Andex Опубликовано 15 января, 2014 Поделиться Опубликовано 15 января, 2014 Один из первых синусов по открытой методике. Во время работы перфорировал шнайдерову, наложил на место перфорации "special", графт от альфа-био, на окно эволюшн. Прошло 6 месяцев, жалоб как не было с операции, так и нет сейчас. Фото до операции фото после(на сегодня такой вид)Какие ошибки были допущены? Что делать дальше?Мой план - закрытый синус с одномоментной установкой 3х винтов, помолиться, подождать 6 мес и протезировать. Только я считаю-что осложненений нет только у того,кто не работает?Благодарю за обоснованную критику и разумные советы)))) Ссылка на комментарий
Sahan Опубликовано 15 января, 2014 Поделиться Опубликовано 15 января, 2014 Ревизия и повторная закладка графта. Можно с одномоментной имплантацией. 5 Ссылка на комментарий
DShu Опубликовано 16 января, 2014 Поделиться Опубликовано 16 января, 2014 Ревизия и повторная закладка графта. Можно с одномоментной имплантацией.+1 Ссылка на комментарий
Andex Опубликовано 16 января, 2014 Автор Поделиться Опубликовано 16 января, 2014 Ревизия и повторная закладка графта. Можно с одномоментной имплантацией.Ревизия - полностью вычищать "старый графт" и через крестальный доступ закладывать новый, затем импланты?Или просто добавлять графт методом закрытого синуса? Я не совсем представляю в каком он там сейчас виде-скорее всего просто ни к чему не приросший кусок костного порошка, если так - то есть ли шанс его реактивировать там(и приростить к костным стенкам)? Ссылка на комментарий
Alexey Doc Опубликовано 16 января, 2014 Поделиться Опубликовано 16 января, 2014 Ревизия и повторная закладка графта. Можно с одномоментной имплантацией.Сесть, собраться, вспомнить как проходила прошлая операция, постараться самому найти серьезные ошибки, придумать способы их устранения ( и можно опробовать на животных ).Пойти повторно на открытый синус и сделать все как надо!На мой взгляд основная ошибка в недостаточной мобилизации шнайдеровой. Наверное перфорация внесла свои психологические коррективы в ход операции. А делать закрытый и молиться не стоит.Начинающим делать синусы обычно рекомендуют именно открытые методы, дабы все поле видеть воочию! 4 Ссылка на комментарий
Alexey Doc Опубликовано 16 января, 2014 Поделиться Опубликовано 16 января, 2014 Единственный момент - отслаиваться повторно будет скорее всего посложнее, а в области прошло окна идти придется остро! Ссылка на комментарий
Sahan Опубликовано 16 января, 2014 Поделиться Опубликовано 16 января, 2014 Ревизия - полностью вычищать "старый графт" и через крестальный доступ закладывать новый, затем импланты?Или просто добавлять графт методом закрытого синуса? Я не совсем представляю в каком он там сейчас виде-скорее всего просто ни к чему не приросший кусок костного порошка, если так - то есть ли шанс его реактивировать там(и приростить к костным стенкам)?Повторить открытый синус через ранее сформированное окно. Графт в основном там графтом и остался с фиброзной тканью в перемешку. И отслоиться получше. 1 Ссылка на комментарий
Andex Опубликовано 17 января, 2014 Автор Поделиться Опубликовано 17 января, 2014 Наверное перфорация внесла свои психологические коррективы в ход операции. А делать закрытый и молиться не стоит. Именно так и было) Ссылка на комментарий
Andex Опубликовано 17 января, 2014 Автор Поделиться Опубликовано 17 января, 2014 Повторить открытый синус через ранее сформированное окно. Графт в основном там графтом и остался с фиброзной тканью в перемешку. И отслоиться получше.Благодарю за совет. Как сделаю - выложу результат, если кому интерестно) 1 Ссылка на комментарий
Alexey Doc Опубликовано 17 января, 2014 Поделиться Опубликовано 17 января, 2014 Конечно интересно! Ждем с нетерпением!Удачной операции Ссылка на комментарий
red_butler Опубликовано 18 января, 2014 Поделиться Опубликовано 18 января, 2014 + 1 интересно Ссылка на комментарий
ввассилюй Опубликовано 26 января, 2014 Поделиться Опубликовано 26 января, 2014 (изменено) И у меня есть вопрос по этой теме. Вчера сделал повторный синус после первой неудачи. Окна не нашел! На этот раз мембрану не повредил. Засыпал альфаграфт, мембрана эволюшн. Вечером у пациента поднялась температура 37,8. Переживал. Утром звонил - температуры нет отек не значительный. счастлив:-) Вопрос куда девалось окно.? Изменено 26 января, 2014 пользователем ввассилюй Ссылка на комментарий
IvanK Опубликовано 26 января, 2014 Поделиться Опубликовано 26 января, 2014 Фото в студию))) Ссылка на комментарий
ввассилюй Опубликовано 26 января, 2014 Поделиться Опубликовано 26 января, 2014 Должен извиниться фото нет. Ссылка на комментарий
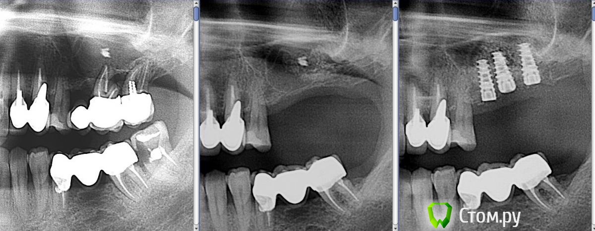
Andex Опубликовано 27 января, 2014 Автор Поделиться Опубликовано 27 января, 2014 Кому было интерестно - фото после операции. Сделал сразу все фотки - до и после. Интересует обоснованная критика)) Ссылка на комментарий
vesvova Опубликовано 27 января, 2014 Поделиться Опубликовано 27 января, 2014 Кому было интерестно - фото после операции. Сделал сразу все фотки - до и после. Интересует обоснованная критикаНу эти фотки мало о чем говорят.ТОлько КТ может дать оценку. Вы лучше расскажите, как удалось отслоить мембрану? Что в пазухе- окостеневший графт или "каша" из графта с фиброзом? 2 Ссылка на комментарий
red_butler Опубликовано 28 января, 2014 Поделиться Опубликовано 28 января, 2014 ИМХО, близко позиции 25 и 26 по орто, сложно будет размоделировать и гигиену поддерживать...Я тоже такого мнения, 2.6 не стал бы ставить и сделал бы мостом Ссылка на комментарий
Василичdr Опубликовано 28 января, 2014 Поделиться Опубликовано 28 января, 2014 Засыпал альфаграфт, мембрана эволюшн.Пользуете ли мембрану альфа био? Какие отзывы? Ссылка на комментарий
Sahan Опубликовано 28 января, 2014 Поделиться Опубликовано 28 января, 2014 С таким близким расположением имплантатов 2.6 будет премоляром. Пользуйтесь шаблонами Ссылка на комментарий
kriokov Опубликовано 28 января, 2014 Поделиться Опубликовано 28 января, 2014 Что в пазухе- окостеневший графт или "каша" из графта с фиброзом? тоже интересно 1 Ссылка на комментарий
Andex Опубликовано 29 января, 2014 Автор Поделиться Опубликовано 29 января, 2014 тоже интересно Если четно - не знаю на 100% что там. Тк принял решение делать зыкрытый синус. Почитал мнения более опытных и мною уважаемых коллег с форума в этой ветке-что надо делать открытый и ревизию. Когда отслоился - в месте окна после первого синуса очень плотная и толстая кость(по сравнению с с костью до операции), плюс из-за того,что было жалко выбрасывать мембрану-я перекрыл ей не только окно,а еще и крестальную кость, что в итоге дало +1 мм по высоте. На КТ этого видно не было почему то. Все взвесив, сделал закрытый. По ощущениям - графт закладывался намного труднее(туже) чем при классическом закрытом синусе. Всего ушло 1,5 мл на 3 лунки. Импланты 25з - 3.75х10, 26з - 4.2х10, 27з - 4.2х10, торк на всех 40 н/см. Подозреваю,что в пазухе все же фиброзно-графтовая каша. Время покажет праивльно я поступил или нет, или же надо было прислушаться к советам. Но это мое решение, и отвечать за него тоже буду я) 1 Ссылка на комментарий
kriokov Опубликовано 29 января, 2014 Поделиться Опубликовано 29 января, 2014 Спасибо за подробный ответ Ссылка на комментарий
Andex Опубликовано 29 января, 2014 Автор Поделиться Опубликовано 29 января, 2014 Спасибо за подробный ответДоктор, Ваше мнение м действия в данной ситуации? Интерестно мнение опытных коллег. Ссылка на комментарий
kriokov Опубликовано 29 января, 2014 Поделиться Опубликовано 29 января, 2014 я бы наверное открытый сделал, с ревизией графта. Может быть два винта вместо трех.Вы когда под винты засверливались, как по ощущениям- графтокость или мягковато? Ссылка на комментарий
Andex Опубликовано 29 января, 2014 Автор Поделиться Опубликовано 29 января, 2014 я бы наверное открытый сделал, с ревизией графта. Может быть два винта вместо трех.Вы когда под винты засверливались, как по ощущениям- графтокость или мягковато?Когда сверлился было твердо, но это не показатель. Тк я сверлил только по 3мм, недоходя до дна пазухи, а дальше двигался остеотомами для закрытого синуса от МИСА(те, что с вогнутым дном), ими уже проходил дно пазухи и одновременно конденсировал(торк при этом был 50). А когда дно прошел- поставил туда глубиномер с закругленным носиком-дак вот он туже поднимал оболочку(по сравнению с обычным закрытым синусом). 1 Ссылка на комментарий
Рекомендуемые сообщения
Для публикации сообщений создайте учётную запись или авторизуйтесь
Вы должны быть пользователем, чтобы оставить комментарий
Создать аккаунт
Зарегистрируйте новый аккаунт в нашем сообществе. Это очень просто!
Регистрация нового пользователяВойти
Уже есть аккаунт? Войти в систему.
Войти