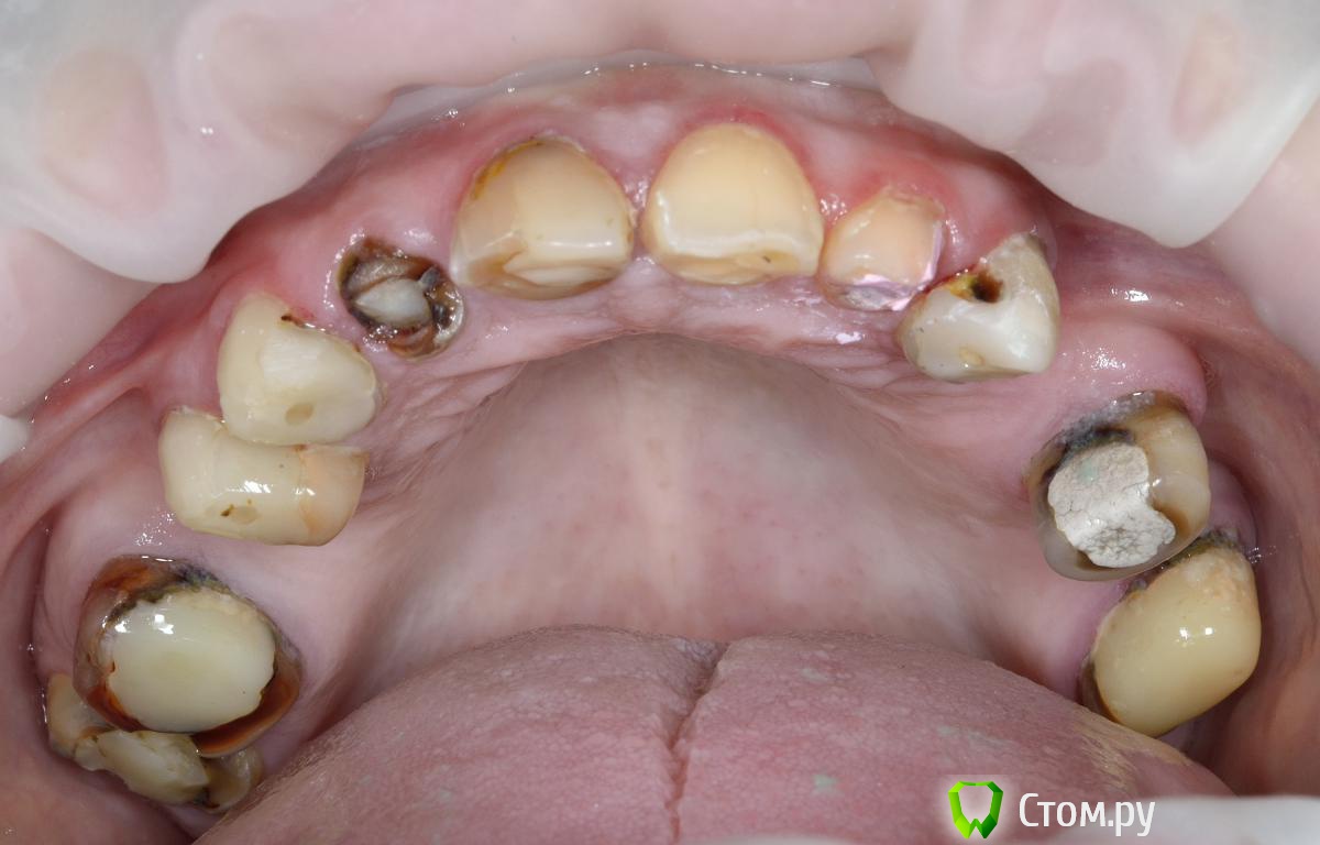
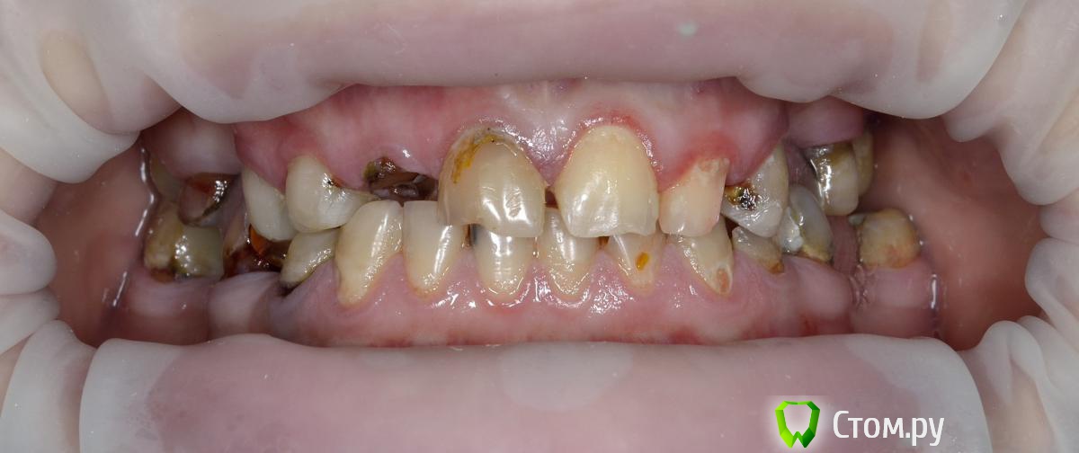
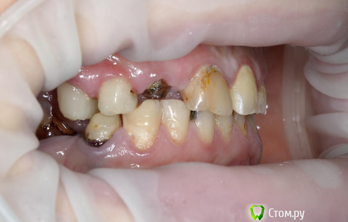
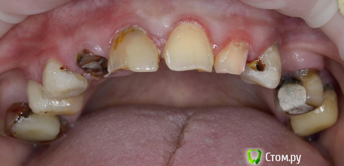
Vitremer Опубликовано 13 июля, 2014 Поделиться Опубликовано 13 июля, 2014 Здравствуйте! Пациентка 37 лет. Тотальное протезирование в/ч.Что делать:1.с уже ранее леченными и восстановлеными СВШ зубами 1.4 1.3 2.3 2.7 ? ( оставлять-менять на вкв...)2. корень 1.2 . ВКВ ? феррула почти нетПока такие вопросы. Ссылка на комментарий
scarifikator Опубликовано 13 июля, 2014 Поделиться Опубликовано 13 июля, 2014 А по нижним зубам у Вас нет вопросов? Видится мне тотал не только в/ч. Ну и снимки нужны. Ссылка на комментарий
Vitremer Опубликовано 13 июля, 2014 Автор Поделиться Опубликовано 13 июля, 2014 А по нижним зубам у Вас нет вопросов? Видится мне тотал не только в/ч. Ну и снимки нужны Нижние будут протезироваться позже( по финансовым соображениям)Панораму выложу в понедельник Ссылка на комментарий
M@estro Опубликовано 13 июля, 2014 Поделиться Опубликовано 13 июля, 2014 Нижние будут протезироваться позже( по финансовым соображениям) Либо верх и низ ( времянки,например) . Либо отказ от пациента. Зубы перелечивать,вероятно. Я за рентген. 3 Ссылка на комментарий
kozloff Опубликовано 13 июля, 2014 Поделиться Опубликовано 13 июля, 2014 Нижние будут протезироваться позже( по финансовым соображениям) Панораму выложу в понедельник Эту тупиковый план, сами больше намучаетесь сдавать такую работу, результат заведомо неудовлетворительный. Ссылка на комментарий
MaxDok Опубликовано 13 июля, 2014 Поделиться Опубликовано 13 июля, 2014 Либо верх и низ ( времянки,например) . Либо отказ от пациента. Зубы перелечивать,вероятно. Я за рентген.+1 , сделайте на низ хотя бы времянки , или смысл всего лечения пропадает . 1 1 Ссылка на комментарий
Vitremer Опубликовано 13 июля, 2014 Автор Поделиться Опубликовано 13 июля, 2014 Думаю на времянки низ она будет согласна. Что с теми свш делать? Ссылка на комментарий
M@estro Опубликовано 13 июля, 2014 Поделиться Опубликовано 13 июля, 2014 Думаю на времянки низ она будет согласна. Что с теми свш делать? Снимки ? P.s. Я бы всё убрал - и сделал заново. У меня не раз было,что такие "свш" вылетают от малейшей потяжки,даже высверливать не надо Ссылка на комментарий
Alex74 Опубликовано 13 июля, 2014 Поделиться Опубликовано 13 июля, 2014 Думаю на времянки низ она будет согласна. Что с теми свш делать? Если денег нет, я бы наверное предложил ПСП Ссылка на комментарий
Vitremer Опубликовано 13 июля, 2014 Автор Поделиться Опубликовано 13 июля, 2014 Если денег нет, я бы наверное предложил ПСП Давайте без сарказма. Пока она будет собирать на две челюсти-полетит все оставшееся. А импланты-совсем другой прайс Ссылка на комментарий
Vitremer Опубликовано 13 июля, 2014 Автор Поделиться Опубликовано 13 июля, 2014 Я бы всё убрал - и сделал заново Снимки в понедельник.Заново чем?- вкв , анкера, билд-апы по Бабурову? (я так вижу кругового феррула нет) Ссылка на комментарий
Евгений Ходыкин Опубликовано 13 июля, 2014 Поделиться Опубликовано 13 июля, 2014 Имхо 1.7, 1.6, 1.2 аут, судьба остальных после рентгена... Ссылка на комментарий
Евгений Ходыкин Опубликовано 13 июля, 2014 Поделиться Опубликовано 13 июля, 2014 2.7 туда же Ссылка на комментарий
M@estro Опубликовано 13 июля, 2014 Поделиться Опубликовано 13 июля, 2014 Заново чем?- вкв , анкера, билд-апы по Бабурову? (я так вижу кругового феррула нет) Анкера в топку,остальное- оценил бы ,что там от зубов осталось после того,как убрал. Сложно судить,но что -то мне подсказывает,что покрывать всё это в нынешнем состоянии - это не совсем правильно и не совсем надолго Ссылка на комментарий
Alex74 Опубликовано 13 июля, 2014 Поделиться Опубликовано 13 июля, 2014 (изменено) Давайте без сарказма. Пока она будет собирать на две челюсти-полетит все оставшееся. А импланты-совсем другой прайсНикакого сарказма. БОльшая часть зубов, судя по фото, очень сильно разрушена. Качественно их сделать будет стоить не дешевле имплантатов. Если перебирать их дорого, то тогда "более-менее" нормальные зубы - это резцы 11 21 22 и премоляр слева. Какие варианты бюджетные приходят в голову с 4 оставшимися во рту зубами? А ставить "на то что было, то и полюбила"...ну не знаю. Сколько оно простоит? Поэтому простое решение предложил - всё убрать и сделать ПСП. Изменено 13 июля, 2014 пользователем Alex74 Ссылка на комментарий
M@estro Опубликовано 13 июля, 2014 Поделиться Опубликовано 13 июля, 2014 Никакого сарказма. БОльшая часть зубов, судя по фото, очень сильно разрушена. Качественно их сделать будет стоить не дешевле имплантатов. Если перебирать их дорого, то тогда "более-менее" нормальные зубы - это резцы 11 21 22 и премоляр слева. Какие варианты бюджетные приходят в голову с 4 оставшимися во рту зубами? А ставить "на то что было, то и полюбила"...ну не знаю. Сколько оно простоит? Поэтому простое решение предложил - всё убрать и сделать ПСП. Себе бы так сделали ? Судя по исходной фото ? 1 Ссылка на комментарий
chervoncevdaniil Опубликовано 13 июля, 2014 Поделиться Опубликовано 13 июля, 2014 Снимки в понедельник.Заново чем?- вкв , анкера, билд-апы по Бабурову? (я так вижу кругового феррула нет)А что за билдапы по Бабурову? У Александра уже свой авторский протокол билд апов есть? Ссылка на комментарий
dzynya Опубликовано 14 июля, 2014 Поделиться Опубликовано 14 июля, 2014 бы предложила хирургическое удлинение, для начала Ссылка на комментарий
Alex74 Опубликовано 15 июля, 2014 Поделиться Опубликовано 15 июля, 2014 Себе бы так сделали ? Судя по исходной фото ? Я бы денег подкопил. У вас какой план? "Времянки"? Зачем они, если на "постоянки" нет финансов? Если вы имеете в виду "времянки", по крайней мере из м\к, и пациент осилит перелечивание и билдапы более-менее адекватных зубов, тогда это имеет смысл. А иначе.... Ссылка на комментарий
Alex74 Опубликовано 15 июля, 2014 Поделиться Опубликовано 15 июля, 2014 И где снимки? Ссылка на комментарий
Vitremer Опубликовано 15 июля, 2014 Автор Поделиться Опубликовано 15 июля, 2014 И где снимки? Прошу прощения, снимки завтра( молния-гроза-вырубила весь инет и т.д) Ссылка на комментарий
Bratok Опубликовано 16 июля, 2014 Поделиться Опубликовано 16 июля, 2014 А что за билдапы по Бабурову? У Александра уже свой авторский протокол билд апов есть?У меня тот же вопрос назрел, когда прочитал Ссылка на комментарий
Vitremer Опубликовано 18 июля, 2014 Автор Поделиться Опубликовано 18 июля, 2014 Снимок Ссылка на комментарий
Nikolay S Опубликовано 20 июля, 2014 Поделиться Опубликовано 20 июля, 2014 Однозначно, протезировать верх и низ! С целью удешевления частично мк, частично ц.литые. К сожелению, некоторые зубы удалять. Успехов! Ссылка на комментарий
mlmf Опубликовано 24 июля, 2014 Поделиться Опубликовано 24 июля, 2014 Извините за очень глупый вопрос наверно , но почему так критично именно вв вн вместе?? Как они связаны ? Почему нельзя по отдельности? Ссылка на комментарий
Рекомендуемые сообщения
Для публикации сообщений создайте учётную запись или авторизуйтесь
Вы должны быть пользователем, чтобы оставить комментарий
Создать аккаунт
Зарегистрируйте новый аккаунт в нашем сообществе. Это очень просто!
Регистрация нового пользователяВойти
Уже есть аккаунт? Войти в систему.
Войти