени больше, но небольно зато Ссылка на комментарий
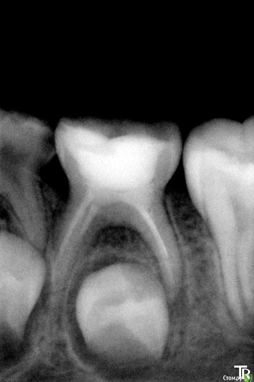
crown Опубликовано 5 июля, 2016 Поделиться Опубликовано 5 июля, 2016 7 лет, зуб 6.3 не беспокоит, разрушена вестибулярная стенка. Как определить это воспалительная резорбция или физиологическая? Если физиологическая, то есть ли смысл пломбировать канал или нет? Приостановится она или нет? И на сколько хватит такого лечения? Чем потом восстановить зуб? Нью смайл кто нить пользуется? Ссылка на комментарий
Джима Опубликовано 5 июля, 2016 Поделиться Опубликовано 5 июля, 2016 (изменено) 7 лет, зуб 6.3 не беспокоит, разрушена вестибулярная стенка. Как определить это воспалительная резорбция или физиологическая? Если физиологическая, то есть ли смысл пломбировать канал или нет? Приостановится она или нет? И на сколько хватит такого лечения? Чем потом восстановить зуб? Нью смайл кто нить пользуется?резорбция чего, апекса? физиологическая, только-только началась. если десна бессимптомная, то точно физиологическая. пломбировать смысл есть, никогда не знаешь, достоит оно до смены, или разболится из-за чего-то. детки хилые пошли, осень, орви, бронхит, АБ - привет, периостит. плавали, знаем. приостановится ли - да неважно, в общем. думаю, года два зуб точно простоит ещё, на третий качаться начнёт. Восстанавливаю пломбой, Нью смайл на форуме Доктор Саша, вроде, работает, только заходит редко. Оксана, кажется, тоже хотела. Если смущает просто пломба - сделайте непрямую. Изменено 5 июля, 2016 пользователем Джима Ссылка на комментарий
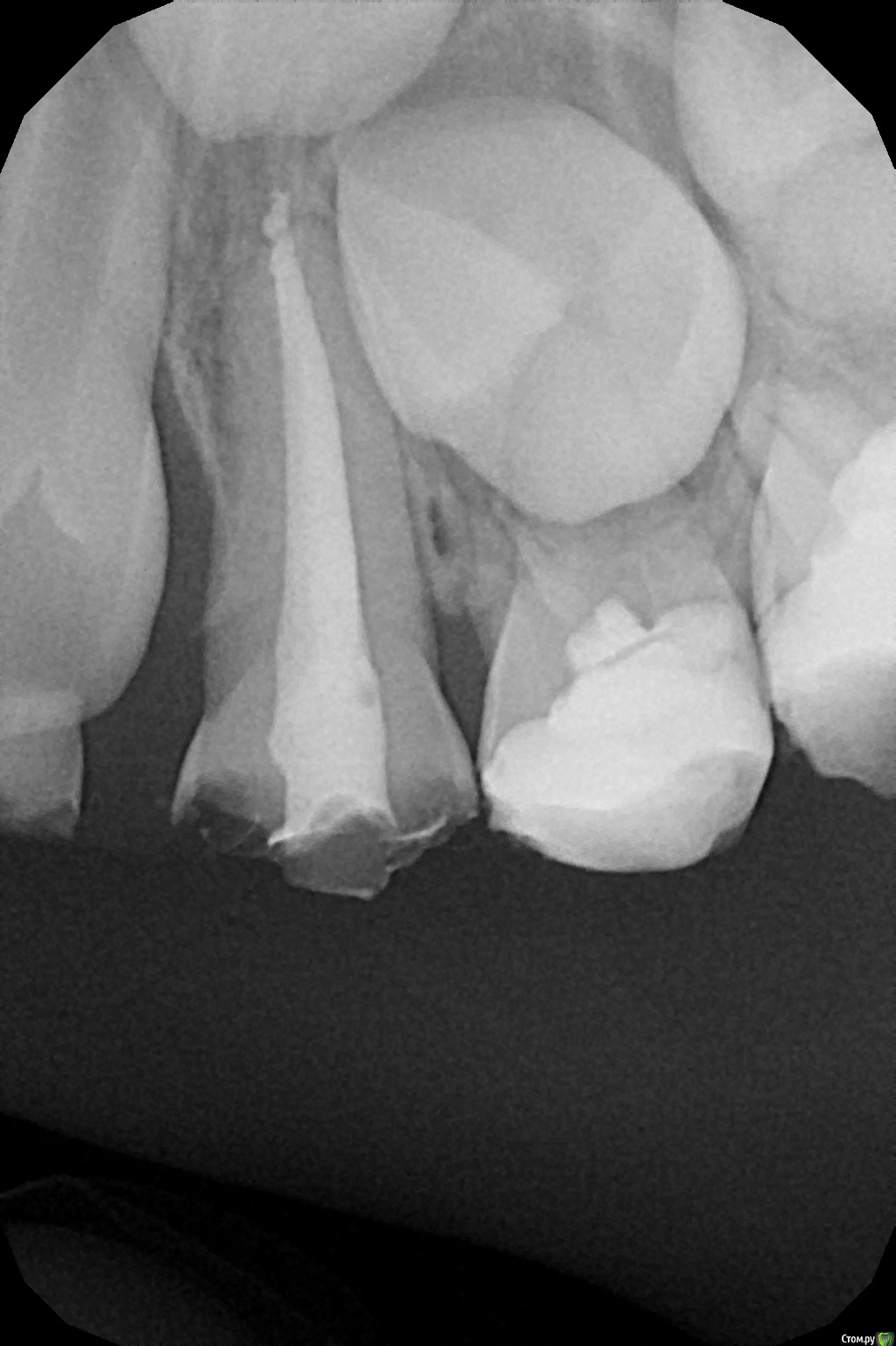
crown Опубликовано 7 июля, 2016 Поделиться Опубликовано 7 июля, 2016 6.4, 7 лет почти, периодонтит. Обработал каналы мотором, вручную лень было, оставил кальций, закрыл временной и как только встала с кресла началась сильная боль, аж до слез, видимо анестезия начала отпускать. Раньше таких проблем не было, обычно все гуд. За апекс не выходил, мед. обработка гипохлорит + перекись. Ссылка на комментарий
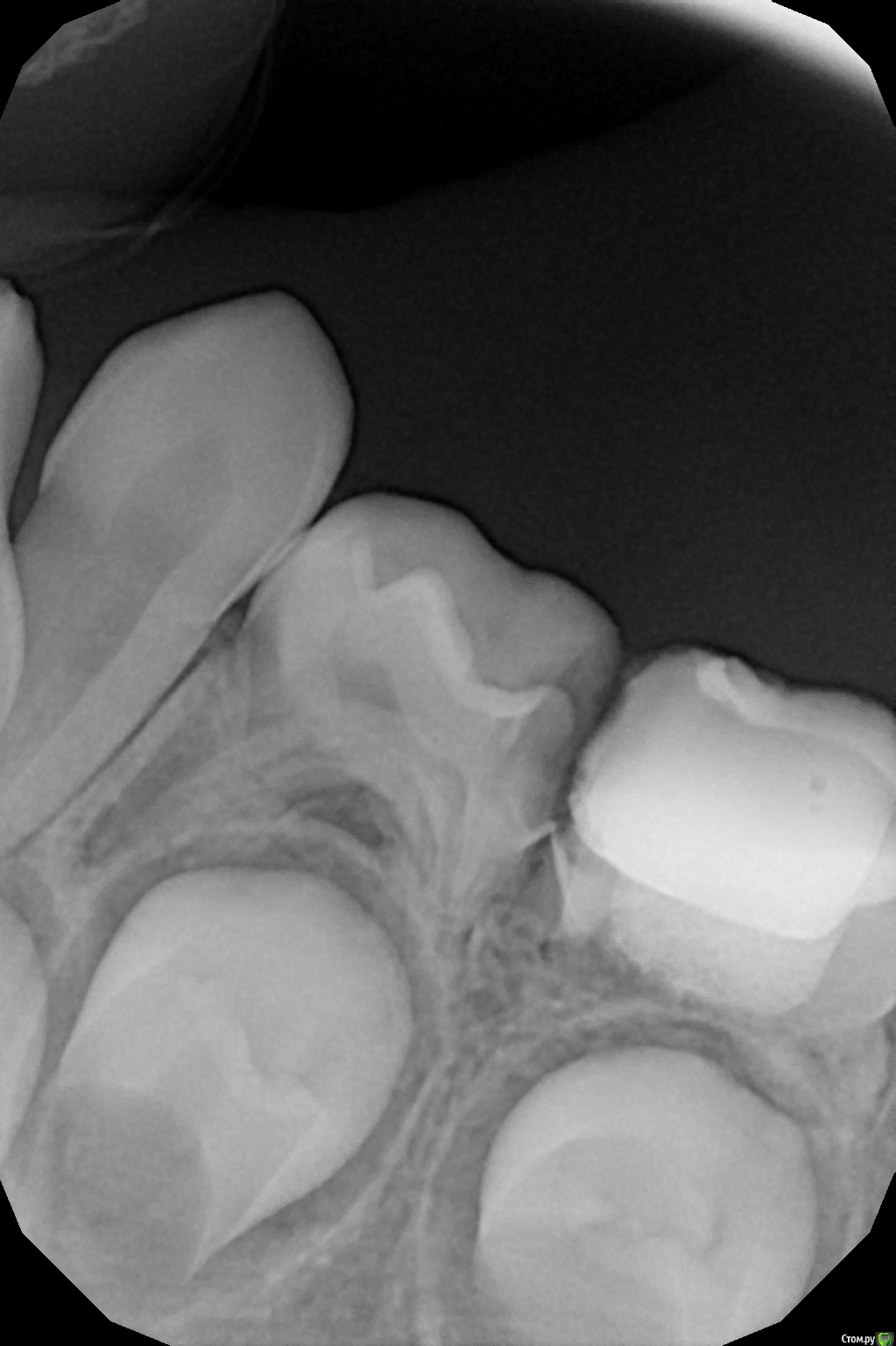
crown Опубликовано 7 июля, 2016 Поделиться Опубликовано 7 июля, 2016 6-7 лет, 7.5 пульпит, хотел с мта, но закровила корневая, после эндо 2 дня было больно накусывать, потом все норм. Надо его наблюдать? Боюсь что осталась инфекция. Ссылка на комментарий
CRAZYDUCK Опубликовано 7 июля, 2016 Поделиться Опубликовано 7 июля, 2016 6-7 лет, 7.5 пульпит, хотел с мта, но закровила корневая, после эндо 2 дня было больно накусывать, потом все норм. Надо его наблюдать? Боюсь что осталась инфекция.Я уверена,что это нормально .наблюдать ,как обычно -осмотр каждые 3-4 месяца . Ссылка на комментарий
CRAZYDUCK Опубликовано 7 июля, 2016 Поделиться Опубликовано 7 июля, 2016 А я перекись не использую для каналов.у детей вообще каналы не мыла ей,а у взрослых промывала периодонтиты -даже под анестезией больно было или неприятные ощущения ,перекись же пениться начинает при контакте с кровью или экссудатом. В этом случае может такая же картина была ? Ссылка на комментарий
Джима Опубликовано 7 июля, 2016 Поделиться Опубликовано 7 июля, 2016 (изменено) Оксан, у меня тоже так бывало, и без перекиси. С чем связать не знаю, помогало только анестезию сделать проводниковую. Сейчас перед пломбировкой заранее нурофен даю, если вспомню. Изменено 7 июля, 2016 пользователем Джима Ссылка на комментарий
crown Опубликовано 9 июля, 2016 Поделиться Опубликовано 9 июля, 2016 Не знаю имел ли смысл поиск МБ2 и ДБ2, ну вообщем все 5 каналов в сборе) Правда ушло много времени и ребенок очень устал, что повлияло на качество обтурации. 3 Ссылка на комментарий
Brigita Опубликовано 9 июля, 2016 Поделиться Опубликовано 9 июля, 2016 А чем пломбировали? Ссылка на комментарий
Джима Опубликовано 9 июля, 2016 Поделиться Опубликовано 9 июля, 2016 crown, красавчег может, на два раза разделили бы, раз тяжело было ляльке?.. Ссылка на комментарий
crown Опубликовано 10 июля, 2016 Поделиться Опубликовано 10 июля, 2016 А чем пломбировали?цоэ, метапекс думаю за 5 лет рассосется. Ссылка на комментарий
crown Опубликовано 10 июля, 2016 Поделиться Опубликовано 10 июля, 2016 crown, красавчег может, на два раза разделили бы, раз тяжело было ляльке?.. уезжают они, что используете в качестве временной пломбы? Ссылка на комментарий
Джима Опубликовано 10 июля, 2016 Поделиться Опубликовано 10 июля, 2016 водный дентин, септопак. Водный больше люблю - его давить не надо, когда ставишь. А вы что ожидали? Ссылка на комментарий
crown Опубликовано 10 июля, 2016 Поделиться Опубликовано 10 июля, 2016 Я Септопак в постоянные и сверху фото, хотя говорят не герметично и наши терапевты закрывают irm. А в молочные масляный дентин. Ссылка на комментарий
Джима Опубликовано 11 июля, 2016 Поделиться Опубликовано 11 июля, 2016 ирм не попадался. да и эвгенольный же он... адгезия, все дела..а масляный дентин - это дентин-паста?я использую водный дентин, потому что его не нужно давить, легко наложить без давления. СтоИт крепко, если правильно поставить, не крошится.. Меня устраивает, короче. Ссылка на комментарий
CRAZYDUCK Опубликовано 11 июля, 2016 Поделиться Опубликовано 11 июля, 2016 Не знаю имел ли смысл поиск МБ2 и ДБ2, ну вообщем все 5 каналов в сборе) Правда ушло много времени и ребенок очень устал, что повлияло на качество обтурации.Молодец ! Ссылка на комментарий
crown Опубликовано 12 июля, 2016 Поделиться Опубликовано 12 июля, 2016 ирм не попадался. да и эвгенольный же он... адгезия, все дела..а масляный дентин - это дентин-паста?я использую водный дентин, потому что его не нужно давить, легко наложить без давления. СтоИт крепко, если правильно поставить, не крошится.. Меня устраивает, короче.Да паста Ссылка на комментарий
crown Опубликовано 15 июля, 2016 Поделиться Опубликовано 15 июля, 2016 Год назад пришли с периодонтитом 75, зуб был вскрыт в одной точке, до этого ходили полоскали, на рентгене почти полная резорбция, в бифуркации разрежение. Я не знаю зачем начал лечить его, вдобавок ко всему еще перфонул бором прям по середине (рукожоп). Вообщем "зарезорцинил" его, перфорацию и устья промыл гипохлоритом и закрыл триоксидентом. Вот пришли через год лечить соседний 74, а это стоит и не беспокоит, вот такой вот огрызок. Планируется на нижнюю челюсть заместительная пластинка, т.к. нет зубов на другой стороне, вот теперь не знаю удалять его или доживет? 3 Ссылка на комментарий
CRAZYDUCK Опубликовано 16 июля, 2016 Поделиться Опубликовано 16 июля, 2016 Не надо удалять ,на снимке все спокойно .в крайнем случае всегда можно к пластинке еще один зуб добавить.я уверена ,что с зубом все хорошо будет Ссылка на комментарий
Джима Опубликовано 17 июля, 2016 Поделиться Опубликовано 17 июля, 2016 crown, просто класс! чёт в голову не приходило, что ведь и так тоже можно делать. Супер!взрослым терапевтам не понять. год - это тоже срок, это ж год жизни ребёнка - для них огромный срок. Ссылка на комментарий
Екатерина Геранина Опубликовано 5 августа, 2016 Автор Поделиться Опубликовано 5 августа, 2016 Не знаю имел ли смысл поиск МБ2 и ДБ2, ну вообщем все 5 каналов в сборе) Правда ушло много времени и ребенок очень устал, что повлияло на качество обтурации. Круто! Ссылка на комментарий
crown Опубликовано 5 августа, 2016 Поделиться Опубликовано 5 августа, 2016 Кто нибудь делал кт молочных пульпитных или периодонтитных зубов? Что там? Какие изменения? Ссылка на комментарий
Рекомендуемые сообщения
Для публикации сообщений создайте учётную запись или авторизуйтесь
Вы должны быть пользователем, чтобы оставить комментарий
Создать аккаунт
Зарегистрируйте новый аккаунт в нашем сообществе. Это очень просто!
Регистрация нового пользователяВойти
Уже есть аккаунт? Войти в систему.
Войти