Doc Опубликовано 19 мая, 2014 Поделиться Опубликовано 19 мая, 2014 какой-то интересный временный абатмент. А как он фиксируется, я отверстия не вижу под винт?)))не открываются 3 и 4 фото, может там ответ как долго ходят у Вас с подобной временной конструкцией. Весь период интеграции?Я сейчас на работе, из дома потом поправлю, может что-то не так закачалось. Абатмент сам является винтом, у него наверху под отвертку дырка. Да, ходят весь период. Одна сегодня придет, так она второй год с этой штукой ходит. Десна в идеальном состоянии, несмотря на то, что уже несколько раз коронка отваливалась и обратно сажалась. Ссылка на комментарий
MaxDok Опубликовано 19 мая, 2014 Поделиться Опубликовано 19 мая, 2014 В случае с одиночными центральными частенько делаю сразу после имплантации в кресле на временном абатменте с пластиковой вставкой при помощи префабрикованного зуба из 3М-ского набора. Нравится этот вариант меньше, т.к. цементируемая конструкция, не так надежно сидит во рту и не всегда уверен на 100 процентов, что цемент не попал под десну (все в крови, десна не сформирована и все такое). Но зато пациент сразу уходит в таком вид, что никто не замечает, что он вообще что-то делал, не то что удалял зуб и поставил имплантат. Эмиль Гургенович , делю так же , кроме набора от 3М у меня есть еще (не помню как называется ) прозрачные пластиковые префабрикованные зубы , абатмент с шестигранником редуцирую по высоте , устанавливаю в имплант не фиксируя винтом , изолирую шахту , подогнаный прифабрикованный зуб поверх , затем вынимаю все уже вместе , модифицирую композитом , и перевожу в винтовую . на все уходит 15 мин . Как то так Ссылка на комментарий
PaulG Опубликовано 20 мая, 2014 Поделиться Опубликовано 20 мая, 2014 фиксация коронки на колпачок при помощи Protemp Garant 4 Screen Shot 2014-05-18 at 22.08.38.png вид времянки на абатменте Screen Shot 2014-05-18 at 22.08.38.png Интересно было бы взглянуть на эти фото......уж простите назойливость. Ссылка на комментарий
Doc Опубликовано 22 мая, 2014 Поделиться Опубликовано 22 мая, 2014 Прошу прощения, заработался совсем. Сейчас выложу фотографии абатмента и времянки. Что-то сбойнуло, видимо, фотографии неправильно загрузились. Ссылка на комментарий
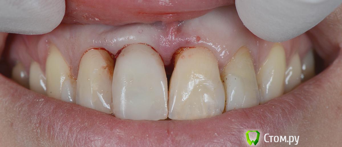
Doc Опубликовано 22 мая, 2014 Поделиться Опубликовано 22 мая, 2014 Вид абатмента во рту. Вид абатмента и коронки, уже посаженной на колпак. Вид коронки на абатменте 2 Ссылка на комментарий
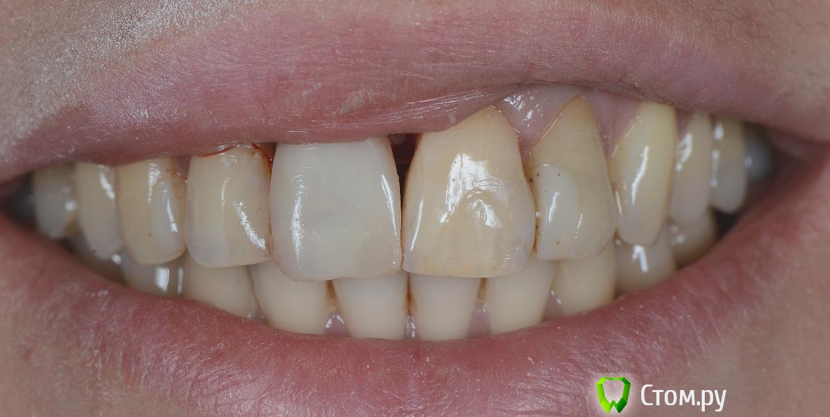
Evikrol Опубликовано 23 мая, 2014 Автор Поделиться Опубликовано 23 мая, 2014 А это моя временная. Не сфотографировал временный аббатмент, надо было. Кажется ваш метод побыстрее будет, надо попробовать. 1 Ссылка на комментарий
PaulG Опубликовано 23 мая, 2014 Поделиться Опубликовано 23 мая, 2014 Вид абатмента во рту. Вид абатмента и коронки, уже посаженной на колпак. Вид коронки на абатментеИскренне:Спасибо. Ссылка на комментарий
Doc Опубликовано 24 мая, 2014 Поделиться Опубликовано 24 мая, 2014 А это моя временная. Не сфотографировал временный аббатмент, надо было. Кажется ваш метод побыстрее будет, надо попробовать. Главное - результат! Скорость это уже вторично. А что получилось в итоге? Не слишком ли большой треугольник? Закрылся? Ссылка на комментарий
Evikrol Опубликовано 24 мая, 2014 Автор Поделиться Опубликовано 24 мая, 2014 Пока не знаю что получится, имплантацая только 23 мая была. Треугольник специально оставил, чтобы ничего не мешало, вдруг наростёт сосочек. И кажется зенит немного выше получился, это я только по фото заметил. Небольшая сложность в том что хирург имплантат поставил так что шахта винта выходит вестибулярно, каждый раз придётся реставрировать дырку. Ссылка на комментарий
syrovovec Опубликовано 5 февраля, 2015 Поделиться Опубликовано 5 февраля, 2015 Только вчера был на обучении, в немалоизвестном образовательном учреждении. Лектор утверждает что на данный момент, ортопеды в их сети не нагружают имплантаты пока не вышел срок интеграции. Объясняется это тем, что установленная временная коронка сразу после постановки имплантата, даже если выведенная из прикуса, пациент может выломать имплантат открывая бутылку новым зубом, мы его не контролируем. По этому они делают временные конструкции таким образом: обычная прозрачная разгрузочная каппа, а в месте где имплантат композитом заполнено. Что вы думаете? http://img4.tempfile.ru/13134/01ed7e27b1/716c3ed95c6f16b5970e9387.jpg Доктора,данная конструкция выдержит "пролет" в 5 зубов? Ссылка на комментарий
Art 7 Опубликовано 5 февраля, 2015 Поделиться Опубликовано 5 февраля, 2015 Выдержит если только не жевать 3 Ссылка на комментарий
Evikrol Опубликовано 7 февраля, 2015 Автор Поделиться Опубликовано 7 февраля, 2015 (изменено) Делал на 4 фронтальных. Норм. Изменено 7 февраля, 2015 пользователем Evikrol Ссылка на комментарий
Doc Опубликовано 7 февраля, 2015 Поделиться Опубликовано 7 февраля, 2015 Пока не знаю что получится, имплантацая только 23 мая была. Треугольник специально оставил, чтобы ничего не мешало, вдруг наростёт сосочек. И кажется зенит немного выше получился, это я только по фото заметил. Небольшая сложность в том что хирург имплантат поставил так что шахта винта выходит вестибулярно, каждый раз придётся реставрировать дырку. А нам Процера открыла уже абатмент с изменяемым углом. На неделе начнем тестирование на кошках. Обещали для России открыть в апреле. Ссылка на комментарий
Doc Опубликовано 7 февраля, 2015 Поделиться Опубликовано 7 февраля, 2015 Эмиль Гургенович , делю так же , кроме набора от 3М у меня есть еще (не помню как называется ) прозрачные пластиковые префабрикованные зубы , абатмент с шестигранником редуцирую по высоте , устанавливаю в имплант не фиксируя винтом , изолирую шахту , подогнаный прифабрикованный зуб поверх , затем вынимаю все уже вместе , модифицирую композитом , и перевожу в винтовую . на все уходит 15 мин . Как то так Метод замечательный, но часто во фронте шахта выходит вестибулярно и это все портит! Если шахта выходит куда надо, то нет ничего лучше винтовой фиксации времянки, двумя руками за! Ссылка на комментарий
Evikrol Опубликовано 7 февраля, 2015 Автор Поделиться Опубликовано 7 февраля, 2015 Да, видел я презентацию неделю назад, пока это только нобель, на сколько я понял. Ссылка на комментарий
Doc Опубликовано 7 февраля, 2015 Поделиться Опубликовано 7 февраля, 2015 Да, видел я презентацию неделю назад, пока это только нобель, на сколько я понял. Думаю, что не ПОКА, а долго еще будет только Нобель, т.к. это их патентованная разработка. Поглядим как оно в работе будет. Утверждают, что ни одной жалобы пока не было. Ссылка на комментарий
Рекомендуемые сообщения
Для публикации сообщений создайте учётную запись или авторизуйтесь
Вы должны быть пользователем, чтобы оставить комментарий
Создать аккаунт
Зарегистрируйте новый аккаунт в нашем сообществе. Это очень просто!
Регистрация нового пользователяВойти
Уже есть аккаунт? Войти в систему.
Войти