zzkz Опубликовано 24 октября, 2014 Поделиться Опубликовано 24 октября, 2014 Пациенту в области 24 зуба установил имплантат Альфа био 3,75*10. Торка хорошего не получил, поэтому даже без ФДМ.Спустя 3 месяца решил нагружать, при попытке выкрутить заглушку имплантат слегка подвижен.Роковая ошибка в том он еще не интегрировался как думаете?Как быть дальше? Выкрутить, кюретаж и подлинее? Наверно смысла ждать больше нет. Установил около 500 штук. Это первый подобный неудачный случай. Ссылка на комментарий
Фарид Расулыч Опубликовано 24 октября, 2014 Поделиться Опубликовано 24 октября, 2014 Хотя бы пошире. Я бы не стал нянчиться с подвижным имплантом. Ссылка на комментарий
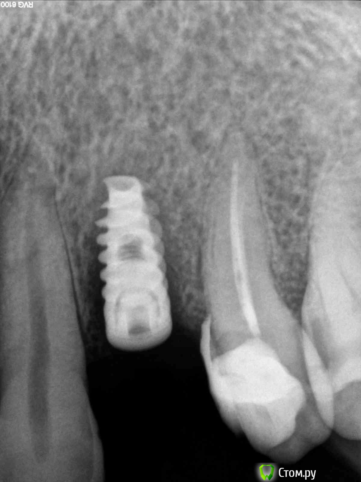
Аслан Опубликовано 24 октября, 2014 Поделиться Опубликовано 24 октября, 2014 (изменено) ... Изменено 24 октября, 2014 пользователем Аслан Ссылка на комментарий
Bier Опубликовано 24 октября, 2014 Поделиться Опубликовано 24 октября, 2014 я выкручиваю, делаю кюретаж и жду 1 мес Ссылка на комментарий
Doc Опубликовано 24 октября, 2014 Поделиться Опубликовано 24 октября, 2014 я выкручиваю, делаю кюретаж и жду 1 меспочему ждете и почему именно 1 мес? Ссылка на комментарий
zzkz Опубликовано 24 октября, 2014 Автор Поделиться Опубликовано 24 октября, 2014 Ставить более широкий было бы очень близко к корням.Снимок прилагаю. Что скажете по поводу сроков? Рано все таки полез учитывая торк? Ссылка на комментарий
zzkz Опубликовано 24 октября, 2014 Автор Поделиться Опубликовано 24 октября, 2014 почему ждете и почему именно 1 мес?присоединяюсь к вопросу? Почему бы не стали сразу подлинее например? Ссылка на комментарий
Фарид Расулыч Опубликовано 24 октября, 2014 Поделиться Опубликовано 24 октября, 2014 Остеоинтеграции не произошло. А почему это уже другой вопрос. Ну в данном случае можно подлиннее. Это мое мнение. Ссылка на комментарий
rivezico Опубликовано 24 октября, 2014 Поделиться Опубликовано 24 октября, 2014 spi же? Ссылка на комментарий
zzkz Опубликовано 24 октября, 2014 Автор Поделиться Опубликовано 24 октября, 2014 Остеоинтеграции не произошло. А почему это уже другой вопрос. Ну в данном случае можно подлиннее. Это мое мнение.Смотрю на сегодняшний снимок и думаю почему подлиннее не поставил) spi же? Он самый 1 Ссылка на комментарий
Фарид Расулыч Опубликовано 24 октября, 2014 Поделиться Опубликовано 24 октября, 2014 То же бывало такое) когда после понимаешь что Имплант короткий. И бывали ситуации когда ставил ФДМ на трех месяцах и все было норм, и провалы тоже бывали. Ссылка на комментарий
Тимур86 Опубликовано 24 октября, 2014 Поделиться Опубликовано 24 октября, 2014 Так там кость ушла,чего ждать? Ссылка на комментарий
Bier Опубликовано 24 октября, 2014 Поделиться Опубликовано 24 октября, 2014 не сразу, потому что в лунке возможно соединительная ткань, инфекция... месяца для маленькой дырочки от имплантата достаточно чтобы заполниться молодой костью. Ссылка на комментарий
Doc Опубликовано 24 октября, 2014 Поделиться Опубликовано 24 октября, 2014 не сразу, потому что в лунке возможно соединительная ткань, инфекция... месяца для маленькой дырочки от имплантата достаточно чтобы заполниться молодой костью.Если ставить более широкий имплант, то разве эта соединительная ткань не удаляется при этом? Инфекция, конечно, теоретически может остаться, но мы никогда не работаем в стерильной среде, тем более во рту. Почему спрашиваю, потому что большинство хирургов либо сразу переустанавливает, либо ждет два-три месяца. Вот и пытаюсь понять есть ли какие-то стандарты, исследования или что-то еще на эту тему, чтобы не просто гадать, а утверждать, что НАДО ДЕЛАТЬ ВОТ ТАК И ТОЧКА! Ссылка на комментарий
Фарид Расулыч Опубликовано 24 октября, 2014 Поделиться Опубликовано 24 октября, 2014 О, раз поднялась такая тема, что работаем не в стерильной среде, скажите вы на операции имплантации одеваетесь в полное обмундирование? То есть стерильные халаты, шапочки, бахилы на обуви? Перчатки до локтя? Ссылка на комментарий
zzkz Опубликовано 24 октября, 2014 Автор Поделиться Опубликовано 24 октября, 2014 не сразу, потому что в лунке возможно соединительная ткань, инфекция... месяца для маленькой дырочки от имплантата достаточно чтобы заполниться молодой костью.Хороший кюретаж не поможет если широкий или длинный поставить сразу?Если как Вы рекомендуете, после удаления имплантата ложе кюретажите до кости? Ссылка на комментарий
zzkz Опубликовано 24 октября, 2014 Автор Поделиться Опубликовано 24 октября, 2014 О, раз поднялась такая тема, что работаем не в стерильной среде, скажите вы на операции имплантации одеваетесь в полное обмундирование? То есть стерильные халаты, шапочки, бахилы на обуви? Перчатки до локтя?Мы у себя на пациента, на врача и ассистента надеваем стерильный халат, шапочки. Бахилы обычные. Перчатки поверх рукавов просто. Наконечник после автоклава, на шланги не натягиваем стерильный рукав.Тоже самое при удалении ретенций и мелких амб.операциях.Но лицо не закрываем как вижу тут многие делают, еще и йод содержащим обрабатывают. Может и стоит. Ссылка на комментарий
Фарид Расулыч Опубликовано 24 октября, 2014 Поделиться Опубликовано 24 октября, 2014 Я как посетил несколько курсов по имплантации в штатах перестал наряжаться. И на самом деле не заметил большой разницы. Разумеется инструманты стерильные, кабинет убирается и кварцуется, но все остальное без изменений. Обычный халат, и стерильные перчатки. Во рту инфекции гораздо больше чем в кабинете. 2 Ссылка на комментарий
Doc Опубликовано 24 октября, 2014 Поделиться Опубликовано 24 октября, 2014 Просто обратите внимание как работают американские службы! В операционную пострадавшего вносят бегом пожарные, полицейские, кто угодно! И вроде как от инфекции никто не умирает. 1 Ссылка на комментарий
Фарид Расулыч Опубликовано 24 октября, 2014 Поделиться Опубликовано 24 октября, 2014 Ну фильмам я не очень доверяю) мало ли что там показывают) например для меня было открытием что жениться в лес Вегасе за одну ночь - нельзя. А я очень хотел)) И все такое. Но выполняя операции во рту мы же работаем в нестерильных условиях. И от гиперстерилизации всего того что находится в шаговой доступности от открытого рта пациента (как я заметил) большой разницы нет. И провалы в имплантации или еще какой либо операции связанны не с недостаточной стерильность окружающего пространства, а с другими факторами. Ссылка на комментарий
kriokov Опубликовано 24 октября, 2014 Поделиться Опубликовано 24 октября, 2014 (изменено) И провалы в имплантации или еще какой либо операции связанны не с недостаточной стерильность окружающего пространства, а с другими факторами.провалы действительно по причине инфицирования из вне во время операции нонсенс. Но перекрестное инфицирование никто не отменял. Суть верна-- стерильный инструмент, и по возможности асептические условия в кабинете. Все специалисты которые занимались проблемой перекрестной инфекции в стоматологии на первый план выносят именно полноценную дезинфекцию и стерилизацию многоразового инструментария, и обязательную дезинфекцию оборудования которое использует врач и руки. Наибольшее количество микробов и частичек крови обнаруживается на ложементе установки, шлангах и т.д. Рекордсмен по кантоминации окр пространства-- работа с ультразвуковым скейлером. Ну и размер частиц при работе скайлером помоему меньше 7 микрон, а это уже не капельный а пылевой способ передачи, но это уже про врачебную защиту. На первом месте в перекрестном инфицировании не инструменты, и не оборудование, а ручки персонала-- отсюда и стерильные перчатки на амбулаторные вмешательства. Doc прав, буржуи пациента с развившимся инфекционным процессом (раневым) просто положат в септическое отделение(иногда боксированное)А так, обычная свежая рана (которая по факту уже инфицирована) для них рутина амбулаторная-- стерильные перчатки+ стерильный инструмент. Отсюда вытекают и их нормы по стоматологии-- нет разделения (в основном ) на кабинеты по терапии , ортопедии, детству, хирургии-- требования то одни-- стерильный инструмент, обработанное оборудование и кабинет +инд защита персонала. И размеры кабинета у них определяются функцией и все.Вообщем то серьезные деньги экономяться.Извините, длинновато вышло. Изменено 24 октября, 2014 пользователем kriokov 8 Ссылка на комментарий
zzkz Опубликовано 24 октября, 2014 Автор Поделиться Опубликовано 24 октября, 2014 В штатах и Европе СЭС нет, как у нас))Помимо всего прочего это впечатляет пациентов. Как то раз мне пациентка сказала-Как у вас все серьезно, не то что у других. 1 Ссылка на комментарий
kriokov Опубликовано 24 октября, 2014 Поделиться Опубликовано 24 октября, 2014 В штатах и Европе СЭС нет, как у нас))Помимо всего прочего это впечатляет пациентов. Как то раз мне пациентка сказала-Как у вас все серьезно, не то что у других. Есть в некоторых странах санитарная полиция. Врач отвечает у них- так он специалист. Да , на часть пациентов это действует. Ссылка на комментарий
Аслан Опубликовано 24 октября, 2014 Поделиться Опубликовано 24 октября, 2014 Уже много раз обсуждали на форуме костюм на имплантации. 50/50. Одни за полную стерильность, другие просто чистая одежда. На рядовую имплантации дольше одеваться, сложности не больше, чем на удалении. А вот на двухсторонний открытый синус + 8 имплантов думаю стоит полностью одеться в стерильное... 1 Ссылка на комментарий
chernov Опубликовано 24 октября, 2014 Поделиться Опубликовано 24 октября, 2014 (изменено) Уже много раз обсуждали на форуме костюм на имплантации. 50/50. Одни за полную стерильность, другие просто чистая одежда.На рядовую имплантации дольше одеваться, сложности не больше, чем на удалении. А вот на двухсторонний открытый синус + 8 имплантов думаю стоит полностью одеться в стерильное...Почему,где логика?Или двойной стандарт?Или ход маркетинговый?Ежели дороже работа,то и антуража больше.Так? Изменено 24 октября, 2014 пользователем chernov 1 Ссылка на комментарий
Рекомендуемые сообщения
Для публикации сообщений создайте учётную запись или авторизуйтесь
Вы должны быть пользователем, чтобы оставить комментарий
Создать аккаунт
Зарегистрируйте новый аккаунт в нашем сообществе. Это очень просто!
Регистрация нового пользователяВойти
Уже есть аккаунт? Войти в систему.
Войти