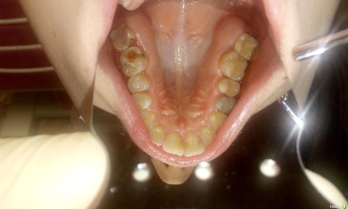
ZubFairy Опубликовано 3 апреля, 2014 Поделиться Опубликовано 3 апреля, 2014 (изменено) Уважаемые доктора,каков Ваш план лечения таких зубов 46,47? Изменено 3 апреля, 2014 пользователем ZubFairy 1 1 Ссылка на комментарий
ZubFairy Опубликовано 3 апреля, 2014 Автор Поделиться Опубликовано 3 апреля, 2014 Фото плохого качества,если получится перефоткаю . Оба зуба не беспокоят.Мой план лечения:перепломбировка каналов в 46,пломба ,коронка . А вот с 47 сложно. На данный момент он пациента не беспокоит,но 2 недели назад были сильные боли на фоне простуды. Сейчас всё ок,перкуссия и пальпация безболезненны. Эндомотора у меня нет,файлы обычные,гутта ассорти,эндометазон.(и так на 250 км.вокруг),поэтому послать к другому доктору не получится. Скажите свой план лечения таких зубов? Ссылка на комментарий
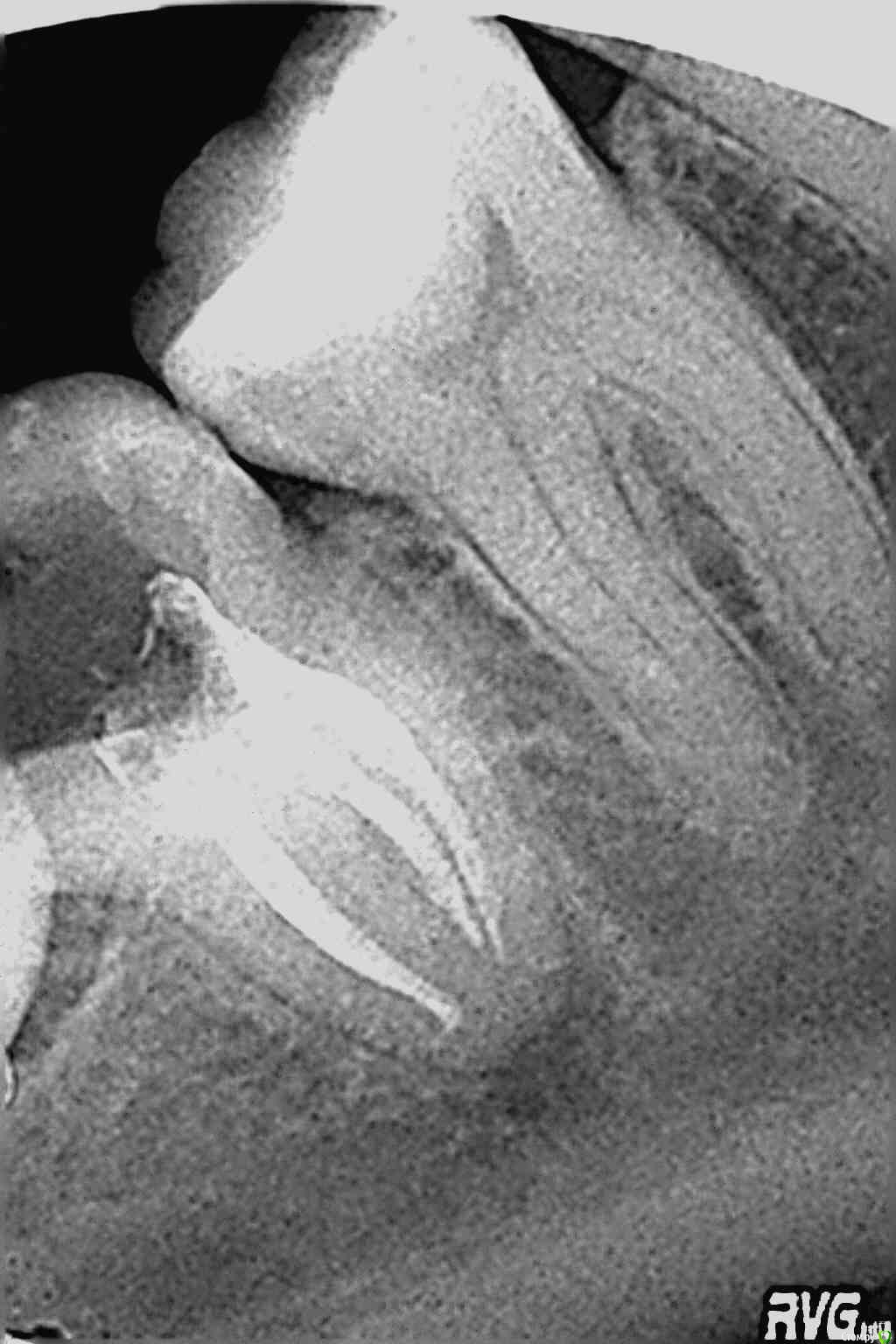
Kivilgar Опубликовано 3 апреля, 2014 Поделиться Опубликовано 3 апреля, 2014 А там на снимках это дефекты пленки в виде трещин или что это? Ссылка на комментарий
Гарриевич Опубликовано 3 апреля, 2014 Поделиться Опубликовано 3 апреля, 2014 А ультразвук с эндочаком есть?Если по простому, то удалять 7 и перелечивать 6.Если у Вас и пациента есть желание и возможности, то можно и 7 попробовать "на ноги поставить" И про дейект снимка присоединяюс к вопросу Ссылка на комментарий
ZubFairy Опубликовано 3 апреля, 2014 Автор Поделиться Опубликовано 3 апреля, 2014 В виде трещин это каляки -маляки рентгенолога,пишет какие-то свои знаки всегда на нужных зубах. Ультразвука с эндочаком нет,на удаление пациент не пойдет:не болит же,будет тянуть его до конца. Вот и спрашиваю,как его лечить и чем,могу купить ручные профайлы,в каналы что то другое кроме эндометазона . Сразу пломбировать нельзя,надо что то ещё в каналы положить на какое то время,потом рентген контроль и тогда уж..? Ссылка на комментарий
Гарриевич Опубликовано 3 апреля, 2014 Поделиться Опубликовано 3 апреля, 2014 А хлорка есть?Если есть и Вам хочется этот "жуб" полечить, то максимально расширяйте корневые каналы и тщательно мойте хлоркой нагретой до хоть 40 градусов, потом кальций и под хорошую временную из копмозита. Может поможет)) Ссылка на комментарий
M@estro Опубликовано 3 апреля, 2014 Поделиться Опубликовано 3 апреля, 2014 Ультразвука с эндочаком нет,на удаление пациент не пойдет:не болит же,будет тянуть его до конца. Вот и спрашиваю,как его лечить и чем,могу купить ручные профайлы,в каналы что то другое кроме эндометазона . Не трогайте зуб. В случае провала- проблем не оберётесь. Пациент "не парится" - не лезьте на рожон. Ссылка на комментарий
sydnik Опубликовано 3 апреля, 2014 Поделиться Опубликовано 3 апреля, 2014 удаляем Ссылка на комментарий
Stomart Опубликовано 3 апреля, 2014 Поделиться Опубликовано 3 апреля, 2014 6-й лечить, 7-й удалять. Имхо. Ссылка на комментарий
Rash163 Опубликовано 3 апреля, 2014 Поделиться Опубликовано 3 апреля, 2014 Уважаемые доктора,каков Ваш план лечения таких зубов 46,47?20140403_133355.jpg1396521135655.jpgЗачем же себе -1 ставить. Зубы давно регистрацию на вылет прошли) когда вылетят, пусть решает хозяин аэропорта) Ссылка на комментарий
Kolchanov Опубликовано 3 апреля, 2014 Поделиться Опубликовано 3 апреля, 2014 7-й удалять Такой стоит лечить?http://s005.radikal.ru/i212/1404/ef/114a7ce67126.jpg Ссылка на комментарий
sydnik Опубликовано 3 апреля, 2014 Поделиться Опубликовано 3 апреля, 2014 ] Такой стоит лечить? стоит , но больше зависит от адекватности пациента Ссылка на комментарий
ZubFairy Опубликовано 4 апреля, 2014 Автор Поделиться Опубликовано 4 апреля, 2014 Зачем же себе -1 ставить. Зубы давно регистрацию на вылет прошли) когда вылетят, пусть решает хозяин аэропорта)-1 ненарочно ,пыталась фотку вставить методом тыка ,вот и натыкала . Как убрать? И что это означает? Хозяин аэропорта с вылетом не согласен,и будет их спасать до последнего. Буду пробовать если придется лезть. Хлопка это гипохлорид натрия ? Нагревать его каким образом? Мыть из эндошприца? Ссылка на комментарий
Гарриевич Опубликовано 4 апреля, 2014 Поделиться Опубликовано 4 апреля, 2014 Да, гипохлорит натрия. Нагревать в теплой воде в обычном стакане или ваночке для подогревания детского питания. Мыть можно из любого шприца, главное что бы игла проходила как можно ближе к апексу и не заклинивала в эндошприцах можно быть уверенным, что иглу под давлением не выбьет со шприца Ссылка на комментарий
ger_berra Опубликовано 5 апреля, 2014 Поделиться Опубликовано 5 апреля, 2014 Уважаемые доктора,каков Ваш план лечения таких зубов 46,47?20140403_133355.jpg1396521135655.jpg6-ку сохранять,7-ку в плёвку. Ссылка на комментарий
Kolchanov Опубликовано 5 апреля, 2014 Поделиться Опубликовано 5 апреля, 2014 Почему семерку-то все приговорили? Что там с ней? По этим снимкам вообще ничего нельзя сказать Ссылка на комментарий
ger_berra Опубликовано 5 апреля, 2014 Поделиться Опубликовано 5 апреля, 2014 Почему семерку-то все приговорили? Что там с ней? По этим снимкам вообще ничего нельзя сказатьЯ согласна на счёт качества снимков,но мне не нравки тень в бифуркации в твердых тканях. Ссылка на комментарий
Витторио Орлионе Опубликовано 21 февраля, 2016 Поделиться Опубликовано 21 февраля, 2016 Господа, помогите пожалуйста мудрым советом.Зуб 4.7 был пломбирован 2 года назад и на сегодняшний день не беспокоил, а обратились потому, что скололась пломба на нём и прошло уже 2 дня с момента открытия зуба. В результате осмотра была обнаружена ВАТА. Убрал все поражённые ткани и в итоге зуб было рекомендовано восстановить вкладкой и коронкой. Вопросы:Нужно ли перелечивать каналы?Удалять ли 4.8 зуб? Зуб 2.5 ранее лечен резорцом, сейчас в цвете здорово изменён, да и пломба на нём весьма большая. Рекомендованы вкв и коронка.И тут снова вопрос о перепломбировке, нужно ли это? Вообще весьма непонятны такие случаи, когда надо перелечивать, а когда не надо? Ссылка на комментарий
Ker Опубликовано 21 февраля, 2016 Поделиться Опубликовано 21 февраля, 2016 Господа, помогите пожалуйста мудрым советом.Зуб 4.7 был пломбирован 2 года назад и на сегодняшний день не беспокоил, а обратились потому, что скололась пломба на нём и прошло уже 2 дня с момента открытия зуба. В результате осмотра была обнаружена ВАТА. Убрал все поражённые ткани и в итоге зуб было рекомендовано восстановить вкладкой и коронкой. Вопросы:Нужно ли перелечивать каналы?Удалять ли 4.8 зуб? Зуб 2.5 ранее лечен резорцом, сейчас в цвете здорово изменён, да и пломба на нём весьма большая. Рекомендованы вкв и коронка.И тут снова вопрос о перепломбировке, нужно ли это? Вообще весьма непонятны такие случаи, когда надо перелечивать, а когда не надо?На цемерке похоже на периодонтит качественный. Стоит попробовать, имхо. Пятерку тоже стоит, тем более если вкладка нужна. Снимок так себе кстати. Ссылка на комментарий
shishok Опубликовано 22 февраля, 2016 Поделиться Опубликовано 22 февраля, 2016 И 48 и 38 лучше убрать(кмк). 1 Ссылка на комментарий
Рекомендуемые сообщения
Для публикации сообщений создайте учётную запись или авторизуйтесь
Вы должны быть пользователем, чтобы оставить комментарий
Создать аккаунт
Зарегистрируйте новый аккаунт в нашем сообществе. Это очень просто!
Регистрация нового пользователяВойти
Уже есть аккаунт? Войти в систему.
Войти