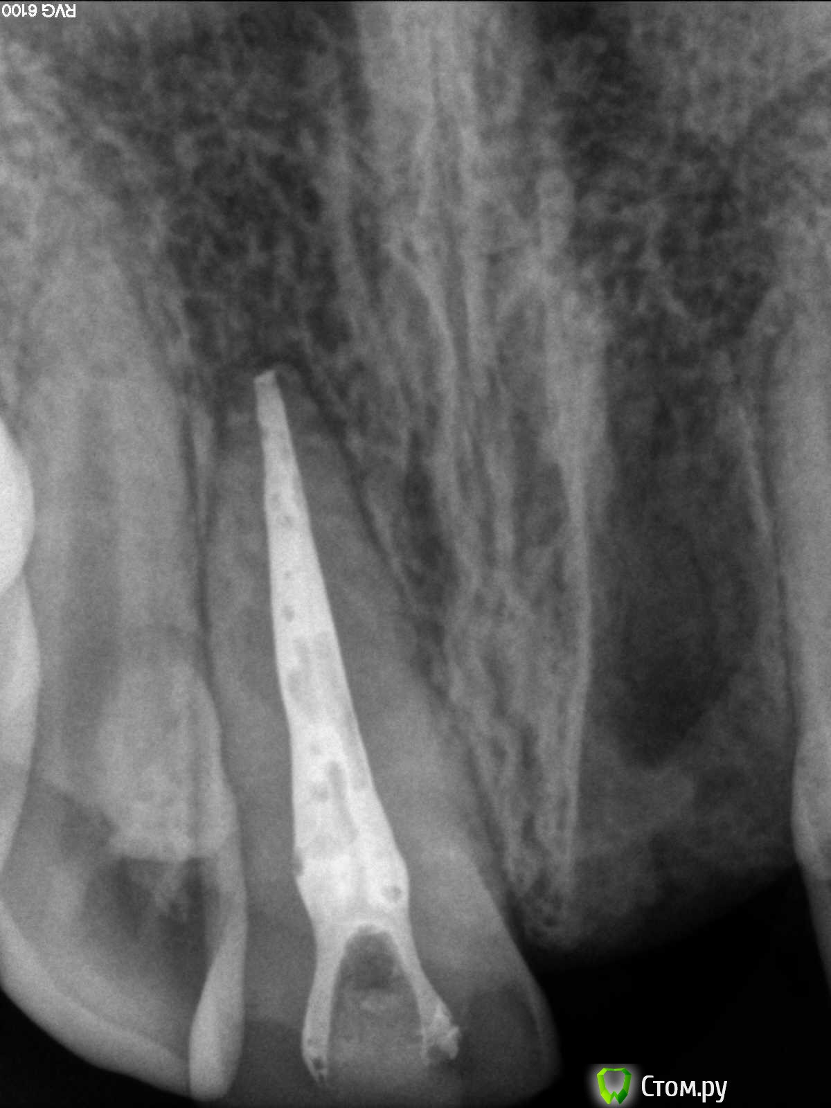
sorriso Опубликовано 31 мая, 2014 Поделиться Опубликовано 31 мая, 2014 В последнее время при обтурации получается вот такая картина. Раньше такого не наблюдала. Может быть партия силера такая? Кто как с этим справляется? Ссылка на комментарий
Гарриевич Опубликовано 31 мая, 2014 Поделиться Опубликовано 31 мая, 2014 Это не пору это "меньше сидера, больше силера" Ссылка на комментарий
sorriso Опубликовано 1 июня, 2014 Автор Поделиться Опубликовано 1 июня, 2014 Стоит с этим бороться или это не катастрофично? Ссылка на комментарий
Л Ю С Я Опубликовано 1 июня, 2014 Поделиться Опубликовано 1 июня, 2014 Каким методом обтурирован канал? Ссылка на комментарий
Гарриевич Опубликовано 1 июня, 2014 Поделиться Опубликовано 1 июня, 2014 На мой взгляд не катастрофично Ссылка на комментарий
sorriso Опубликовано 1 июня, 2014 Автор Поделиться Опубликовано 1 июня, 2014 Каким методом обтурирован канал?Латералка Ссылка на комментарий
АнтонТЛТ Опубликовано 1 июня, 2014 Поделиться Опубликовано 1 июня, 2014 Мне кажется нужно больше гутты Ссылка на комментарий
Kivilgar Опубликовано 1 июня, 2014 Поделиться Опубликовано 1 июня, 2014 На мой взгляд не катастрофичноЯ бы не был так категоричен. Ссылка на комментарий
Kivilgar Опубликовано 1 июня, 2014 Поделиться Опубликовано 1 июня, 2014 Мне кажется нужно больше гутты+1 Ссылка на комментарий
Ico Опубликовано 2 июня, 2014 Поделиться Опубликовано 2 июня, 2014 В последнее время при обтурации получается вот такая картина. Раньше такого не наблюдала. Может быть партия силера такая? Кто как с этим справляется?Конусность 4ая? Ссылка на комментарий
sorriso Опубликовано 2 июня, 2014 Автор Поделиться Опубликовано 2 июня, 2014 Конусность 4ая?Нет,2ая Ссылка на комментарий
Ico Опубликовано 2 июня, 2014 Поделиться Опубликовано 2 июня, 2014 (изменено) Нет,2аяВы примерно помните как латералили и что за чем шло?Если да,опишите.Возможно просто недодавили))))))))У меня такое случалось,когда боялся овернуть Поры - не страшно,на результат мало влияют. Изменено 2 июня, 2014 пользователем Ico 1 Ссылка на комментарий
koss Опубликовано 2 июня, 2014 Поделиться Опубликовано 2 июня, 2014 и чего такая печалька случилась Ссылка на комментарий
Ico Опубликовано 2 июня, 2014 Поделиться Опубликовано 2 июня, 2014 (изменено) и чего такая печалька случилась Там все наоборот)))) Это реколл через год!Бл.Спасибо исправил!!!! Изменено 2 июня, 2014 пользователем Ico 1 Ссылка на комментарий
koss Опубликовано 3 июня, 2014 Поделиться Опубликовано 3 июня, 2014 Странностей не заметил Ссылка на комментарий
Рекомендуемые сообщения
Для публикации сообщений создайте учётную запись или авторизуйтесь
Вы должны быть пользователем, чтобы оставить комментарий
Создать аккаунт
Зарегистрируйте новый аккаунт в нашем сообществе. Это очень просто!
Регистрация нового пользователяВойти
Уже есть аккаунт? Войти в систему.
Войти