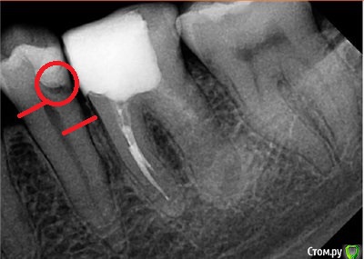
колесников Опубликовано 26 января, 2015 Поделиться Опубликовано 26 января, 2015 Не вижу, нет кармана. Не вижу, нет вторичного кариеса, где Вы его нашли? Оригинальное предложение. А если представить, что 36 интактный и необходимо заменить пломбу на 35? Тоже что-то убирать с 6-го? Именно поэтому запланировано отсроченное протезирование 36 коронкой, что снимет угрозу фрактуры зуба. Предлагаю повзвешивать нам с Вами еще раз. Готовы к дискуссии? я тут отметил уровень кости и вторичный кариес на 35ом. больше нет сил рисовать,я вам так расскажу что вижу. так вот : обратим внимание на правую сторону. там полнейшая чехарда,приличные диастемы. видимо давно удалён 47ой. судя по состоянию зубов и пародонта правой и левой сторон ,жевательной для пациента, является всётаки левая . убыль кортикалки у 36го,рецессия десны у 34,35. высота коронки у 26го говорит мне о нехилом таком давлении на левую сторону и снижении высоты прикуса на этой стороне , также о смщении головки внчс справа. 36 однозначно не в плотном контакте. как только поставите его в прикус ,пломбой ли или коронкой-получите фрактуру по бифуркации. тут и на кофейной гуще гадать не надо.у меня к вам встречный вопрос. вначале цитата:,,у меня есть 2 причины для немедленного апико-1. Направление лечащего Доктора, которому я полностью доверяю. Даже если он поспешил с направлением на апико, то это его с пациентом выбор, его индивидуальность, его профессионализм. Тот Док, который лечит - он больше всего чувствует зуб, верно?2. Параллельное с апико- закрытие рецессии десны 36, что не провести после протезирования. Посмотрим еще на результат - я старался одновременно закрыть рецессию медиального корня 36.,,вопрос.1- как и чем закрывали рецессию на 36? отчего шире не раскрылись в этом случае? (однозначно ведь трапециевидный лоскут даст усадку). что подкладывали?2-(это даже не вопрос,а мысли вслух). доверие,работа в команде-это всегда успех. но стоит ли всегда соглашаться слепо? может стоило подискуировать с коллегой? однозначно что терапевт не видел успеха для себя в этой ситуации,но предложил вариантец,обнадёжил пациента,вы слепо выполнили его волю. и что в итоге? с моей колокольни, перспективы туманные .я бы направил пациента к ортопеду и ортодонту и как хирург лично поприсутствовал на консультации. Ссылка на комментарий
SDC Опубликовано 26 января, 2015 Автор Поделиться Опубликовано 26 января, 2015 я бы направил пациента к ортопеду и ортодонту и как хирург лично поприсутствовал на консультации.Так ставить имплантат вместо 36 или к ортодонту с тем, что есть?И еще 1 срез кт, для новых версий.http://i058.radikal.ru/1501/0c/223d1a17920b.jpg Ссылка на комментарий
колесников Опубликовано 26 января, 2015 Поделиться Опубликовано 26 января, 2015 Так ставить имплантат вместо 36 или к ортодонту с тем, что есть?И еще 1 срез кт, для новых версий.http://i058.radikal.ru/1501/0c/223d1a17920b.jpgвыставили бы нормальную панораму ,я бы по первому снимку не нагородил вам отсутствие 47 и диастемы)). как хотите но карман и вторичный кариес на 35 виден даже на этой панораме и патология прикуса во фронтальном отделе и снижение высоты в боковых. не сочтите за тупое упрямство но я бы не стал резецировать. я бы 36ой совсем не трогал. потому как если трогать-то всё. иначе будет ничто иное как латание латок. Ссылка на комментарий
SDC Опубликовано 26 января, 2015 Автор Поделиться Опубликовано 26 января, 2015 (изменено) выставили бы нормальную панораму ,я бы по первому снимку не нагородил вам отсутствие 47 и диастемы)). как хотите но карман и вторичный кариес на 35 виден даже на этой панораме и патология прикуса во фронтальном отделе и снижение высоты в боковых. не сочтите за тупое упрямство но я бы не стал резецировать. я бы 36ой совсем не трогал. потому как если трогать-то всё. иначе будет ничто иное как латание латок.Мне Вы ничего не нагородили. Вы сделали очень много поспешных выводов и не внимательны.И еще каждый раз меняете рекомендации по плану лечения )) Изменено 26 января, 2015 пользователем SDC Ссылка на комментарий
Рекомендуемые сообщения
Для публикации сообщений создайте учётную запись или авторизуйтесь
Вы должны быть пользователем, чтобы оставить комментарий
Создать аккаунт
Зарегистрируйте новый аккаунт в нашем сообществе. Это очень просто!
Регистрация нового пользователяВойти
Уже есть аккаунт? Войти в систему.
Войти