Afffinity Опубликовано 17 марта, 2014 Поделиться Опубликовано 17 марта, 2014 1. Обратился мужчина, 25 лет, с жалобами на боли от холодного и горячего в области 36 зуба. На жевательной поверхности как таковой кариозной полости не было. Осталась полость от выпавшей пломбы. Когда выпала не уточнял, но зуб беспокоил 3й день. Как говориться, пипец один не приходит, а рядом с собой везет маленькую тележку. Сделали панорамник:Помимо эндо 36 было еще и эндо 31. Благо пациент разумный был. конечный результат тутИнструментация М-ту до 30/05. Ирригация гипохлорит, вода, ЭДТА, гипохлорит, сушка. Пломбирование вертикалка(Аппарат от Сиброн эндо, скажу не очень убобный. Бифилл лучше). Востановление композитный билдап. Апикальная часть обработана до 40/04 (дентин был мягкий, поэтому и расширять пришлось как следует). В ближайшее время будем вызванивать на реколл. Ссылка на комментарий
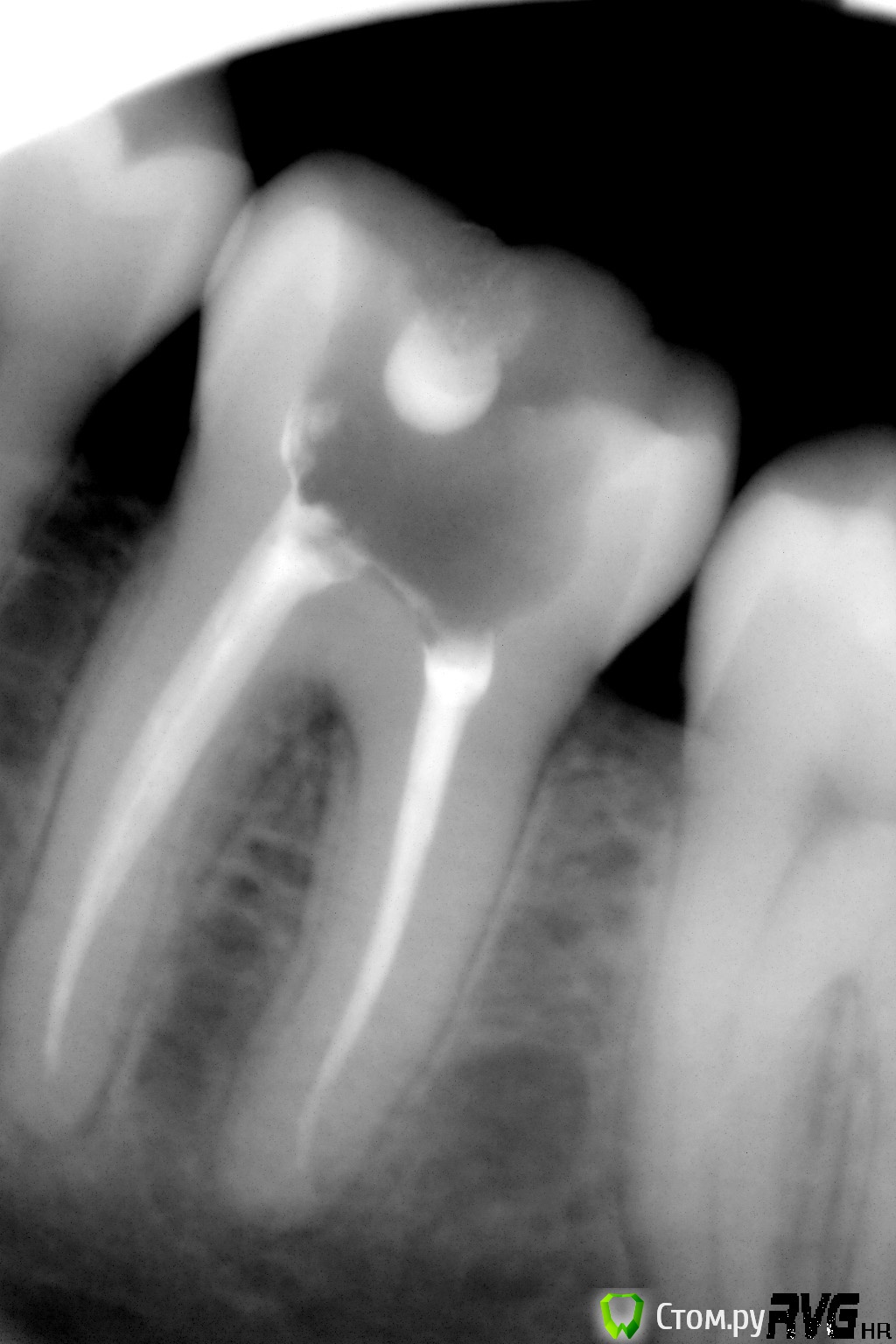
шахтер Опубликовано 17 марта, 2014 Поделиться Опубликовано 17 марта, 2014 1. Обратился мужчина, 25 лет, с жалобами на боли от холодного и горячего в области 36 зуба. На жевательной поверхности как таковой кариозной полости не было. Осталась полость от выпавшей пломбы. Когда выпала не уточнял, но зуб беспокоил 3й день. Как говориться, пипец один не приходит, а рядом с собой везет маленькую тележку. Сделали панорамник:Астафьев панорам..jpgПомимо эндо 36 было еще и эндо 31. Благо пациент разумный был. конечный результат тутR1.jpgИнструментация М-ту до 30/05. Ирригация гипохлорит, вода, ЭДТА, гипохлорит, сушка. Пломбирование вертикалка(Аппарат от Сиброн эндо, скажу не очень убобный. Бифилл лучше). Востановление композитный билдап. R3.jpgАпикальная часть обработана до 40/04 (дентин был мягкий, поэтому и расширять пришлось как следует). В ближайшее время будем вызванивать на реколл. А что 26,27,28,37? Снимок мало информативен . Нужна кт . Ссылка на комментарий
Л Ю С Я Опубликовано 17 марта, 2014 Поделиться Опубликовано 17 марта, 2014 В 3.1 была кар полость? На какой поверхности? По оптг непонятно Ссылка на комментарий
Afffinity Опубликовано 17 марта, 2014 Автор Поделиться Опубликовано 17 марта, 2014 А что 26,27,28,37? Снимок мало информативен . Нужна кт . Пациент пропал)В 3.1 была кар полость? На какой поверхности? По оптг непонятноБыла, на дистальной поверхности. Ссылка на комментарий
Л Ю С Я Опубликовано 17 марта, 2014 Поделиться Опубликовано 17 марта, 2014 Была, на дистальной поверхности.Почему тогда дист стенка целая? Ссылка на комментарий
shishok Опубликовано 17 марта, 2014 Поделиться Опубликовано 17 марта, 2014 А 41 и 32 витальные? Ссылка на комментарий
Afffinity Опубликовано 17 марта, 2014 Автор Поделиться Опубликовано 17 марта, 2014 А 41 и 32 витальные?Да, на эндофрост реагировали. Ссылка на комментарий
Afffinity Опубликовано 17 марта, 2014 Автор Поделиться Опубликовано 17 марта, 2014 Почему тогда дист стенка целая?Она "почти" целая была. На контактной поверхности в эмали едва заметное входное отверстие было. Но после вскрытия все было заполнено мягким дентином. Хорошо заметно было только при визуальном осмотре. Ссылка на комментарий
Dr. Clear Опубликовано 18 марта, 2014 Поделиться Опубликовано 18 марта, 2014 Я одна вижу "29" зуб?..) пойду высплюсь 1 1 Ссылка на комментарий
Гарриевич Опубликовано 18 марта, 2014 Поделиться Опубликовано 18 марта, 2014 Я одна вижу "29" зуб?..) пойду высплюсь Вы не одна... Ссылка на комментарий
Dr. Clear Опубликовано 19 марта, 2014 Поделиться Опубликовано 19 марта, 2014 Вы не одна... спасибо), думала заработалась Ссылка на комментарий
Kolchanov Опубликовано 19 марта, 2014 Поделиться Опубликовано 19 марта, 2014 33й Ссылка на комментарий
Рекомендуемые сообщения
Для публикации сообщений создайте учётную запись или авторизуйтесь
Вы должны быть пользователем, чтобы оставить комментарий
Создать аккаунт
Зарегистрируйте новый аккаунт в нашем сообществе. Это очень просто!
Регистрация нового пользователяВойти
Уже есть аккаунт? Войти в систему.
Войти