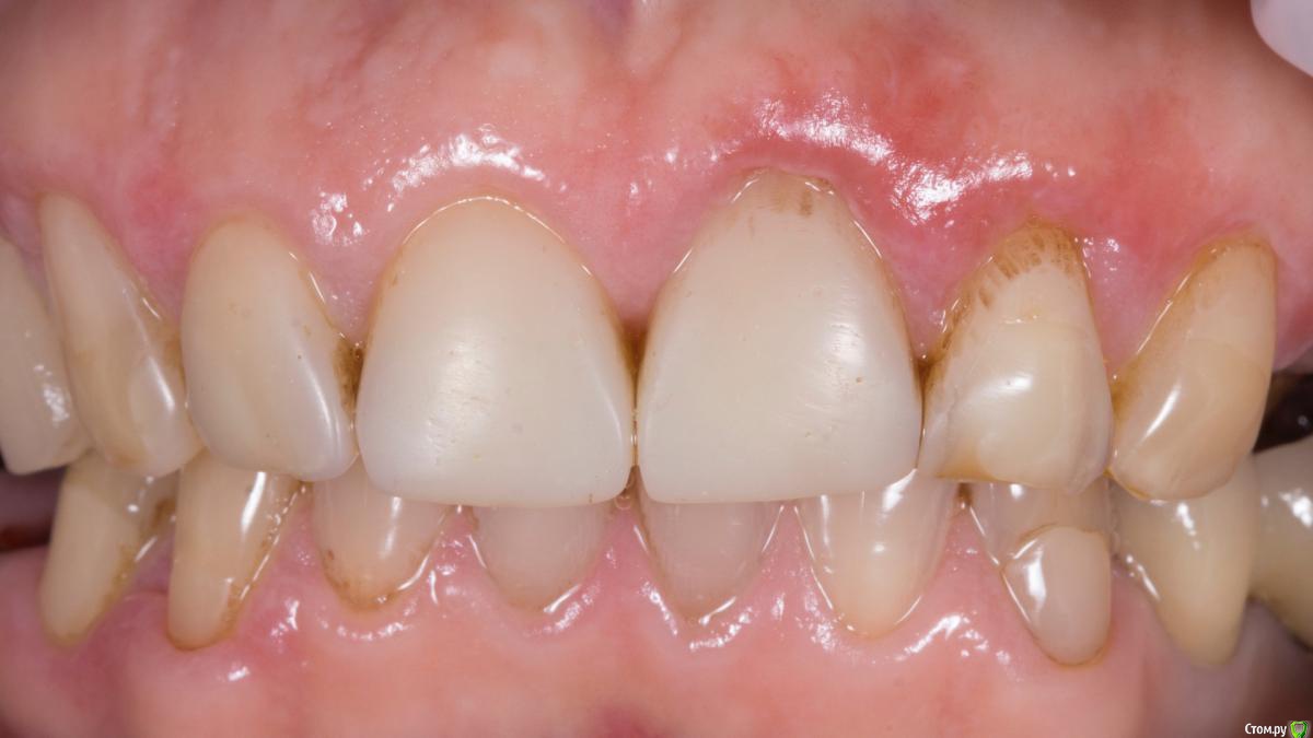
bugroff87 Опубликовано 15 декабря, 2014 Поделиться Опубликовано 15 декабря, 2014 Здравсвуйте! Помогите диагностировать заболевание. Появилось около двух лет назад, болезненно, больно чистить зубы, на 1.4 заменил композит на керамическую реставрацию, ничего не поменялось. Пациентка уже сделала кучу проб (до меня), прошла лечение от кандидоза, обошла кучу пародонтологов и всех остальных, ее изучали в лаборатории МГМСУ, но результата нет. Очень нуждаюсь в помощи... заранее огромное спасибо коллеги. Ссылка на комментарий
ромашечка Опубликовано 15 декабря, 2014 Поделиться Опубликовано 15 декабря, 2014 А что под десной в области 21 ,22 ? Может плохо отполированы границы реставрации , может жидкотекучий там застыл глубоко, или бонд ? Я бы поковырялась глубоко кюретами . Реставрации давно стоят? Есть ли снимки? И зубов совсем мало- за 14 и 23 что-то есть ещё ? В любом случае комплексное лечение, наверное. Ссылка на комментарий
bugroff87 Опубликовано 15 декабря, 2014 Автор Поделиться Опубликовано 15 декабря, 2014 Границы были плохо отполированы, отполировал, одну реставрацию заменил для пробы, но нет изменений, на КТ никаких изменений, остальным естественно занимаемся. Ссылка на комментарий
Бобр Опубликовано 15 декабря, 2014 Поделиться Опубликовано 15 декабря, 2014 Какой возраст у пациентки, психоэмоциональный статус. какие есть заболевания в анамнезе, что за белесые пятна за зубом 23? Ссылка на комментарий
Бобр Опубликовано 15 декабря, 2014 Поделиться Опубликовано 15 декабря, 2014 В области 44 тоже болит? Ссылка на комментарий
bugroff87 Опубликовано 15 декабря, 2014 Автор Поделиться Опубликовано 15 декабря, 2014 (изменено) Какой возраст у пациентки, психоэмоциональный статус. какие есть заболевания в анамнезе, что за белесые пятна за зубом 23? Возраст 45, статус хороший, адекватная, в анамнезе ничего, по крайней мере она ничего не рассказала. Я так понимаю вы про 1.3?(там через зеркало), не знаю что это. Изменено 15 декабря, 2014 пользователем bugroff87 Ссылка на комментарий
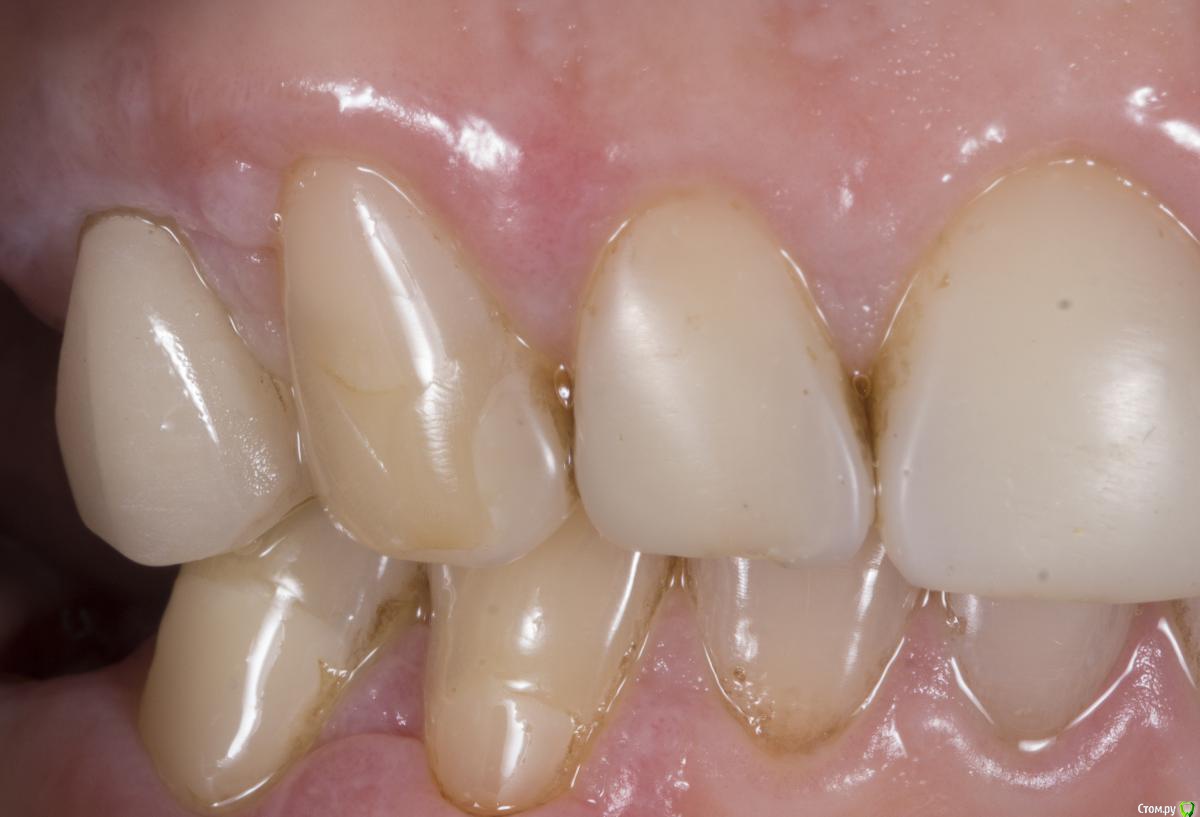
bugroff87 Опубликовано 15 декабря, 2014 Автор Поделиться Опубликовано 15 декабря, 2014 Вот фото через 5 дней после фиксации на 1.4 керамического винира... Ссылка на комментарий
Бобр Опубликовано 15 декабря, 2014 Поделиться Опубликовано 15 декабря, 2014 да в смысле 13. и соответственно 34? там болит? А у нее бывают периоды улучшения и ухудшения в области этих поражений на слизистой? Если да, то с чем она это связывает? Может быть аккуратно спросить не начался ли у нее климакс. у меня просто есть предположение, но слишком мало исходных данных Ссылка на комментарий
orthophil Опубликовано 15 декабря, 2014 Поделиться Опубликовано 15 декабря, 2014 Можно выложить орто? Ссылка на комментарий
bugroff87 Опубликовано 15 декабря, 2014 Автор Поделиться Опубликовано 15 декабря, 2014 В области нижних, в частности 3.4 беспокоит меньше. Периодов улучшения не бывает. Я планирую вызвать ее и еще разок поговорить. Ссылка на комментарий
bugroff87 Опубликовано 15 декабря, 2014 Автор Поделиться Опубликовано 15 декабря, 2014 Орто нет, есть КТ, завтра сделаю из него отро и выложу. Ссылка на комментарий
orthophil Опубликовано 15 декабря, 2014 Поделиться Опубликовано 15 декабря, 2014 Можно выложить орто?А на что конкретно жалуется пациентка, характер болей и т.п.? Ссылка на комментарий
bugroff87 Опубликовано 16 декабря, 2014 Автор Поделиться Опубликовано 16 декабря, 2014 На болезненность при чистке, дискомфорт. Ссылка на комментарий
bugroff87 Опубликовано 26 декабря, 2014 Автор Поделиться Опубликовано 26 декабря, 2014 Еще раз пообщался с пациенткой. Итог: с женским здоровьем никак не связывает, с общим здоровьем тоже ничего. Не аллергия - со слов пациентки по результатам каких-то исследований. Появилось два года назад после постановки второго имплантата во втором секторе. Объездила все московские университеты - было сказано,что не лечится. Что я заметил, что на 1.2,1.1 на которых есть тот же композит (которому примерно 10 лет) нет никаких проявлений, а где они есть после границы композита с зубом есть "скос" гладкий, прямо блестящий, не похоже на бор или что-то еще, осматривал с увеличением,на Rg не увидеть. КТ сложно выложить, но на нем никаких изменений в области этих зубов. Попытался схематично изобразить. Ссылка на комментарий
bugroff87 Опубликовано 26 декабря, 2014 Автор Поделиться Опубликовано 26 декабря, 2014 Пересмотрел все атласы, единственное на что похоже "гингивит профилактики". Ссылка на комментарий
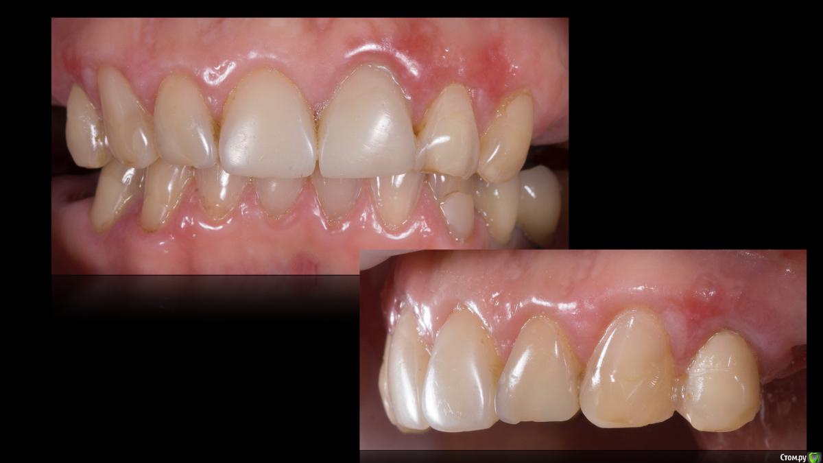
orthophil Опубликовано 26 декабря, 2014 Поделиться Опубликовано 26 декабря, 2014 Я и говорю что хорошо бы орто в прикусе или хотя бы фото зубных рядов с ооклюзионной стороны и в прикусе. Посмотрите, есть ли изменение (смещение) цл на н ч при максимально открытом рте Ссылка на комментарий
bugroff87 Опубликовано 27 декабря, 2014 Автор Поделиться Опубликовано 27 декабря, 2014 Нету смещения, только причем здесь это? Ссылка на комментарий
samsonov Опубликовано 27 декабря, 2014 Поделиться Опубликовано 27 декабря, 2014 С жевательными зубами всё в порядке? Ссылка на комментарий
bugroff87 Опубликовано 27 декабря, 2014 Автор Поделиться Опубликовано 27 декабря, 2014 На данный момент их нет, процесс восстановления идет. Ссылка на комментарий
Рекомендуемые сообщения
Для публикации сообщений создайте учётную запись или авторизуйтесь
Вы должны быть пользователем, чтобы оставить комментарий
Создать аккаунт
Зарегистрируйте новый аккаунт в нашем сообществе. Это очень просто!
Регистрация нового пользователяВойти
Уже есть аккаунт? Войти в систему.
Войти