Evikrol Опубликовано 23 января, 2014 Автор Поделиться Опубликовано 23 января, 2014 где то рядом) дисинсетайзер и все. Дальше наблюдать, пломбировачным не вариант, либо хирургия.Ok Ссылка на комментарий
Sampson Опубликовано 26 января, 2014 Поделиться Опубликовано 26 января, 2014 OkВыясните причину клиновидного девекта.Смотря какова причина возникновения клиновидного дефекта такое и начало лечения Если необходимо ортопедическое или ортодонтическое лечение сначала они пусть полечат,потом восстановление и перекрытие стираемости. Если перегрузку и стираемость не уберете, увы будет рецедив. Я использую Спектрум. Ссылка на комментарий
Evikrol Опубликовано 26 января, 2014 Автор Поделиться Опубликовано 26 января, 2014 Прикус открытый, нагрузки на зуб с кл дефектом нет. По этому причина зубная щётки. Отнял щетку. Ссылка на комментарий
M@estro Опубликовано 26 января, 2014 Поделиться Опубликовано 26 января, 2014 причина зубная щётки. Отнял щетку. Радикально ! Завтра в 6 утра подъем и 50 отжиманий ? Ссылка на комментарий
Sampson Опубликовано 27 января, 2014 Поделиться Опубликовано 27 января, 2014 Прикус открытый, нагрузки на зуб с кл дефектом нет. По этому причина зубная щётки. Отнял щетку.Стераемость реставрируйте и восстанавливайте дефект Ссылка на комментарий
Мартовский Опубликовано 9 февраля, 2014 Поделиться Опубликовано 9 февраля, 2014 03.jpgзалейте любым жидким композитом, этого будет достаточно что бы снять чувствительность, и приостановить дальнейшее стирание. Ссылка на комментарий
Антонина Николаевна Опубликовано 26 февраля, 2014 Поделиться Опубликовано 26 февраля, 2014 Ссылка на комментарий
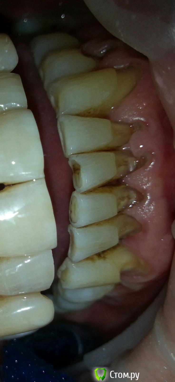
Антонина Николаевна Опубликовано 26 февраля, 2014 Поделиться Опубликовано 26 февраля, 2014 Сплошные клиновидные дефекты((((( пациенту 55 лет Ссылка на комментарий
Антонина Николаевна Опубликовано 26 февраля, 2014 Поделиться Опубликовано 26 февраля, 2014 Ссылка на комментарий
Антонина Николаевна Опубликовано 26 февраля, 2014 Поделиться Опубликовано 26 февраля, 2014 21 запломбировала Еnamel hri plus Ссылка на комментарий
Гарриевич Опубликовано 26 февраля, 2014 Поделиться Опубликовано 26 февраля, 2014 (изменено) Мне кажется что тут нужно искать другое решение, чем композитное восстановление. Если прикинуть размер коронки резца, то вы восстанавливали композитом уже выше ЦЭС Ps цвет подобрали прилично Изменено 26 февраля, 2014 пользователем Гарриевич 1 Ссылка на комментарий
Антонина Николаевна Опубликовано 27 февраля, 2014 Поделиться Опубликовано 27 февраля, 2014 (изменено) 2 -3 месяца как работаю этим материалом еще надо привыкнуть к нему)))) и поподать в цвет))) Изменено 27 февраля, 2014 пользователем Антонина Николаевна Ссылка на комментарий
Антонина Николаевна Опубликовано 27 февраля, 2014 Поделиться Опубликовано 27 февраля, 2014 я тоже понимаю что причина не устраняется одним пломбированием. Пациенту объяснила все. Пациент странно реагирует на это. Молчит. Он хочет запломбировать пару дефектов и на этом остановиться,я так поняла. Его особо не волнует ситуация во рту)))) ну а так не мешало бы и к пародонтологу на консультацию,ортопеду и т.д.Серьезно заняться ртом)))) Ссылка на комментарий
M@estro Опубликовано 27 февраля, 2014 Поделиться Опубликовано 27 февраля, 2014 Мне кажется что тут нужно искать другое решение, чем композитное восстановление. Если прикинуть размер коронки резца, то вы восстанавливали композитом уже выше ЦЭСPs цвет подобрали прилично В тему замечание Ссылка на комментарий
SvetlanaVictorovna Опубликовано 1 марта, 2014 Поделиться Опубликовано 1 марта, 2014 Половина пациентов после 50 имеют клиновидные дефекты. К шаманам- пародонтологом отправлять нет смысла. Идет рецессию десны, обнажается корень. Нужно пломбировать по всей вестибулярной поверхности. Причин- море! Нет смысла замораживаться. Для успокоения совести- отправите к ортодонту на консультацию 1 Ссылка на комментарий
Антонина Николаевна Опубликовано 2 марта, 2014 Поделиться Опубликовано 2 марта, 2014 Спасибо. ))))сегодня пациент признался что ему раньше не хватало щетки на 2 недели. Он ее просто "убивал" после чистки. Ссылка на комментарий
Антонина Николаевна Опубликовано 2 марта, 2014 Поделиться Опубликовано 2 марта, 2014 Половина пациентов после 50 имеют клиновидные дефекты. К шаманам- пародонтологом отправлять нет смысла. Идет рецессию десны, обнажается корень. Нужно пломбировать по всей вестибулярной поверхности. Причин- море! Нет смысла замораживаться. Для успокоения совести- отправите к ортодонту на консультацию)))) где-то здесь на форуме читала не помню правда где якобы пломбировать кл.деф.нельзя композитами. А я всегда пломбирую ими и чаще (((жидкотек.матер.Замечаю хорошо стоят пломбы. Может СИЦ лучше? Ссылка на комментарий
Гарриевич Опубликовано 2 марта, 2014 Поделиться Опубликовано 2 марта, 2014 )))) где-то здесь на форуме читала не помню правда где якобы пломбировать кл.деф.нельзя композитами. А я всегда пломбирую ими и чаще (((жидкотек.матер.Замечаю хорошо стоят пломбы. Может СИЦ лучше?Это почему композитами нельзя закрывать клиновидные? Ссылка на комментарий
M@estro Опубликовано 3 марта, 2014 Поделиться Опубликовано 3 марта, 2014 Это почему композитами нельзя закрывать клиновидные? потому что есть такая операция,как пластика. http://images.vfl.ru/ii/1383999573/ab6c8f39/3482020_m.jpg Автор кейса - Анастасия Смолякова Ссылка на комментарий
Evikrol Опубликовано 3 марта, 2014 Автор Поделиться Опубликовано 3 марта, 2014 потому что есть такая операция,как пластика. Автор кейса - Анастасия СмоляковаХочу так уметь Ссылка на комментарий
Бобр Опубликовано 3 марта, 2014 Поделиться Опубликовано 3 марта, 2014 Я совсем не пародонтолог и не хирург, сама пыталась найти информацию по пластике десны с целью закрытия клиновидных дефектов. Информации у меня мало не скрою поэтому хотела спросить всегда ли пластика будет эффективна. Из практики, наш парадонтолог берется закрывать клиновидные дефекты тогда, когда костная ткань сохранена минимум с двух сторон. Ее аргументы, что таким образом десна гарантировано будет держаться. Права ли она.Извините если я не верно выражаюсь, но честно говоря я в это не особо сильна.Не могли бы вы порекомендовать литературу, с которой можно начать изучение этого вопроса. После окончания университета по этой теме огромный провал, а пациентам нужно доносить компетентно информацию. Ссылка на комментарий
Гарриевич Опубликовано 11 марта, 2014 Поделиться Опубликовано 11 марта, 2014 потому что есть такая операция,как пластика. http://images.vfl.ru/ii/1383999573/ab6c8f39/3482020_m.jpg Автор кейса - Анастасия СмоляковаM@estro, Есть итоговый снимок? Ссылка на комментарий
M@estro Опубликовано 11 марта, 2014 Поделиться Опубликовано 11 марта, 2014 M@estro, Есть итоговый снимок? у Cт@си узнайте. Ссылка на комментарий
Гарриевич Опубликовано 11 марта, 2014 Поделиться Опубликовано 11 марта, 2014 у Cт@си узнайте.Просто я бы скорее отнес это к проблеме рецесси десны, а не к клиновидным дефектам ( за исключением 14 зуба, там есть и клиновидный) 1 Ссылка на комментарий
Рекомендуемые сообщения
Для публикации сообщений создайте учётную запись или авторизуйтесь
Вы должны быть пользователем, чтобы оставить комментарий
Создать аккаунт
Зарегистрируйте новый аккаунт в нашем сообществе. Это очень просто!
Регистрация нового пользователяВойти
Уже есть аккаунт? Войти в систему.
Войти