Ольга555 Опубликовано 6 ноября, 2014 Автор Поделиться Опубликовано 6 ноября, 2014 тихо сам с собою..... хороший форум ,где бы я ещё с собой наговориласьвидимо выбора у меня , уже нет,раз такое молчание.... Ссылка на комментарий
IvanK Опубликовано 7 ноября, 2014 Поделиться Опубликовано 7 ноября, 2014 на временной коронке можно отмоделировать десну 1 Ссылка на комментарий
Ольга555 Опубликовано 7 ноября, 2014 Автор Поделиться Опубликовано 7 ноября, 2014 (изменено) на временной коронке можно отмоделировать деснуЯ распечатала и показала доктору предложения по коронке или уменьшению формирователя.Доктор сказал-да формирователь больше в диаметре чем имплантат,но на снимке все идеально,поставлю абатмент без уступов. формирователь большего размера,чем имплантат,который установлен в данный момент чем опасен для меня?какие негативные последствия могут быть и как скоро они могут о себе дать знать?Устанавливаю имплантат не трогая рядом стоящие под коронками,в надежде решить проблему а не создать новые. Изменено 7 ноября, 2014 пользователем Ольга555 Ссылка на комментарий
IvanK Опубликовано 7 ноября, 2014 Поделиться Опубликовано 7 ноября, 2014 Доверьтесь Вашему Врачу Ссылка на комментарий
Ольга555 Опубликовано 7 ноября, 2014 Автор Поделиться Опубликовано 7 ноября, 2014 Доверьтесь Вашему Врачуа больше ничего и не остается...Вы правы.Зачем пациенту многознать Ссылка на комментарий
Ольга555 Опубликовано 7 ноября, 2014 Автор Поделиться Опубликовано 7 ноября, 2014 Дотошная пациентка снова с вопросами,а вдруг получу ответ сразу пожелаю всем- упаси вас всевышний от таких пациенток Имплантат был совсем не чувствителен до установки формирователя После установки пульсация, боль тупая, два соседних зуба тоже болят ,а если при пережевывании пищи на них попадает нагрузка ,то ещё болезненней,просто невозможно. После подкручивания формирователя 5.11.в 10 утра снова была сильная боль,кровь и сегодня имплантат чувствителен при любой мимике,улыбке и даже шевелении губ.как кол забит в челюсть,при пальпации подбородка неприятная чувствительность.А соседние с ним зубы при накусывании хоть и болят,но при дотрагивании как чужие,онемевшие. Это нормально?допускается? просто при установке ранее, 3 года назад 4-х имплантатов таких ощущений не было. Ссылка на комментарий
red_butler Опубликовано 8 ноября, 2014 Поделиться Опубликовано 8 ноября, 2014 Это нормально?допускается? нет не нормально, возможно защемили десну формирователем, обратитесь к врачу 1 Ссылка на комментарий
Ольга555 Опубликовано 8 ноября, 2014 Автор Поделиться Опубликовано 8 ноября, 2014 нет не нормально, возможно защемили десну формирователем, обратитесь к врачу спасибо Ссылка на комментарий
Ольга555 Опубликовано 12 ноября, 2014 Автор Поделиться Опубликовано 12 ноября, 2014 Мне кажется,что соседние с имплантатом зубы качаются,это и есть последствие неудачного формировтеля?Доктор поставил новый формирователь,но он такой же широкий. сделала снимок.Завтра на примерку каркаса,в понедельник обещано завершение работы.Все 3 приема по формирователю, связаны с болью,кровью...вкручивания, выкручивания,докручивания-все болезненно.Есть ли методы- укрепить соседние с имплантатом корни? Ссылка на комментарий
Ольга555 Опубликовано 12 ноября, 2014 Автор Поделиться Опубликовано 12 ноября, 2014 снимок сделан сейчас http://s010.radikal.ru/i312/1411/82/ad047a95cc04.pngзуб1.PDF Ссылка на комментарий
Bier Опубликовано 12 ноября, 2014 Поделиться Опубликовано 12 ноября, 2014 нет, корни не укрепить, если только взять их в одну конструкцию с соседними зубами Ссылка на комментарий
Ольга555 Опубликовано 13 ноября, 2014 Автор Поделиться Опубликовано 13 ноября, 2014 (изменено) В общем ждите меня на форуме за консультацией по съемным зубным протезам...какие лучше сколько той жизни осталось...чтобы находиться в постоянном дискомфорте решения стоматологических проблем.. причем решая одну проблему доктор создает уже следующуюпациент-устал Изменено 13 ноября, 2014 пользователем Ольга555 Ссылка на комментарий
red_butler Опубликовано 13 ноября, 2014 Поделиться Опубликовано 13 ноября, 2014 Мы с Вами, чем сможем - поможем 1 Ссылка на комментарий
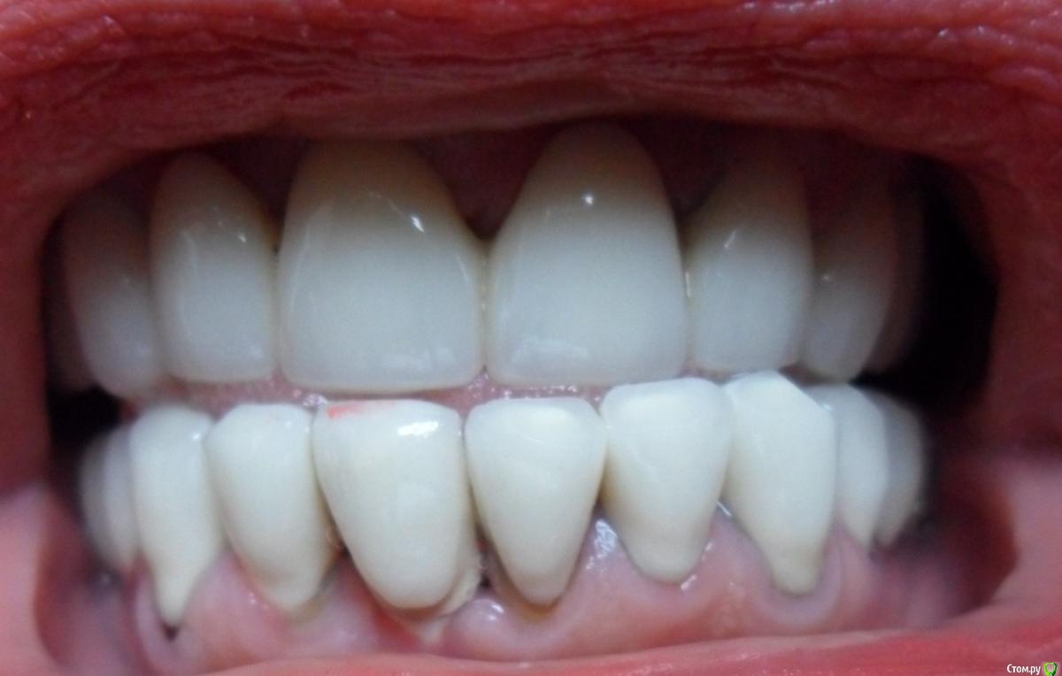
Ольга555 Опубликовано 4 января, 2015 Автор Поделиться Опубликовано 4 января, 2015 18.11.14г была установлена коронка на имплантат.Состояние на сегодня визуальное пробую прикрепить в фото! Любуйтесь))) работой профессионала- хирурга имплантолога в г. КурскУчитесь делать красивые зубки у него))))) А делал то всего один зуб нижний помечен помадой.Изначально сделал такую лопату широкую,и сказал...рядом корни раздвинулись...ну не я же их раздвигал!!!...а кто я???пациент раздвигала в разные стороны распоркой)))) Сказала,что не устраивает широкий,вызвал техника,сделали такой,какой на фото.Предложения специалистов с этого форума распечатанные он игнорировал,-"что за умники мне советуют...у меня все идеально!"И что десна в соседних опустится,сказал,только после установки имплантата. И обещал поднять десну. В итоге сказал-это невозможно.С внутренней стороны язык все время упирается в выпирающий нижний край коронки и чувствую этот край нижней частью языка постоянно.Разочарована не только работой,но и отношением к пациенту , к стерильности .... в очередной депрессии от безысходности.И страх,что будет с деснами далее,паника,что материально не вытяну очередные манипуляции с следующим этапом протезирования . Средств просто нет.Это в 48 лет я могла жертвовать собой и 3 года зарабатывать на протезирование в Москве...которое посыпалось уже через 2 года после окончательной установки.Сейчас нет ни сил ни возможности.Убогость...наше всё...увы. Ссылка на комментарий
Ольга555 Опубликовано 15 октября, 2015 Автор Поделиться Опубликовано 15 октября, 2015 Ну вот....я вернулась,уже с проблемой.Год прошел В районе имплантата какая то странная боль,пару месяцев назад обострилась. Решила сделать снимок.Задала вопрос -онлайн... профессору -имплантологу. Получила ответ-есть причины для беспокойства. Уважаемые специалисты стоматологи.Что вы видите,что посоветуете предпринять? Ссылка на комментарий
Ольга555 Опубликовано 20 октября, 2015 Автор Поделиться Опубликовано 20 октября, 2015 (изменено) Ну вот....я вернулась,уже с проблемой.Год прошел В районе имплантата какая то странная боль,пару месяцев назад обострилась. Решила сделать снимок.Задала вопрос -онлайн... профессору -имплантологу. Получила ответ-есть причины для беспокойства. Уважаемые специалисты стоматологи.Что вы видите,что посоветуете предпринять?нЕчего мне сказать по данному снимку???.............. пусть все так останется?шанс выжить есть? Даже я, не специалист, вижу появившиеся черные пятна в районе имплантата.Не думаю,что это нормально. Изменено 20 октября, 2015 пользователем Ольга555 Ссылка на комментарий
red_butler Опубликовано 20 октября, 2015 Поделиться Опубликовано 20 октября, 2015 ничего страшного на вашем снимке не вижу. Но боли быть не должно. Что говорит ваш врач? Ссылка на комментарий
Ольга555 Опубликовано 20 октября, 2015 Автор Поделиться Опубликовано 20 октября, 2015 ничего страшного на вашем снимке не вижу. Но боли быть не должно. Что говорит ваш врач?К врачу планирую только пойти.Сначала к вам на форум. Боль не сильная переодичная,покалывания,подергивания. Я сначала решила,что боль от зуба с неудаленным нервом может отдавать в сторону импланта или рядом стоящие зубы пульпированные подергивает.Но вроде болеть то нечему. А черные точки образовавшиеся рядом с имплантом,что это? Ссылка на комментарий
major Опубликовано 20 октября, 2015 Поделиться Опубликовано 20 октября, 2015 Необходим осмотр в кресле. Обратитесь обязательно к вашему лечащему врачу. Ссылка на комментарий
Bier Опубликовано 21 октября, 2015 Поделиться Опубликовано 21 октября, 2015 На снимке криминала не видно, согласен, что нужно смотреть в кресле Ссылка на комментарий
Ольга555 Опубликовано 21 октября, 2015 Автор Поделиться Опубликовано 21 октября, 2015 Спасибо,успокоили немного)))) Постараюсь попасть к врачу в ближайшее время. Ссылка на комментарий
Ольга555 Опубликовано 18 ноября, 2015 Автор Поделиться Опубликовано 18 ноября, 2015 В районе имплантата появился белый кружок на десне ,т.е.свищ.Прикладывала левомиколь,записалась на прием,пока ждала приема,4 дня,прорвался.На приеме была назначена чистка кармана через неделю.На снимке ничего он не увидел.За это время левомиколь почти затянула ранку и вытянула содержимое...Доктор ,сделал чистку для профилактики .Разрез десны,чистка,наложены швы.Сообщил,что во время чистки ничего не было,т.е. было чисто.Вот...отчиталась. Ссылка на комментарий
Большой Зеленый Опубликовано 19 ноября, 2015 Поделиться Опубликовано 19 ноября, 2015 А мне кажется имплантанту привет.Карман с одной стороны. Выкручивать.И чем быстрее тем лучше. http://s017.radikal.ru/i423/1511/34/fe3460f71819.png Ссылка на комментарий
Ольга555 Опубликовано 29 ноября, 2015 Автор Поделиться Опубликовано 29 ноября, 2015 А мне кажется имплантанту привет.Карман с одной стороны. Выкручивать.И чем быстрее тем лучше. http://s017.radikal.ru/i423/1511/34/fe3460f71819.pngДоктор разрезал и отслоил десну,как при установке имплантата,почистил гранулемы,заполнил каким то лекарством,зашил десну. Сказал -нормально.Десна совсем опустилась под соседним зубом с коронкой. Сейчас обрабатываю десну солкосерилом дентальным,чередуя с асепта пародонтал.Сделаю новый снимок ,выложу.Снимок мне не дали,сказали,что техника не исправна не распечатывает. Ссылка на комментарий
Ольга555 Опубликовано 29 ноября, 2015 Автор Поделиться Опубликовано 29 ноября, 2015 На момент докручивания имплантата я принесла доктору распечатанные советы, одного из форумчан. Доктор сказал,что за чушь,кто это умничает,расстояния достаточно. А вот и советы,которые не помогли,т.к. к ним не прислушались: Что может помочь: или временная коронка с зауженным поддесневым профилем, или зауженный вручную формирователь.По высоте: неважно чуть под десной, на уровне или чуть выше десны будет позиционирован формирователь.Проблема в нехватке расстояния между формирователем и соседними зубами. Посмотрите на рентгеновский снимок.Скорее всего, костная перегородка между корнем зуба и формирователем резорбируется до уровня платформы имплантата. Это означает, что у десны не будет костной поддержки и она рецессирует.Выйти из ситуации помог бы конусный тип соединения имплантат-абатмент, с переключением платформ. Если я не ошибаюсь, на этой модели имплантатов, производителем не заложена возможность переключения платформ (это когда диаметр платформы имплантата шире диаметра абатмента) Ссылка на комментарий
Рекомендуемые сообщения
Для публикации сообщений создайте учётную запись или авторизуйтесь
Вы должны быть пользователем, чтобы оставить комментарий
Создать аккаунт
Зарегистрируйте новый аккаунт в нашем сообществе. Это очень просто!
Регистрация нового пользователяВойти
Уже есть аккаунт? Войти в систему.
Войти