fmn Опубликовано 28 мая, 2014 Поделиться Опубликовано 28 мая, 2014 Здравствуйте, уважаемые коллеги. представляю вашему вниманию небольшой промежуточный результат пока ещё не завершённого кейса. Хочу заверить. что подход был самый что ни на есть минимально инвазивный. Более подробно я напишу про подход и почему я выбрал именно такой вариант реконструкции чуть позже. с уважением... 13 Ссылка на комментарий
АнтонТЛТ Опубликовано 28 мая, 2014 Поделиться Опубликовано 28 мая, 2014 Есть фото с имплантатами до стружки? Как я понял стружка с фрез?Зачем вертикальный разрез? Почему не поставили формирователи и не пришили сст? Ну и Кури не совсем "минимально инвазивно" П.с. спасибо за кейс 1 Ссылка на комментарий
fmn Опубликовано 28 мая, 2014 Автор Поделиться Опубликовано 28 мая, 2014 Фото с имплантатами без стружки, к сожалению, не делал. Стружка с фрез. Без вертикального разреза не получилось бы разобрать фиксацию. Если бы не пришлось использовать стружку, поставил бы ФДМ и пришил ССТ. ПС Спасибо, только это не Кури В этом-то и смысл темы Ссылка на комментарий
Doctorstomlis Опубликовано 29 мая, 2014 Поделиться Опубликовано 29 мая, 2014 Фото с имплантатами без стружки, к сожалению, не делал. Стружка с фрез. Без вертикального разреза не получилось бы разобрать фиксацию. Если бы не пришлось использовать стружку, поставил бы ФДМ и пришил ССТ. ПС Спасибо, только это не Кури В этом-то и смысл темы А что?Моноблоки? Ссылка на комментарий
ILGAMSA Опубликовано 29 мая, 2014 Поделиться Опубликовано 29 мая, 2014 Хорошая работа Артем, и загадка тоже хорошая))) Либо это алло...Либо ... ну... у пациента под наркозом проводилась какая-либо другая операция на опорном скелете... и взяли кость оттуда)) 1 Ссылка на комментарий
doca Опубликовано 29 мая, 2014 Поделиться Опубликовано 29 мая, 2014 Хорошая работа Артем, и загадка тоже хорошая))) Либо это алло...Либо ... ну... у пациента под наркозом проводилась какая-либо другая операция на опорном скелете... и взяли кость оттуда))lf?да, похоже на алло Ссылка на комментарий
fmn Опубликовано 29 мая, 2014 Автор Поделиться Опубликовано 29 мая, 2014 Хорошая работа Артем, и загадка тоже хорошая))) Либо это алло...Либо ... ну... у пациента под наркозом проводилась какая-либо другая операция на опорном скелете... и взяли кость оттуда))Спасибо, Ильгам! Приятно слышать от такого мастера. К сожалению, Вы не угадали))) Ссылка на комментарий
fmn Опубликовано 29 мая, 2014 Автор Поделиться Опубликовано 29 мая, 2014 А что?Моноблоки?Если Вы имеете в виду монокортикал - то нет) Ссылка на комментарий
Doctorstomlis Опубликовано 29 мая, 2014 Поделиться Опубликовано 29 мая, 2014 Если Вы имеете в виду монокортикал - то нет)Ну тогда это самый мало-инвазивный метод-НКР,просто винты были не вертикально,а горизонтально. Ссылка на комментарий
fmn Опубликовано 29 мая, 2014 Автор Поделиться Опубликовано 29 мая, 2014 Ну тогда это самый мало-инвазивный метод-НКР,просто винты были не вертикально,а горизонтально.Не угадали) Ссылка на комментарий
АнтонТЛТ Опубликовано 29 мая, 2014 Поделиться Опубликовано 29 мая, 2014 Тогда остается мпк и расщепление ))) Ссылка на комментарий
fmn Опубликовано 29 мая, 2014 Автор Поделиться Опубликовано 29 мая, 2014 Здесь пациентка - возрастная и с сопутствующими соматическими проблемами. Анестезиолога в клинике нет. Моей задачей было сделать хирургию максимально быстро и атравматично. В итоге, я выбрал компромиссный способ - пластику ксеногенным итальянским блоком. Блок укрывал мембраной эволюшн. Если честно, рассчитывал на более скромный результат. http://dispotrade-spb.ru/d/73725/d/osteobiol_dual_block.jpg 11 Ссылка на комментарий
ILGAMSA Опубликовано 29 мая, 2014 Поделиться Опубликовано 29 мая, 2014 Супер! 3 Ссылка на комментарий
ILGAMSA Опубликовано 29 мая, 2014 Поделиться Опубликовано 29 мая, 2014 Давайте исходную ситуацию и протокол операции! 1 Ссылка на комментарий
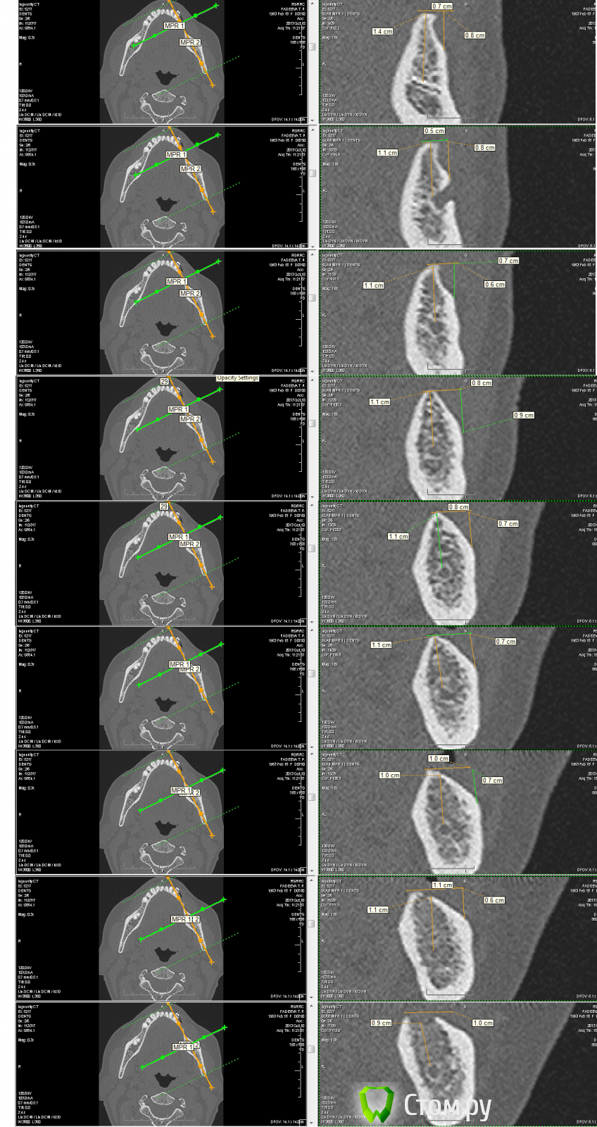
fmn Опубликовано 29 мая, 2014 Автор Поделиться Опубликовано 29 мая, 2014 Фотопротокола не было, т.к. он съедает до 30% времени операции, а там время было критично. Исходная ситуация крупнее - в приложении. Ссылка на комментарий
dent-a Опубликовано 29 мая, 2014 Поделиться Опубликовано 29 мая, 2014 Уважаемый ФМН, Трансп выглядит плотно, а почему именно губчато-кортикальный блок ? а не губчатый? Декортикацию перед припасовкой делали :?Эволючн толстенькую брали? 1 Ссылка на комментарий
an_ver Опубликовано 29 мая, 2014 Поделиться Опубликовано 29 мая, 2014 О как! Красиво получилось! А по подробнее когда? Ссылка на комментарий
fmn Опубликовано 29 мая, 2014 Автор Поделиться Опубликовано 29 мая, 2014 Уважаемый ФМН, Трансп выглядит плотно, а почему именно губчато-кортикальный блок ? а не губчатый? Декортикацию перед припасовкой делали :?Эволючн толстенькую брали?Мне показалось, что кортикально-губчатый блок будет более стабильным.Декортикацию делал, но без фанатизма.Эволюшн была толстенькая. Как-то я её больше люблю. Ссылка на комментарий
fmn Опубликовано 29 мая, 2014 Автор Поделиться Опубликовано 29 мая, 2014 (изменено) О как! Красиво получилось! А по подробнее когда? Спасибо!В принципе, я уже всё написал. если интересует что-то ещё - спрашивайте. Хирургия была банальная: Замачивание блока. Разрез как на фото с имплантацией, отслойка, перфорация кортикалки, моделировка блока. Прикручивание винтами. Манипуляционно, блок после замачивания очень мягкий - напоминает губку для мытья посуды по консистенции, с жёстким кортикальным слоем. При фиксации возникает соблазн его немного "додавить", из-за чего он может доформироваться. Укрытие мембраной. Фиксация мембраны швами. Мобилизация лоскута, ушивание - так же как на фото. 3 дня был довольно резкий послеоперационный отёк, температура - но, в принципе, так же как и после аутокостной пластики. Изменено 29 мая, 2014 пользователем fmn Ссылка на комментарий
doc-евгений Опубликовано 29 мая, 2014 Поделиться Опубликовано 29 мая, 2014 Спасибо!В принципе, я уже всё написал. если интересует что-то ещё - спрашивайте. Хирургия была банальная: Замачивание блока. Разрез как на фото с имплантацией, отслойка, перфорация кортикалки, моделировка блока. Прикручивание винтами. Манипуляционно, блок после замачивания очень мягкий - напоминает губку для мытья посуды по консистенции, с жёстким кортикальным слоем. При фиксации возникает соблазн его немного "додавить", из-за чего он может доформироваться. Укрытие мембраной. Фиксация мембраны швами. Мобилизация лоскута, ушивание - так же как на фото. 3 дня был довольно резкий послеоперационный отёк, температура - но, в принципе, так же как и после аутокостной пластики.Через какое время открыли блок? Были ли какие то проблемы с подобными блоками? Ссылка на комментарий
fmn Опубликовано 29 мая, 2014 Автор Поделиться Опубликовано 29 мая, 2014 (изменено) Через какое время открыли блок? Были ли какие то проблемы с подобными блоками? Производитель рекомендует открывать через 8 месяцев. Я открыл через 6 с половиной. Если честно, это моя первая операция с такими блоками. Я всегда относился и до сих пор отношусь к алло и ксено блокам с большой настороженностью. Здесь это был именно компромиссный вариант. Результаты меня приятно удивили и я решил поделиться ими. Надеюсь, для кого-то это окажется полезным. Изменено 29 мая, 2014 пользователем fmn 2 Ссылка на комментарий
Goacasper Опубликовано 29 мая, 2014 Поделиться Опубликовано 29 мая, 2014 пластику ксеногенным итальянским блоком. Блок укрывал мембраной эволюшн. Если честно, рассчитывал на более скромный результат. Это первый опыт работы с ДуалБлоком? Сравнивали ли с обычным СПБлоком? Ссылка на комментарий
fmn Опубликовано 29 мая, 2014 Автор Поделиться Опубликовано 29 мая, 2014 Это первый опыт работы с ДуалБлоком? Сравнивали ли с обычным СПБлоком? СП блок не пробовал. Ссылка на комментарий
Alexey Doc Опубликовано 29 мая, 2014 Поделиться Опубликовано 29 мая, 2014 Интересная работа с отличным результатом! Каковы были исходные размеры блока и каков прирост получили, качество костной ткани?Удобно ли было работать с блоком? 1 Ссылка на комментарий
fmn Опубликовано 29 мая, 2014 Автор Поделиться Опубликовано 29 мая, 2014 Интересная работа с отличным результатом! Каковы были исходные размеры блока и каков прирост получили, качество костной ткани?Удобно ли было работать с блоком?Спасибо! Если посмотреть по винтам, то резорбция не больше полутора мм. Качество кости порадовало. D2 по плотности. Работать было удобно. Ссылка на комментарий
Рекомендуемые сообщения
Для публикации сообщений создайте учётную запись или авторизуйтесь
Вы должны быть пользователем, чтобы оставить комментарий
Создать аккаунт
Зарегистрируйте новый аккаунт в нашем сообществе. Это очень просто!
Регистрация нового пользователяВойти
Уже есть аккаунт? Войти в систему.
Войти