CSS Опубликовано 3 февраля, 2014 Поделиться Опубликовано 3 февраля, 2014 Тест 3.0 от БГ. Интересненько получилось. Через месяц нагрузим. 9 Ссылка на комментарий
DoktorDre Опубликовано 4 февраля, 2014 Поделиться Опубликовано 4 февраля, 2014 (изменено) И правда любопытно! Аутокость + какая мембрана? Откуда добыли кость? Снимков преоп, пост нету? Это "сосидж техник" от Урбана?Мне кажется, есть небольшие фенестрации на 11 , 21, вероятно придется "туннелить" попозже? Изменено 4 февраля, 2014 пользователем DoktorDre Ссылка на комментарий
CSS Опубликовано 5 февраля, 2014 Автор Поделиться Опубликовано 5 февраля, 2014 И правда любопытно! Аутокость + какая мембрана? Откуда добыли кость? Снимков преоп, пост нету? Это "сосидж техник" от Урбана?Мне кажется, есть небольшие фенестрации на 11 , 21, вероятно придется "туннелить" попозже?Ауто с косой. Evolution толстая. Что дадут Вам снимки? Алексы не пропорол :-)))Принцип, наверное похож на Урбана. Поживем посмотрим, что будет. Биотип у пациента интересный. Не смотря на тонкость и ортодонтию, рецессии в динамике не появляются!!! Тьфу тьфу! :-)) Ссылка на комментарий
k.t.m. Опубликовано 5 февраля, 2014 Поделиться Опубликовано 5 февраля, 2014 красиво!!!! Evolution чем -нибудь фиксирована? Ссылка на комментарий
DoktorDre Опубликовано 5 февраля, 2014 Поделиться Опубликовано 5 февраля, 2014 Ауто с косой. Evolution толстая. Что дадут Вам снимки? Алексы не пропорол :-)))Принцип, наверное похож на Урбана. Поживем посмотрим, что будет. Биотип у пациента интересный. Не смотря на тонкость и ортодонтию, рецессии в динамике не появляются!!! Тьфу тьфу! :-)) Снимок- посмотреть что было по толщине. Если были в косой, почему не взяли ламину? Ссылка на комментарий
CSS Опубликовано 5 февраля, 2014 Автор Поделиться Опубликовано 5 февраля, 2014 красиво!!!! Evolution чем -нибудь фиксирована? Насажена на формы. Ссылка на комментарий
CSS Опубликовано 5 февраля, 2014 Автор Поделиться Опубликовано 5 февраля, 2014 Снимок- посмотреть что было по толщине. Если были в косой, почему не взяли ламину?Там вогнутый дефект. Ламинат не брал, т.к. для забора ауто использовал трепан через минимальный доступ. ИМХО, ламинаты использую только при вертикалке. Неоправданно травматично в остальных случаях. :-) Ссылка на комментарий
StomDoc Опубликовано 5 февраля, 2014 Поделиться Опубликовано 5 февраля, 2014 При формировании ложа перфорации кортикалки не было??? Если нет то графт для чего!!! 1 Ссылка на комментарий
CSS Опубликовано 6 февраля, 2014 Автор Поделиться Опубликовано 6 февраля, 2014 При формировании ложа перфорации кортикалки не было??? Если нет то графт для чего!!!В середине ложа толщина наружной кортикалки не более 0,5 мм осталась! Там вогнутые дефекты. 12 и 22 первичная адентия. Пациенту 39 лет. Ссылка на комментарий
StomDoc Опубликовано 6 февраля, 2014 Поделиться Опубликовано 6 февраля, 2014 Планируется подобная ипмлантация только в области 13 23 тоже первичная адентия можно в вышей теме выложить КТ подскажите протокол такой же будет???? Ссылка на комментарий
CSS Опубликовано 6 февраля, 2014 Автор Поделиться Опубликовано 6 февраля, 2014 Планируется подобная ипмлантация только в области 13 23 тоже первичная адентия можно в вышей теме выложить КТ подскажите протокол такой же будет????Выкладывайте :-))) 1 Ссылка на комментарий
StomDoc Опубликовано 10 марта, 2014 Поделиться Опубликовано 10 марта, 2014 (изменено) Скорее всего будет имплантат биогоризонт 3.0, сомневаюсь только делать все одномоментно с НКР или сначала НКР а потом Имплантация?????У кого есть какие соображения по этому поводу???? Изменено 10 марта, 2014 пользователем StomDoc Ссылка на комментарий
CSS Опубликовано 10 марта, 2014 Автор Поделиться Опубликовано 10 марта, 2014 (изменено) С нкр одномоментно, ещеб внутри ротовые фотки глянуть! Можно и сст подкинуть сразу и пломбировочный за одно убрать! :-) Изменено 10 марта, 2014 пользователем CSS Ссылка на комментарий
syrovovec Опубликовано 10 марта, 2014 Поделиться Опубликовано 10 марта, 2014 Попробовал бы одномоментно Ссылка на комментарий
Владмир Опубликовано 10 марта, 2014 Поделиться Опубликовано 10 марта, 2014 Скорее всего будет имплантат биогоризонт 3.0, сомневаюсь только делать все одномоментно с НКР или сначала НКР а потом Имплантация?????Безымянный 1.pngБезымянный.pngУ кого есть какие соображения по этому поводу????чего вы заморачиваетесь?! кости навалом, поставил бы имплантат и ССТ и не надо ничего лишнего пихать Ссылка на комментарий
red_butler Опубликовано 11 марта, 2014 Поделиться Опубликовано 11 марта, 2014 Я бы расщепился и ставил винт большего диаметра 3,5-4,0 Ссылка на комментарий
StomDoc Опубликовано 11 марта, 2014 Поделиться Опубликовано 11 марта, 2014 (изменено) чего вы заморачиваетесь?! кости навалом, поставил бы имплантат и ССТ и не надо ничего лишнего пихатьменя пугает вогнутость с вестибулярной стороны!!! Если ставить без НКР то в последующем ортопедия на угловом аббатменте будет?? Мне кажется угол гребня большеват!!! Да и вообще пока во фронте опыта нет поэтому трудно спланировать!!!! ССТ с бугра или неба?? Изменено 11 марта, 2014 пользователем StomDoc Ссылка на комментарий
CSS Опубликовано 11 марта, 2014 Автор Поделиться Опубликовано 11 марта, 2014 меня пугает вогнутость с вестибулярной стороны!!! Если ставить без НКР то в последующем ортопедия на угловом аббатменте будет?? Мне кажется угол гребня большеват!!! Да и вообще пока во фронте опыта нет поэтому трудно спланировать!!!! ССТ с бугра или неба??Если есть бугор, лучше оттуда.На 3,0 есть приливаемые золотом. Сразу ориентируйте пациента на них и все вытянется!!! Ссылка на комментарий
vesvova Опубликовано 11 марта, 2014 Поделиться Опубликовано 11 марта, 2014 .На 3,0 есть приливаемые золотом. Сразу ориентируйте пациента на них и все вытянется!!!А зачем планировать золотые абатменты, если интеграция мягких тканей к ним нулевая...?! Ссылка на комментарий
CSS Опубликовано 11 марта, 2014 Автор Поделиться Опубликовано 11 марта, 2014 А зачем планировать золотые абатменты, если интеграция мягких тканей к ним нулевая...?!А затем, что циркона 3,0 нет, если будет угол, то мало вероятно выйти стандартными угловыми, вариант только индивидуальными приливаемыми! Либо, может быть есть цельнофрезерованный из титана! Ссылка на комментарий
StomDoc Опубликовано 11 марта, 2014 Поделиться Опубликовано 11 марта, 2014 А затем, что циркона 3,0 нет, если будет угол, то мало вероятно выйти стандартными угловыми, вариант только индивидуальными приливаемыми! Либо, может быть есть цельнофрезерованный из титана!правильно я понял что если ставить без НКР то полюбому будет угол и тогда протезирование через золотой аббатмент если ставить без наклона тогда НКР???? Ссылка на комментарий
StomDoc Опубликовано 11 марта, 2014 Поделиться Опубликовано 11 марта, 2014 С нкр одномоментно, ещеб внутри ротовые фотки глянуть! Можно и сст подкинуть сразу и пломбировочный за одно убрать! :-) Ссылка на комментарий
vesvova Опубликовано 11 марта, 2014 Поделиться Опубликовано 11 марта, 2014 А затем, что циркона 3,0 нет, если будет угол, то мало вероятно выйти стандартными угловыми, вариант только индивидуальными приливаемыми! Либо, может быть есть цельнофрезерованный из титана!ну вот вы сами и ответили .....а в реальности может оказаться. что нкр дешевле будет для пациента Ссылка на комментарий
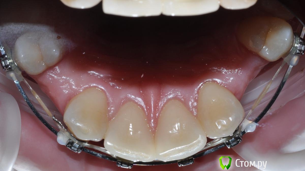
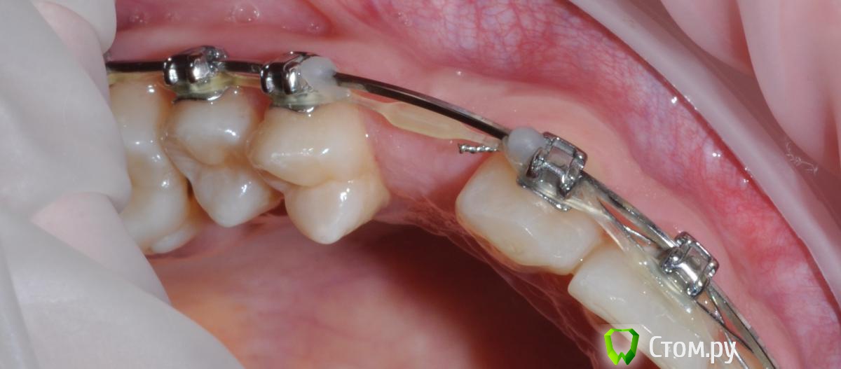
Чертков Александр Опубликовано 12 марта, 2014 Поделиться Опубликовано 12 марта, 2014 To StomDoc: А зачем клыки на места латеральных резцов "утащили"? Пилить их потом под виниры (коронки)? Если пациент готов к продолжению ортолечения - вернуть клыки на место, а в зоне латеральных после этих перемещений у Вас будет достаточно места (и кости) для постановки имплантов без НРК, только мягкотканная аугментация понадобится . 1 Ссылка на комментарий
StomDoc Опубликовано 12 марта, 2014 Поделиться Опубликовано 12 марта, 2014 Мне кажется при перемещении кости вообще не будет в области двоек, но точно не уверен!!! Клыки там и располагались их ротировали просто вместе с четверками!!! Ссылка на комментарий
Рекомендуемые сообщения
Для публикации сообщений создайте учётную запись или авторизуйтесь
Вы должны быть пользователем, чтобы оставить комментарий
Создать аккаунт
Зарегистрируйте новый аккаунт в нашем сообществе. Это очень просто!
Регистрация нового пользователяВойти
Уже есть аккаунт? Войти в систему.
Войти