Каплан Опубликовано 8 октября, 2015 Автор Поделиться Опубликовано 8 октября, 2015 В мед каналах 3.6 происходит отложение заместит дентина. Ты уверен что воспаление там обратимо? Если потом придётся делать эндо, проблемы могут быть с прохождением каналов. Пульпа в апексе причём будет уже дохлая. Был недавно аналогичный случай у мальчика 14 лет. Травма в 6 лет возрасте, облитерация 1/3 канала, прислали на микроскоп. Я не могу сказать что было очень сложно. Но у детского стоматолога это вызвало проблемы. Могу показать снимок, если интересноДумаешь не стоит уже ждать закрытия апексов и сделать эндо? Ссылка на комментарий
Л Ю С Я Опубликовано 8 октября, 2015 Поделиться Опубликовано 8 октября, 2015 Думаешь не стоит уже ждать закрытия апексов и сделать эндо? Трудно сказать. Они и при периодонтите могут закрыться, эндо конечно же легче сделать при сформированной верхушке. Главное чтоб резорбция не началась. Я бы понаблюдала ещё год. Сколько лет ребёнку ? Ссылка на комментарий
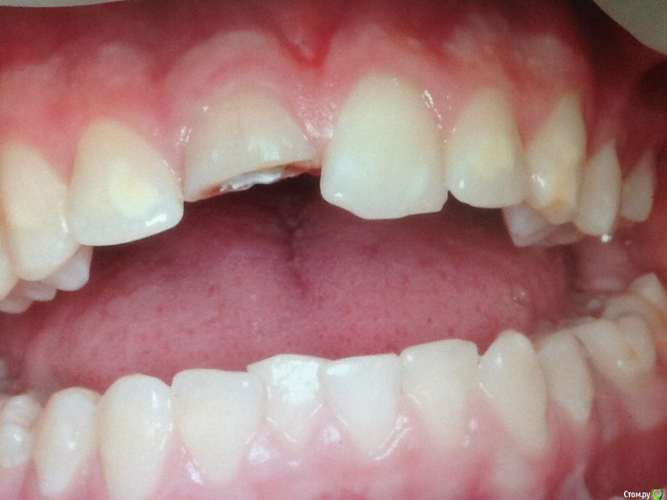
Л Ю С Я Опубликовано 8 октября, 2015 Поделиться Опубликовано 8 октября, 2015 Пациент получил травму в 6 летнем возрасте со вскрытием пульпы. 1.1 Явился в теч 6 часов. Со слов детского стоматолога( коллеги), сделала ампутацию пульпы, закрыли сицем. Ходил год, наблюдался, потом родители забили на это. Появились через 8 лет с просьбой сделать коронку емах, подростка беспокоил внешний вид)))) детский стоматолог начала работу, звонит мне, мол там камень, все ничего не могу сделать. Ссылка на комментарий
Kolchanov Опубликовано 8 октября, 2015 Поделиться Опубликовано 8 октября, 2015 И что там было в канале под дентином? Ссылка на комментарий
Л Ю С Я Опубликовано 8 октября, 2015 Поделиться Опубликовано 8 октября, 2015 И что там было в канале под дентином?Некротизированная пульпа с запашком Ссылка на комментарий
Каплан Опубликовано 8 октября, 2015 Автор Поделиться Опубликовано 8 октября, 2015 Трудно сказать. Они и при периодонтите могут закрыться, эндо конечно же легче сделать при сформированной верхушке. Главное чтоб резорбция не началась. Я бы понаблюдала ещё год. Сколько лет ребёнку ?около 10,5 сейчас кажется. Ссылка на комментарий
Каплан Опубликовано 17 октября, 2015 Автор Поделиться Опубликовано 17 октября, 2015 11 Ссылка на комментарий
Сева северный Опубликовано 17 октября, 2015 Поделиться Опубликовано 17 октября, 2015 Очень красиво Обоснуй почему в 46 решил сделать накладку......... Ссылка на комментарий
Каплан Опубликовано 17 октября, 2015 Автор Поделиться Опубликовано 17 октября, 2015 (изменено) Очень красиво Обоснуй почему в 46 решил сделать накладку.........язычный бугор меньше 3мм, тонкий... его надо было перекрывать. а щечную границу препа пришлось сместить потому что так она совпадала с окклюзионными контактами. что тоже не хорошо. а поскольку у меня не было ни времени ни желания лепить это все во рту... )) Изменено 17 октября, 2015 пользователем Каплан Ссылка на комментарий
Vladimirov Опубликовано 18 октября, 2015 Поделиться Опубликовано 18 октября, 2015 Каплан, снимаю шляпу Ссылка на комментарий
Сева северный Опубликовано 20 октября, 2015 Поделиться Опубликовано 20 октября, 2015 Каплан...Стесняюсь спросить, а вы какой фирмы, красками пользуетесь (через поиск(((что та не нашел)Выглядят очень интеллегентно Ссылка на комментарий
Каплан Опубликовано 20 октября, 2015 Автор Поделиться Опубликовано 20 октября, 2015 Каплан...Стесняюсь спросить, а вы какой фирмы, красками пользуетесь (через поиск(((что та не нашел)Выглядят очень интеллегентно сначала Мицериум, потом Градиа (IC 5 из набора лабораторной градии). сейчас из набора GC Essentia - RBM+Black Ссылка на комментарий
Сева северный Опубликовано 20 октября, 2015 Поделиться Опубликовано 20 октября, 2015 И сначала Мицериум, потом Градиа (IC 5 из набора лабораторной градии). сейчас из набора GC Essentia - RBM+BlackИ,,что лучше? Ссылка на комментарий
Каплан Опубликовано 20 октября, 2015 Автор Поделиться Опубликовано 20 октября, 2015 ну я ни одну из них не израсходовал ))) очень хочу и надеюсь что израсходую, но чет пока никак... Мицериум светлая. из Градии Лаб - тоже светлая.они подходят просто для легкой пигментации... вот тут вот мицериумhttp://4.bp.blogspot.com/-YEhv-E-kAfI/Ve2m7Vxx7RI/AAAAAAAACoo/M3ZCAA3YgV0/s1600/%25D0%25B3%25D0%25BE%25D0%25B4.001.jpg сейчас мне больше нравится микс от Эссентии... естественне что ли получается... 4 Ссылка на комментарий
Сева северный Опубликовано 20 октября, 2015 Поделиться Опубликовано 20 октября, 2015 Спасибо ,,,,, ЗАПИСАЛ Ссылка на комментарий
Каплан Опубликовано 24 октября, 2015 Автор Поделиться Опубликовано 24 октября, 2015 6 Ссылка на комментарий
cor Опубликовано 30 октября, 2015 Поделиться Опубликовано 30 октября, 2015 Вот говорят про Бэйби -гуру, думаю Каплан не из них. Его и слушать то приятно, а уж на работы смотреть)) Классно! 1 Ссылка на комментарий
Каплан Опубликовано 31 октября, 2015 Автор Поделиться Опубликовано 31 октября, 2015 (изменено) Спасибо очень стараюсь, что бы такие результаты были закономерностью, каждый клинический случай... увы пока процентов 75-80 (впрочем выкладываю я как раз эти 75-80 процентов) пс. что касается Бэби-гуру. не причисляю себя ни к бэби (хотя я и молод))) ни к гуру. и вообще та статья попахивает обидой, что его мол никуда не зовут. а что касается 10 000 часов - не важно как долго. важно как. мы ведь все знаем примеры когда 10 000 часов лепят силидонт и моют каналы на ватке... Изменено 31 октября, 2015 пользователем Каплан 3 Ссылка на комментарий
CRAZYDUCK Опубликовано 31 октября, 2015 Поделиться Опубликовано 31 октября, 2015 не важно как долго. важно как. мы ведь все знаем примеры когда 10 000 часов лепят силидонт и моют каналы на ватке... +100500 Ссылка на комментарий
Каплан Опубликовано 2 ноября, 2015 Автор Поделиться Опубликовано 2 ноября, 2015 Пришел 4 месячный реколл первого кейса с GC Essentia. больше фото кейса в блоге 6 Ссылка на комментарий
Tabula Rasa Опубликовано 3 ноября, 2015 Поделиться Опубликовано 3 ноября, 2015 Каплан,чем проводите окончательное полирование реставраций? Ссылка на комментарий
Каплан Опубликовано 3 ноября, 2015 Автор Поделиться Опубликовано 3 ноября, 2015 Ссылка на комментарий
Каплан Опубликовано 25 ноября, 2015 Автор Поделиться Опубликовано 25 ноября, 2015 9 Ссылка на комментарий
Kolchanov Опубликовано 25 ноября, 2015 Поделиться Опубликовано 25 ноября, 2015 Давай еще на 6ку без перелечки и будет совсем patient-centered outcomes 1 Ссылка на комментарий
Каплан Опубликовано 25 ноября, 2015 Автор Поделиться Опубликовано 25 ноября, 2015 Давай еще на 6ку без перелечки и будет совсем patient-centered outcomes не, это будет перебор ))) Ссылка на комментарий
Рекомендуемые сообщения
Для публикации сообщений создайте учётную запись или авторизуйтесь
Вы должны быть пользователем, чтобы оставить комментарий
Создать аккаунт
Зарегистрируйте новый аккаунт в нашем сообществе. Это очень просто!
Регистрация нового пользователяВойти
Уже есть аккаунт? Войти в систему.
Войти