MaxDok Опубликовано 17 февраля, 2014 Автор Поделиться Опубликовано 17 февраля, 2014 //// пациенту самое главное ирригатор подарить) вверху пспп?/// Сам закажу и подарю пациенту ))) Да , но он теперь уже позиционируется как временный ))Спасибо . Ссылка на комментарий
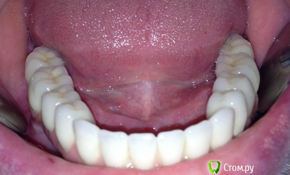
MaxDok Опубликовано 17 февраля, 2014 Автор Поделиться Опубликовано 17 февраля, 2014 ////отлично! на какой цемент фиксировали?/// Спасибо , мне результат понравился , но опять же понимаю, что это сильно упрощенный вариант лечения , костная пластика и пластика мягких тканей может быть в разы круче , отсюда и розовая керамика и отсутствие оводов и индивидуальных абатментов . Выдохнул и зацементировал на кетак )). 1 Ссылка на комментарий
MaxDok Опубликовано 17 февраля, 2014 Автор Поделиться Опубликовано 17 февраля, 2014 ////все то же самое,что и на нижней, только с синусами, либо все на 4-х,без синусов///Синусы однозначно , не вижу тут позиций для все на четырех , учитывая встречную конструкцию . Ну и только на винтовой ) Перечитываю Миша , он в своей книге очень лестно отзывается именно о цементной фиксации не съемных конструкции ,причем аргументирует довольно таки убедительно. Или информация устаревшая , либо я что то не понимаю . Ссылка на комментарий
MaxDok Опубликовано 17 февраля, 2014 Автор Поделиться Опубликовано 17 февраля, 2014 (изменено) . Изменено 17 февраля, 2014 пользователем MaxDok Ссылка на комментарий
iБолит Опубликовано 17 февраля, 2014 Поделиться Опубликовано 17 февраля, 2014 ////все то же самое,что и на нижней, только с синусами, либо все на 4-х,без синусов///Синусы однозначно , не вижу тут позиций для все на четырех , учитывая встречную конструкцию . Ну и только на винтовой )Перечитываю Миша , он в своей книге очень лестно отзывается именно о цементной фиксации не съемных конструкции ,причем аргументирует довольно таки убедительно. Или информация устаревшая , либо я что то не понимаю)))Есть кнопочка цитата или ответить)) так проще отвечать и понятно кому Ссылка на комментарий
MaxDok Опубликовано 17 февраля, 2014 Автор Поделиться Опубликовано 17 февраля, 2014 Уважаемые форумчане , кто как бы поступил и почему , на верхней челюсти ? Больше всего интересуют позиции винтов (любые фото и срезы к т могу предоставить, ) и материал которым можно " безопаснее " облицевать верхнюю дугу . Заранее спасибо . Ссылка на комментарий
MaxDok Опубликовано 17 февраля, 2014 Автор Поделиться Опубликовано 17 февраля, 2014 ////Есть кнопочка цитата или ответить)) так проще отвечать и понятно кому///В данный момент не могу добраться до ноутбука ,пишу с телефона , не работает почему то эта кнопочка у меня )) . Прошу прощения за неудобства . Ссылка на комментарий
Dman Опубликовано 17 февраля, 2014 Поделиться Опубликовано 17 февраля, 2014 что у пациента с суставом - если есть хоть что-то за что можно зацепиться - хруст, крепитация, бруксизм в анамнезе, то предпочел бы съемный на балке(я бы так и сделал, чтобы перестраховаться)если есть настрой на несъемное, флаг в руки - все на 6 (если нет места винты 6 поставить под углом), все на 8 - тут уж в зависимости от толщины кошелька))) цемент кетак имплант или цем? Ссылка на комментарий
zubovolok Опубликовано 17 февраля, 2014 Поделиться Опубликовано 17 февраля, 2014 //// какая система имплантов использовалась? Дентиум? Можно по потробней про лазерное спекание?/// Она самая , что касается технологии изготовлении каркаса ..думаю я не отвечу подробнее чем google )) наберите в поисковике .Работа очень понравилась. С дентиум давно работает? Как результаты? Ссылка на комментарий
MaxDok Опубликовано 18 февраля, 2014 Автор Поделиться Опубликовано 18 февраля, 2014 цемент кетак имплант или цем? Ketac Cem Спасибо за мнение. Ссылка на комментарий
MaxDok Опубликовано 18 февраля, 2014 Автор Поделиться Опубликовано 18 февраля, 2014 Работа очень понравилась. С дентиум давно работает? Как результаты? Спасибо Я вообще работаю не так давно , считаю что хорошая бюджетная система ,качество соответствует цене, полтора года на ней. О каких то результатах на таких сроках говорить рано . Могу тольо сказать что заводского брака не встречал,раскрутилось пару коронок на винтовой , но это только моя ошибка была. Ссылка на комментарий
zubovolok Опубликовано 18 февраля, 2014 Поделиться Опубликовано 18 февраля, 2014 (изменено) Спасибо Я вообще работаю не так давно , считаю что хорошая бюджетная система ,качество соответствует цене, полтора года на ней. О каких то результатах на таких сроках говорить рано . Могу тольо сказать что заводского брака не встречал,раскрутилось пару коронок на винтовой , но это только моя ошибка была.Тоже 1,5 года с ней работаю,пока без нареканий,поживем увидим. Изменено 18 февраля, 2014 пользователем zubovolok Ссылка на комментарий
MaxDok Опубликовано 10 апреля, 2014 Автор Поделиться Опубликовано 10 апреля, 2014 Еще похожая работа 5 1 Ссылка на комментарий
stom4085 Опубликовано 11 апреля, 2014 Поделиться Опубликовано 11 апреля, 2014 Я только за , в пару лабороторий города обращался( где что то умеют) , сказали не могем на винтовой сделать , не додумался в другой город отправить. Работа понравилась.Какая была временная конструкция? Слепок под постоянную конструкцию снимался с уровня абатмента? Ссылка на комментарий
iБолит Опубликовано 11 апреля, 2014 Поделиться Опубликовано 11 апреля, 2014 Еще похожая работа Молодцы) Ссылка на комментарий
Rash163 Опубликовано 11 апреля, 2014 Поделиться Опубликовано 11 апреля, 2014 Красиво. Ирригатор пациенту в руки и все будет хорошо) Ссылка на комментарий
MaxDok Опубликовано 11 апреля, 2014 Автор Поделиться Опубликовано 11 апреля, 2014 (изменено) Работа понравилась.Какая была временная конструкция? Слепок под постоянную конструкцию снимался с уровня абатмента? СпасибВременнная конструкция на временных титановых абатментах , обычная пластмассовая облицовка ,винтовая фиксация.Отттиск с уровня имплантов снимал , фото индивидуальной ложки и самого оттиска не могу найти. Изменено 11 апреля, 2014 пользователем MaxDok 6 Ссылка на комментарий
MaxDok Опубликовано 11 апреля, 2014 Автор Поделиться Опубликовано 11 апреля, 2014 Красиво. Ирригатор пациенту в руки и все будет хорошо) Спасибо , ирригатор пользует )) Ссылка на комментарий
MaxDok Опубликовано 11 апреля, 2014 Автор Поделиться Опубликовано 11 апреля, 2014 Молодцы) Пасибо ) Ссылка на комментарий
zabuza1300 Опубликовано 7 мая, 2014 Поделиться Опубликовано 7 мая, 2014 Очень интересная работа!а импланты Вы ставили?тут использовался хирургический шаблон? Ссылка на комментарий
MaxDok Опубликовано 8 мая, 2014 Автор Поделиться Опубликовано 8 мая, 2014 Спасибо . Я только ортопедию делал ну и присутствовал на установке , из навигации были изготовлены два псп , по ним и ориентировались . Ссылка на комментарий
Al Kasandr Опубликовано 9 мая, 2014 Поделиться Опубликовано 9 мая, 2014 Тут можно на винтовой сделать. У Дентиума есть Screw abatment и выжигаемый индивидуальный поверх. Супер вешь на дентиуме. но такая винтовая, при непаралельных шурупах влетает в сумму по серьезнее, чем на фрезерованных абатментах, или даже на индивидуальных. Ссылка на комментарий
Evikrol Опубликовано 14 мая, 2014 Поделиться Опубликовано 14 мая, 2014 Как эта пластмасса называется, красная которая на трансферах? И склеивали во рту чем? Ссылка на комментарий
MaxDok Опубликовано 14 мая, 2014 Автор Поделиться Опубликовано 14 мая, 2014 Как эта пластмасса называется, красная которая на трансферах? И склеивали во рту чем?Pattern Resin , соединял во рту им же . Ссылка на комментарий
r3yand Опубликовано 15 мая, 2014 Поделиться Опубликовано 15 мая, 2014 Коллеги, волнует вопрос, как правильно изготовить прикусной валик для определения центр.соотношения при таких работах?Какие есть ньюансы? Ссылка на комментарий
Рекомендуемые сообщения
Для публикации сообщений создайте учётную запись или авторизуйтесь
Вы должны быть пользователем, чтобы оставить комментарий
Создать аккаунт
Зарегистрируйте новый аккаунт в нашем сообществе. Это очень просто!
Регистрация нового пользователяВойти
Уже есть аккаунт? Войти в систему.
Войти